Tụt nướu chân răng khiến chân răng bị lộ, gây ê buốt và tăng nguy cơ mắc bệnh nha chu nghiêm trọng. Nhận biết sớm các dấu hiệu như hở chân răng, viêm lợi, thoái hóa mô nướu sẽ giúp bạn có biện pháp phòng tránh và điều trị hiệu quả, bảo vệ sức khỏe răng miệng tối ưu trong năm 2025.
I. Tụt Nướu Chân Răng: Kẻ Thù Giấu Mặt Của Nụ Cười Và Sức Khỏe
1. Tụt nướu chân răng là gì?
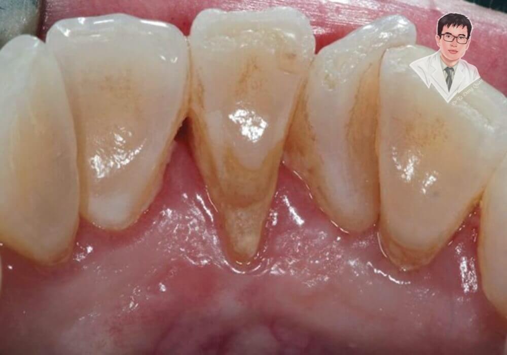
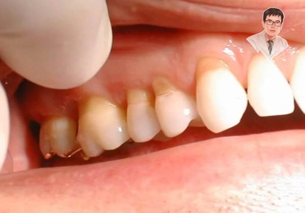
Tụt nướu chân răng là tình trạng mô lợi bao quanh răng dần co lại, khiến chân răng lộ ra ngoài. Điều này làm mất đi sự bảo vệ tự nhiên, dễ gây ê buốt và tạo điều kiện cho vi khuẩn tấn công gây các bệnh lý nha chu. Hình ảnh trước và sau khi tụt lợi sẽ giúp bạn dễ dàng nhận biết rõ hơn vấn đề này, từ đó chủ động bảo vệ sức khỏe răng miệng.
2. Tại sao tụt nướu chân răng nguy hiểm?
Tụt nướu chân răng ảnh hưởng lớn đến thẩm mỹ khi làm răng trông dài, tạo kẽ hở mất duyên. Ngoài ra, tình trạng hở chân răng sẽ làm tăng độ nhạy cảm, gây ê buốt khó chịu khi ăn uống. Đặc biệt, tụt lợi còn tăng nguy cơ các bệnh về lợi như viêm nha chu, sâu răng, viêm tủy, thậm chí mất răng nếu không can thiệp kịp thời.
3. Ai dễ bị tụt nướu chân răng?
Tụt nướu thường gặp ở người lớn tuổi do thoái hóa mô nướu tự nhiên. Ngoài ra, những người có thói quen vệ sinh răng miệng sai cách (chải mạnh, dùng bàn chải cứng), hút thuốc lá thường xuyên hoặc mắc các bệnh lý như tiểu đường cũng dễ bị tụt nướu hơn người bình thường.
Hiểu rõ điều này sẽ giúp bạn sớm phát hiện và có biện pháp phòng ngừa hiệu quả nhất.

II. Thủ Phạm Gây Tụt Nướu Chân Răng
1. Vệ sinh răng miệng sai cách
Một trong những nguyên nhân phổ biến nhất dẫn đến tụt nướu chân răng là vệ sinh răng miệng sai cách. Việc chải răng quá mạnh, dùng bàn chải lông cứng hoặc không lấy cao răng định kỳ sẽ gây tổn thương mô lợi, làm lợi tụt xuống theo thời gian.
Chăm sóc lợi đúng cách bằng bàn chải mềm, chải nhẹ nhàng là biện pháp phòng tránh đơn giản nhưng hiệu quả.
2. Bệnh nha chu
Viêm lợi chân răng nếu không được điều trị sớm sẽ tiến triển thành bệnh nha chu, một bệnh lý nướu răng nghiêm trọng. Vi khuẩn từ mảng bám sẽ xâm nhập, phá hủy mô lợi và xương ổ răng, gây tụt lợi chân răng nghiêm trọng. Phát hiện và điều trị bệnh nha chu kịp thời sẽ giúp bạn bảo vệ được nướu và sức khỏe răng miệng tổng thể.
3. Các yếu tố khác gây tụt nướu
Ngoài ra, tụt nướu chân răng còn do các yếu tố di truyền khiến mô nướu mỏng yếu bẩm sinh, thói quen xấu như nghiến răng, xỉa răng bằng tăm, hoặc thay đổi nội tiết tố ở phụ nữ mang thai, mãn kinh.
Một số nguyên nhân khác gồm chấn thương răng, răng mọc lệch lạc hoặc sử dụng khí cụ chỉnh nha không phù hợp cũng có thể gây ra tình trạng tụt lợi.Nhận biết rõ các nguyên nhân này sẽ giúp bạn chủ động phòng ngừa hiệu quả hơn.
Tìm hiểu thêm: Tụt nướu

III. Dấu Hiệu Tụt Nướu Chân Răng: Đừng Bỏ Qua Bất Kỳ Biểu Hiện Nào!
1. Dấu hiệu nhận biết sớm
Tụt nướu chân răng thường bắt đầu với những dấu hiệu đơn giản như nướu sưng đỏ, dễ chảy máu khi chải răng, hoặc hơi thở bắt đầu có mùi dù vệ sinh kỹ càng. Bạn có thể thấy răng trở nên nhạy cảm hơn, đặc biệt là khi ăn uống đồ nóng, lạnh hoặc ngọt.
Đây là những dấu hiệu tụt nướu ban đầu, cảnh báo bạn cần có sự quan tâm đặc biệt hơn đến sức khỏe răng miệng.
2. Dấu hiệu rõ ràng của tụt nướu chân răng
Khi tình trạng tụt nướu chân răng tiến triển, các dấu hiệu sẽ trở nên rõ ràng hơn. Chân răng bị lộ ra ngoài rõ rệt, nướu tụt sâu tạo thành khe hở giữa các răng, dễ mắc thức ăn gây khó chịu và mất thẩm mỹ. Ở giai đoạn muộn, răng có thể lung lay, báo hiệu nguy cơ mất răng nếu không được điều trị kịp thời.
Phát hiện sớm và hiểu rõ tụt nướu chân răng nguyên nhân và cách điều trị là vô cùng quan trọng để ngăn chặn các biến chứng nghiêm trọng này.
3. Khi nào bạn nên đến gặp nha sĩ?
Bạn nên đến nha sĩ ngay từ khi xuất hiện các dấu hiệu đầu tiên của tụt nướu. Đừng trì hoãn nếu tình trạng ê buốt, đau nhức kéo dài, hoặc khi nhận thấy nướu tụt nhanh chóng bất thường. Việc khám và điều trị tụt lợi sớm sẽ giúp bạn hạn chế tối đa những biến chứng nguy hiểm và bảo vệ nụ cười luôn khỏe mạnh, rạng rỡ.
IV. Giải Pháp Cho Tụt Nướu Chân Răng Tại Nhà
1. Vệ sinh răng miệng đúng cách
Cách chữa tụt nướu chân răng tại nhà năm 2025 đơn giản nhưng vô cùng hiệu quả là điều chỉnh thói quen chăm sóc răng miệng hàng ngày. Bạn hãy chải răng nhẹ nhàng theo chiều dọc hoặc chuyển động xoay tròn, sử dụng bàn chải lông mềm để tránh gây tổn thương mô nướu.
Đừng quên sử dụng chỉ nha khoa mỗi ngày và súc miệng bằng nước muối sinh lý để ngăn ngừa vi khuẩn tích tụ, bảo vệ nướu khỏe mạnh.
2. Chế độ ăn uống hợp lý
Chế độ dinh dưỡng ảnh hưởng rất lớn đến sức khỏe nướu răng. Bạn nên tăng cường bổ sung các chất dinh dưỡng như vitamin C, canxi, vitamin D để củng cố mô nướu chắc khỏe, phòng tránh tụt nướu chân răng hiệu quả. Đồng thời, hạn chế các thực phẩm quá nóng, quá lạnh hoặc quá chua ngọt, giúp giảm bớt tình trạng ê buốt chân răng.
3. Từ bỏ các thói quen xấu gây tụt nướu
Những thói quen xấu như hút thuốc lá hay nghiến răng vô thức vào ban đêm là nguyên nhân âm thầm gây tụt lợi. Để phòng tránh tụt nướu chân răng hiệu quả, bạn cần chủ động từ bỏ các thói quen này, có thể sử dụng máng chống nghiến răng nếu cần thiết.
4. Sử dụng các sản phẩm hỗ trợ
Bạn có thể kết hợp sử dụng các sản phẩm hỗ trợ như kem đánh răng dành cho răng nhạy cảm hoặc nước súc miệng chứa chlorhexidine (theo hướng dẫn của nha sĩ). Các sản phẩm này giúp giảm ê buốt, ngăn ngừa vi khuẩn gây viêm nhiễm và hỗ trợ phục hồi mô nướu nhanh chóng.
5. Một số mẹo dân gian
Ngoài ra, bạn có thể tham khảo thêm một số mẹo dân gian được truyền miệng và đã kiểm chứng về tác dụng hỗ trợ giảm viêm nướu, phục hồi mô lợi. Tuy nhiên, trước khi sử dụng bất kỳ biện pháp dân gian nào, bạn cần tham khảo ý kiến nha sĩ để đảm bảo an toàn và phù hợp với tình trạng cụ thể của bạn.
Chữa tụt nướu tại nhà – Hiệu quả bất ngờ, thử ngay!

V. Can Thiệp Nha Khoa: Điều Trị Tụt Nướu Chân Răng Hiệu Quả
1. Cạo vôi răng và làm sạch túi nha chu
Phương pháp điều trị tụt lợi cơ bản và hiệu quả đầu tiên chính là cạo vôi răng và làm sạch túi nha chu. Thủ thuật này giúp loại bỏ hoàn toàn các mảng bám, vi khuẩn nằm sâu dưới đường viền nướu, giảm viêm lợi chân răng và hỗ trợ phục hồi mô nướu tự nhiên. Đây là bước điều trị ban đầu được các nha sĩ ưu tiên thực hiện.
2. Phẫu thuật ghép nướu
Trong những trường hợp tụt nướu nghiêm trọng, phẫu thuật ghép nướu là giải pháp phục hồi nướu hiệu quả nhất 2025. Phương pháp này sử dụng mô nướu tự thân lấy từ vòm miệng hoặc vật liệu sinh học để che phủ chân răng bị lộ, giúp bảo vệ răng và cải thiện đáng kể thẩm mỹ cho nụ cười của bạn. Quy trình này an toàn, mang lại hiệu quả phục hồi nướu lâu dài.
3. Điều trị bằng công nghệ laser
Công nghệ điều trị tụt nướu chân răng bằng laser đang ngày càng được ưa chuộng bởi tính hiệu quả, ít xâm lấn và phục hồi nhanh chóng. Laser giúp kích thích tái tạo các tế bào mô nướu, giảm đau, giảm viêm nhanh chóng, không gây chảy máu hay sưng đau kéo dài như các phương pháp truyền thống.
Đây được xem là một giải pháp tiên tiến nhất trong năm 2025.
4. Các phương pháp điều trị khác
Ngoài những cách phổ biến kể trên, điều trị tụt lợi chân răng hiệu quả nhất 2025 còn có thể bao gồm sử dụng màng collagen tái tạo mô (Guided Tissue Regeneration - GTR).
Phương pháp này kích thích mô nướu phục hồi, bảo vệ phần chân răng, giúp bạn nhanh chóng lấy lại vẻ đẹp tự nhiên cho nụ cười và cải thiện sức khỏe răng miệng một cách bền vững.

VI. Phòng Ngừa Tụt Nướu Chân Răng: “Chủ Động Là Chìa Khóa”
1. Chăm sóc răng miệng đúng cách
Việc chăm sóc răng miệng hằng ngày tưởng chừng đơn giản nhưng lại đóng vai trò quan trọng trong việc phòng ngừa tụt nướu. Bạn nên lựa chọn bàn chải mềm, chải nhẹ nhàng theo chiều dọc hoặc vòng tròn, kết hợp dùng chỉ nha khoa và nước súc miệng phù hợp. Duy trì thói quen này sẽ giúp bảo vệ nướu và ngăn ngừa tình trạng tụt lợi tái phát hiệu quả.
2. Khám răng định kỳ
Khám răng định kỳ 6 tháng/lần là một giải pháp chủ động và thiết thực để phòng ngừa tụt nướu. Việc kiểm tra thường xuyên sẽ giúp nha sĩ phát hiện sớm những vấn đề tiềm ẩn, xử lý ngay từ khi mới chớm, tránh để bệnh tiến triển gây tổn thương nghiêm trọng hơn.
3. Kiểm soát bệnh nha chu
Nếu bạn từng mắc hoặc đang có dấu hiệu bệnh nha chu, hãy điều trị triệt để và theo dõi sát sao. Viêm nha chu là nguyên nhân hàng đầu gây tụt lợi chân răng, do đó kiểm soát tốt bệnh lý này sẽ giúp bạn bảo vệ nướu khỏe mạnh lâu dài.
4. Từ bỏ các thói quen xấu
Những thói quen như nghiến răng, hút thuốc lá không chỉ gây tụt nướu mà còn ảnh hưởng lớn đến sức khỏe tổng thể của bạn. Chủ động loại bỏ các thói quen này là cách phòng ngừa tụt nướu hiệu quả nhất, bảo vệ nụ cười khỏe đẹp bền vững.
VII. Giải Đáp Thắc Mắc Về Tụt Nướu Chân Răng
1. Tụt nướu chân răng có tự khỏi được không?
Tụt nướu chân răng là tình trạng không thể tự khỏi nếu không được điều trị đúng cách. Khi bạn đã nhận thấy dấu hiệu tụt nướu, nên đến gặp nha sĩ càng sớm càng tốt để có giải pháp can thiệp kịp thời, tránh bệnh tiến triển nghiêm trọng hơn.
2. Chi phí điều trị tụt nướu chân răng khoảng bao nhiêu?
Chi phí điều trị tụt nướu chân răng sẽ phụ thuộc vào mức độ bệnh và phương pháp điều trị bạn lựa chọn. Cạo vôi răng và làm sạch nha chu có chi phí thấp hơn so với phẫu thuật ghép nướu hoặc điều trị bằng laser. Để có thông tin chính xác, bạn nên đến gặp nha sĩ để được tư vấn chi tiết.
3. Điều trị tụt nướu chân răng có đau không?
Các phương pháp điều trị hiện đại như laser hoặc phẫu thuật ghép nướu được thực hiện với công nghệ tiên tiến, ít xâm lấn, giảm thiểu tối đa cảm giác đau và khó chịu. Sau điều trị, bác sĩ cũng sẽ hướng dẫn bạn cách chăm sóc tại nhà, đảm bảo hồi phục nhanh và ít đau nhất.
4. Tụt nướu chân răng có di truyền không?
Tụt nướu chân răng hoàn toàn có thể di truyền do cấu trúc mô nướu mỏng, yếu bẩm sinh. Nếu gia đình bạn có tiền sử tụt nướu, bạn nên chủ động chăm sóc nướu đúng cách và kiểm tra sức khỏe răng miệng định kỳ để phòng ngừa hiệu quả.
5. Làm thế nào để ngăn ngừa tụt nướu tái phát?
Để ngăn ngừa tụt nướu chân răng tái phát, bạn cần tuân thủ đúng các hướng dẫn chăm sóc răng miệng hàng ngày như chải răng đúng kỹ thuật, sử dụng chỉ nha khoa, tái khám định kỳ tại nha khoa uy tín.
Đồng thời, hãy loại bỏ các thói quen xấu gây tụt lợi như hút thuốc lá, nghiến răng hay dùng tăm xỉa răng. Chủ động bảo vệ nướu chính là chìa khóa giữ gìn nụ cười luôn khỏe đẹp.
Bạn đang thắc mắc? Click ngay để biết đáp án!

VIII. Tụt Nướu Và Thẩm Mỹ Nụ Cười
1. Ảnh hưởng của tụt nướu đến thẩm mỹ
Tụt nướu chân răng không chỉ là vấn đề sức khỏe mà còn tác động đáng kể đến vẻ đẹp thẩm mỹ của nụ cười. Khi nướu bị tụt, chân răng lộ rõ hơn khiến răng trông dài bất thường, tạo cảm giác thiếu hài hòa, thậm chí xuất hiện các khe hở gây mất tự tin khi giao tiếp.
Hiểu rõ ảnh hưởng này giúp bạn có thêm động lực tìm kiếm giải pháp khắc phục sớm, lấy lại vẻ đẹp tự nhiên vốn có của nụ cười.
2. Các giải pháp thẩm mỹ kết hợp điều trị tụt nướu
Hiện nay, các phương pháp điều trị tụt nướu chân răng tại nha khoa có thể kết hợp cùng các giải pháp thẩm mỹ hiện đại như dán sứ Veneer, bọc răng sứ hoặc niềng răng. Các phương pháp này vừa phục hồi hiệu quả tình trạng tụt nướu, vừa cải thiện hình dáng, màu sắc răng, giúp bạn sở hữu nụ cười đẹp tự nhiên và khỏe mạnh lâu dài.
3. Lựa chọn nha khoa uy tín
Để điều trị tụt nướu hiệu quả và đảm bảo kết quả thẩm mỹ tốt nhất, bạn nên lựa chọn các cơ sở nha khoa uy tín, có đội ngũ bác sĩ giỏi, giàu kinh nghiệm và công nghệ điều trị hiện đại. Phòng khám của ThS. BS. Tạ Đông Quân là một trong những địa chỉ điều trị tụt nướu chân răng uy tín hàng đầu hiện nay, được nhiều bệnh nhân tin tưởng lựa chọn.
Đến đây, bạn sẽ được thăm khám kỹ lưỡng và tư vấn phương pháp điều trị phù hợp nhất để lấy lại nụ cười khỏe đẹp, tự nhiên.
Bạn cần bác sĩ nha khoa giỏi? Gặp ngay Dr. Quân!
IX. Chăm Sóc Sau Điều Trị Tụt Nướu Chân Răng
1. Hướng dẫn vệ sinh răng miệng sau điều trị
Sau khi điều trị tụt nướu chân răng, việc vệ sinh răng miệng đúng cách đóng vai trò quan trọng trong quá trình hồi phục. Bạn nên sử dụng bàn chải lông mềm, chải nhẹ nhàng theo chiều dọc hoặc chuyển động tròn để tránh làm tổn thương nướu mới phục hồi. Đồng thời, hãy dùng chỉ nha khoa đúng cách để làm sạch kẽ răng mà không gây kích ứng mô nướu.
2. Chế độ ăn uống giúp hỗ trợ quá trình lành thương
Trong giai đoạn sau điều trị, bạn cần duy trì một chế độ ăn uống lành mạnh để hỗ trợ quá trình phục hồi. Hãy bổ sung thực phẩm giàu vitamin C, canxi, và collagen tự nhiên để giúp mô nướu nhanh lành. Tránh thực phẩm quá nóng, lạnh, cay, cứng hoặc có tính axit cao vì có thể gây kích thích và làm chậm quá trình lành thương.
3. Tái khám định kỳ và theo dõi tình trạng nướu
Sau điều trị, bạn cần tái khám định kỳ theo hướng dẫn của nha sĩ để đảm bảo nướu phục hồi tốt và không có dấu hiệu tái phát. Thông thường, bạn nên kiểm tra sức khỏe răng miệng ít nhất 6 tháng/lần để phát hiện sớm các vấn đề tiềm ẩn.
Nếu có dấu hiệu như ê buốt kéo dài, chảy máu nướu hoặc nướu tiếp tục tụt xuống, bạn cần liên hệ ngay với nha sĩ để được kiểm tra và can thiệp kịp thời.
X. Chuyên Gia Hàng Đầu Trong Lĩnh Vực Nha Khoa
Nếu bạn đang tìm kiếm một địa bác sĩ uy tín để điều trị răng bị tụt nướu, Bác sĩ Quân chính là lựa chọn hàng đầu. Với nhiều năm kinh nghiệm trong lĩnh vực nha khoa, Bác sĩ Quân đã giúp hàng ngàn khách hàng khắc phục các vấn đề răng miệng, mang lại nụ cười khỏe mạnh và tự tin.
1.Chuyên môn và kinh nghiệm
Bác sĩ Quân là chuyên gia trong lĩnh vực nha khoa tổng quát và chuyên sâu, đặc biệt là điều trị tụt nướu, viêm nha chu, phẫu thuật ghép nướu và phục hồi răng. Với phương châm luôn đặt sức khỏe và sự hài lòng của khách hàng lên hàng đầu, Bác sĩ Quân không ngừng cập nhật những công nghệ và phương pháp điều trị tiên tiến nhất.
2. Tại sao nên chọn Bác sĩ Quân?
- Hơn 10 năm kinh nghiệm trong điều trị các vấn đề nha khoa phức tạp, đặc biệt là tụt nướu và các bệnh lý liên quan.
- Ứng dụng công nghệ hiện đại, giúp quá trình điều trị nhẹ nhàng, ít đau và đạt hiệu quả tối ưu.
- Tư vấn tận tâm, lắng nghe khách hàng, giúp đưa ra giải pháp phù hợp nhất với từng trường hợp.
- Hệ thống trang thiết bị tiên tiến, đảm bảo tiêu chuẩn vệ sinh và an toàn trong quá trình điều trị.
Thông tin liên hệ bác sĩ Quân:
Địa chỉ: 35-37 Nguyễn Thị Thập, Q. 7, Tp HCM, Việt Nam
Điện thoại: 078 751 5858
Email:
Website: https://drtadongquan.com
Facebook: Bác Sĩ Quân
Bạn có thể đặt lịch tư vấn trực tiếp để được bác sĩ thăm khám, đánh giá tình trạng răng miệng cụ thể và đưa ra phương án điều trị phù hợp nhất.
Tụt nướu: Nguy cơ lớn từ một vấn đề nhỏ – Xem ngay!