Bệnh tụt nướu răng là tình trạng nướu bị thoái hóa, làm lộ chân răng và gây ê buốt. Nếu không điều trị kịp thời, tụt nướu có thể dẫn đến viêm nhiễm, thậm chí mất răng. Vậy nguyên nhân nào gây ra tụt nướu? Có những phương pháp nào để điều trị hiệu quả? Hãy cùng tìm hiểu ngay!
I. Bệnh Tụt Nướu Răng Là Gì?
Bệnh tụt nướu răng xảy ra khi mô nướu co rút, làm lộ chân răng và khiến răng trở nên nhạy cảm. Đây là dấu hiệu cảnh báo sức khỏe răng miệng suy giảm, có thể dẫn đến viêm nha chu, sâu răng, thậm chí mất răng nếu không được điều trị kịp thời.
1. Nguyên Nhân Gây Tụt Nướu
- Chải răng sai cách: Dùng bàn chải lông cứng, chải mạnh làm tổn thương nướu.
- Viêm nha chu: Vi khuẩn tích tụ gây viêm, phá hủy mô nướu.
- Nghiến răng: Gây áp lực lên răng và nướu, làm nướu bị tụt.
- Hút thuốc lá: Làm giảm lưu thông máu đến nướu, khiến nướu yếu dần.
- Thiếu vitamin C: Khiến nướu dễ chảy máu và suy yếu.
2. Các Cấp Độ Tụt Nướu
- Nhẹ: Nướu co rút ít, chưa ảnh hưởng nghiêm trọng.
- Trung bình: Chân răng lộ rõ, răng ê buốt.
- Nặng: Nướu mất nhiều, răng lung lay, nguy cơ mất răng cao.
3. Tụt Nướu Có Nguy Hiểm Không?
Tụt nướu không chỉ ảnh hưởng thẩm mỹ mà còn làm tăng nguy cơ sâu răng, viêm nha chu, lung lay răng và khó khăn khi ăn nhai. Việc phát hiện và điều trị sớm sẽ giúp bảo vệ sức khỏe răng miệng, duy trì nụ cười khỏe mạnh lâu dài.
Tìm hiểu thêm: Tụt nướu

II. Nguyên Nhân Gây Bệnh Tụt Nướu Răng
Bệnh tụt nướu răng không phải là hiện tượng tự nhiên mà thường do nhiều yếu tố tác động. Nếu không được kiểm soát sớm, tụt nướu có thể tiến triển nặng, dẫn đến viêm nha chu và mất răng. Dưới đây là những nguyên nhân phổ biến gây bệnh tụt nướu răng.
1. Chải Răng Sai Cách
Chải răng quá mạnh, sử dụng bàn chải lông cứng hoặc chải ngang có thể làm mòn mô nướu, khiến nướu co rút theo thời gian. Điều này làm lộ chân răng và tăng nguy cơ ê buốt.
Giải pháp:
- Dùng bàn chải lông mềm, chải nhẹ nhàng theo chuyển động tròn.
- Sử dụng kem đánh răng chứa fluoride giúp bảo vệ men răng và nướu.
2. Viêm Nướu Và Bệnh Nha Chu
Vi khuẩn từ mảng bám và cao răng tích tụ lâu ngày sẽ gây viêm nướu, làm nướu sưng đỏ và chảy máu. Nếu không được điều trị, viêm nướu sẽ tiến triển thành viêm nha chu, làm tiêu xương ổ răng và khiến nướu tụt dần.
Giải pháp:
- Cạo vôi răng định kỳ để loại bỏ vi khuẩn.
- Dùng chỉ nha khoa và nước súc miệng kháng khuẩn để hạn chế mảng bám.
3. Hút Thuốc Lá
Nicotine trong thuốc lá làm giảm lưu thông máu đến nướu, khiến mô nướu yếu và dễ bị tổn thương. Người hút thuốc có nguy cơ mắc bệnh tụt nướu răng cao hơn so với người không hút thuốc.
Giải pháp:
- Hạn chế hoặc bỏ thuốc lá để bảo vệ sức khỏe răng miệng.
- Tăng cường bổ sung vitamin C giúp nướu phục hồi tốt hơn.
4. Nghiến Răng
Thói quen nghiến răng khi ngủ hoặc căng thẳng tạo áp lực lớn lên răng và nướu, làm nướu co rút dần theo thời gian.
Giải pháp:
- Đeo máng chống nghiến răng khi ngủ.
- Giảm căng thẳng bằng các bài tập thư giãn cơ hàm.
5. Thay Đổi Nội Tiết Tố
Phụ nữ trong giai đoạn dậy thì, mang thai hoặc mãn kinh dễ mắc bệnh tụt nướu răng hơn do sự thay đổi hormone, làm nướu nhạy cảm hơn với vi khuẩn.
Giải pháp:
- Chăm sóc răng miệng kỹ lưỡng trong các giai đoạn này.
- Bổ sung thực phẩm giàu canxi và vitamin D để duy trì sức khỏe nướu.
6. Thiếu Hụt Vitamin C
Vitamin C đóng vai trò quan trọng trong việc bảo vệ mô nướu. Thiếu hụt vitamin C có thể khiến nướu yếu, dễ viêm và co rút.
Giải pháp:
- Ăn nhiều thực phẩm giàu vitamin C như cam, chanh, dâu tây, ớt chuông.
- Uống đủ nước để duy trì độ ẩm cho nướu.
7. Cấu Trúc Xương Hàm Và Răng Bất Thường
Một số người có răng mọc lệch hoặc cấu trúc xương hàm bất thường khiến nướu dễ bị tổn thương và tụt xuống theo thời gian.
Giải pháp:
- Niềng răng nếu cần để điều chỉnh vị trí răng.
- Khám nha khoa định kỳ để theo dõi và điều trị sớm nếu có dấu hiệu tụt nướu.
8. Cách Phòng Ngừa Bệnh Tụt Nướu Răng
- Chải răng đúng cách, dùng bàn chải lông mềm.
- Sử dụng chỉ nha khoa và nước súc miệng diệt khuẩn.
- Cạo vôi răng định kỳ để loại bỏ vi khuẩn gây viêm nướu.
- Bỏ thuốc lá, hạn chế nghiến răng để bảo vệ nướu.
- Bổ sung đầy đủ vitamin C, canxi và duy trì chế độ ăn lành mạnh.
- Khám nha khoa định kỳ để phát hiện và điều trị kịp thời.
Việc nhận biết sớm nguyên nhân gây bệnh tụt nướu răng sẽ giúp bạn có biện pháp phòng ngừa hiệu quả, bảo vệ răng miệng khỏe mạnh và duy trì nụ cười tự tin. Nếu bạn gặp dấu hiệu tụt nướu, hãy đến nha khoa để được kiểm tra và điều trị kịp thời.
Xem Thêm: Cười hở nướu

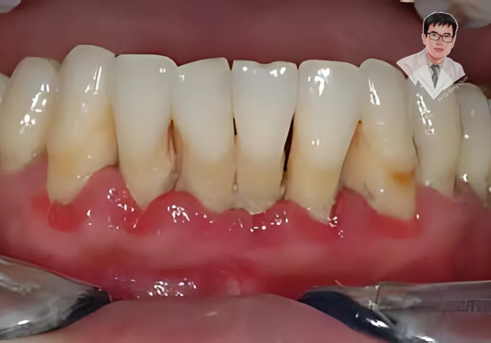
III. Dấu Hiệu Nhận Biết Bệnh Tụt Nướu Răng - Đừng Bỏ Qua Những Thay Đổi Nhỏ
Bệnh tụt nướu răng thường tiến triển chậm, khiến nhiều người không nhận ra ngay từ đầu. Tuy nhiên, nếu chú ý, bạn có thể nhận biết các dấu hiệu sớm để kịp thời can thiệp, ngăn chặn tình trạng nướu co rút nghiêm trọng hơn.
1. Chân Răng Lộ Rõ
Dấu hiệu dễ nhận biết nhất của bệnh tụt nướu răng là răng trông dài hơn bình thường do phần chân răng bị lộ. Khi mô nướu co rút, không còn che phủ hết chân răng, răng trở nên nhạy cảm hơn và dễ bị tổn thương.
Cách nhận biết:
- Quan sát thấy răng có vẻ dài hơn so với trước đây.
- Xuất hiện các khe hở giữa răng, tạo điều kiện cho thức ăn mắc kẹt.
2. Răng Ê Buốt Và Nhạy Cảm
Tụt nướu răng làm lộ phần ngà răng, khiến răng trở nên nhạy cảm hơn với nhiệt độ nóng, lạnh hoặc thực phẩm có tính axit.
Dấu hiệu điển hình:
- Ê buốt khi ăn uống đồ nóng, lạnh, chua hoặc ngọt.
- Cảm giác đau nhẹ khi hít thở không khí lạnh.
- Ê buốt kéo dài ngay cả khi không có tác động trực tiếp.
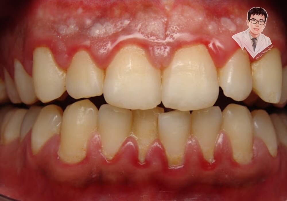
3. Chảy Máu Chân Răng Khi Đánh Răng
Nếu bạn thấy máu xuất hiện khi chải răng hoặc dùng chỉ nha khoa, đó có thể là dấu hiệu viêm nướu – một trong những nguyên nhân chính gây tụt nướu răng.
Triệu chứng thường gặp:
- Nướu chảy máu ngay cả khi đánh răng nhẹ nhàng.
- Chỉ nha khoa có dính máu sau khi sử dụng.
4. Nướu Sưng Đỏ, Đau Nhức
Tụt nướu răng không chỉ làm lộ chân răng mà còn khiến nướu dễ bị viêm nhiễm. Khi vi khuẩn tấn công, nướu có thể sưng đỏ, đau nhức và trở nên nhạy cảm hơn.
Cách nhận biết:
- Nướu có màu đỏ thẫm thay vì hồng nhạt.
- Xuất hiện cảm giác đau hoặc nhức nhẹ ở vùng nướu bị tụt.
5. Hơi Thở Có Mùi Hôi
Hôi miệng dai dẳng có thể là dấu hiệu của bệnh tụt nướu răng. Khi nướu bị co rút, vi khuẩn dễ tích tụ trong túi nha chu, gây ra mùi hôi dù bạn đã vệ sinh răng miệng kỹ.
Dấu hiệu nhận biết:
- Hơi thở có mùi khó chịu, không cải thiện dù đánh răng thường xuyên.
- Cảm giác có vị lạ trong miệng do vi khuẩn tích tụ.
6. Răng Lung Lay Hoặc Thay Đổi Vị Trí
Khi bệnh tụt nướu răng tiến triển nghiêm trọng, mô nướu và xương ổ răng bị tổn thương, làm giảm khả năng bám giữ của răng. Nếu không điều trị kịp thời, răng có thể lung lay hoặc xô lệch.
Dấu hiệu dễ thấy:
- Cảm giác răng không còn chắc chắn khi ấn nhẹ.
- Khoảng cách giữa các răng thay đổi, tạo ra khe hở mới.
7. Xuất Hiện Khe Hở Giữa Các Răng
Khi nướu co rút, phần giữa các răng có thể bị trống, tạo ra khe hở lớn hơn bình thường. Điều này không chỉ ảnh hưởng đến thẩm mỹ mà còn làm tăng nguy cơ mắc thức ăn, gây viêm nhiễm.
Dấu hiệu nhận biết:
- Nhìn thấy rõ khoảng trống giữa các răng.
- Thường xuyên bị mắc thức ăn ở những vị trí này.
8. Thay Đổi Khớp Cắn Khi Nhai
Bệnh tụt nướu răng có thể làm thay đổi cấu trúc răng và nướu, dẫn đến cảm giác khác lạ khi nhai hoặc cắn thức ăn.
Biểu hiện:
- Cảm giác lệch khớp cắn khi ăn nhai.
- Răng trên và răng dưới không khớp với nhau như trước.
9. Khi Nào Cần Đến Nha Khoa?
Nếu bạn nhận thấy một hoặc nhiều dấu hiệu trên, hãy đến nha khoa càng sớm càng tốt để được kiểm tra và có hướng điều trị phù hợp. Việc phát hiện và xử lý bệnh tụt nướu răng từ giai đoạn đầu sẽ giúp ngăn chặn các biến chứng nghiêm trọng hơn, bảo vệ sức khỏe răng miệng lâu dài.
Xem Thêm: Điều trị tụt nướu - Viêm nha chu

IV. Cách Chữa Bệnh Tụt Nướu Răng Tại Nhà - Biện Pháp Đơn Giản, Hiệu Quả
Bệnh tụt nướu răng có thể được kiểm soát và cải thiện nếu bạn áp dụng đúng phương pháp chăm sóc răng miệng ngay từ đầu. Dưới đây là một số biện pháp đơn giản mà bạn có thể thực hiện tại nhà để bảo vệ nướu và ngăn ngừa tình trạng nướu tiếp tục co rút.
1. Chăm Sóc Răng Miệng Đúng Cách
Vệ sinh răng miệng đúng cách là yếu tố quan trọng giúp ngăn ngừa bệnh tụt nướu răng. Nếu chải răng sai kỹ thuật, nướu có thể bị tổn thương nghiêm trọng hơn.
Hướng dẫn chải răng đúng cách:
- Dùng bàn chải lông mềm để tránh làm tổn thương nướu.
- Chải răng nhẹ nhàng theo chuyển động tròn, không chải ngang.
- Sử dụng kem đánh răng chứa fluoride giúp bảo vệ men răng.
- Đánh răng ít nhất 2 lần/ngày vào buổi sáng và trước khi đi ngủ.
Ngoài ra, sử dụng chỉ nha khoa và nước súc miệng sát khuẩn cũng rất quan trọng để loại bỏ vi khuẩn trong kẽ răng, giúp hạn chế nguy cơ viêm nướu.
2. Điều Chỉnh Chế Độ Ăn Uống
Chế độ ăn uống có ảnh hưởng lớn đến sức khỏe răng miệng. Việc bổ sung các dưỡng chất cần thiết có thể giúp nướu chắc khỏe hơn, giảm nguy cơ bị tụt nướu.
Nên bổ sung:
- Vitamin C (cam, chanh, ớt chuông) giúp tăng cường sức khỏe nướu.
- Canxi và vitamin D (sữa, hải sản, rau xanh) giúp xương và răng chắc khỏe.
- Nước lọc giúp loại bỏ vi khuẩn, bảo vệ men răng.
Nên hạn chế:
- Đồ ăn nhiều đường, dễ gây sâu răng và viêm nướu.
- Thực phẩm quá nóng hoặc quá lạnh có thể làm răng nhạy cảm hơn.
- Đồ ăn quá cứng có thể làm tổn thương răng và nướu.
3. Cách Trị Tụt Nướu Răng Tại Nhà Bằng Nguyên Liệu Tự Nhiên
Một số biện pháp thiên nhiên có thể giúp giảm viêm, bảo vệ nướu khỏi vi khuẩn, hỗ trợ điều trị bệnh tụt nướu răng.
- Súc miệng bằng nước muối ấm: Giúp sát khuẩn, giảm viêm nướu và ngăn ngừa vi khuẩn phát triển.
- Dùng gel nha đam (lô hội): Bôi một lớp mỏng lên vùng nướu bị tụt để giúp làm dịu viêm và thúc đẩy tái tạo mô nướu.
- Dầu dừa hoặc dầu oliu: Súc miệng bằng dầu dừa giúp giảm vi khuẩn, làm sạch khoang miệng và bảo vệ nướu.
4. Ngăn Chặn Tác Động Tiêu Cực Đến Nướu
- Hạn chế hút thuốc lá để tránh làm suy yếu mô nướu.
- Kiểm soát nghiến răng, có thể sử dụng máng chống nghiến nếu cần.
- Khám nha khoa định kỳ để phát hiện sớm các vấn đề về nướu và có biện pháp điều trị kịp thời.
Tuy các biện pháp tại nhà có thể giúp ngăn ngừa và làm giảm nhẹ tình trạng tụt nướu răng, nhưng nếu nướu đã tụt nghiêm trọng, bạn cần đến nha sĩ để được tư vấn và điều trị chuyên sâu.
Chữa tụt nướu tại nhà – Hiệu quả bất ngờ, thử ngay!

V. Điều Trị Bệnh Tụt Nướu Răng Chuyên Sâu Tại Nha Khoa - Giải Pháp Triệt Để
Nếu bệnh tụt nướu răng đã tiến triển nặng, các biện pháp chăm sóc tại nhà có thể không còn hiệu quả. Khi đó, việc điều trị tại nha khoa là cần thiết để ngăn ngừa biến chứng và giúp tái tạo mô nướu.
1. Bị Tụt Nướu Răng Phải Làm Sao?
Khi phát hiện dấu hiệu tụt nướu răng, bạn cần đến nha khoa sớm để được kiểm tra và tư vấn phương pháp điều trị phù hợp. Các bác sĩ sẽ đánh giá mức độ tụt nướu, tình trạng viêm nhiễm và đưa ra giải pháp điều trị hiệu quả nhất.
Các bước chẩn đoán tại nha khoa:
- Kiểm tra mức độ tụt nướu bằng mắt thường và dụng cụ đo túi nha chu.
- Chụp X-quang để đánh giá mức độ tiêu xương ổ răng.
- Đưa ra phương án điều trị phù hợp với từng tình trạng.
2. Các Phương Pháp Điều Trị Không Phẫu Thuật
Nếu bệnh tụt nướu răng còn ở mức độ nhẹ hoặc trung bình, nha sĩ có thể áp dụng các phương pháp điều trị bảo tồn để làm sạch và bảo vệ mô nướu.
- Cạo vôi răng và làm sạch túi nha chu: Loại bỏ mảng bám và cao răng, giảm vi khuẩn gây viêm nướu và tụt nướu.
- Sử dụng thuốc kháng sinh hoặc nước súc miệng kháng khuẩn: Hỗ trợ tiêu diệt vi khuẩn, giúp mô nướu khỏe mạnh hơn.
- Bọc răng bằng vật liệu composite: Giúp che phủ phần chân răng bị lộ, giảm ê buốt và bảo vệ răng khỏi tác động bên ngoài.
3. Phẫu Thuật Ghép Nướu - Giải Pháp Tái Tạo Mô Nướu
Trong trường hợp bệnh tụt nướu răng ở mức độ nặng, phẫu thuật ghép nướu là phương pháp hiệu quả nhất để khắc phục tổn thương và phục hồi thẩm mỹ cho răng.
Quy Trình Phẫu Thuật Ghép Nướu
- Bác sĩ lấy mô nướu từ vùng khác trong miệng (thường là vòm miệng) hoặc sử dụng mô nhân tạo để ghép vào vùng nướu bị tụt.
- Mô ghép sẽ được cố định bằng chỉ khâu và sẽ tự lành theo thời gian.
- Sau phẫu thuật, bệnh nhân cần tuân thủ chế độ chăm sóc đặc biệt để đảm bảo nướu hồi phục tốt.
Các Loại Phẫu Thuật Ghép Nướu
- Ghép nướu tự thân: Sử dụng mô nướu từ chính bệnh nhân để tăng khả năng tương thích.
- Ghép mô liên kết: Lấy mô từ vòm miệng và đặt vào vùng nướu bị tụt.
- Ghép mô nhân tạo: Dùng vật liệu tái tạo mô nướu thay thế, giúp kích thích sự phát triển tự nhiên của nướu.
Phẫu thuật ghép nướu không chỉ giúp cải thiện tình trạng tụt nướu mà còn giúp răng chắc khỏe hơn, ngăn ngừa mất răng về lâu dài.
4. Điều Trị Tụt Nướu Bằng Laser - Công Nghệ Hiện Đại
Liệu pháp laser là một phương pháp tiên tiến giúp điều trị bệnh tụt nướu răng mà không cần phẫu thuật xâm lấn.
Lợi ích của liệu pháp laser:
- Giảm viêm và kích thích tái tạo mô nướu.
- Không gây đau đớn và thời gian hồi phục nhanh hơn so với phẫu thuật truyền thống.
- Loại bỏ vi khuẩn trong túi nha chu, giúp nướu khỏe mạnh hơn.
Việc lựa chọn phương pháp điều trị nào sẽ tùy thuộc vào mức độ nghiêm trọng của bệnh tụt nướu răng. Để đạt hiệu quả tốt nhất, bạn nên thăm khám nha khoa sớm để được tư vấn và điều trị kịp thời.
Bạn đang thắc mắc? Click ngay để biết đáp án!

VI. Xu Hướng Điều Trị Bệnh Tụt Nướu Răng Tiên Tiến 2025 – Công Nghệ Mới Nhất
Cùng với sự phát triển của nha khoa hiện đại, các phương pháp điều trị bệnh tụt nướu răng cũng không ngừng được cải tiến để mang lại hiệu quả cao hơn, ít đau hơn và rút ngắn thời gian hồi phục. Dưới đây là những xu hướng điều trị tiên tiến nhất dự kiến sẽ trở thành xu hướng trong năm 2025.
1. Liệu Pháp Laser – Hỗ Trợ Điều Trị Tụt Nướu Không Xâm Lấn
Công nghệ laser hiện đại giúp điều trị bệnh tụt nướu răng một cách nhẹ nhàng, không cần phẫu thuật và mang lại hiệu quả nhanh chóng.
Lợi ích của liệu pháp laser:
- Tiêu diệt vi khuẩn trong túi nha chu, giúp giảm viêm nướu.
- Kích thích quá trình tái tạo mô nướu, giúp nướu phục hồi nhanh hơn.
- Ít đau hơn so với phương pháp truyền thống, không cần khâu chỉ.
- Giảm nguy cơ biến chứng, thời gian lành thương nhanh chóng.
2. Kỹ Thuật Vi Phẫu – Phẫu Thuật Ghép Nướu Ít Xâm Lấn
Kỹ thuật vi phẫu nha khoa giúp bác sĩ thao tác chính xác hơn khi điều trị bệnh tụt nướu răng, giảm đau và tăng tỷ lệ thành công của ca phẫu thuật.
Ưu điểm của vi phẫu ghép nướu:
- Ít xâm lấn, giúp bảo vệ mô nướu khỏe mạnh xung quanh.
- Tăng khả năng tích hợp mô ghép, giảm nguy cơ đào thải.
- Thời gian hồi phục nhanh hơn so với phẫu thuật truyền thống.
3. Sử Dụng Vật Liệu Tái Tạo Sinh Học Trong Ghép Nướu
Một bước tiến quan trọng trong điều trị bệnh tụt nướu răng là sử dụng vật liệu sinh học để tái tạo mô nướu. Các vật liệu này có thể là màng collagen, gel tái tạo mô hoặc mô nhân tạo, giúp kích thích quá trình tự phục hồi của nướu mà không cần lấy mô tự thân từ bệnh nhân.
Lợi ích của phương pháp này:
- Giúp tái tạo mô nướu tự nhiên mà không cần phẫu thuật phức tạp.
- Giảm nguy cơ viêm nhiễm và biến chứng sau phẫu thuật.
- Tăng cường sự liên kết giữa mô ghép và nướu tự nhiên.
4. Liệu Pháp Tế Bào Gốc – Hướng Đi Tương Lai
Liệu pháp tế bào gốc đang được nghiên cứu và có tiềm năng lớn trong điều trị bệnh tụt nướu răng. Bằng cách sử dụng tế bào gốc để kích thích sự phát triển của mô nướu mới, phương pháp này có thể giúp phục hồi nướu một cách tự nhiên mà không cần phẫu thuật ghép nướu truyền thống.
Mặc dù còn trong giai đoạn thử nghiệm, liệu pháp tế bào gốc hứa hẹn sẽ mở ra một kỷ nguyên mới trong điều trị bệnh tụt nướu răng, giúp bệnh nhân phục hồi nhanh hơn và bền vững hơn.
Bạn cần bác sĩ nha khoa giỏi? Gặp ngay Dr. Quân!
VII. Chuyên Gia Hàng Đầu Trong Lĩnh Vực Nha Khoa
Nếu bạn đang tìm kiếm một địa bác sĩ uy tín để điều trị răng bị tụt nướu, Bác sĩ Quân chính là lựa chọn hàng đầu. Với nhiều năm kinh nghiệm trong lĩnh vực nha khoa, Bác sĩ Quân đã giúp hàng ngàn khách hàng khắc phục các vấn đề răng miệng, mang lại nụ cười khỏe mạnh và tự tin.
1. Chuyên môn và kinh nghiệm
Bác sĩ Quân là chuyên gia trong lĩnh vực nha khoa tổng quát và chuyên sâu, đặc biệt là điều trị tụt nướu, viêm nha chu, phẫu thuật ghép nướu và phục hồi răng. Với phương châm luôn đặt sức khỏe và sự hài lòng của khách hàng lên hàng đầu, Bác sĩ Quân không ngừng cập nhật những công nghệ và phương pháp điều trị tiên tiến nhất.
2. Tại sao nên chọn Bác sĩ Quân?
- Hơn 10 năm kinh nghiệm trong điều trị các vấn đề nha khoa phức tạp, đặc biệt là tụt nướu và các bệnh lý liên quan.
- Ứng dụng công nghệ hiện đại, giúp quá trình điều trị nhẹ nhàng, ít đau và đạt hiệu quả tối ưu.
- Tư vấn tận tâm, lắng nghe khách hàng, giúp đưa ra giải pháp phù hợp nhất với từng trường hợp.
- Hệ thống trang thiết bị tiên tiến, đảm bảo tiêu chuẩn vệ sinh và an toàn trong quá trình điều trị.
Thông tin liên hệ bác sĩ Quân:
Địa chỉ: 35-37 Nguyễn Thị Thập, Q. 7, Tp HCM, Việt Nam
Điện thoại: 078 751 5858
Email:
Website: https://drtadongquan.com
Facebook: Bác Sĩ Quân
Bạn có thể đặt lịch tư vấn trực tiếp để được bác sĩ thăm khám, đánh giá tình trạng răng miệng cụ thể và đưa ra phương án điều trị phù hợp nhất.
Tụt nướu: Nguy cơ lớn từ một vấn đề nhỏ – Xem ngay!