Tụt nướu lộ chân răng không chỉ gây mất thẩm mỹ mà còn làm răng ê buốt, dễ tổn thương. Tình trạng này có thể dẫn đến viêm nha chu, mất răng nếu không được điều trị kịp thời. Vậy nguyên nhân gây tụt nướu là gì? Có thể chữa trị dứt điểm không?
Hãy cùng tìm hiểu cách điều trị tụt nướu răng hiệu quả nhất năm 2025!
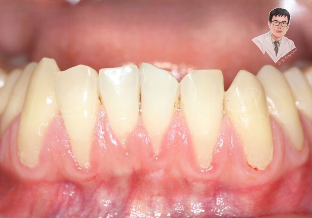
I. Tụt Nướu Lộ Chân Răng: Hiểu Rõ Để Điều Trị Hiệu Quả
Tụt nướu lộ chân răng là tình trạng phổ biến gây ảnh hưởng nghiêm trọng đến sức khỏe răng miệng. Khi mô nướu bị rút xuống, phần chân răng bị lộ ra ngoài, không còn được bảo vệ như bình thường. Điều này không chỉ làm mất đi vẻ thẩm mỹ của nụ cười mà còn khiến răng trở nên nhạy cảm, dễ bị viêm nhiễm và tổn thương do vi khuẩn. Nếu không điều trị kịp thời, tụt nướu lộ chân răng có thể dẫn đến viêm nha chu, sâu chân răng và thậm chí mất răng vĩnh viễn. Việc hiểu rõ nguyên nhân, dấu hiệu nhận biết và các phương pháp điều trị sẽ giúp bạn bảo vệ sức khỏe răng miệng tốt hơn.
1. Tụt Nướu Lộ Chân Răng Là Gì?
- Tụt nướu lộ chân răng là hiện tượng mô nướu dần co rút, để lộ phần chân răng vốn được bảo vệ bởi nướu.
- Khi nướu răng bị tụt, răng trở nên dài hơn bình thường, dễ bị kích thích khi ăn uống.
- Tình trạng này làm tăng nguy cơ viêm nha chu, mất nướu răng, ảnh hưởng đến chức năng nhai và thẩm mỹ răng miệng.
- Nếu không có biện pháp điều trị, tụt nướu lộ chân răng có thể gây tiêu xương ổ răng, khiến răng lung lay và mất đi sự nâng đỡ cần thiết.
2. Dấu Hiệu Nhận Biết
- Nướu răng bị tụt, khiến răng trông dài hơn bình thường.
- Xuất hiện cảm giác ê buốt khi ăn thực phẩm nóng, lạnh, chua, ngọt.
- Chảy máu chân răng khi đánh răng hoặc dùng chỉ nha khoa.
- Nướu sưng đỏ, dễ bị viêm nhiễm, hơi thở có mùi hôi.
- Khi mất nướu răng nghiêm trọng, răng có thể lung lay, ảnh hưởng đến khả năng nhai và sức khỏe tổng thể của răng miệng.
3. Nguyên Nhân Gây Tụt Nướu Lộ Chân Răng
- Đánh răng quá mạnh hoặc sử dụng bàn chải có lông cứng làm tổn thương nướu, khiến nướu bị mài mòn theo thời gian.
- Chăm sóc răng miệng không đúng cách, tạo điều kiện cho vi khuẩn phát triển, dẫn đến viêm nướu và mất mô nướu.
- Viêm nha chu là nguyên nhân hàng đầu gây tụt nướu lộ chân răng, làm phá hủy mô nướu và xương ổ răng.
- Thói quen nghiến răng gây áp lực lớn lên răng và mô nướu, khiến nướu bị co rút dần.
- Hút thuốc lá làm giảm lưu lượng máu đến nướu, khiến nướu suy yếu và dễ bị tổn thương.
- Thay đổi nội tiết tố trong các giai đoạn như dậy thì, mang thai, mãn kinh có thể khiến nướu nhạy cảm và dễ bị viêm.
- Lão hóa tự nhiên làm giảm độ bám của nướu vào chân răng, dẫn đến hiện tượng mất nướu răng.
Việc nhận diện sớm tụt nướu lộ chân răng và áp dụng các biện pháp chăm sóc phù hợp sẽ giúp bảo vệ sức khỏe răng miệng, ngăn chặn biến chứng nguy hiểm và duy trì nụ cười rạng rỡ dài lâu.

II. Mức Độ Nguy Hiểm Của Tụt Nướu Lộ Chân Răng
Tụt nướu không chỉ ảnh hưởng đến thẩm mỹ mà còn là dấu hiệu của nhiều vấn đề nghiêm trọng về răng miệng. Nếu không được điều trị kịp thời, tình trạng này có thể gây ra nhiều biến chứng nguy hiểm, làm suy yếu chức năng nhai và thậm chí dẫn đến mất răng.
1. Các Biến Chứng Nếu Không Điều Trị
- Mất thẩm mỹ: Khi tụt nướu lộ chân răng, răng sẽ trông dài hơn bình thường, làm giảm sự hài hòa của nụ cười.
- Ê buốt kéo dài: Chân răng bị lộ không còn được bảo vệ bởi mô nướu, dễ bị kích thích khi tiếp xúc với thực phẩm nóng, lạnh, chua, ngọt.
- Sâu chân răng: Vi khuẩn có thể xâm nhập dễ dàng vào phần chân răng bị lộ, làm tăng nguy cơ sâu răng.
- Viêm nha chu: Khi vi khuẩn tích tụ quá mức, nướu sẽ bị viêm, dẫn đến mô nướu tổn thương và có thể làm tiêu xương ổ răng.
- Mất răng: Nếu tình trạng mất nướu răng không được kiểm soát, răng sẽ dần mất đi sự nâng đỡ và có nguy cơ rụng.
2. Tại Sao Cần Điều Trị Tụt Nướu Sớm?
- Bảo vệ răng khỏi các tổn thương vĩnh viễn: Phục hồi sớm giúp hạn chế tình trạng viêm nhiễm và mất xương răng.
- Ngăn ngừa các bệnh lý răng miệng khác: Viêm nha chu, sâu chân răng có thể phát triển từ tình trạng nướu rút dần.
- Duy trì thẩm mỹ nụ cười: Giữ cho nụ cười tự nhiên, hạn chế răng bị dài bất thường do nướu răng bị tụt.
- Nâng cao chất lượng cuộc sống: Hạn chế ê buốt răng, giúp việc ăn uống trở nên dễ dàng hơn.
Phát hiện sớm và áp dụng phương pháp điều trị thích hợp sẽ giúp ngăn chặn những biến chứng nguy hiểm, duy trì một hàm răng khỏe mạnh và nụ cười tự tin.
Tìm hiểu thêm: Viêm nướu tụt lợi

III. Cách Chữa Tụt Nướu Răng Tại Nhà Hiệu Quả
Tụt nướu nhẹ có thể được kiểm soát tại nhà bằng cách cải thiện thói quen chăm sóc răng miệng và điều chỉnh chế độ ăn uống hợp lý. Những phương pháp này giúp bảo vệ mô nướu, giảm tình trạng mất nướu răng và ngăn ngừa biến chứng nghiêm trọng hơn.
1. Thay Đổi Thói Quen Chăm Sóc Răng Miệng
- Đánh răng đúng cách: Sử dụng bàn chải lông mềm, chải răng nhẹ nhàng theo chiều dọc hoặc xoay tròn để tránh làm tổn thương nướu.
- Dùng chỉ nha khoa: Loại bỏ mảng bám giữa các kẽ răng, giúp hạn chế sự phát triển của vi khuẩn gây viêm nướu.
- Súc miệng bằng nước muối sinh lý: Giúp kháng khuẩn và giảm tình trạng viêm nhiễm.
- Chọn kem đánh răng dành cho răng nhạy cảm: Hỗ trợ giảm ê buốt khi tụt nướu lộ chân răng.
2. Chế Độ Ăn Uống Hỗ Trợ Sức Khỏe Nướu
- Bổ sung thực phẩm giàu vitamin C, canxi, vitamin D: Hỗ trợ phục hồi và tăng cường sức khỏe mô nướu.
- Tránh thực phẩm có tính axit cao: Đồ chua, nước ngọt có ga có thể làm mòn men răng và khiến tình trạng tụt lợi răng nặng hơn.
- Hạn chế thực phẩm cứng, dai: Giúp giảm áp lực lên răng và nướu.
3. Các Phương Pháp Tự Nhiên Giúp Bảo Vệ Nướu
- Tinh dầu tràm trà, trà xanh: Có tác dụng kháng khuẩn, giảm viêm.
- Massage nướu bằng dầu dừa hoặc dầu ô liu: Giúp tăng cường lưu thông máu đến mô nướu, hỗ trợ giảm viêm.
- Dùng gel nha đam (lô hội): Làm dịu mô nướu bị kích ứng, hỗ trợ quá trình tái tạo mô.
Những phương pháp này không thể thay thế điều trị nha khoa nhưng có thể giúp kiểm soát tình trạng tụt nướu lộ chân răng và bảo vệ răng miệng tốt hơn. Nếu nướu tiếp tục tụt hoặc có dấu hiệu viêm nhiễm nghiêm trọng, cần đến gặp nha sĩ để được tư vấn và điều trị kịp thời.
Mẹo chữa tụt nướu tại nhà – Đừng bỏ lỡ!

IV. Điều Trị Tụt Nướu Răng Chuyên Sâu Tại Nha Khoa
Khi tụt nướu lộ chân răng diễn ra nghiêm trọng, các biện pháp chăm sóc tại nhà không còn hiệu quả. Lúc này, việc đến nha khoa để thăm khám và điều trị là điều cần thiết. Điều trị chuyên sâu tại nha khoa giúp ngăn chặn mất nướu răng, bảo vệ chân răng và giảm thiểu nguy cơ viêm nhiễm, sâu răng hoặc mất răng. Các phương pháp nha khoa không chỉ giúp cải thiện thẩm mỹ mà còn phục hồi chức năng bảo vệ của nướu.
1. Khi Nào Cần Đến Gặp Nha Sĩ?
Tình trạng tụt nướu lộ chân răng nếu không được phát hiện và điều trị kịp thời có thể dẫn đến nhiều vấn đề nghiêm trọng. Bạn nên đến nha sĩ ngay khi có những dấu hiệu sau:
- Nướu răng bị tụt sâu, khiến chân răng lộ rõ và làm mất đi sự cân đối của hàm răng.
- Ê buốt răng kéo dài, không thuyên giảm dù đã thay đổi thói quen ăn uống và vệ sinh răng miệng.
- Nướu sưng đỏ, chảy máu thường xuyên, đặc biệt khi đánh răng hoặc ăn uống.
- Hơi thở có mùi hôi kéo dài, dù đã vệ sinh răng miệng đúng cách.
- Răng lung lay hoặc có dấu hiệu yếu đi, gây khó khăn khi nhai.
Việc thăm khám nha khoa định kỳ giúp phát hiện sớm các vấn đề về nướu và áp dụng biện pháp điều trị thích hợp trước khi mất nướu răng trở nên nghiêm trọng.
2. Các Phương Pháp Điều Trị Tụt Nướu Tại Nha Khoa
Tùy vào mức độ tụt nướu lộ chân răng, nha sĩ có thể đề xuất các phương pháp điều trị phù hợp để giúp phục hồi mô nướu và bảo vệ răng khỏi các biến chứng.
Cạo Vôi Răng Và Làm Sạch Túi Nha Chu
- Loại bỏ mảng bám, vi khuẩn tích tụ trên răng và dưới nướu, giúp giảm viêm và ngăn chặn quá trình tụt lợi răng.
- Được khuyến khích thực hiện định kỳ 6 tháng/lần để duy trì sức khỏe răng miệng.
Sử Dụng Thuốc Điều Trị
- Gel kháng viêm và nước súc miệng diệt khuẩn giúp kiểm soát viêm nhiễm, bảo vệ mô nướu khỏi vi khuẩn gây hại.
- Thuốc giảm ê buốt được sử dụng để giảm cảm giác khó chịu do tụt nướu lộ chân răng.
Ghép Nướu – Giải Pháp Hiệu Quả Cho Mất Nướu Răng
- Phương pháp này giúp che phủ phần chân răng bị lộ bằng cách sử dụng mô nướu từ vùng miệng khác.
- Không chỉ giúp cải thiện thẩm mỹ mà còn bảo vệ chân răng khỏi vi khuẩn, giảm nguy cơ viêm nha chu và tiêu xương ổ răng.
- Hiệu quả cao trong việc ngăn chặn tụt nướu lộ chân răng tiến triển nặng hơn.
Tái Tạo Mô Nướu Có Hướng Dẫn (GTR)
- Sử dụng màng sinh học hoặc vật liệu tái tạo mô để kích thích nướu phát triển trở lại.
- Phù hợp với những trường hợp mất nướu răng nghiêm trọng do viêm nha chu.
Điều Trị Tụt Nướu Bằng Laser
- Sử dụng công nghệ laser để loại bỏ vi khuẩn và kích thích quá trình phục hồi mô nướu.
- Giảm viêm nhanh chóng, ít đau, rút ngắn thời gian điều trị.
Việc lựa chọn phương pháp điều trị tùy thuộc vào tình trạng tụt nướu lộ chân răng của mỗi người. Điều quan trọng là phát hiện sớm và điều trị kịp thời để bảo vệ răng miệng khỏe mạnh, tránh những biến chứng nguy hiểm về sau.

V. Phòng Ngừa Tụt Nướu Lộ Chân Răng
Việc phòng ngừa tụt nướu lộ chân răng ngay từ đầu giúp bảo vệ sức khỏe răng miệng, giảm nguy cơ viêm nhiễm và ngăn chặn các biến chứng nghiêm trọng. Dưới đây là những biện pháp hiệu quả giúp giữ cho nướu khỏe mạnh và duy trì nụ cười đẹp.
1. Chăm Sóc Răng Miệng Đúng Cách
- Đánh răng nhẹ nhàng bằng bàn chải lông mềm, sử dụng kem đánh răng dành cho răng nhạy cảm.
- Dùng chỉ nha khoa mỗi ngày để loại bỏ mảng bám giữa các kẽ răng, ngăn ngừa vi khuẩn tích tụ.
- Súc miệng với nước muối sinh lý hoặc nước súc miệng diệt khuẩn để bảo vệ mô nướu.
- Khám răng định kỳ ít nhất 6 tháng/lần để phát hiện sớm các vấn đề răng miệng.
2. Điều Chỉnh Lối Sống Giúp Bảo Vệ Nướu
- Hạn chế thực phẩm có tính axit cao như đồ chua, nước có ga để tránh mài mòn răng.
- Bổ sung thực phẩm giàu vitamin C, canxi và vitamin D để hỗ trợ nướu và răng chắc khỏe.
- Bỏ thuốc lá để tránh làm suy yếu mô nướu và giảm nguy cơ tụt lợi răng.
- Kiểm soát thói quen nghiến răng bằng cách đeo máng bảo vệ nếu cần thiết.
Những biện pháp này không chỉ giúp phòng ngừa tụt nướu lộ chân răng mà còn bảo vệ răng miệng toàn diện, giúp duy trì sức khỏe nướu và răng lâu dài. Hãy xây dựng thói quen chăm sóc răng miệng đúng cách ngay hôm nay để tránh những rủi ro không mong muốn trong tương lai.
Bạn cần bác sĩ nha khoa giỏi? Gặp ngay Dr. Quân!
VI. Giải Đáp Thắc Mắc Thường Gặp
Khi bị tụt nướu lộ chân răng, nhiều người lo lắng về nguyên nhân, mức độ nghiêm trọng và phương pháp điều trị. Dưới đây là những câu hỏi phổ biến giúp bạn hiểu rõ hơn về tình trạng này và cách khắc phục hiệu quả.
1. Tụt nướu có tự khỏi không?
Tụt nướu không thể tự phục hồi vì mô nướu không có khả năng tái tạo tự nhiên như da hay xương. Nếu không điều trị kịp thời, tình trạng có thể tiến triển nặng hơn, dẫn đến ê buốt răng, viêm nha chu hoặc mất răng.
2. Nướu răng bị tụt có thể mọc lại không?
Một khi nướu răng bị tụt, nó không thể mọc lại theo cách tự nhiên. Tuy nhiên, nha khoa có thể sử dụng phương pháp ghép nướu để khôi phục mô nướu, giúp bảo vệ chân răng và cải thiện thẩm mỹ.
3. Bị tụt nướu phải làm sao?
- Thay đổi thói quen chăm sóc răng miệng: Đánh răng đúng cách, dùng chỉ nha khoa và súc miệng thường xuyên.
- Hạn chế các tác nhân gây hại: Tránh hút thuốc lá, không đánh răng quá mạnh và kiểm soát thói quen nghiến răng.
- Đi khám nha sĩ: Nếu tình trạng tụt nướu lộ chân răng ngày càng nghiêm trọng, hãy đến gặp nha sĩ để được tư vấn và điều trị phù hợp.
4. Tụt nướu có gây mất răng không?
Nếu không điều trị kịp thời, mất nướu răng có thể làm chân răng suy yếu, dẫn đến viêm nha chu và tiêu xương ổ răng. Khi xương ổ răng bị tổn thương, răng có nguy cơ lung lay và rụng.
5. Làm thế nào để ngăn ngừa tụt nướu tái phát?
- Đánh răng nhẹ nhàng với bàn chải lông mềm.
- Tránh thực phẩm có tính axit cao để bảo vệ men răng.
- Khám răng định kỳ để phát hiện sớm các vấn đề nướu.
- Bỏ thuốc lá vì đây là một trong những nguyên nhân làm suy yếu mô nướu.
Giải đáp những thắc mắc này giúp bạn hiểu rõ hơn về tụt nướu lộ chân răng và cách bảo vệ răng miệng tốt nhất. Việc phát hiện sớm và điều trị kịp thời sẽ giúp ngăn ngừa biến chứng nguy hiểm, bảo vệ nụ cười và sức khỏe lâu dài.
Bạn đang thắc mắc? Click ngay để biết đáp án!

VII. Chuyên Gia Hàng Đầu Trong Lĩnh Vực Nha Khoa
Nếu bạn đang tìm kiếm một địa bác sĩ uy tín để điều trị răng bị tụt nướu, Bác sĩ Quân chính là lựa chọn hàng đầu. Với nhiều năm kinh nghiệm trong lĩnh vực nha khoa, Bác sĩ Quân đã giúp hàng ngàn khách hàng khắc phục các vấn đề răng miệng, mang lại nụ cười khỏe mạnh và tự tin.
1. Chuyên môn và kinh nghiệm
Bác sĩ Quân là chuyên gia trong lĩnh vực nha khoa tổng quát và chuyên sâu, đặc biệt là điều trị tụt nướu, viêm nha chu, phẫu thuật ghép nướu và phục hồi răng. Với phương châm luôn đặt sức khỏe và sự hài lòng của khách hàng lên hàng đầu, Bác sĩ Quân không ngừng cập nhật những công nghệ và phương pháp điều trị tiên tiến nhất.
2. Tại sao nên chọn Bác sĩ Quân?
- Hơn 10 năm kinh nghiệm trong điều trị các vấn đề nha khoa phức tạp, đặc biệt là tụt nướu và các bệnh lý liên quan.
- Ứng dụng công nghệ hiện đại, giúp quá trình điều trị nhẹ nhàng, ít đau và đạt hiệu quả tối ưu.
- Tư vấn tận tâm, lắng nghe khách hàng, giúp đưa ra giải pháp phù hợp nhất với từng trường hợp.
- Hệ thống trang thiết bị tiên tiến, đảm bảo tiêu chuẩn vệ sinh và an toàn trong quá trình điều trị.
Thông tin liên hệ bác sĩ Quân:
Địa chỉ: 35-37 Nguyễn Thị Thập, Q. 7, Tp HCM, Việt Nam
Điện thoại: 078 751 5858
Email:
Website: https://drtadongquan.com
Facebook: Bác Sĩ Quân
Bạn có thể đặt lịch tư vấn trực tiếp để được bác sĩ thăm khám, đánh giá tình trạng răng miệng cụ thể và đưa ra phương án điều trị phù hợp nhất.
Tụt nướu: Nguy cơ lớn từ một vấn đề nhỏ – Xem ngay!