Viêm nướu tụt lợi không chỉ gây ê buốt mà còn ảnh hưởng đến thẩm mỹ và sức khỏe răng miệng. Nếu không điều trị kịp thời, tình trạng này có thể dẫn đến viêm nha chu, thậm chí mất răng. Vậy nguyên nhân gây tụt lợi là gì? Có những phương pháp nào giúp điều trị hiệu quả và ngăn ngừa tái phát? Cùng tìm hiểu ngay!
I. Viêm Nướu Tụt Lợi Là Gì? Hiểu Rõ Để Điều Trị Đúng Cách!
1. Viêm Nướu Tụt Lợi Là Gì?
Viêm nướu tụt lợi là tình trạng mô nướu bị co rút, khiến chân răng lộ ra ngoài. Điều này không chỉ gây ê buốt khi ăn uống mà còn làm tăng nguy cơ viêm nha chu, mất răng nếu không được điều trị kịp thời.
Bên cạnh ảnh hưởng đến sức khỏe, tụt lợi còn làm mất thẩm mỹ, khiến răng trông dài hơn và nụ cười kém tự tin. Hiểu rõ về bệnh lý này giúp bạn có hướng điều trị và phòng ngừa hiệu quả.
2. Phân Biệt Với Các Bệnh Răng Miệng Khác
- Viêm nướu thông thường: Gây sưng đỏ, chảy máu nhưng chưa làm tụt lợi.
- Viêm nha chu: Tình trạng nặng hơn, có thể làm răng lung lay hoặc mất răng.
- Mòn cổ răng: Do chải răng sai cách, không phải do tụt nướu.
3. Các Giai Đoạn Của Viêm Nướu Tụt Lợi
- Giai đoạn nhẹ: Nướu hơi rút, có thể chảy máu khi đánh răng.
- Giai đoạn trung bình: Chân răng lộ rõ, răng dễ ê buốt.
- Giai đoạn nặng: Răng lung lay, nguy cơ mất răng cao.
Phát hiện sớm và điều trị kịp thời giúp ngăn ngừa biến chứng. Trong các phần tiếp theo, bạn sẽ biết rõ nguyên nhân, dấu hiệu và phương pháp điều trị hiệu quả nhất năm 2025.
Tìm hiểu thêm: Tụt nướu

II. Dấu Hiệu Nhận Biết Viêm Nướu Tụt Lợi – Đừng Bỏ Qua!
1. Răng Ê Buốt Khi Ăn Uống
Một trong những dấu hiệu đầu tiên của viêm nướu tụt lợi là cảm giác ê buốt khi ăn hoặc uống đồ nóng, lạnh, chua, ngọt. Khi chân răng bị lộ, lớp men bảo vệ không còn che chắn hoàn toàn, khiến răng trở nên nhạy cảm hơn.
2. Nướu Bị Tụt, Lộ Chân Răng
Nếu nhận thấy răng có vẻ dài hơn bình thường, rất có thể bạn đang bị tụt nướu. Khi mô nướu co rút, phần chân răng vốn được bảo vệ sẽ bị lộ ra, gây mất thẩm mỹ và dễ tích tụ vi khuẩn.
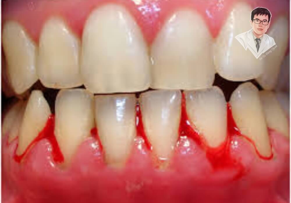
3. Nướu Sưng Đỏ, Dễ Chảy Máu
Khi viêm nhiễm xảy ra, nướu có thể trở nên sưng đỏ, nhạy cảm và dễ chảy máu khi đánh răng hoặc dùng chỉ nha khoa. Đây là dấu hiệu cảnh báo nướu đang yếu dần và cần được chăm sóc đúng cách.
4. Hơi Thở Có Mùi Hôi
Vi khuẩn tích tụ quanh chân răng và trong các túi nướu sâu có thể gây hôi miệng kéo dài, ngay cả khi bạn đã vệ sinh răng miệng thường xuyên.
5. Răng Lung Lay (Giai Đoạn Nặng)
Trong trường hợp nặng, viêm nướu có thể tiến triển thành viêm nha chu, làm mất liên kết giữa răng và xương hàm. Nếu không điều trị sớm, răng có thể lung lay hoặc rụng hoàn toàn.
Phát hiện sớm những dấu hiệu trên sẽ giúp bạn chủ động bảo vệ răng miệng và ngăn chặn tình trạng viêm nướu tụt lợi tiến triển nặng hơn. Ở phần tiếp theo, chúng ta sẽ tìm hiểu những nguyên nhân phổ biến gây viêm nướu tụt lợi và cách phòng tránh hiệu quả.

III. Nguyên Nhân Gây Viêm Nướu Tụt Lợi – Thủ Phạm Cần Biết!
1. Vệ Sinh Răng Miệng Kém
Không đánh răng đúng cách, bỏ qua việc dùng chỉ nha khoa hoặc không súc miệng thường xuyên khiến mảng bám và vi khuẩn tích tụ, gây viêm nướu. Lâu dần, tình trạng này dẫn đến tụt lợi và thậm chí viêm nha chu.
2. Chải Răng Sai Cách
Dùng bàn chải lông cứng hoặc chải răng quá mạnh có thể làm mòn men răng và tổn thương mô nướu. Theo thời gian, nướu bị bào mòn, gây tụt nướu răng và tăng độ nhạy cảm của răng.
3. Bệnh Lý Toàn Thân
Một số bệnh như tiểu đường, tim mạch, HIV/AIDS có thể làm suy giảm hệ miễn dịch, khiến nướu dễ bị viêm nhiễm hơn. Nếu bạn mắc các bệnh này, hãy đặc biệt chú ý đến sức khỏe răng miệng.
4. Thay Đổi Nội Tiết Tố
Phụ nữ mang thai, trong kỳ kinh nguyệt hoặc giai đoạn mãn kinh có nguy cơ cao bị viêm nướu tụt lợi do sự thay đổi nội tiết tố làm nướu nhạy cảm hơn với vi khuẩn.
5. Hút Thuốc Lá
Nicotine và các hóa chất độc hại trong thuốc lá làm giảm lưu lượng máu đến nướu, khiến mô nướu yếu hơn, dễ bị viêm và tụt lợi răng nhanh chóng.
6. Yếu Tố Di Truyền
Một số người có cấu trúc nướu yếu bẩm sinh, dễ bị tụt nướu hơn dù vệ sinh răng miệng đúng cách. Nếu trong gia đình có người từng bị tụt lợi, bạn cũng có nguy cơ cao mắc phải tình trạng này.
7. Tác Động Cơ Học Từ Thiết Bị Nha Khoa
Răng giả không vừa khít, mắc cài chỉnh nha hoặc lực cắn không cân đối có thể tạo áp lực lên nướu, lâu dài dẫn đến tụt nướu chân răng.
8. Căng Thẳng Kéo Dài
Stress làm suy yếu hệ miễn dịch, tăng nguy cơ viêm nhiễm trong cơ thể, bao gồm cả nướu răng. Người bị căng thẳng kéo dài thường có nguy cơ mắc viêm nướu tụt lợi cao hơn.
Hiểu rõ nguyên nhân giúp bạn phòng tránh và bảo vệ sức khỏe răng miệng tốt hơn. Trong phần tiếp theo, chúng ta sẽ khám phá những biến chứng nguy hiểm của viêm nướu tụt lợi nếu không điều trị kịp thời.
IV. Viêm Nướu Tụt Lợi Có Nguy Hiểm Không? Biến Chứng Khôn Lường Nếu Không Điều Trị!
1. Mất Răng – Hậu Quả Nghiêm Trọng Nhất
Nếu không được điều trị kịp thời, viêm nướu tụt lợi có thể tiến triển thành viêm nha chu, làm tiêu xương ổ răng. Khi xương không còn đủ khả năng nâng đỡ, răng sẽ lung lay và cuối cùng rụng đi. Việc mất răng không chỉ ảnh hưởng đến chức năng nhai mà còn gây tiêu xương hàm, làm gương mặt trông già hơn.
2. Viêm Nhiễm Lan Rộng – Ảnh Hưởng Đến Sức Khỏe Toàn Thân
Vi khuẩn từ vùng nướu bị viêm có thể xâm nhập vào máu, làm tăng nguy cơ mắc các bệnh lý nguy hiểm như viêm nội tâm mạc, đột quỵ, tiểu đường và bệnh tim mạch. Các nghiên cứu đã chỉ ra rằng sức khỏe răng miệng có mối liên hệ mật thiết với sức khỏe tổng thể, vì vậy không nên xem nhẹ tình trạng viêm nướu tụt lợi.
3. Ảnh Hưởng Đến Thẩm Mỹ – Gây Mất Tự Tin Khi Giao Tiếp
Tụt lợi khiến răng trông dài hơn, không còn sự cân đối với khuôn miệng. Điều này không chỉ làm nụ cười kém duyên mà còn khiến bạn mất tự tin khi giao tiếp. Ngoài ra, khi chân răng bị lộ, răng cũng có xu hướng ngả màu vàng, làm giảm tính thẩm mỹ của hàm răng.
4. Tăng Nguy Cơ Mắc Các Bệnh Răng Miệng Khác
Khi nướu bị tụt, phần chân răng sẽ không còn được bảo vệ như trước, dễ bị vi khuẩn tấn công và gây sâu răng cổ chân răng. Ngoài ra, thức ăn và mảng bám cũng dễ tích tụ hơn, làm tăng nguy cơ viêm nha chu và các bệnh lý răng miệng khác.
5. Tụt Lợi Răng Có Nguy Hiểm Không?
Câu trả lời là có! Dù viêm nướu tụt lợi không gây đau đớn ngay lập tức, nhưng nếu không điều trị, hậu quả về lâu dài có thể rất nghiêm trọng. Việc điều trị sớm sẽ giúp bảo vệ sức khỏe răng miệng, ngăn ngừa các biến chứng nguy hiểm.
Ở phần tiếp theo, chúng ta sẽ cùng tìm hiểu cách điều trị viêm nướu tụt lợi hiệu quả ngay tại nhà, giúp giảm thiểu triệu chứng và bảo vệ nướu khỏe mạnh.
V. Cách Điều Trị Viêm Nướu Tụt Lợi Hiệu Quả Tại Nhà – Đơn Giản Mà Ai Cũng Làm Được!
1. Vệ Sinh Răng Miệng Đúng Cách
Đánh răng đúng kỹ thuật là yếu tố quan trọng giúp bảo vệ nướu khỏi viêm nhiễm. Bạn nên:
- Dùng bàn chải lông mềm để tránh làm tổn thương nướu.
- Chải răng nhẹ nhàng theo chuyển động tròn, không chải ngang mạnh.
- Dùng chỉ nha khoa để làm sạch kẽ răng, loại bỏ mảng bám.
- Súc miệng với nước muối hoặc nước súc miệng diệt khuẩn để giảm viêm.
2. Sử Dụng Bàn Chải Lông Mềm Và Kem Đánh Răng Chuyên Dụng
- Chọn kem đánh răng chứa fluoride và các thành phần giúp giảm ê buốt như potassium nitrate.
- Tránh kem đánh răng có hạt làm mòn men răng và kích thích nướu tụt sâu hơn.
3. Áp Dụng Các Phương Pháp Dân Gian Hỗ Trợ Giảm Viêm
- Súc miệng nước muối ấm: Giúp sát khuẩn, giảm viêm nướu hiệu quả.
- Dùng nha đam (lô hội): Bôi trực tiếp lên vùng nướu để làm dịu kích ứng.
- Trà xanh: Có chứa chất chống oxy hóa giúp bảo vệ nướu và răng.
4. Chế Độ Ăn Uống Hợp Lý – Hỗ Trợ Phục Hồi Nướu
- Bổ sung thực phẩm giàu vitamin C, D, canxi giúp tăng cường sức khỏe răng nướu.
- Hạn chế đồ ngọt, thức ăn chứa axit vì có thể gây mòn men răng và kích thích tụt nướu.
5. Cách Khắc Phục Viêm Nướu Tụt Lợi Tại Nhà – Hiệu Quả Nhưng Không Thay Thế Điều Trị Chuyên Sâu
Những phương pháp trên giúp giảm triệu chứng nhưng không thể chữa dứt điểm nếu tình trạng đã nặng. Nếu nướu tụt nghiêm trọng, hãy đến ngay nha khoa để được điều trị chuyên sâu.
Tìm hiểu thêm: Điều trị tụt nướu tại nhà

VI. Điều Trị Viêm Nướu Tụt Lợi Chuyên Sâu Giải Pháp Tối Ưu Cho Nụ Cười Khỏe Đẹp
1. Cạo Vôi Răng, Làm Sạch Mảng Bám – Loại Bỏ Nguyên Nhân Gây Bệnh
Cạo vôi răng là bước đầu tiên trong điều trị viêm nướu tụt lợi. Quá trình này giúp loại bỏ mảng bám cứng đầu, vi khuẩn tích tụ dưới nướu – nguyên nhân chính gây viêm nhiễm và tụt nướu. Bằng công nghệ sóng siêu âm, phương pháp này không gây đau và giúp làm sạch răng hiệu quả.
2. Điều Trị Bằng Thuốc – Hỗ Trợ Kháng Viêm, Giảm Đau
Trong một số trường hợp, bác sĩ sẽ kê đơn thuốc hỗ trợ điều trị, bao gồm:
- Thuốc kháng sinh giúp kiểm soát vi khuẩn gây viêm.
- Gel bôi nướu có tác dụng kháng khuẩn và làm dịu vùng nướu bị tổn thương.
- Nước súc miệng sát khuẩn giúp giảm viêm và duy trì sức khỏe răng miệng.
3. Phẫu Thuật Ghép Nướu – Phục Hồi Nướu Bị Tụt
Khi nướu bị tụt quá sâu, phương pháp ghép nướu được áp dụng để khôi phục mô nướu đã mất. Bác sĩ sẽ sử dụng mô nướu từ vùng khác trong khoang miệng để che phủ phần chân răng bị lộ, giúp cải thiện thẩm mỹ và bảo vệ răng khỏi tổn thương tiếp theo.
4. Các Phương Pháp Điều Trị Tiên Tiến Khác
Ngoài phương pháp truyền thống, Dr. Tạ Đông Quân còn áp dụng công nghệ hiện đại như:
- Điều trị bằng laser giúp tiêu diệt vi khuẩn nhanh chóng mà không gây đau.
- Liệu pháp ánh sáng kích thích tái tạo mô nướu, đẩy nhanh quá trình phục hồi.
5. Quy Trình Thăm Khám Và Điều Trị Tại Bác Sĩ Quân
- Thăm khám tổng quát, xác định mức độ tụt nướu.
- Lên phác đồ điều trị cá nhân hóa theo tình trạng của từng bệnh nhân.
- Tiến hành cạo vôi răng, điều trị viêm nướu, kết hợp thuốc nếu cần.
- Đánh giá kết quả và tư vấn chăm sóc sau điều trị để ngăn ngừa tái phát.
6. Điều Trị Tụt Lợi Ở Đâu Tốt? – Vì Sao Nên Chọn Dr. Quân?
- Bác sĩ giàu kinh nghiệm, chuyên môn cao.
- Trang thiết bị hiện đại, công nghệ tiên tiến.
- Quy trình điều trị an toàn, không đau, hiệu quả lâu dài.
- Hàng nghìn khách hàng đã điều trị thành công viêm nướu tụt lợi.
Nếu bạn đang gặp tình trạng viêm nướu tụt lợi và chưa biết cách điều trị hiệu quả, hãy đến liên hệ Dr. Quân để được tư vấn và khắc phục triệt để.
Ở phần tiếp theo, chúng ta sẽ tìm hiểu những cách phòng ngừa viêm nướu tụt lợi để bảo vệ nụ cười khỏe đẹp dài lâu.

VII. Phòng Ngừa Viêm Nướu Tụt Lợi – Bí Quyết Giữ Răng Chắc Khỏe Dài Lâu
1. Khám Răng Định Kỳ – Phát Hiện Sớm Và Ngăn Ngừa Biến Chứng
Thăm khám nha khoa ít nhất 6 tháng một lần giúp phát hiện sớm các vấn đề răng miệng, bao gồm cả viêm nướu tụt lợi. Bác sĩ sẽ kiểm tra sức khỏe nướu, lấy cao răng định kỳ để ngăn ngừa mảng bám tích tụ và kịp thời xử lý nếu có dấu hiệu viêm nhiễm.
2. Duy Trì Chế Độ Ăn Uống Lành Mạnh – Bảo Vệ Nướu Khỏe Mạnh
- Bổ sung thực phẩm giàu vitamin C, D, canxi để tăng cường độ chắc khỏe của răng và nướu.
- Hạn chế đồ ăn nhiều đường, axit vì chúng có thể làm hại men răng và kích thích tụt nướu.
- Uống đủ nước giúp rửa trôi vi khuẩn và giữ ẩm cho khoang miệng.
3. Chải Răng Đúng Cách – Ngăn Ngừa Tổn Thương Nướu
- Sử dụng bàn chải lông mềm và đánh răng nhẹ nhàng theo chiều dọc hoặc xoay tròn, tránh chải ngang quá mạnh.
- Thay bàn chải mỗi 2-3 tháng để đảm bảo hiệu quả làm sạch.
- Dùng chỉ nha khoa hàng ngày để loại bỏ mảng bám giữa các kẽ răng.
4. Bỏ Hút Thuốc – Bảo Vệ Sức Khỏe Răng Miệng
Hút thuốc làm giảm lưu lượng máu đến nướu, khiến mô nướu dễ bị tổn thương và khó lành hơn. Nếu bạn đang bị viêm nướu tụt lợi, việc bỏ thuốc lá sẽ giúp quá trình điều trị hiệu quả hơn và ngăn ngừa bệnh tiến triển nặng.
5. Kiểm Soát Căng Thẳng – Giảm Nguy Cơ Viêm Nướu
Stress kéo dài có thể làm suy yếu hệ miễn dịch, khiến cơ thể dễ bị viêm nhiễm, bao gồm cả viêm nướu. Hãy dành thời gian nghỉ ngơi, thư giãn và duy trì thói quen lành mạnh để bảo vệ sức khỏe răng miệng.
6. Viêm Nướu Tụt Lợi Có Chữa Được Không?
Viêm nướu tụt lợi có thể chữa được nếu phát hiện sớm và có biện pháp điều trị phù hợp. Điều quan trọng là cần kết hợp chăm sóc răng miệng đúng cách, điều trị nha khoa chuyên sâu và duy trì thói quen phòng ngừa để tránh tái phát.
Chăm sóc răng miệng không chỉ giúp ngăn ngừa viêm nướu tụt lợi mà còn bảo vệ nụ cười rạng rỡ và sức khỏe tổng thể. Ở phần tiếp theo, chúng ta sẽ giải đáp những thắc mắc thường gặp liên quan đến viêm nướu tụt lợi.
VIII. Giải Đáp Thắc Mắc Thường Gặp Về Viêm Nướu Tụt Lợi
1. Viêm Lợi Chảy Máu Có Phải Là Dấu Hiệu Của Tụt Lợi Không?
Chảy máu khi đánh răng hoặc dùng chỉ nha khoa có thể là dấu hiệu ban đầu của viêm nướu, nhưng không phải lúc nào cũng dẫn đến tụt lợi. Nếu không được điều trị, tình trạng viêm kéo dài có thể làm suy yếu mô nướu, dẫn đến tụt nướu răng theo thời gian.
2. Đau Răng Do Tụt Lợi Nên Làm Gì?
Nếu bạn bị đau răng do tụt lợi, hãy:
- Tránh ăn đồ nóng, lạnh, chua, ngọt để giảm ê buốt.
- Dùng kem đánh răng chuyên dụng cho răng nhạy cảm giúp bảo vệ men răng.
- Súc miệng nước muối ấm hoặc nước súc miệng kháng khuẩn để giảm viêm.
- Đến nha khoa để được kiểm tra và điều trị kịp thời, tránh bệnh tiến triển nặng hơn.
3. Tụt Nướu Chân Răng Có Tự Khỏi Được Không?
Không, tụt nướu không thể tự phục hồi như các mô khác trong cơ thể. Khi nướu đã bị tụt, bạn cần áp dụng các biện pháp điều trị phù hợp như cạo vôi răng, ghép nướu hoặc điều trị bằng laser để phục hồi mô nướu.
4. Viêm Nướu Tụt Lợi Điều Trị Bao Lâu Thì Khỏi?
Thời gian điều trị tùy thuộc vào mức độ nặng nhẹ của bệnh. Nếu được phát hiện sớm và điều trị kịp thời, chỉ cần vài tuần để cải thiện. Trong trường hợp nặng hơn, có thể mất vài tháng, đặc biệt nếu cần phẫu thuật ghép nướu.
5. Làm Sao Để Biết Mình Cần Phẫu Thuật Ghép Nướu?
Phẫu thuật ghép nướu thường được chỉ định khi:
- Chân răng lộ quá nhiều, gây mất thẩm mỹ hoặc ê buốt nghiêm trọng.
- Tụt lợi ảnh hưởng đến chức năng ăn nhai.
- Viêm nha chu đã làm tiêu xương, khiến răng lung lay.
Nếu bạn lo lắng về tình trạng tụt nướu răng, hãy liên hệ Bác Sĩ Quân để được kiểm tra và tư vấn phương pháp điều trị phù hợp.

IX. Chuyên Gia Hàng Đầu Trong Lĩnh Vực Nha Khoa
Nếu bạn đang tìm kiếm một địa bác sĩ uy tín để điều trị răng bị tụt nướu, Bác sĩ Quân chính là lựa chọn hàng đầu. Với nhiều năm kinh nghiệm trong lĩnh vực nha khoa, Bác sĩ Quân đã giúp hàng ngàn khách hàng khắc phục các vấn đề răng miệng, mang lại nụ cười khỏe mạnh và tự tin.
1. Chuyên môn và kinh nghiệm
Bác sĩ Quân là chuyên gia trong lĩnh vực nha khoa tổng quát và chuyên sâu, đặc biệt là điều trị tụt nướu, viêm nha chu, phẫu thuật ghép nướu và phục hồi răng. Với phương châm luôn đặt sức khỏe và sự hài lòng của khách hàng lên hàng đầu, Bác sĩ Quân không ngừng cập nhật những công nghệ và phương pháp điều trị tiên tiến nhất.
2. Tại sao nên chọn Bác sĩ Quân?
- Hơn 10 năm kinh nghiệm trong điều trị các vấn đề nha khoa phức tạp, đặc biệt là tụt nướu và các bệnh lý liên quan.
- Ứng dụng công nghệ hiện đại, giúp quá trình điều trị nhẹ nhàng, ít đau và đạt hiệu quả tối ưu.
- Tư vấn tận tâm, lắng nghe khách hàng, giúp đưa ra giải pháp phù hợp nhất với từng trường hợp.
- Hệ thống trang thiết bị tiên tiến, đảm bảo tiêu chuẩn vệ sinh và an toàn trong quá trình điều trị.
Thông tin liên hệ bác sĩ Quân:
Địa chỉ: 35-37 Nguyễn Thị Thập, Q. 7, Tp HCM, Việt Nam
Điện thoại: 078 751 5858
Email:
Website: https://drtadongquan.com
Facebook: Bác Sĩ Quân
Bạn có thể đặt lịch tư vấn trực tiếp để được bác sĩ thăm khám, đánh giá tình trạng răng miệng cụ thể và đưa ra phương án điều trị phù hợp nhất.
Tụt nướu: Nguy cơ lớn từ một vấn đề nhỏ – Xem ngay!