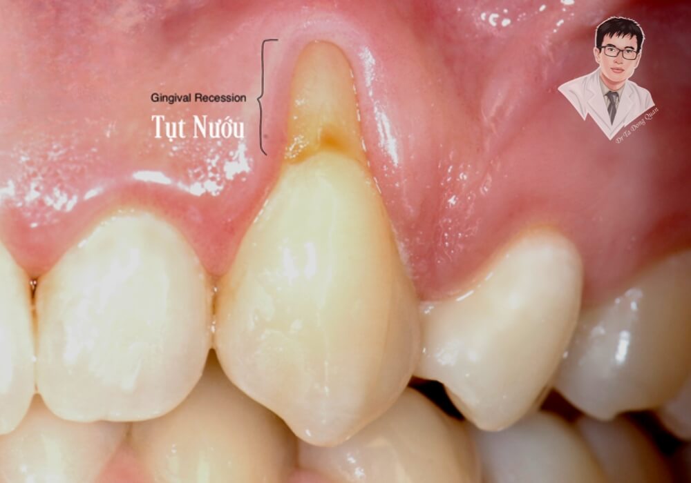
Cận cảnh một người bị tụt nướu lộ chân răng, với mũi tên đỏ chỉ vào vùng nướu bị co rút, làm lộ phần chân răng rõ rệt.

Tụt nướu lộ chân răng không chỉ gây mất thẩm mỹ mà còn làm răng ê buốt, dễ tổn thương. Tình trạng này có thể dẫn đến viêm nha chu, mất răng nếu không được điều trị kịp thời. Vậy nguyên nhân gây tụt nướu là gì? Có thể chữa trị dứt điểm không?

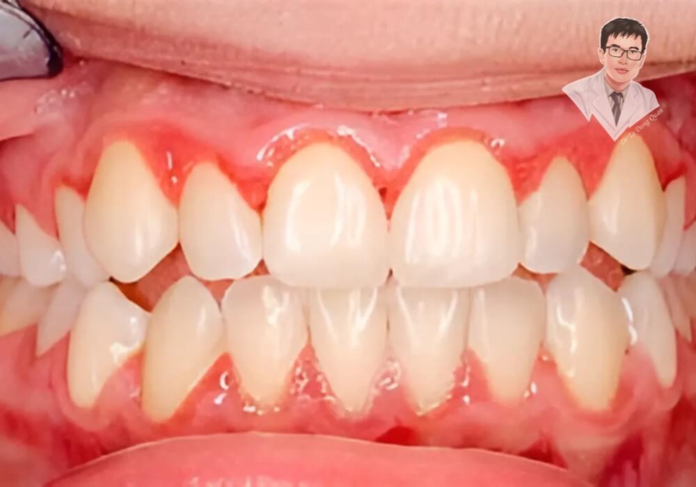
Hình ảnh cận cảnh tình trạng tụt nướu nghiêm trọng, lộ chân răng và gây ê buốt, ảnh hưởng đến sức khỏe răng miệng.

Tụt nướu không chỉ ảnh hưởng đến thẩm mỹ mà còn gây ê buốt và tổn thương răng nghiêm trọng. Vậy nguyên nhân nào dẫn đến tình trạng này? Có những phương pháp nào giúp trị tụt nướu hiệu quả? Trong bài viết này, chúng tôi sẽ giúp bạn tìm hiểu cách chăm sóc, điều trị và phòng ngừa tụt nướu để bảo vệ sức khỏe răng miệng tốt nhất

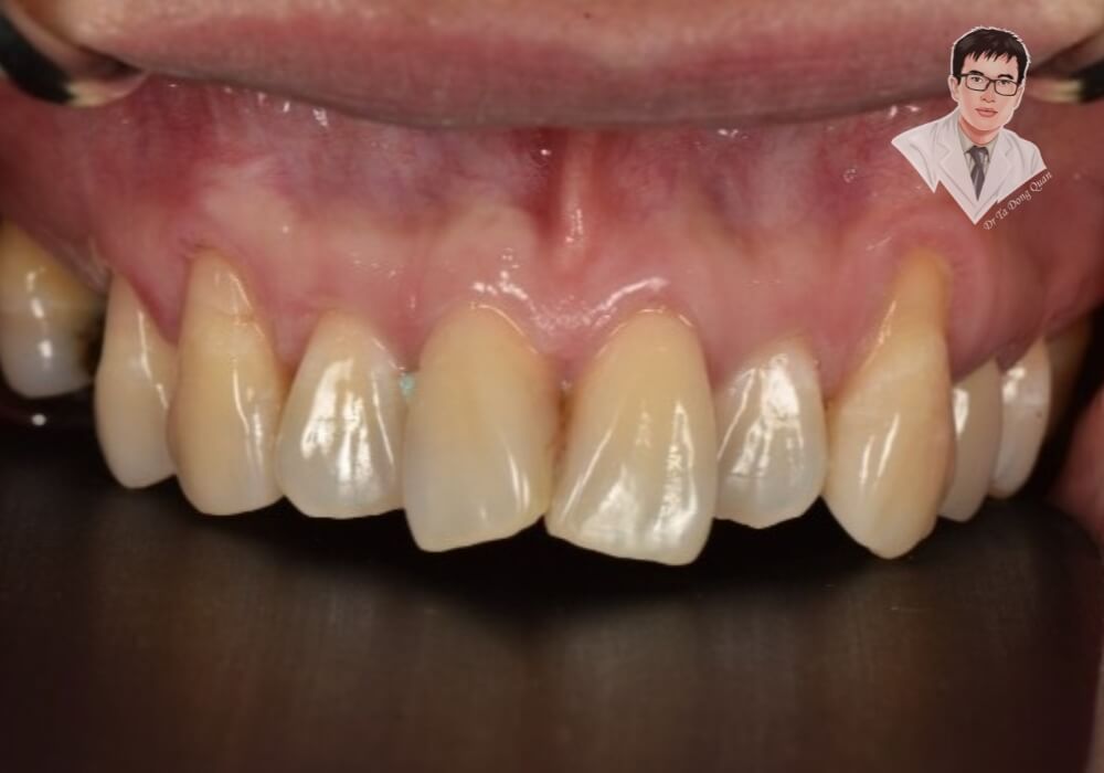
Hình ảnh cận cảnh nướu răng bị tụt, làm lộ chân răng và có thể gây ê buốt nghiêm trọng nếu không điều trị kịp thời.

Tụt nướu răng không chỉ ảnh hưởng thẩm mỹ mà còn gây ê buốt, viêm nha chu nếu không điều trị kịp thời. Vậy cách trị tụt nướu răng nào hiệu quả nhất trong năm 2025? Bài viết này sẽ giúp bạn hiểu rõ nguyên nhân, phương pháp khắc phục nhanh chóng, an toàn và những mẹo bảo vệ nướu răng tốt nhất!

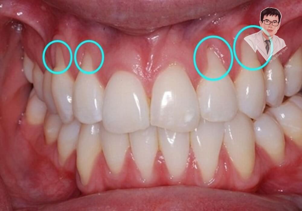
 Hình ảnh mô tả chi tiết những dấu hiệu nhận biết của tụt nướu răng, vòng tròn đánh dấu rõ vị trí nướu bị tụt

Tụt nướu răng không chỉ ảnh hưởng thẩm mỹ mà còn gây ê buốt, viêm nha chu nếu không điều trị kịp thời. Vậy cách trị tụt nướu răng nào hiệu quả nhất trong năm 2025? Bài viết này sẽ giúp bạn hiểu rõ nguyên nhân, phương pháp khắc phục nhanh chóng, an toàn và những mẹo bảo vệ nướu răng tốt nhất!