Tụt nướu răng không chỉ gây mất thẩm mỹ mà còn ảnh hưởng đến sức khỏe răng miệng. Vậy cách chữa tụt nướu răng hiệu quả là gì? Bài viết này sẽ giúp bạn hiểu rõ nguyên nhân, cách điều trị tại nhà, phương pháp nha khoa hiện đại và hướng dẫn chăm sóc răng để ngăn ngừa tình trạng này quay lại.
I. Tụt Nướu Răng Là Gì? Hiểu Rõ Để Điều Trị Hiệu Quả
1. Định Nghĩa Tụt Nướu Răng
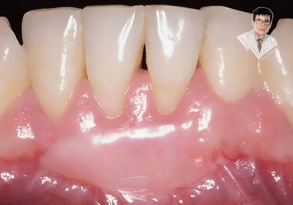
Tụt nướu răng là tình trạng mô nướu dần rút xuống, làm lộ phần chân răng vốn được bảo vệ bên dưới. Đây không chỉ là vấn đề thẩm mỹ mà còn ảnh hưởng trực tiếp đến sức khỏe răng miệng, khiến răng trở nên nhạy cảm hơn và dễ mắc các bệnh viêm nhiễm.
Nướu răng đóng vai trò như một lớp bảo vệ giúp ngăn chặn vi khuẩn tấn công vào chân răng. Khi nướu bị tụt, răng không còn được bảo vệ đầy đủ, tạo điều kiện cho vi khuẩn xâm nhập, gây ra viêm nha chu và các vấn đề răng miệng nghiêm trọng hơn.
2. Các Giai Đoạn Của Tụt Nướu Răng
- Giai đoạn nhẹ: Nướu hơi tụt xuống, nhưng chưa có triệu chứng đau nhức hay viêm nhiễm rõ ràng.
- Giai đoạn trung bình: Chân răng bắt đầu lộ rõ hơn, có dấu hiệu ê buốt khi ăn uống, đặc biệt là khi tiếp xúc với thức ăn nóng hoặc lạnh.
- Giai đoạn nặng: Nướu tụt sâu, răng nhạy cảm, có thể lung lay. Nếu không điều trị kịp thời, vi khuẩn có thể xâm nhập gây viêm nha chu, thậm chí dẫn đến mất răng.
3. Phân Biệt Tụt Nướu Răng Với Các Bệnh Lý Răng Miệng Khác
Tụt nướu răng có thể bị nhầm lẫn với viêm nướu hoặc viêm nha chu. Viêm nướu thường khiến nướu sưng đỏ, chảy máu khi chải răng, nhưng không làm lộ chân răng. Trong khi đó, tụt nướu khiến răng trông dài hơn bình thường, nhạy cảm và dễ bị kích thích bởi nhiệt độ.
Việc nhận diện đúng tình trạng tụt nướu giúp bạn có phương pháp điều trị phù hợp. Nếu nhận thấy dấu hiệu bất thường ở nướu, hãy đến nha khoa để được thăm khám và tư vấn kịp thời.

II. Nguyên Nhân Tụt Nướu Răng: Phòng Bệnh Hơn Chữa Bệnh
1. Chải Răng Sai Cách
Chải răng quá mạnh hoặc sử dụng bàn chải lông cứng có thể làm mòn mô nướu theo thời gian. Việc chải răng theo chiều ngang thay vì xoay tròn hoặc dọc cũng là nguyên nhân phổ biến khiến nướu bị tổn thương và tụt xuống.
2. Vệ Sinh Răng Miệng Kém
Không sử dụng chỉ nha khoa và không súc miệng thường xuyên khiến mảng bám tích tụ dọc theo viền nướu. Vi khuẩn trong mảng bám sẽ tấn công mô nướu, làm nướu dần teo lại và dẫn đến tụt nướu.
3. Bệnh Viêm Nha Chu
Viêm nha chu là một trong những nguyên nhân hàng đầu gây tụt nướu răng. Khi vi khuẩn phát triển mạnh dưới viền nướu, chúng phá hủy mô nướu và xương nâng đỡ răng, khiến nướu tụt xuống và chân răng lộ ra.
4. Yếu Tố Di Truyền
Một số người có cấu trúc nướu mỏng bẩm sinh, khiến họ dễ bị tụt nướu hơn. Nếu trong gia đình có người mắc các bệnh về nướu, nguy cơ bị tụt nướu của bạn cũng cao hơn.
5. Thói Quen Gây Hại
Nghiến răng làm tăng áp lực lên nướu và chân răng, lâu dài có thể làm tụt nướu. Hút thuốc lá cũng làm suy yếu mô nướu, giảm khả năng phục hồi và khiến tụt nướu trở nên nghiêm trọng hơn.
6. Thay Đổi Nội Tiết Tố
Phụ nữ mang thai, mãn kinh hoặc trong giai đoạn dậy thì có sự thay đổi hormone làm nướu nhạy cảm và dễ bị viêm nhiễm, dẫn đến tình trạng tụt nướu nếu không chăm sóc răng miệng đúng cách.
7. Ảnh Hưởng Của Một Số Loại Thuốc
Thuốc điều trị huyết áp, thuốc chống trầm cảm và một số loại thuốc khác có thể làm giảm tiết nước bọt, khiến miệng bị khô. Điều này làm tăng nguy cơ vi khuẩn phát triển và gây tụt nướu.
8. Các Bệnh Lý Toàn Thân
Bệnh tiểu đường, tim mạch hoặc hệ miễn dịch suy yếu có thể ảnh hưởng đến sức khỏe nướu răng, khiến nướu dễ bị viêm nhiễm và tụt xuống nhanh hơn.
Tụt nướu răng có thể bắt nguồn từ nhiều nguyên nhân khác nhau, nhưng điều quan trọng là bạn có thể phòng ngừa bằng cách thay đổi thói quen chăm sóc răng miệng và đến nha khoa kiểm tra định kỳ. Nếu nhận thấy bất kỳ dấu hiệu nào của tụt nướu, hãy tìm giải pháp điều trị kịp thời để bảo vệ sức khỏe răng miệng lâu dài.
Bị tụt nướu răng? Đọc ngay trước khi quá muộn!
III. Dấu Hiệu Nhận Biết Tụt Nướu Răng: Đừng Chủ Quan
1. Chân Răng Lộ Rõ
Một trong những dấu hiệu dễ nhận thấy nhất của tụt nướu là răng trông dài hơn bình thường. Khi mô nướu bị rút xuống, phần chân răng vốn được bảo vệ sẽ bị lộ ra ngoài, gây mất thẩm mỹ và khiến răng trở nên nhạy cảm hơn.
2. Răng Ê Buốt Khi Ăn Uống
Nếu bạn cảm thấy răng nhạy cảm hơn khi ăn uống, đặc biệt là khi tiếp xúc với thực phẩm nóng, lạnh hoặc có tính axit cao, đó có thể là dấu hiệu của tụt nướu. Khi nướu rút xuống, lớp men bảo vệ ở phần chân răng không còn, làm tăng độ nhạy cảm và gây ê buốt khó chịu.
3. Nướu Sưng Đỏ Và Dễ Chảy Máu
Tụt nướu thường đi kèm với tình trạng viêm nướu, khiến nướu dễ bị sưng đỏ và chảy máu khi chải răng hoặc dùng chỉ nha khoa. Nếu thấy nướu có dấu hiệu viêm và dễ tổn thương, bạn nên kiểm tra ngay để phát hiện sớm tình trạng tụt nướu.
4. Hơi Thở Có Mùi Khó Chịu
Sự tích tụ của vi khuẩn và mảng bám ở khu vực chân răng bị lộ có thể gây ra mùi hôi miệng dai dẳng. Dù bạn đã vệ sinh răng miệng kỹ lưỡng nhưng hơi thở vẫn có mùi, đó có thể là dấu hiệu của tụt nướu hoặc viêm nha chu.
5. Răng Lung Lay Hoặc Cảm Giác Lỏng Lẻo
Ở giai đoạn nặng, tụt nướu làm mất đi sự nâng đỡ của mô nướu và xương hàm, khiến răng trở nên lung lay. Nếu không được điều trị kịp thời, răng có nguy cơ bị mất vĩnh viễn.
6. Cảm Giác Đau Nhức Ở Nướu
Tụt nướu có thể khiến vùng nướu bị kích thích và đau nhẹ, đặc biệt khi tiếp xúc với thức ăn cứng hoặc khi chải răng. Cơn đau có thể không liên tục nhưng là dấu hiệu cho thấy nướu đang gặp vấn đề và cần được kiểm tra.
Tụt nướu răng không chỉ ảnh hưởng đến vẻ ngoài của nụ cười mà còn tiềm ẩn nguy cơ dẫn đến các bệnh răng miệng nghiêm trọng. Nhận biết sớm các dấu hiệu giúp bạn có biện pháp điều trị kịp thời, ngăn ngừa tình trạng xấu hơn và bảo vệ sức khỏe răng miệng lâu dài.

IV. Cách Chữa Tụt Nướu Răng Tại Nhà: Đơn Giản, Tiết Kiệm
1. Thay Đổi Thói Quen Chải Răng
Việc cải thiện kỹ thuật chải răng là bước quan trọng để chữa tụt nướu răng tại nhà. Bạn nên chọn bàn chải lông mềm và chải theo chuyển động xoay nhẹ nhàng thay vì chải ngang mạnh. Phương pháp này giúp bảo vệ mô nướu, giảm nguy cơ tụt nướu và duy trì sức khỏe răng miệng.
2. Sử Dụng Nước Muối Sinh Lý
Súc miệng bằng nước muối sinh lý hàng ngày là một giải pháp tự nhiên giúp sát khuẩn và giảm viêm cho vùng nướu. Phương pháp này không chỉ hỗ trợ chữa tụt nướu răng mà còn giúp ngăn ngừa sự phát triển của vi khuẩn gây bệnh, mang lại hơi thở thơm mát và răng chắc khỏe.
3. Áp Dụng Các Sản Phẩm Hỗ Trợ Và Tự Nhiên
Sử dụng kem đánh răng chuyên dụng cho răng nhạy cảm và nước súc miệng chứa thành phần kháng khuẩn giúp chăm sóc vùng nướu bị tụt một cách hiệu quả. Ngoài ra, một số biện pháp tự nhiên như súc miệng bằng dầu dừa hay tinh dầu tràm trà cũng có tác dụng hỗ trợ điều trị tụt lợi chân răng, giảm viêm và làm dịu vùng nướu.
4. Chế Độ Ăn Uống Khoa Học
Ăn uống hợp lý với nhiều thực phẩm giàu vitamin C và canxi giúp củng cố mô nướu và xương hàm. Hạn chế đồ ăn quá nóng, lạnh, chua hay ngọt cũng góp phần bảo vệ nướu răng khỏi các tác động xấu, hỗ trợ cách chữa tụt nướu răng tự nhiên và hiệu quả ngay tại nhà.
5. Mẹo Dân Gian Và Massage Nướu
Một số mẹo dân gian như dùng mật ong pha loãng hay trà xanh cũng được nhiều người tin dùng trong việc hỗ trợ giảm viêm và cải thiện tình trạng tụt nướu. Bên cạnh đó, massage nhẹ nhàng vùng nướu hàng ngày giúp kích thích lưu thông máu, tăng cường khả năng tự phục hồi của mô nướu và giảm cảm giác nhạy cảm.
Các giải pháp trên không chỉ đơn giản và tiết kiệm mà còn giúp bạn duy trì sức khỏe răng miệng tốt hơn. Với cách chữa tụt nướu răng tại nhà này, bạn sẽ cảm nhận được sự cải thiện rõ rệt về độ nhạy cảm của răng cũng như vẻ đẹp tự nhiên của nụ cười.
Chữa tụt nướu tại nhà – Hiệu quả bất ngờ, thử ngay!

V. Điều Trị Tụt Nướu Răng Tại Nha Khoa: Giải Pháp Chuyên Sâu, Hiệu Quả
1. Cạo Vôi Răng Và Làm Sạch Sâu
Mảng bám tích tụ lâu ngày dọc theo viền nướu là nguyên nhân chính gây viêm nướu và tụt nướu. Cạo vôi răng định kỳ giúp loại bỏ vi khuẩn, giảm nguy cơ viêm nhiễm và hỗ trợ quá trình hồi phục mô nướu. Phương pháp này không gây đau và mang lại hiệu quả cao trong việc ngăn chặn tụt nướu tiến triển.
2. Điều Trị Viêm Nướu, Viêm Nha Chu
Nếu tụt nướu đi kèm với viêm nha chu, bác sĩ có thể chỉ định các phương pháp làm sạch túi nha chu, sử dụng thuốc kháng sinh hoặc gel kháng khuẩn để loại bỏ vi khuẩn gây hại. Điều trị viêm nha chu không chỉ giúp bảo vệ nướu mà còn giữ cho răng chắc khỏe, ngăn chặn nguy cơ mất răng.
3. Phẫu Thuật Ghép Mô Nướu
Với các trường hợp tụt nướu nghiêm trọng, ghép mô nướu là phương pháp tối ưu để phục hồi mô nướu bị mất. Bác sĩ có thể sử dụng mô tự thân từ vòm miệng hoặc vật liệu nhân tạo để tái tạo vùng nướu, giúp che phủ chân răng và bảo vệ răng khỏi ê buốt.
4. Điều Trị Bằng Laser
Công nghệ laser hiện đại giúp loại bỏ vi khuẩn dưới nướu, kích thích quá trình tái tạo mô và cải thiện tình trạng tụt nướu hiệu quả. Phương pháp này ít xâm lấn, không gây đau đớn và giúp rút ngắn thời gian hồi phục.
5. Niềng Răng Để Cải Thiện Nướu Tụt
Trong một số trường hợp, tụt nướu xảy ra do răng mọc lệch hoặc sai khớp cắn. Niềng răng giúp điều chỉnh vị trí răng, giảm áp lực lên nướu và cải thiện độ bám của nướu vào chân răng.
Điều trị tụt nướu răng tại nha khoa mang lại hiệu quả lâu dài, giúp bảo vệ răng và nướu khỏi các biến chứng nguy hiểm. Việc lựa chọn phương pháp phù hợp tùy thuộc vào tình trạng cụ thể của từng người. Nếu bạn đang gặp phải tình trạng này, hãy đến nha khoa uy tín để được thăm khám và điều trị kịp thời.
Bạn cần bác sĩ nha khoa giỏi? Gặp ngay Dr. Quân!

VI. Chăm Sóc Răng Miệng Đúng Cách Để Ngăn Ngừa Tụt Nướu Răng
1. Chải Răng Đúng Kỹ Thuật
Chải răng sai cách là một trong những nguyên nhân chính dẫn đến tụt nướu răng. Để bảo vệ nướu, bạn nên sử dụng bàn chải lông mềm và thực hiện động tác chải nhẹ nhàng theo chiều dọc hoặc xoay tròn thay vì chải ngang mạnh. Đánh răng ít nhất hai lần mỗi ngày với kem đánh răng chuyên dụng giúp ngăn ngừa vi khuẩn và bảo vệ mô nướu.
2. Sử Dụng Chỉ Nha Khoa Và Nước Súc Miệng
Dùng chỉ nha khoa mỗi ngày giúp loại bỏ mảng bám và thức ăn thừa giữa các kẽ răng, ngăn chặn vi khuẩn phát triển dọc theo đường viền nướu. Kết hợp với nước súc miệng chứa thành phần kháng khuẩn giúp giảm viêm, giữ hơi thở thơm mát và bảo vệ nướu răng khỏe mạnh.
3. Khám Răng Định Kỳ
Việc kiểm tra răng miệng định kỳ 6 tháng/lần giúp phát hiện sớm các dấu hiệu của tụt nướu và các bệnh lý răng miệng khác. Bác sĩ sẽ làm sạch cao răng, loại bỏ vi khuẩn tích tụ dưới nướu và tư vấn phương pháp chăm sóc răng phù hợp để duy trì nướu khỏe mạnh.
4. Chế Độ Ăn Uống Khoa Học
Một chế độ ăn giàu vitamin C, canxi và các khoáng chất quan trọng giúp nướu chắc khỏe và tăng khả năng phục hồi. Hạn chế thực phẩm có nhiều đường, axit hoặc quá nóng, quá lạnh để tránh kích thích vùng nướu nhạy cảm. Uống đủ nước cũng là cách quan trọng giúp duy trì độ ẩm cho khoang miệng, ngăn chặn vi khuẩn phát triển.
5. Từ Bỏ Thói Quen Gây Hại
Hút thuốc lá làm giảm khả năng tái tạo mô nướu, khiến nướu dễ tổn thương và tụt xuống nhanh hơn. Ngoài ra, nghiến răng khi ngủ tạo áp lực lớn lên nướu và răng, làm tăng nguy cơ tụt nướu. Đeo máng bảo vệ răng khi ngủ có thể giúp giảm tác động tiêu cực này.
Việc chăm sóc răng miệng đúng cách không chỉ giúp ngăn ngừa tụt nướu răng mà còn giữ cho răng chắc khỏe và duy trì nụ cười đẹp tự nhiên. Hãy bắt đầu ngay từ hôm nay để bảo vệ sức khỏe răng miệng tốt nhất.
VII. Chi Phí Chữa Tụt Nướu Răng: Cần Chuẩn Bị Những Gì?
1. Các Yếu Tố Ảnh Hưởng Đến Chi Phí
Chi phí điều trị tụt nướu răng phụ thuộc vào nhiều yếu tố, bao gồm mức độ tổn thương của nướu, phương pháp điều trị được lựa chọn và cơ sở nha khoa thực hiện. Nếu tình trạng tụt nướu nhẹ, việc cải thiện bằng phương pháp đơn giản như cạo vôi răng sẽ có chi phí thấp hơn so với các phương pháp điều trị chuyên sâu như ghép mô nướu.
2. Chi Phí Trung Bình Cho Các Phương Pháp Điều Trị
- Cạo vôi răng và đánh bóng: Dao động từ 200.000 - 500.000 VNĐ tùy vào tình trạng răng miệng.
- Điều trị viêm nướu, viêm nha chu: Từ 1.000.000 - 5.000.000 VNĐ, tùy vào mức độ viêm nhiễm và phương pháp điều trị.
- Ghép mô nướu: Từ 6.000.000 - 15.000.000 VNĐ cho mỗi vị trí ghép, áp dụng cho trường hợp tụt nướu nghiêm trọng.
- Điều trị bằng laser: Khoảng 3.000.000 - 10.000.000 VNĐ, giúp kích thích tái tạo mô nướu nhanh hơn.
- Niềng răng chỉnh khớp cắn: Từ 20.000.000 - 100.000.000 VNĐ nếu tụt nướu do sai lệch khớp cắn.
3. Bảo Hiểm Y Tế Có Hỗ Trợ Chi Phí Không?
Hầu hết các phương pháp điều trị nha khoa thẩm mỹ như ghép mô nướu, niềng răng không được bảo hiểm y tế hỗ trợ. Tuy nhiên, nếu tụt nướu do viêm nha chu hoặc các bệnh lý răng miệng nghiêm trọng, một số dịch vụ điều trị có thể được bảo hiểm chi trả một phần. Bạn nên kiểm tra chính sách bảo hiểm nha khoa của mình để biết thêm chi tiết.
4. Chương Trình Hỗ Trợ Tài Chính Và Trả Góp
Nhiều phòng khám nha khoa hiện nay có chương trình trả góp để hỗ trợ bệnh nhân trong việc thanh toán chi phí điều trị. Nếu cần điều trị tụt nướu nhưng chưa có đủ tài chính, bạn có thể tham khảo các gói hỗ trợ hoặc ưu đãi từ các cơ sở nha khoa uy tín.
Việc điều trị tụt nướu răng không chỉ giúp bảo vệ sức khỏe răng miệng mà còn ngăn ngừa nguy cơ mất răng về sau. Lựa chọn phương pháp phù hợp với điều kiện tài chính sẽ giúp bạn có kế hoạch chăm sóc răng miệng hiệu quả và lâu dài.
VIII. Giải Đáp Thắc Mắc Thường Gặp Về Tụt Nướu Răng
1. Tụt Nướu Răng Có Tự Hết Không?
Tụt nướu răng không thể tự phục hồi vì mô nướu không có khả năng tái tạo tự nhiên như các mô khác trong cơ thể. Nếu không điều trị kịp thời, tình trạng này có thể trở nên nghiêm trọng hơn, làm tăng nguy cơ viêm nha chu và mất răng.
2. Tụt Nướu Răng Có Dẫn Đến Mất Răng Không?
Nếu không kiểm soát sớm, tụt nướu có thể làm lộ chân răng, gây tổn thương xương nâng đỡ răng và dẫn đến tình trạng răng lung lay. Ở giai đoạn nặng, răng có thể bị mất do không còn mô nướu và xương giữ vững chân răng.
3. Tụt Nướu Răng Có Gây Hôi Miệng Không?
Khi nướu bị tụt, vi khuẩn dễ dàng tích tụ quanh chân răng, gây viêm nhiễm và dẫn đến hơi thở có mùi khó chịu. Việc vệ sinh răng miệng đúng cách và điều trị sớm giúp giảm tình trạng này đáng kể.
4. Làm Sao Để Ngăn Ngừa Tụt Nướu Răng?
Chải răng nhẹ nhàng với bàn chải lông mềm, sử dụng chỉ nha khoa và súc miệng thường xuyên giúp bảo vệ nướu. Ngoài ra, khám nha khoa định kỳ giúp phát hiện sớm các dấu hiệu tổn thương nướu và có phương pháp can thiệp kịp thời.
5. Có Phương Pháp Tự Nhiên Nào Giúp Chữa Tụt Nướu Không?
Một số biện pháp như súc miệng bằng nước muối, dùng dầu dừa hoặc gel lô hội có thể giúp làm dịu vùng nướu bị viêm. Tuy nhiên, các phương pháp này chỉ hỗ trợ làm giảm triệu chứng chứ không thể điều trị dứt điểm. Khi nướu bị tụt nghiêm trọng, bạn cần đến nha khoa để được điều trị chuyên sâu.
6. Nên Chọn Nha Khoa Nào Để Điều Trị Tụt Nướu Răng?
Việc lựa chọn nha khoa uy tín là rất quan trọng để đảm bảo an toàn và hiệu quả điều trị. Bạn nên tìm đến các nha khoa có đội ngũ bác sĩ chuyên môn cao, áp dụng công nghệ hiện đại và có đánh giá tốt từ bệnh nhân để đạt kết quả tối ưu.
Việc hiểu rõ về tụt nướu răng giúp bạn chủ động hơn trong việc chăm sóc và điều trị. Nếu bạn gặp bất kỳ dấu hiệu nào của tụt nướu, hãy tham khảo ý kiến bác sĩ để có hướng điều trị phù hợp, bảo vệ sức khỏe răng miệng lâu dài.
Bạn đang thắc mắc? Click ngay để biết đáp án!

IX. Chuyên Gia Hàng Đầu Trong Lĩnh Vực Nha Khoa
Nếu bạn đang tìm kiếm một địa bác sĩ uy tín để điều trị răng bị tụt nướu, Bác sĩ Quân chính là lựa chọn hàng đầu. Với nhiều năm kinh nghiệm trong lĩnh vực nha khoa, Bác sĩ Quân đã giúp hàng ngàn khách hàng khắc phục các vấn đề răng miệng, mang lại nụ cười khỏe mạnh và tự tin.
1. Chuyên môn và kinh nghiệm
Bác sĩ Quân là chuyên gia trong lĩnh vực nha khoa tổng quát và chuyên sâu, đặc biệt là điều trị tụt nướu, viêm nha chu, phẫu thuật ghép nướu và phục hồi răng. Với phương châm luôn đặt sức khỏe và sự hài lòng của khách hàng lên hàng đầu, Bác sĩ Quân không ngừng cập nhật những công nghệ và phương pháp điều trị tiên tiến nhất.
2. Tại sao nên chọn Bác sĩ Quân?
- Hơn 10 năm kinh nghiệm trong điều trị các vấn đề nha khoa phức tạp, đặc biệt là tụt nướu và các bệnh lý liên quan.
- Ứng dụng công nghệ hiện đại, giúp quá trình điều trị nhẹ nhàng, ít đau và đạt hiệu quả tối ưu.
- Tư vấn tận tâm, lắng nghe khách hàng, giúp đưa ra giải pháp phù hợp nhất với từng trường hợp.
- Hệ thống trang thiết bị tiên tiến, đảm bảo tiêu chuẩn vệ sinh và an toàn trong quá trình điều trị.
Thông tin liên hệ bác sĩ Quân:
Địa chỉ: 35-37 Nguyễn Thị Thập, Q. 7, Tp HCM, Việt Nam
Điện thoại: 078 751 5858
Email:
Website: https://drtadongquan.com
Facebook: Bác Sĩ Quân
Bạn có thể đặt lịch tư vấn trực tiếp để được bác sĩ thăm khám, đánh giá tình trạng răng miệng cụ thể và đưa ra phương án điều trị phù hợp nhất.
Tụt nướu: Nguy cơ lớn từ một vấn đề nhỏ – Xem ngay!