Tụt nướu răng không chỉ ảnh hưởng đến thẩm mỹ mà còn gây ê buốt, đau nhức. Bạn đang tìm cách trị tụt nướu răng tại nhà an toàn, hiệu quả? Hãy khám phá ngay các phương pháp tự nhiên giúp phục hồi nướu, ngăn ngừa viêm lợi và bảo vệ răng miệng. Áp dụng ngay để có hàm răng chắc khỏe!
I. Tụt nướu răng – Ảnh hưởng và cách khắc phục tại nhà
1. Tụt nướu răng là gì?
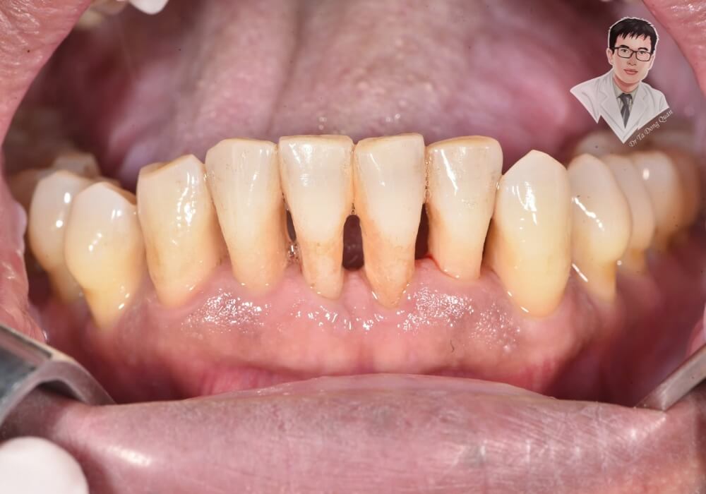
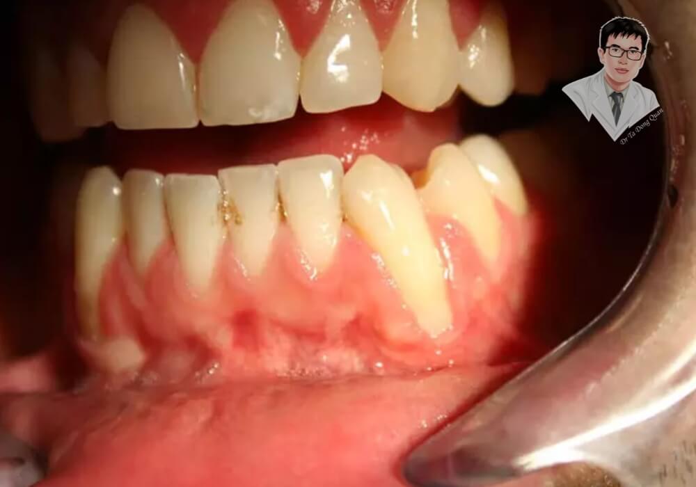
Tụt nướu răng là tình trạng mô nướu bị co rút, làm lộ chân răng và tạo khoảng trống giữa răng và nướu. Điều này khiến vi khuẩn dễ xâm nhập, làm tăng nguy cơ sâu răng, viêm nha chu và có thể dẫn đến mất răng nếu không được điều trị kịp thời. Không chỉ ảnh hưởng đến sức khỏe răng miệng, tụt nướu còn làm giảm thẩm mỹ, khiến răng trông dài hơn và dễ bị ê buốt khi tiếp xúc với thực phẩm nóng, lạnh.
2. Tầm quan trọng của việc điều trị tụt nướu răng
Điều trị tụt nướu không chỉ giúp cải thiện vẻ ngoài của răng mà còn bảo vệ sức khỏe răng miệng lâu dài. Khi nướu khỏe mạnh, răng được bảo vệ khỏi vi khuẩn, giảm nguy cơ viêm nhiễm và tổn thương cấu trúc răng. Nếu không can thiệp kịp thời, tình trạng tụt nướu có thể dẫn đến tiêu xương ổ răng, khiến răng lung lay và ảnh hưởng đến chức năng nhai.
3. Giải pháp khắc phục tụt nướu răng tại nhà
Có nhiều phương pháp tự nhiên giúp khắc phục tình trạng tụt nướu một cách an toàn và tiết kiệm. Sử dụng dầu dừa, nha đam, mật ong hoặc trà xanh có thể hỗ trợ giảm viêm, kích thích tái tạo mô nướu và cải thiện sức khỏe răng miệng. Bên cạnh đó, thay đổi thói quen chăm sóc răng miệng như sử dụng bàn chải lông mềm, chải răng đúng cách và bổ sung thực phẩm giàu vitamin C cũng giúp ngăn ngừa tình trạng tụt nướu hiệu quả.
Bài viết này sẽ hướng dẫn bạn cách trị tụt nướu răng tại nhà một cách chi tiết, giúp bạn cải thiện sức khỏe răng miệng, bảo vệ nụ cười và ngăn ngừa các vấn đề nghiêm trọng về răng nướu trong tương lai.

II. Nguyên nhân gây tụt nướu răng
1. Vệ sinh răng miệng không đúng cách
Chăm sóc răng miệng không đúng cách là nguyên nhân hàng đầu gây tụt nướu. Chải răng quá mạnh hoặc sử dụng bàn chải lông cứng có thể làm tổn thương mô nướu, khiến nướu co rút dần. Ngoài ra, không dùng chỉ nha khoa khiến mảng bám và vi khuẩn tích tụ ở kẽ răng, gây viêm nướu và làm nướu yếu đi theo thời gian. Việc bỏ qua bước làm sạch lưỡi cũng tạo điều kiện cho vi khuẩn phát triển, ảnh hưởng đến sức khỏe răng nướu.
2. Bệnh nha chu
Viêm nướu và viêm nha chu là những bệnh lý nghiêm trọng ảnh hưởng đến mô nướu và xương nâng đỡ răng. Khi vi khuẩn tích tụ quá mức, chúng gây viêm nhiễm, làm suy yếu nướu và khiến nướu dần tụt xuống. Nếu không được điều trị kịp thời, viêm nha chu có thể gây tiêu xương, làm răng lung lay và tăng nguy cơ mất răng.
3. Các yếu tố khác
Ngoài việc vệ sinh răng miệng sai cách và bệnh lý nha chu, tụt nướu còn do nhiều yếu tố khác. Cao răng tích tụ lâu ngày có thể làm vi khuẩn phát triển, gây kích ứng và viêm nhiễm mô nướu. Sự thay đổi nội tiết tố trong các giai đoạn như dậy thì, mang thai, mãn kinh khiến nướu nhạy cảm và dễ bị viêm hơn.
Yếu tố di truyền cũng đóng vai trò quan trọng, nếu gia đình có tiền sử tụt nướu, bạn sẽ có nguy cơ cao hơn. Hút thuốc lá làm giảm lưu lượng máu đến nướu, khiến mô nướu yếu đi và khó phục hồi. Thói quen nghiến răng tạo áp lực lớn lên răng và nướu, làm nướu co rút nhanh hơn.
Thiếu hụt vitamin C khiến cơ thể khó tái tạo mô nướu và tăng nguy cơ viêm nhiễm. Một số bệnh lý như tiểu đường và HIV/AIDS cũng làm suy giảm hệ miễn dịch, khiến nướu dễ bị tổn thương hơn.
Việc hiểu rõ nguyên nhân gây tụt nướu giúp bạn có biện pháp phòng ngừa và điều trị hiệu quả, bảo vệ sức khỏe răng miệng lâu dài.
Tìm hiểu thêm: Tụt nướu răng

III. Tụt nướu răng có nguy hiểm không?
1. Ảnh hưởng đến thẩm mỹ nụ cười
Tụt nướu làm lộ chân răng, khiến răng trông dài hơn bình thường. Điều này không chỉ ảnh hưởng đến sự cân đối của hàm răng mà còn khiến nụ cười kém tự nhiên. Với những người có nướu răng mỏng, tình trạng này càng dễ nhận thấy, làm giảm sự tự tin trong giao tiếp.
2. Gây ê buốt và nhạy cảm với thức ăn
Chân răng không được lớp men răng bảo vệ như thân răng, khi bị lộ ra ngoài sẽ dễ bị kích thích bởi thực phẩm nóng, lạnh, chua hoặc ngọt. Điều này khiến người mắc phải cảm thấy khó chịu khi ăn uống, thậm chí có thể ảnh hưởng đến chế độ dinh dưỡng nếu không được khắc phục kịp thời.
3. Tăng nguy cơ sâu răng và viêm tủy răng
Khi nướu tụt xuống, khoảng trống giữa răng và nướu tạo điều kiện cho vi khuẩn phát triển mạnh mẽ. Vi khuẩn tấn công chân răng dễ dàng hơn, dẫn đến sâu răng và viêm tủy răng. Nếu không được điều trị, tình trạng này có thể gây tổn thương nghiêm trọng, làm răng yếu đi và dễ gãy rụng.
4. Dẫn đến tiêu xương ổ răng, răng lung lay và mất răng
Tụt nướu kéo dài mà không được kiểm soát có thể làm tiêu xương ổ răng, khiến chân răng mất đi sự nâng đỡ vững chắc. Khi xương răng bị tiêu biến, răng trở nên lung lay, gây khó khăn trong việc nhai nuốt và có nguy cơ mất răng vĩnh viễn. Nếu không có biện pháp điều trị kịp thời, việc phục hồi răng mất sẽ phức tạp hơn và tốn kém hơn rất nhiều.
Việc hiểu rõ những tác hại của tụt nướu giúp bạn nhận thức được mức độ nghiêm trọng của tình trạng này. Điều quan trọng là phát hiện sớm và áp dụng các phương pháp điều trị phù hợp để bảo vệ sức khỏe răng miệng lâu dài.

IV. Cách trị tụt nướu răng tại nhà bằng phương pháp tự nhiên
1. Sử dụng dầu dừa để súc miệng
Dầu dừa có đặc tính kháng khuẩn tự nhiên, giúp loại bỏ vi khuẩn gây viêm nướu và hỗ trợ phục hồi mô nướu bị tổn thương. Súc miệng bằng dầu dừa mỗi sáng trong khoảng 10 - 15 phút giúp làm sạch khoang miệng, giảm viêm và hỗ trợ cải thiện tình trạng tụt nướu. Đây là phương pháp đơn giản nhưng mang lại hiệu quả rõ rệt khi được thực hiện thường xuyên.
2. Bôi gel nha đam để làm dịu nướu
Nha đam chứa nhiều dưỡng chất giúp làm dịu viêm, giảm sưng và kích thích tái tạo mô nướu. Bạn có thể thoa trực tiếp gel nha đam lên vùng nướu bị tụt và giữ trong vài phút trước khi súc miệng. Việc áp dụng thường xuyên sẽ giúp nướu khỏe mạnh hơn, giảm nguy cơ viêm nhiễm và cải thiện tình trạng co rút nướu.
3. Uống và súc miệng bằng trà xanh
Trà xanh giàu chất chống oxy hóa, giúp giảm viêm, tiêu diệt vi khuẩn và bảo vệ nướu khỏi tác nhân gây hại. Uống một ly trà xanh mỗi ngày hoặc súc miệng bằng nước trà xanh giúp ngăn ngừa vi khuẩn phát triển và hỗ trợ mô nướu phục hồi tự nhiên.
4. Dùng mật ong để kháng khuẩn
Mật ong có đặc tính kháng khuẩn mạnh, giúp bảo vệ nướu khỏi vi khuẩn gây viêm nhiễm. Bạn có thể bôi một lớp mật ong lên nướu hoặc pha với nước ấm để súc miệng hàng ngày. Điều này giúp giảm viêm, làm lành các tổn thương nhỏ trên nướu và tăng cường khả năng chống lại vi khuẩn gây hại.
5. Súc miệng bằng nước muối ấm
Nước muối là phương pháp đơn giản nhưng hiệu quả trong việc sát khuẩn và giảm viêm nướu. Súc miệng bằng nước muối ấm hai lần mỗi ngày giúp làm sạch khoang miệng, loại bỏ vi khuẩn và hỗ trợ quá trình phục hồi mô nướu bị tổn thương.
6. Tinh dầu tràm trà giúp giảm viêm
Tinh dầu tràm trà có tính kháng khuẩn mạnh mẽ, giúp kiểm soát vi khuẩn và nấm trong khoang miệng. Pha loãng vài giọt tinh dầu tràm trà với nước và súc miệng mỗi ngày để bảo vệ nướu và giảm viêm hiệu quả.
7. Thay đổi chế độ ăn uống để hỗ trợ phục hồi nướu
Bổ sung các loại thực phẩm giàu vitamin C như cam, ổi, bưởi giúp tăng cường sức đề kháng và hỗ trợ quá trình tái tạo mô nướu. Hạn chế thực phẩm có đường và đồ uống có gas để giảm nguy cơ vi khuẩn phát triển, ảnh hưởng đến sức khỏe nướu.
Việc áp dụng các phương pháp tự nhiên này giúp bảo vệ và phục hồi nướu một cách an toàn, hiệu quả. Khi kết hợp với thói quen chăm sóc răng miệng đúng cách, bạn sẽ ngăn ngừa tình trạng tụt nướu và giữ cho nụ cười luôn khỏe mạnh.

V. Sử dụng sản phẩm hỗ trợ điều trị tụt nướu răng
1. Kem đánh răng chuyên dụng cho răng nhạy cảm và tụt nướu
Việc lựa chọn kem đánh răng phù hợp đóng vai trò quan trọng trong việc bảo vệ và hỗ trợ phục hồi nướu. Các loại kem đánh răng chứa Potassium Nitrate, Stannous Fluoride hoặc Hydroxyapatite giúp giảm ê buốt, củng cố men răng và ngăn ngừa vi khuẩn tấn công chân răng. Khi sử dụng thường xuyên, những thành phần này giúp nướu khỏe mạnh hơn, giảm nguy cơ viêm nhiễm và hạn chế tình trạng nướu tiếp tục co rút.
2. Nước súc miệng kháng khuẩn giúp giảm viêm nướu
Nước súc miệng chứa các thành phần kháng khuẩn như Chlorhexidine, Cetylpyridinium Chloride hoặc tinh dầu thiên nhiên có tác dụng tiêu diệt vi khuẩn gây viêm nướu, giảm mảng bám và giữ hơi thở thơm mát. Tuy nhiên, nước súc miệng chứa Chlorhexidine chỉ nên sử dụng trong khoảng 1-2 tuần theo hướng dẫn của nha sĩ để tránh tình trạng mất cân bằng vi khuẩn trong khoang miệng.
3. Bàn chải răng và chỉ nha khoa giúp bảo vệ nướu
Sử dụng bàn chải lông mềm giúp giảm áp lực lên nướu, ngăn ngừa tổn thương và hạn chế nguy cơ tụt nướu. Chỉ nha khoa giúp loại bỏ mảng bám ở kẽ răng, giảm vi khuẩn tích tụ và ngăn ngừa viêm nướu. Kết hợp hai phương pháp này hàng ngày giúp duy trì nướu khỏe mạnh, giảm nguy cơ tụt nướu tái phát.
Việc kết hợp các sản phẩm chăm sóc răng miệng chuyên biệt với các phương pháp tự nhiên giúp cải thiện đáng kể tình trạng tụt nướu, ngăn ngừa viêm nhiễm và bảo vệ răng miệng toàn diện.

VI. Cách phòng ngừa tụt nướu răng
1. Chải răng đúng cách để bảo vệ nướu
Chải răng không đúng cách có thể làm tổn thương nướu, dẫn đến tụt nướu theo thời gian. Sử dụng bàn chải lông mềm và chải răng nhẹ nhàng theo chuyển động tròn hoặc dọc giúp loại bỏ mảng bám mà không gây tổn thương nướu. Đánh răng ít nhất hai lần mỗi ngày và không nên chải quá mạnh để tránh làm nướu bị mài mòn.
2. Sử dụng chỉ nha khoa và tăm nước để làm sạch kẽ răng
Chỉ đánh răng không thể loại bỏ hết vi khuẩn tích tụ trong kẽ răng. Dùng chỉ nha khoa hoặc máy tăm nước mỗi ngày giúp làm sạch mảng bám ở những vị trí khó tiếp cận, giảm nguy cơ viêm nướu và ngăn chặn tình trạng nướu co rút. Thói quen này không chỉ giữ răng sạch sẽ mà còn hỗ trợ bảo vệ nướu một cách toàn diện.
3. Khám răng định kỳ để phát hiện và xử lý sớm
Thăm khám nha sĩ ít nhất 6 tháng một lần giúp kiểm tra tình trạng răng nướu và phát hiện sớm các dấu hiệu viêm nhiễm hoặc tụt nướu. Lấy cao răng định kỳ giúp loại bỏ mảng bám tích tụ lâu ngày, giảm nguy cơ vi khuẩn gây tổn thương nướu. Nếu phát hiện tụt nướu ở giai đoạn đầu, nha sĩ có thể hướng dẫn biện pháp khắc phục kịp thời để ngăn ngừa tình trạng trở nên nghiêm trọng hơn.
4. Duy trì chế độ ăn uống lành mạnh
Thực phẩm giàu vitamin C và canxi giúp tăng cường sức khỏe nướu và răng. Bổ sung các loại rau xanh, trái cây, sữa và các thực phẩm chứa omega-3 giúp giảm viêm, hỗ trợ mô nướu khỏe mạnh. Hạn chế đường và đồ uống có gas giúp kiểm soát sự phát triển của vi khuẩn trong khoang miệng, giảm nguy cơ viêm nướu và tụt nướu.
5. Tránh thói quen gây hại cho nướu
Hút thuốc lá làm giảm lưu lượng máu đến nướu, khiến mô nướu yếu đi và khó phục hồi. Nghiến răng tạo áp lực lớn lên nướu và xương ổ răng, dễ dẫn đến tụt nướu theo thời gian. Nếu có thói quen nghiến răng khi ngủ, bạn có thể sử dụng máng bảo vệ răng để hạn chế tác động tiêu cực đến nướu.
Duy trì những thói quen lành mạnh trong chăm sóc răng miệng không chỉ giúp ngăn ngừa tụt nướu mà còn giữ cho răng chắc khỏe và duy trì nụ cười đẹp dài lâu.
VII. Khi nào bạn cần đến gặp nha sĩ?
1. Tụt nướu nghiêm trọng, lộ chân răng nhiều
Nếu bạn nhận thấy nướu bị co rút đáng kể, làm lộ chân răng nhiều hơn bình thường, đây có thể là dấu hiệu cảnh báo tụt nướu ở mức độ nghiêm trọng. Khi chân răng tiếp xúc với môi trường bên ngoài, răng trở nên nhạy cảm hơn và dễ bị tổn thương. Trong trường hợp này, cần đến gặp nha sĩ để đánh giá mức độ tụt nướu và đưa ra phương án điều trị phù hợp.
2. Nướu chảy máu thường xuyên và đau nhức kéo dài
Chảy máu nướu khi đánh răng hoặc ăn uống là dấu hiệu cho thấy mô nướu đang bị viêm. Nếu tình trạng này diễn ra thường xuyên kèm theo đau nhức kéo dài, có thể bạn đang mắc bệnh viêm nha chu hoặc viêm nướu. Việc điều trị kịp thời giúp ngăn chặn vi khuẩn lan rộng, bảo vệ nướu khỏi nguy cơ tổn thương nặng hơn.
3. Răng lung lay và dấu hiệu tiêu xương ổ răng
Khi tụt nướu không được kiểm soát, xương ổ răng có thể bị tiêu biến, làm răng mất đi điểm tựa chắc chắn. Nếu bạn cảm thấy răng lung lay hoặc có khoảng trống bất thường giữa các răng, hãy đến nha sĩ ngay để kiểm tra và điều trị. Đây là dấu hiệu cho thấy tình trạng tụt nướu đã tiến triển đến giai đoạn nguy hiểm, cần can thiệp sớm để tránh mất răng.
4. Hơi thở có mùi hôi dù đã vệ sinh răng miệng kỹ lưỡng
Hơi thở có mùi hôi kéo dài dù đã đánh răng đúng cách có thể do vi khuẩn tích tụ sâu trong túi nướu hoặc viêm nhiễm nướu. Nếu nướu bị tụt, vi khuẩn có thể phát triển mạnh hơn ở chân răng, gây mùi khó chịu. Việc thăm khám nha khoa giúp xác định nguyên nhân chính xác và đưa ra giải pháp điều trị hiệu quả.
Việc theo dõi những dấu hiệu bất thường của nướu giúp bạn phát hiện sớm tình trạng tụt nướu và có biện pháp điều trị kịp thời. Đến gặp nha sĩ khi cần thiết không chỉ giúp bảo vệ răng miệng mà còn hạn chế những biến chứng nguy hiểm về lâu dài.
Tụt nướu răng không chỉ ảnh hưởng đến thẩm mỹ mà còn là dấu hiệu cảnh báo sức khỏe răng miệng đang gặp vấn đề. Nếu không được điều trị kịp thời, tình trạng này có thể dẫn đến ê buốt răng, viêm nha chu, tiêu xương ổ răng và thậm chí mất răng.
Việc chăm sóc răng miệng đúng cách là yếu tố quan trọng để ngăn ngừa và điều trị tụt nướu. Áp dụng các phương pháp tự nhiên tại nhà như súc miệng bằng dầu dừa, bôi gel nha đam, sử dụng mật ong hay trà xanh có thể giúp làm dịu nướu, kháng khuẩn và hỗ trợ tái tạo mô nướu. Bên cạnh đó, lựa chọn kem đánh răng phù hợp, sử dụng nước súc miệng kháng khuẩn và duy trì thói quen vệ sinh răng miệng đúng cách sẽ giúp bảo vệ nướu khỏe mạnh.
Nếu tình trạng tụt nướu trở nên nghiêm trọng, việc thăm khám nha khoa định kỳ là điều cần thiết để được tư vấn và điều trị kịp thời. Các phương pháp nha khoa như cạo vôi răng, ghép nướu, điều trị bằng laser hay phục hình răng sẽ giúp khắc phục tình trạng tụt nướu một cách hiệu quả.
Bảo vệ nướu khỏe mạnh chính là chìa khóa giúp duy trì nụ cười đẹp và bảo vệ răng miệng lâu dài. Nếu bạn có bất kỳ câu hỏi nào về tình trạng tụt nướu, hãy để lại bình luận hoặc chia sẻ bài viết này để mọi người cùng tham khảo. Hãy hành động ngay hôm nay để có hàm răng chắc khỏe và nụ cười rạng rỡ!
Giải đáp thắc mắc: Tại đây
VIII. Các phương pháp điều trị tụt nướu răng chuyên nghiệp tại nha khoa
1. Cạo vôi răng và làm sạch sâu (Scaling and Root Planing)
Cạo vôi răng giúp loại bỏ mảng bám và cao răng tích tụ dọc theo đường viền nướu, ngăn ngừa vi khuẩn gây viêm nướu và tụt nướu. Khi nướu đã bị tổn thương nghiêm trọng, nha sĩ sẽ thực hiện làm sạch sâu dưới nướu (Root Planing) để loại bỏ vi khuẩn tích tụ tại chân răng. Phương pháp này giúp nướu phục hồi tốt hơn, hạn chế tình trạng viêm nhiễm và ngăn ngừa nướu tiếp tục co rút.
2. Phẫu thuật ghép nướu để che phủ chân răng
Ghép nướu là phương pháp nha khoa phổ biến giúp tái tạo lại mô nướu bị mất. Bác sĩ có thể sử dụng mô nướu từ một vị trí khác trên vòm miệng hoặc vật liệu sinh học để che phủ chân răng bị lộ ra ngoài. Phương pháp này không chỉ cải thiện thẩm mỹ mà còn giúp bảo vệ chân răng khỏi vi khuẩn, giảm nguy cơ sâu răng và ê buốt.
3. Điều trị tụt nướu bằng laser nha khoa
Sử dụng laser giúp loại bỏ vi khuẩn trong túi nướu, kích thích quá trình tái tạo mô nướu và làm giảm viêm nhanh chóng. Phương pháp này ít gây đau đớn hơn so với phẫu thuật truyền thống, giúp bệnh nhân phục hồi nhanh hơn. Điều trị bằng laser thường được áp dụng cho những trường hợp tụt nướu mức độ nhẹ đến trung bình.
4. Phục hình răng nếu mất răng do tụt nướu
Khi tụt nướu đã dẫn đến mất răng, nha sĩ có thể đề xuất các phương pháp phục hình như cấy ghép implant, cầu răng sứ hoặc hàm giả tháo lắp. Trong đó, cấy ghép implant là giải pháp tối ưu giúp thay thế răng bị mất và duy trì sức khỏe xương hàm.
Tùy vào mức độ tổn thương của nướu, nha sĩ sẽ tư vấn phương pháp điều trị phù hợp nhất. Việc can thiệp sớm không chỉ giúp phục hồi nướu mà còn bảo vệ răng miệng khỏi những vấn đề nghiêm trọng hơn trong tương lai.
Bạn cần bác sĩ nha khoa giỏi? Gặp ngay Dr. Quân!
IX. Chuyên Gia Hàng Đầu Trong Lĩnh Vực Nha Khoa
Nếu bạn đang tìm kiếm một địa bác sĩ uy tín để điều trị răng bị tụt nướu, Bác sĩ Quân chính là lựa chọn hàng đầu. Với nhiều năm kinh nghiệm trong lĩnh vực nha khoa, Bác sĩ Quân đã giúp hàng ngàn khách hàng khắc phục các vấn đề răng miệng, mang lại nụ cười khỏe mạnh và tự tin.
1. Chuyên môn và kinh nghiệm
Bác sĩ Quân là chuyên gia trong lĩnh vực nha khoa tổng quát và chuyên sâu, đặc biệt là điều trị tụt nướu, viêm nha chu, phẫu thuật ghép nướu và phục hồi răng. Với phương châm luôn đặt sức khỏe và sự hài lòng của khách hàng lên hàng đầu, Bác sĩ Quân không ngừng cập nhật những công nghệ và phương pháp điều trị tiên tiến nhất.
2. Tại sao nên chọn Bác sĩ Quân?
- Hơn 10 năm kinh nghiệm trong điều trị các vấn đề nha khoa phức tạp, đặc biệt là tụt nướu và các bệnh lý liên quan.
- Ứng dụng công nghệ hiện đại, giúp quá trình điều trị nhẹ nhàng, ít đau và đạt hiệu quả tối ưu.
- Tư vấn tận tâm, lắng nghe khách hàng, giúp đưa ra giải pháp phù hợp nhất với từng trường hợp.
- Hệ thống trang thiết bị tiên tiến, đảm bảo tiêu chuẩn vệ sinh và an toàn trong quá trình điều trị.
Thông tin liên hệ bác sĩ Quân:
Địa chỉ: 35-37 Nguyễn Thị Thập, Q. 7, Tp HCM, Việt Nam
Điện thoại: 078 751 5858
Email:
Website: https://drtadongquan.com
Facebook: Bác Sĩ Quân
Bạn có thể đặt lịch tư vấn trực tiếp để được bác sĩ thăm khám, đánh giá tình trạng răng miệng cụ thể và đưa ra phương án điều trị phù hợp nhất.
Tụt nướu: Nguy cơ lớn từ một vấn đề nhỏ – Xem ngay!