Nướu đỏ sưng không chỉ gây đau rát, khó chịu mà còn là tín hiệu cảnh báo nhiều bệnh lý răng miệng nghiêm trọng như viêm nướu, viêm nha chu. Nếu không điều trị sớm, tình trạng có thể dẫn đến tụt nướu, lung lay răng. Hãy cùng tìm hiểu nguyên nhân và cách khắc phục hiệu quả.

Viêm lợi chảy máu là một bệnh lý phổ biến gây khó chịu và ảnh hưởng đến sức khỏe răng miệng. Bài viết này sẽ cung cấp thông tin về nguyên nhân gây viêm lợi và cách chữa trị hiệu quả. Nếu bạn gặp phải tình trạng này, đừng bỏ qua những biện pháp phòng ngừa và điều trị viêm lợi chảy máu đơn giản mà hiệu quả tại nhà.

Bạn đang băn khoăn giữa cắt nướu bằng laser và phẫu thuật truyền thống? Bài viết này sẽ giúp bạn so sánh chi tiết hai phương pháp về chi phí, hiệu quả, mức độ đau và thời gian hồi phục. Từ đó, bạn có thể lựa chọn giải pháp thẩm mỹ nướu an toàn, phù hợp nhất cho mình.

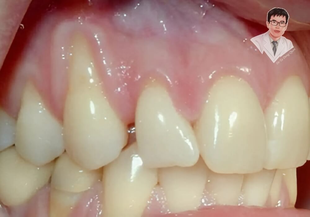
Hình ảnh mô tả tình trạng tụt nướu răng nghiêm trọng với chân răng lộ rõ, làm tăng nguy cơ viêm nha chu và mất răng. Nếu không điều trị sớm, tình trạng này có thể gây tiêu xương ổ răng.

Tụt nướu không chỉ gây ê buốt răng mà còn ảnh hưởng đến sức khỏe răng miệng. Nếu không điều trị tụt nướu kịp thời, tình trạng này có thể dẫn đến viêm nha chu và mất răng. Bài viết này sẽ giúp bạn hiểu rõ nguyên nhân tụt nướu và cách chữa dứt điểm từ phương pháp nha khoa đến cách khắc phục tại nhà để giữ cho răng luôn chắc khỏe.

Hình ảnh so sánh giữa nướu khỏe mạnh và nướu bị tụt, giúp người xem nhận biết sự khác biệt.

Tụt nướu răng là gì ? Đây là tình trạng nướu co rút, làm lộ chân răng, gây ê buốt và ảnh hưởng đến sức khỏe răng miệng. Nguyên nhân có thể do vệ sinh răng miệng kém, viêm nha chu hoặc chải răng sai cách. Vậy làm sao để điều trị và phòng ngừa tụt nướu hiệu quả?