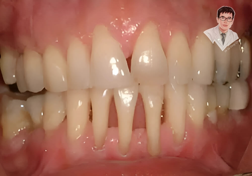
Hình ảnh tình trạng tụt lợi nghiêm trọng, lộ chân răng, có thể gây ê buốt và mất răng nếu không điều trị kịp thời.

Bệnh tụt nướu răng là tình trạng nướu bị thoái hóa, làm lộ chân răng và gây ê buốt. Nếu không điều trị kịp thời, tụt nướu có thể dẫn đến viêm nhiễm, thậm chí mất răng. Vậy nguyên nhân nào gây ra tụt nướu? Có những phương pháp nào để điều trị hiệu quả? Hãy cùng tìm hiểu ngay!

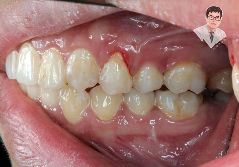
Hình ảnh minh họa viêm nướu tụt lợi do viêm nha chu, cho thấy tình trạng nướu bị viêm nặng, tụt sâu và ảnh hưởng đến cấu trúc răng.

Viêm nướu tụt lợi không chỉ gây ê buốt mà còn ảnh hưởng đến thẩm mỹ và sức khỏe răng miệng. Nếu không điều trị kịp thời, tình trạng này có thể dẫn đến viêm nha chu, thậm chí mất răng. Vậy nguyên nhân gây tụt lợi là gì? Có những phương pháp nào giúp điều trị hiệu quả và ngăn ngừa tái phát? Cùng tìm hiểu ngay!

Một trường hợp thực tế của bệnh nhân bị tụt nướu răng. Vùng nướu bị teo lại, chân răng dần lộ rõ, dễ gây ê buốt và nguy cơ viêm nhiễm.

Nướu răng bị tụt không chỉ ảnh hưởng đến thẩm mỹ mà còn gây ê buốt, tăng nguy cơ mắc bệnh nha chu. Nguyên nhân có thể do chải răng sai cách, viêm nướu hoặc lão hóa. Bài viết này sẽ giúp bạn hiểu rõ nguyên nhân, cách điều trị hiệu quả và phương pháp chăm sóc nướu răng đúng cách để ngăn ngừa tái phát, bảo vệ sức khỏe răng miệng lâu dài.

Dầu dừa là phương pháp tự nhiên hỗ trợ điều trị tụt nướu răng tại nhà. Súc miệng bằng dầu dừa giúp giảm viêm, kháng khuẩn và hỗ trợ tái tạo mô nướu.

Tụt nướu răng không chỉ ảnh hưởng đến thẩm mỹ mà còn gây ê buốt, đau nhức. Bạn đang tìm cách trị tụt nướu răng tại nhà an toàn, hiệu quả? Hãy khám phá ngay các phương pháp tự nhiên giúp phục hồi nướu, ngăn ngừa viêm lợi và bảo vệ răng miệng. Áp dụng ngay để có hàm răng chắc khỏe!