Hình ảnh một trường hợp tụt nướu nghiêm trọng, cho thấy nguy cơ ảnh hưởng đến chân răng và sức khỏe răng miệng nếu không được điều trị sớm.

Tụt nướu răng không chỉ gây mất thẩm mỹ mà còn ảnh hưởng đến sức khỏe răng miệng. Vậy cách chữa tụt nướu răng hiệu quả là gì? Bài viết này sẽ giúp bạn hiểu rõ nguyên nhân, cách điều trị tại nhà, phương pháp nha khoa hiện đại và hướng dẫn chăm sóc răng để ngăn ngừa tình trạng này quay lại.

Cận cảnh một người dùng tay vạch nướu để kiểm tra tình trạng tụt nướu răng, biểu hiện rõ phần chân răng bị lộ.

Bị tụt nướu răng không chỉ gây mất thẩm mỹ mà còn làm răng ê buốt, dễ tổn thương. Nguyên nhân có thể do chải răng sai cách, viêm nha chu hoặc lão hóa. Vậy bị tụt nướu răng phải làm sao ? Cùng tìm hiểu những phương pháp điều trị hiệu quả, từ chăm sóc tại nhà đến can thiệp nha khoa, giúp bạn bảo vệ sức khỏe răng miệng lâu dài.

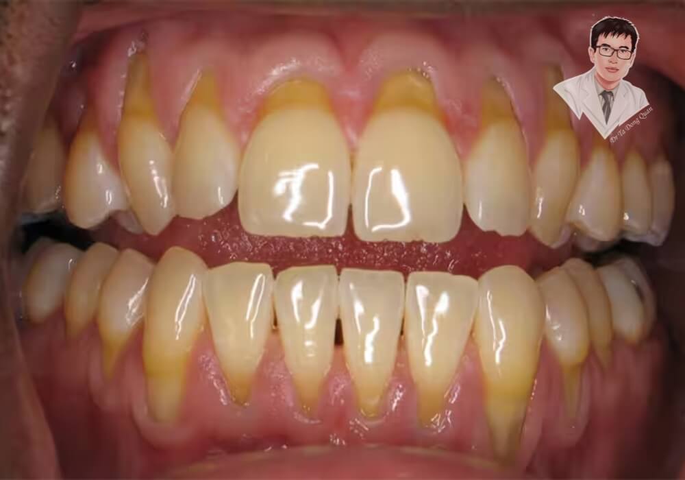
Cận cảnh hàm răng bị tụt nướu nghiêm trọng, lộ rõ chân răng, răng ố vàng và có nhiều cao răng tích tụ.

Bị tụt nướu răng không chỉ ảnh hưởng đến thẩm mỹ mà còn gây ê buốt, tăng nguy cơ mất răng nếu không điều trị kịp thời. Vậy nguyên nhân do đâu? Có thể phục hồi nướu bị tụt không? Cùng tìm hiểu các phương pháp điều trị hiệu quả năm 2025 để bảo vệ nụ cười khỏe mạnh của bạn!

Hình ảnh răng cửa bị tụt nướu nghiêm trọng, lộ rõ chân răng, gây ê buốt và mất thẩm mỹ. Đây là dấu hiệu cảnh báo bệnh nha chu cần được điều trị sớm.

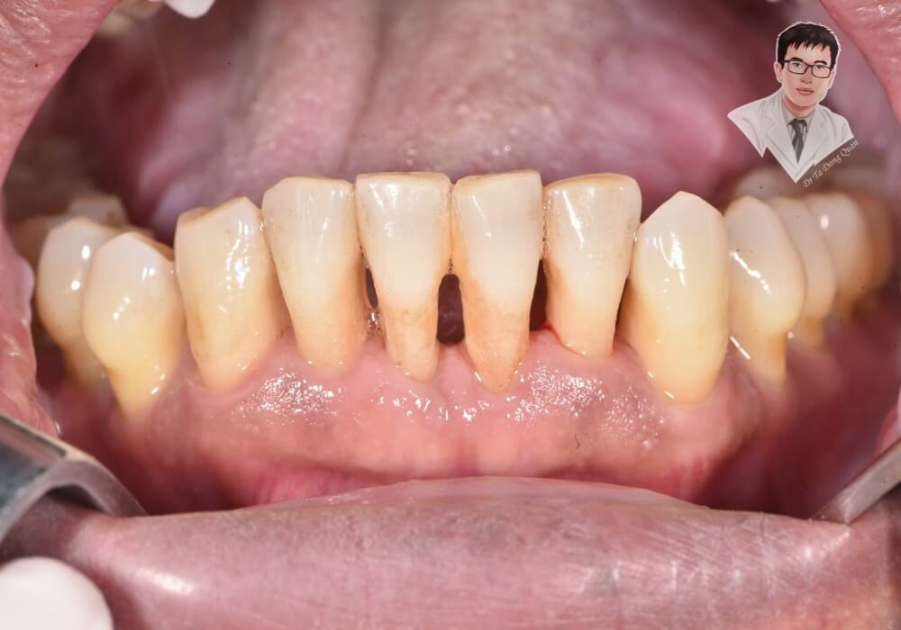
Tụt nướu chân răng khiến chân răng bị lộ, gây ê buốt và tăng nguy cơ mắc bệnh nha chu nghiêm trọng. Nhận biết sớm các dấu hiệu như hở chân răng, viêm lợi, thoái hóa mô nướu sẽ giúp bạn có biện pháp phòng tránh và điều trị hiệu quả, bảo vệ sức khỏe răng miệng tối ưu trong năm 2025.