Tụt nướu răng cửa là tình trạng phổ biến gây lộ chân răng, ê buốt và ảnh hưởng đến thẩm mỹ nụ cười. Nguyên nhân chính có thể do viêm nướu, chăm sóc răng miệng sai cách hoặc lão hóa.
Hiểu rõ dấu hiệu tụt lợi như chảy máu, đau nhức chân răng sẽ giúp bạn lựa chọn được phương pháp điều trị phù hợp như chăm sóc tại nhà hoặc các kỹ thuật nha khoa hiện đại trong năm 2025.
I. Tụt nướu răng cửa – Vấn đề phổ biến ảnh hưởng đến mọi lứa tuổi
1. Tụt nướu răng cửa là gì?
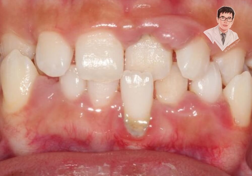
Tụt nướu răng cửa là tình trạng mô lợi quanh chân răng cửa bị co rút, tụt thấp xuống, làm lộ chân răng cửa ra ngoài. Khi xảy ra tình trạng này, bạn thường cảm thấy ê buốt khi ăn đồ nóng, lạnh, chua hoặc ngọt, đồng thời mất tự tin trong giao tiếp do ảnh hưởng thẩm mỹ.
2. Thống kê tỷ lệ người mắc tụt nướu răng cửa
Theo thống kê mới nhất năm 2025 từ Viện Răng Hàm Mặt Trung Ương, có khoảng 60% người trưởng thành Việt Nam gặp tình trạng tụt nướu ở các mức độ khác nhau. Tình trạng này phổ biến hơn ở những người từ 30 tuổi trở lên và đang có xu hướng tăng nhanh.
3. Những ảnh hưởng từ tụt nướu răng cửa
Tụt nướu răng cửa gây ảnh hưởng lớn đến sức khỏe và thẩm mỹ. Về sức khỏe, nướu tụt làm tăng nguy cơ sâu chân răng, viêm nha chu và thậm chí mất răng cửa nếu không điều trị kịp thời. Về thẩm mỹ, nướu tụt khiến bạn mất tự tin khi cười, ảnh hưởng trực tiếp đến giao tiếp hằng ngày và chất lượng cuộc sống. Do đó, phát hiện sớm và điều trị kịp thời là điều rất quan trọng để bảo vệ nụ cười khỏe mạnh của bạn.
II. Nguyên nhân gây tụt nướu răng cửa – Hiểu rõ để phòng tránh hiệu quả
1. Viêm nướu răng và viêm nha chu
Viêm nướu răng là nguyên nhân hàng đầu dẫn đến tình trạng tụt nướu răng cửa. Khi vi khuẩn từ mảng bám không được loại bỏ kịp thời sẽ gây viêm nhiễm, làm tổn thương mô nướu quanh chân răng. Theo thời gian, viêm nướu tiến triển thành viêm nha chu, khiến nướu suy yếu và tụt xuống thấp hơn, làm lộ rõ chân răng.
2. Thói quen chải răng sai cách
Chải răng quá mạnh, chải ngang hoặc dùng bàn chải lông cứng lâu ngày sẽ làm tổn thương men răng chân răng và mô nướu, gây tụt nướu răng cửa. Điều chỉnh ngay kỹ thuật chải răng nhẹ nhàng, sử dụng bàn chải mềm sẽ giúp ngăn ngừa tình trạng này hiệu quả.
3. Tật nghiến răng (Bruxism)
Tật nghiến răng khi ngủ hoặc khi căng thẳng tạo áp lực lớn lên răng cửa, khiến mô nướu và các cấu trúc nâng đỡ bị tổn thương. Về lâu dài, điều này khiến nướu tụt dần, làm lộ chân răng cửa.Đeo máng chống nghiến là giải pháp hữu hiệu để ngăn chặn tình trạng này.
4. Lão hóa và yếu tố di truyền
Lão hóa tự nhiên khiến mô nướu dần mỏng đi và mất khả năng đàn hồi, tăng nguy cơ tụt lợi ở người lớn tuổi. Một số người có cấu trúc nướu yếu bẩm sinh do yếu tố di truyền cũng dễ bị tụt nướu từ rất sớm.
5. Hút thuốc lá và thay đổi nội tiết tố
Hút thuốc lá thường xuyên gây tổn thương mạch máu, làm giảm lưu thông máu đến mô nướu, dẫn đến tình trạng tụt lợi nghiêm trọng. Ngoài ra, phụ nữ trong thai kỳ hoặc mãn kinh cũng dễ gặp phải tụt nướu răng cửa do thay đổi hormone trong cơ thể.
6. Các bệnh lý toàn thân và dinh dưỡng
Một số bệnh lý như tiểu đường, thiếu vitamin C hoặc stress kéo dài khiến sức khỏe nướu suy giảm, làm tăng nguy cơ tụt nướu răng cửa. Bổ sung đầy đủ dinh dưỡng, kiểm soát tốt các bệnh lý toàn thân sẽ giúp bảo vệ nướu chắc khỏe, ngăn ngừa tình trạng tụt lợi hiệu quả.
Tìm hiểu thêm: Răng bị tụt nướu

III. Dấu hiệu nhận biết tụt nướu răng cửa giúp bạn can thiệp kịp thời
1. Nướu răng cửa co rút và chân răng lộ rõ
Khi bị tụt nướu răng cửa, bạn sẽ dễ dàng nhận thấy phần chân răng lộ ra dài hơn bình thường do mô nướu bị co rút xuống dưới. Dấu hiệu này không chỉ gây mất thẩm mỹ mà còn khiến răng cửa trở nên nhạy cảm, dễ ê buốt khi ăn uống.
2. Chảy máu chân răng thường xuyên
Chảy máu chân răng mỗi lần đánh răng hoặc sử dụng chỉ nha khoa là dấu hiệu cảnh báo tình trạng tụt nướu đang diễn ra. Đây là dấu hiệu sớm liên quan đến viêm nướu hoặc bệnh lý nha chu, cần được điều trị sớm để tránh tổn thương mô nướu nghiêm trọng hơn.
3. Ê buốt răng cửa khi ăn uống
Tụt nướu khiến chân răng cửa bị lộ, làm tăng độ nhạy cảm của răng với các thực phẩm nóng, lạnh, ngọt hay chua. Nếu bạn thường xuyên cảm thấy ê buốt răng cửa khi ăn uống, hãy chủ động kiểm tra tình trạng nướu để phát hiện sớm và điều trị kịp thời.
4. Hơi thở có mùi khó chịu
Nướu tụt xuống tạo điều kiện cho vi khuẩn tích tụ tại chân răng, gây viêm và làm hơi thở của bạn có mùi khó chịu. Đây là dấu hiệu thường bị bỏ qua nhưng lại rất rõ ràng để nhận biết sớm tình trạng tụt nướu răng cửa.
5. Răng cửa lung lay nhẹ
Tụt nướu nghiêm trọng kéo dài có thể làm răng cửa mất đi điểm tựa chắc chắn, khiến răng có dấu hiệu lung lay nhẹ. Khi gặp tình trạng này, bạn cần nhanh chóng đến nha khoa để được thăm khám và điều trị hiệu quả, tránh nguy cơ mất răng.

IV. Cách điều trị tụt nướu răng cửa tại nhà hiệu quả
1. Chăm sóc răng miệng đúng cách
Chải răng đúng kỹ thuật là biện pháp quan trọng nhất để điều trị tụt nướu răng cửa tại nhà. Bạn nên dùng bàn chải lông mềm, chải răng nhẹ nhàng theo chiều dọc hoặc vòng tròn với góc 45 độ, kết hợp sử dụng chỉ nha khoa mỗi ngày để làm sạch kẽ răng hiệu quả.
2. Sử dụng kem đánh răng và nước súc miệng phù hợp
Ưu tiên chọn kem đánh răng chứa fluoride và có tác dụng giảm ê buốt, kết hợp súc miệng với nước muối sinh lý hoặc nước súc miệng chuyên dụng không chứa cồn. Việc này giúp giảm vi khuẩn gây viêm, hỗ trợ phục hồi nướu nhanh hơn.
3. Xây dựng chế độ dinh dưỡng hợp lý
Tăng cường bổ sung vitamin C, thực phẩm giàu canxi và chất xơ trong bữa ăn hằng ngày. Đồng thời hạn chế thực phẩm quá cứng, nóng, lạnh hoặc chứa nhiều axit để bảo vệ nướu răng cửa khỏi tổn thương thêm.
4. Áp dụng một số phương pháp tự nhiên
Một số nguyên liệu tự nhiên như dầu dừa, trà xanh hoặc nha đam có thể giúp bạn hỗ trợ giảm viêm và làm dịu tình trạng tụt lợi. Tuy nhiên, các phương pháp này chỉ hỗ trợ điều trị nhẹ nhàng, không thay thế được điều trị chuyên khoa tại nha khoa.
Chữa tụt nướu tại nhà – Hiệu quả bất ngờ, thử ngay!

V. Điều trị tụt nướu răng cửa tại nha khoa: Phương pháp hiện đại và hiệu quả năm 2025
1. Lấy cao răng và làm sạch sâu (Scaling & Root Planing)
Đây là bước điều trị đầu tiên và quan trọng nhất để khắc phục tình trạng tụt nướu răng cửa. Bác sĩ sẽ làm sạch mảng bám, cao răng và vi khuẩn nằm sâu dưới nướu, đồng thời làm nhẵn bề mặt chân răng, giúp nướu dễ dàng phục hồi và tái bám chắc vào chân răng hơn.
2. Phẫu thuật ghép nướu
Phương pháp này được chỉ định khi tụt nướu răng cửa nghiêm trọng, làm lộ chân răng rõ rệt. Bác sĩ sẽ tiến hành lấy mô nướu từ vùng vòm miệng hoặc dùng vật liệu nhân tạo để ghép vào vùng nướu bị tụt, giúp phục hồi tính thẩm mỹ và bảo vệ răng cửa hiệu quả lâu dài.
3. Điều trị bằng công nghệ Laser hiện đại
Điều trị tụt nướu răng cửa bằng Laser là công nghệ tiên tiến, ít xâm lấn, không gây đau đớn và thời gian hồi phục nhanh. Phương pháp này giúp loại bỏ vi khuẩn gây viêm, kích thích tái tạo mô nướu tự nhiên và giảm nguy cơ tụt lợi tái phát. Đây được xem là giải pháp ưu việt và được ưa chuộng nhất trong điều trị nha khoa năm 2025.
Bạn cần bác sĩ nha khoa giỏi? Gặp ngay Dr. Quân!
VI. Chi phí điều trị tụt nướu răng cửa cập nhật mới nhất 2025
1. Những yếu tố ảnh hưởng đến chi phí điều trị
Chi phí điều trị tụt nướu răng cửa năm 2025 phụ thuộc vào nhiều yếu tố như mức độ tụt nướu, phương pháp điều trị, trình độ bác sĩ và chất lượng cơ sở nha khoa. Bên cạnh đó, vị trí địa lý và loại bảo hiểm nha khoa bạn sở hữu cũng sẽ quyết định đến mức chi phí cụ thể.
2. Chi phí điều trị tụt nướu tại nhà
Điều trị tụt lợi răng cửa tại nhà có mức chi phí khá thấp, chủ yếu là chi phí mua kem đánh răng chuyên dụng, bàn chải mềm, nước súc miệng hoặc các sản phẩm chăm sóc răng miệng phù hợp. Thông thường, tổng chi phí chỉ dao động từ vài trăm ngàn đồng trở xuống.
3. Chi phí điều trị tụt nướu tại nha khoa
- Lấy cao răng và làm sạch sâu: Từ 300.000 đến 800.000 VNĐ.
- Phẫu thuật ghép nướu: Dao động từ 3.000.000 đến 8.000.000 VNĐ, tùy vào vật liệu và kỹ thuật sử dụng.
- Điều trị tụt nướu bằng Laser: Chi phí từ 2.000.000 đến 5.000.000 VNĐ, tùy thuộc mức độ tổn thương và công nghệ sử dụng.
Một số phòng khám nha khoa uy tín, chẳng hạn như phòng khám của ThS. BS. Tạ Đông Quân, có thể cung cấp dịch vụ trả góp hoặc hỗ trợ thanh toán linh hoạt, giúp bạn thoải mái hơn khi điều trị.
VII. Phòng ngừa tụt nướu răng cửa hiệu quả nhất
1. Vệ sinh răng miệng đúng cách mỗi ngày
Chăm sóc nướu răng cửa hiệu quả nhất chính là vệ sinh đúng cách hàng ngày. Bạn nên chải răng ít nhất 2 lần mỗi ngày bằng bàn chải mềm với kỹ thuật chải Bass cải tiến, sử dụng chỉ nha khoa đều đặn và súc miệng với nước muối hoặc dung dịch sát khuẩn chuyên dụng.
2. Khám răng định kỳ tại nha khoa
Khám răng định kỳ 6 tháng/lần là giải pháp quan trọng giúp phát hiện sớm các dấu hiệu tụt nướu răng cửa và điều trị kịp thời. Đồng thời, lấy cao răng định kỳ sẽ giúp ngăn chặn mảng bám và vi khuẩn tích tụ gây viêm nướu.
3. Điều chỉnh chế độ dinh dưỡng
Xây dựng chế độ ăn uống cân bằng, giàu vitamin C và canxi giúp tăng cường sức khỏe nướu, phòng ngừa tụt lợi hiệu quả. Hạn chế thức ăn nhiều đường, axit, thức ăn quá nóng hoặc quá lạnh để giảm nguy cơ tụt nướu.
4. Từ bỏ thói quen hút thuốc lá
Thuốc lá làm tổn thương mạch máu và làm suy yếu cấu trúc nướu, tăng nguy cơ tụt nướu răng cửa. Việc từ bỏ thuốc lá sẽ giúp cải thiện sức khỏe nướu, ngăn chặn nguy cơ tụt lợi và duy trì nụ cười khỏe đẹp lâu dài.
5. Kiểm soát các bệnh lý toàn thân
Chủ động điều trị và kiểm soát tốt các bệnh lý như tiểu đường hoặc thiếu hụt vitamin, giảm căng thẳng thường xuyên sẽ góp phần duy trì nướu khỏe mạnh, hạn chế nguy cơ tụt nướu răng cửa hiệu quả.
VIII. Câu hỏi thường gặp về tụt nướu răng cửa
1. Tụt nướu răng cửa có nguy hiểm không?
Tụt nướu răng cửa nếu không điều trị sớm có thể dẫn đến viêm nha chu, sâu chân răng, hoặc mất răng cửa. Vì vậy, bạn nên khám và điều trị ngay khi phát hiện các dấu hiệu ban đầu.
2. Điều trị tụt nướu răng cửa có đau không?
Điều trị tụt nướu hiện nay bằng công nghệ Laser hoặc ghép nướu hiện đại rất nhẹ nhàng, ít xâm lấn và không gây đau đớn. Bạn có thể an tâm vì quy trình này được thực hiện bởi các bác sĩ nha khoa giàu kinh nghiệm.
3. Thời gian hồi phục sau khi ghép nướu là bao lâu?
Thông thường, sau phẫu thuật ghép nướu, thời gian hồi phục nhanh nhất từ 1-2 tuần. Bạn chỉ cần chăm sóc và vệ sinh răng miệng đúng hướng dẫn từ bác sĩ để vết thương lành nhanh nhất.
4. Có thể điều trị tụt nướu răng cửa tại nhà không?
Trường hợp tụt nướu nhẹ có thể cải thiện bằng chăm sóc răng miệng tại nhà. Tuy nhiên, trường hợp nặng hơn cần được điều trị chuyên sâu tại nha khoa để đạt hiệu quả tốt nhất.
5. Làm sao biết mình đang bị tụt nướu răng cửa?
Bạn có thể quan sát bằng mắt thường nếu nướu bị teo lại, chân răng lộ rõ, hoặc gặp phải tình trạng ê buốt, chảy máu chân răng thường xuyên. Khi có các dấu hiệu này, bạn nên khám nha khoa sớm để được tư vấn và điều trị kịp thời.
Tất cả câu hỏi của bạn sẽ được giải đáp Tại đây!

IX. Chuyên Gia Hàng Đầu Trong Lĩnh Vực Nha Khoa
Nếu bạn đang tìm kiếm một địa bác sĩ uy tín để điều trị răng bị tụt nướu, Bác sĩ Quân chính là lựa chọn hàng đầu. Với nhiều năm kinh nghiệm trong lĩnh vực nha khoa, Bác sĩ Quân đã giúp hàng ngàn khách hàng khắc phục các vấn đề răng miệng, mang lại nụ cười khỏe mạnh và tự tin.
1. Chuyên môn và kinh nghiệm
Bác sĩ Quân là chuyên gia trong lĩnh vực nha khoa tổng quát và chuyên sâu, đặc biệt là điều trị tụt nướu, viêm nha chu, phẫu thuật ghép nướu và phục hồi răng. Với phương châm luôn đặt sức khỏe và sự hài lòng của khách hàng lên hàng đầu, Bác sĩ Quân không ngừng cập nhật những công nghệ và phương pháp điều trị tiên tiến nhất.
2. Tại sao nên chọn Bác sĩ Quân?
- Hơn 10 năm kinh nghiệm trong điều trị các vấn đề nha khoa phức tạp, đặc biệt là tụt nướu và các bệnh lý liên quan.
- Ứng dụng công nghệ hiện đại, giúp quá trình điều trị nhẹ nhàng, ít đau và đạt hiệu quả tối ưu.
- Tư vấn tận tâm, lắng nghe khách hàng, giúp đưa ra giải pháp phù hợp nhất với từng trường hợp.
- Hệ thống trang thiết bị tiên tiến, đảm bảo tiêu chuẩn vệ sinh và an toàn trong quá trình điều trị.
Thông tin liên hệ bác sĩ Quân:
Địa chỉ: 35-37 Nguyễn Thị Thập, Q. 7, Tp HCM, Việt Nam
Điện thoại: 078 751 5858
Email:
Website: https://drtadongquan.com
Facebook: Bác Sĩ Quân
Bạn có thể đặt lịch tư vấn trực tiếp để được bác sĩ thăm khám, đánh giá tình trạng răng miệng cụ thể và đưa ra phương án điều trị phù hợp nhất.
Tụt nướu: Nguy cơ lớn từ một vấn đề nhỏ – Xem ngay!
