Tụt nướu răng là gì ? Đây là tình trạng nướu co rút, làm lộ chân răng, gây ê buốt và ảnh hưởng đến sức khỏe răng miệng. Nguyên nhân có thể do vệ sinh răng miệng kém, viêm nha chu hoặc chải răng sai cách. Vậy làm sao để điều trị và phòng ngừa tụt nướu hiệu quả?
Cùng tìm hiểu giải pháp tốt nhất năm 2025 ngay!
I. Tụt Nướu Răng Là Gì? Hiểu Rõ Tình Trạng Phổ Biến Này
1. Định nghĩa tụt nướu răng
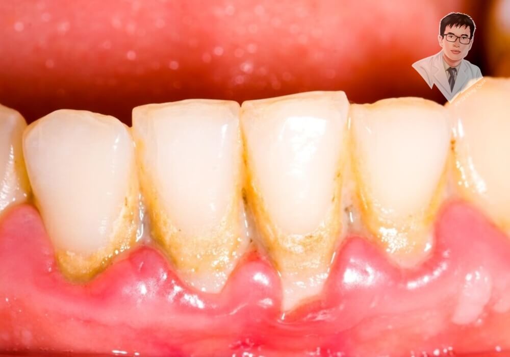
Tụt nướu răng, hay còn gọi là tụt lợi, là tình trạng mô nướu xung quanh răng bị co rút, làm lộ chân răng và khiến răng trở nên nhạy cảm hơn. Khi nướu bị tụt, chân răng không còn được bảo vệ đầy đủ, dẫn đến nguy cơ tổn thương, viêm nhiễm và thậm chí là mất răng nếu không được điều trị kịp thời.
Hiện tượng này có thể xảy ra ở một hoặc nhiều răng, phổ biến nhất ở người trung niên, người cao tuổi, những người chải răng sai cách hoặc mắc bệnh nha chu. Tụt nướu không chỉ ảnh hưởng đến thẩm mỹ mà còn gây ra nhiều vấn đề nghiêm trọng liên quan đến sức khỏe răng miệng.
2. Các giai đoạn của tụt nướu răng
Tụt nướu răng diễn ra theo nhiều mức độ khác nhau, từ nhẹ đến nghiêm trọng:
- Giai đoạn nhẹ: Nướu bắt đầu co rút nhẹ, chưa lộ rõ chân răng, ít gây ê buốt hoặc khó chịu.
- Giai đoạn trung bình: Nướu rút sâu hơn, chân răng bắt đầu lộ rõ, răng có thể nhạy cảm khi ăn uống.
- Giai đoạn nặng: Chân răng bị lộ hoàn toàn, có dấu hiệu ê buốt dữ dội, răng có thể lung lay hoặc dễ bị tổn thương.
Việc nhận biết sớm các dấu hiệu tụt nướu có thể giúp bạn điều chỉnh thói quen chăm sóc răng miệng và ngăn ngừa tình trạng trở nên nghiêm trọng hơn.
3. Phân biệt tụt nướu răng với các bệnh lý răng miệng khác
Tụt nướu răng thường bị nhầm lẫn với một số bệnh lý răng miệng khác, nhưng có một số điểm khác biệt quan trọng:
- Viêm nướu: Gây sưng đỏ, chảy máu khi chải răng, nhưng chưa làm lộ chân răng.
- Viêm nha chu: Tình trạng nặng hơn viêm nướu, có thể gây tụt nướu nghiêm trọng và mất xương nâng đỡ răng.
- Mòn răng: Thường liên quan đến thói quen nghiến răng hoặc ăn thực phẩm có tính axit cao, không phải do nướu bị tụt.
Việc phân biệt đúng bệnh lý sẽ giúp bạn có phương pháp điều trị phù hợp, ngăn ngừa những biến chứng nghiêm trọng.

II. Nguyên Nhân Gây Tụt Nướu Răng – Tại Sao Nướu Của Bạn Bị Co Rút?
Tụt nướu răng có thể xuất phát từ nhiều nguyên nhân khác nhau, từ thói quen chăm sóc răng miệng chưa đúng cách đến các yếu tố bệnh lý và lối sống. Hiểu rõ những nguyên nhân này giúp bạn có biện pháp phòng tránh hiệu quả, bảo vệ sức khỏe răng miệng lâu dài.
1. Vệ sinh răng miệng không đúng cách
- Mảng bám và cao răng tích tụ lâu ngày tạo điều kiện cho vi khuẩn phát triển, gây viêm nướu và làm nướu bị co rút.
- Không dùng chỉ nha khoa khiến thức ăn mắc kẹt, làm tăng nguy cơ viêm nhiễm và gây tụt nướu răng.
- Lười chải răng hoặc chải không đủ kỹ có thể khiến vi khuẩn bám vào chân răng, dẫn đến viêm nướu và mất mô nướu.
2. Chải răng sai cách làm tổn thương nướu
- Chải răng quá mạnh hoặc dùng bàn chải lông cứng gây mòn nướu răng theo thời gian.
- Chải răng theo chiều ngang thay vì chuyển động tròn nhẹ nhàng khiến nướu bị mài mòn dần.
- Chải răng quá nhiều lần trong ngày tạo áp lực lớn lên mô nướu, làm tăng nguy cơ tụt nướu răng.
3. Bệnh nha chu – Nguyên nhân hàng đầu gây tụt nướu
- Viêm nha chu là giai đoạn tiến triển của viêm nướu, làm suy yếu mô nướu và tiêu xương quanh răng.
- Khi vi khuẩn tấn công mô nướu, chúng hình thành túi nha chu, gây viêm nhiễm kéo dài và làm tụt nướu răng.
- Nếu không điều trị kịp thời, tình trạng này có thể khiến răng lung lay hoặc thậm chí mất răng.
4. Các yếu tố nguy cơ khác làm nướu bị co rút
- Di truyền: Một số người có nướu yếu hơn do yếu tố di truyền, dễ bị tụt nướu hơn bình thường.
- Thay đổi nội tiết tố: Phụ nữ mang thai, mãn kinh hoặc trong giai đoạn dậy thì dễ bị viêm nướu, dẫn đến tụt nướu răng.
- Hút thuốc lá: Nicotine và các chất độc trong thuốc lá làm giảm lưu lượng máu đến nướu, gây suy yếu mô nướu.
- Nghiến răng: Áp lực mạnh từ thói quen nghiến răng có thể làm nướu dần co rút, khiến răng dễ lung lay.
- Khô miệng: Nước bọt giúp bảo vệ nướu và răng, khi bị khô miệng, vi khuẩn dễ phát triển, gây hại cho mô nướu.
- Niềng răng không đúng cách: Nếu mắc cài hoặc lực kéo không phù hợp, nướu có thể bị tổn thương và tụt xuống theo thời gian.
Tìm hiểu nguyên nhân giúp bạn có hướng chăm sóc và phòng ngừa tốt hơn, từ đó duy trì nướu khỏe mạnh và bảo vệ răng một cách toàn diện.
Tìm hiểu thêm: Tụt nướu lộ chân răng

III. Dấu Hiệu Nhận Biết Tụt Nướu Răng – Đừng Bỏ Qua Những Cảnh Báo Sớm
Phát hiện sớm các dấu hiệu tụt nướu răng giúp bạn có biện pháp can thiệp kịp thời, ngăn ngừa những hậu quả nghiêm trọng như viêm nha chu hoặc mất răng. Nếu nhận thấy bất kỳ dấu hiệu nào sau đây, bạn nên kiểm tra răng miệng ngay để tránh tình trạng trở nên nghiêm trọng hơn.
1. Răng ê buốt khi ăn uống
- Khi nướu bị co rút, chân răng lộ ra ngoài, làm răng trở nên nhạy cảm với nhiệt độ và thực phẩm có tính axit.
- Bạn có thể cảm thấy khó chịu hoặc ê buốt khi ăn đồ nóng, lạnh hoặc chua như kem, nước đá, cà phê, trà hoặc trái cây có tính axit.
- Nếu tình trạng ê buốt kéo dài, đây có thể là dấu hiệu cảnh báo sớm của tụt nướu răng.
2. Chân răng lộ rõ hơn bình thường
- Nướu rút lại làm răng trông dài hơn, đặc biệt là ở răng cửa hoặc răng hàm.
- Khi soi gương, bạn có thể thấy đường viền nướu không đều, tạo khoảng trống lớn hơn giữa các răng.
- Nếu không điều trị sớm, tình trạng này có thể dẫn đến răng lung lay và tổn thương nướu nghiêm trọng.
3. Nướu sưng đỏ, dễ chảy máu khi chải răng
- Nướu trở nên nhạy cảm hơn và có thể chảy máu ngay cả khi chải răng nhẹ hoặc dùng chỉ nha khoa.
- Đây là dấu hiệu cho thấy vi khuẩn đã tấn công mô nướu, có nguy cơ dẫn đến viêm nướu hoặc viêm nha chu.
4. Hơi thở có mùi hôi kéo dài
- Vi khuẩn phát triển mạnh ở vùng chân răng bị lộ ra, tạo ra hợp chất lưu huỳnh gây hôi miệng dù bạn đã vệ sinh răng miệng đầy đủ.
- Nếu không được điều trị, tình trạng này có thể tiến triển thành viêm nướu hoặc viêm nha chu.
5. Răng lung lay, mất ổn định
- Khi tụt nướu răng tiến triển nghiêm trọng, xương hàm suy giảm, khiến răng không còn được giữ vững trong nướu.
- Nếu không can thiệp kịp thời, nguy cơ mất răng vĩnh viễn sẽ tăng cao.
Phát hiện và điều trị sớm không chỉ giúp ngăn ngừa các biến chứng nguy hiểm mà còn giúp bạn duy trì nụ cười khỏe mạnh, tự tin lâu dài. Nếu bạn gặp bất kỳ dấu hiệu nào trên, hãy đến gặp nha sĩ để kiểm tra và có giải pháp điều trị phù hợp.
Mẹo chữa tụt nướu tại nhà – Đừng bỏ lỡ!

IV. Tụt Nướu Răng Có Nguy Hiểm Không? Hậu Quả Khi Không Điều Trị Kịp Thời
Tụt nướu răng không chỉ ảnh hưởng đến thẩm mỹ mà còn gây ra nhiều vấn đề nghiêm trọng về sức khỏe răng miệng. Nếu không được điều trị kịp thời, tình trạng này có thể dẫn đến những hậu quả nghiêm trọng, ảnh hưởng đến chất lượng cuộc sống.
1. Mất thẩm mỹ nụ cười
- Khi nướu bị co rút, chân răng lộ ra nhiều hơn, khiến răng trông dài hơn bình thường.
- Đường viền nướu không đều làm giảm sự hài hòa của nụ cười, gây mất tự tin khi giao tiếp.
2. Tăng nguy cơ sâu răng và viêm tủy răng
- Chân răng không có lớp men bảo vệ như thân răng, dễ bị vi khuẩn tấn công, làm tăng nguy cơ sâu răng.
- Khi vi khuẩn xâm nhập vào chân răng, chúng có thể gây viêm tủy răng, dẫn đến đau nhức kéo dài và có thể cần điều trị tủy.
3. Răng trở nên nhạy cảm và ê buốt hơn
- Tụt nướu khiến chân răng tiếp xúc trực tiếp với môi trường bên ngoài, làm răng nhạy cảm hơn với thức ăn nóng, lạnh hoặc có tính axit.
- Ê buốt kéo dài gây khó chịu khi ăn uống, ảnh hưởng đến chất lượng cuộc sống hàng ngày.
4. Mất răng do xương nâng đỡ răng suy giảm
- Khi nướu bị tụt nghiêm trọng, xương hàm cũng dần bị tiêu biến, làm răng lung lay.
- Nếu không được điều trị, răng có thể rụng vĩnh viễn, gây khó khăn trong việc ăn nhai và làm suy giảm chức năng răng miệng.
5. Ảnh hưởng đến sức khỏe tổng thể
- Viêm nha chu liên quan đến tụt nướu răng có thể làm tăng nguy cơ mắc các bệnh tim mạch, tiểu đường và nhiễm trùng huyết do vi khuẩn từ miệng lan vào máu.
- Hơi thở có mùi hôi kéo dài do vi khuẩn tích tụ khiến người bệnh cảm thấy tự ti trong giao tiếp.
Tụt nướu răng không đơn thuần chỉ là vấn đề thẩm mỹ mà còn ảnh hưởng đến sức khỏe răng miệng và toàn thân. Việc phát hiện và điều trị kịp thời giúp bảo vệ nụ cười và duy trì chất lượng cuộc sống tốt hơn.
V. Cách Điều Trị Tụt Nướu Răng Hiệu Quả 2025 – Giải Pháp Cho Nụ Cười Khỏe Đẹp
Tụt nướu răng có thể được kiểm soát và điều trị nếu phát hiện sớm. Tùy vào mức độ nặng nhẹ, có nhiều phương pháp giúp ngăn chặn tình trạng này và phục hồi nướu. Dưới đây là những cách điều trị hiệu quả nhất năm 2025.
1. Điều trị tại nhà (dành cho tụt nướu nhẹ)
- Chải răng đúng cách với bàn chải lông mềm, kết hợp kem đánh răng dành cho răng nhạy cảm giúp bảo vệ mô nướu.
- Dùng chỉ nha khoa và nước súc miệng kháng khuẩn để loại bỏ vi khuẩn gây viêm nướu.
- Bổ sung thực phẩm giàu vitamin C và canxi giúp củng cố sức khỏe nướu, hỗ trợ phục hồi mô nướu bị tổn thương.
- Áp dụng phương pháp tự nhiên như dầu dừa, trà xanh để kháng viêm, giúp nướu khỏe mạnh hơn.
2. Điều trị nha khoa (dành cho tụt nướu trung bình và nặng)
- Lấy cao răng, làm sạch sâu giúp loại bỏ vi khuẩn gây viêm nướu, ngăn chặn tình trạng tụt nướu răng tiến triển.
- Điều trị bằng laser giúp kích thích mô nướu tái tạo mà không gây đau đớn hay chảy máu nhiều.
- Phẫu thuật ghép nướu là phương pháp hiệu quả để phục hồi vùng nướu đã bị mất, giúp che phủ chân răng lộ ra.
- Dùng máng chống nghiến răng nếu nguyên nhân gây tụt nướu là do nghiến răng khi ngủ.
3. Cách khắc phục tụt nướu khi niềng răng
- Chỉnh lực kéo của dây cung nếu nhận thấy nướu bị co rút do áp lực niềng răng quá mạnh.
- Vệ sinh răng miệng kỹ hơn, đặc biệt là vùng nướu bằng bàn chải kẽ và chỉ nha khoa.
- Khám răng định kỳ để theo dõi tình trạng nướu trong suốt quá trình chỉnh nha.
Việc điều trị tụt nướu răng không chỉ giúp bảo vệ sức khỏe răng miệng mà còn giữ được vẻ đẹp tự nhiên của nụ cười. Nếu bạn nhận thấy bất kỳ dấu hiệu nào của tụt nướu, hãy đến nha sĩ để được tư vấn phương pháp điều trị phù hợp nhất.
Bạn cần bác sĩ nha khoa giỏi? Gặp ngay Dr. Quân!

VI. Phòng Ngừa Tụt Nướu Răng – Bảo Vệ Nướu Khỏe Mạnh Ngay Từ Hôm Nay
Ngăn ngừa tụt nướu răng ngay từ đầu là cách tốt nhất để bảo vệ sức khỏe răng miệng và tránh những hậu quả nghiêm trọng. Dưới đây là những biện pháp đơn giản nhưng hiệu quả giúp giữ nướu luôn khỏe mạnh.
1. Chải răng đúng cách để bảo vệ mô nướu
- Sử dụng bàn chải lông mềm và chải răng nhẹ nhàng theo chuyển động tròn để tránh làm tổn thương nướu.
- Chọn kem đánh răng chứa fluor hoặc các thành phần giúp giảm ê buốt, hỗ trợ bảo vệ nướu.
- Đánh răng ít nhất hai lần mỗi ngày, kết hợp với chỉ nha khoa để loại bỏ mảng bám ở kẽ răng.
2. Sử dụng chỉ nha khoa và nước súc miệng kháng khuẩn
- Dùng chỉ nha khoa hàng ngày giúp làm sạch mảng bám và thức ăn còn sót lại giữa các răng, ngăn ngừa vi khuẩn gây viêm nướu.
- Súc miệng bằng nước muối sinh lý hoặc nước súc miệng chứa chlorhexidine để giảm vi khuẩn và giữ hơi thở thơm mát.
3. Xây dựng chế độ ăn uống khoa học
- Bổ sung thực phẩm giàu vitamin C như cam, ổi, rau xanh giúp tăng cường mô nướu.
- Hạn chế đường và tinh bột để giảm nguy cơ hình thành mảng bám gây viêm nướu.
- Uống nhiều nước để duy trì độ ẩm cho khoang miệng, ngăn ngừa khô miệng và vi khuẩn phát triển.
4. Bỏ thuốc lá để bảo vệ sức khỏe nướu
- Hút thuốc lá làm giảm lưu lượng máu đến nướu, khiến mô nướu yếu đi và dễ bị vi khuẩn tấn công.
- Cai thuốc lá giúp tăng khả năng phục hồi mô nướu và cải thiện sức khỏe răng miệng tổng thể.
5. Khám răng định kỳ để phát hiện sớm dấu hiệu tụt nướu
- Thăm khám nha khoa mỗi 6 tháng để kiểm tra nướu và làm sạch cao răng.
- Nếu có dấu hiệu viêm nướu hoặc răng nhạy cảm, cần điều trị sớm để ngăn ngừa tình trạng tụt nướu răng tiến triển.
6. Các biện pháp khác giúp ngăn chặn tụt nướu
- Hạn chế nghiến răng hoặc sử dụng máng bảo vệ nếu có thói quen nghiến răng khi ngủ.
- Tránh sử dụng tăm xỉa răng quá mạnh có thể làm tổn thương nướu.
- Duy trì lối sống lành mạnh, giảm căng thẳng để tránh tác động tiêu cực đến sức khỏe răng miệng.
Chăm sóc răng miệng đúng cách không chỉ giúp ngăn ngừa tụt nướu răng mà còn bảo vệ nụ cười khỏe đẹp lâu dài. Việc thực hiện các biện pháp phòng ngừa ngay từ hôm nay sẽ giúp bạn tránh được những rủi ro về sau.

VII. Giải Đáp Thắc Mắc Thường Gặp Về Tụt Nướu Răng
Tụt nướu răng là một vấn đề răng miệng phổ biến, nhiều người vẫn còn thắc mắc về nguyên nhân, cách điều trị và cách phòng ngừa. Dưới đây là những câu hỏi thường gặp giúp bạn hiểu rõ hơn về tình trạng này.
1. Tụt nướu có chữa được không?
- Nếu phát hiện sớm, bạn có thể kiểm soát và ngăn chặn tụt nướu bằng cách thay đổi thói quen vệ sinh răng miệng và điều trị nha khoa.
- Trong trường hợp nặng, các phương pháp như ghép nướu hoặc điều trị bằng laser có thể giúp phục hồi mô nướu.
2. Chi phí điều trị tụt nướu bao nhiêu?
- Chi phí điều trị phụ thuộc vào phương pháp được áp dụng:
- Lấy cao răng, làm sạch sâu: chi phí thấp.
- Điều trị bằng laser: giá trung bình, ít xâm lấn.
- Phẫu thuật ghép nướu: chi phí cao hơn do yêu cầu kỹ thuật phức tạp.
- Để biết chính xác chi phí, bạn nên thăm khám nha khoa để được tư vấn phù hợp.
3. Tụt nướu răng hàm có nguy hiểm hơn không?
- Nướu răng hàm bị tụt thường ít được chú ý hơn so với răng cửa, nhưng nếu không điều trị sớm, tình trạng có thể lan rộng, ảnh hưởng đến chức năng nhai.
- Vi khuẩn dễ tích tụ ở răng hàm, làm tăng nguy cơ viêm nướu và sâu răng.
4. Tụt nướu nhẹ có cần điều trị không?
- Ngay cả khi tụt nướu ở mức độ nhẹ, bạn vẫn cần thay đổi thói quen chăm sóc răng miệng để ngăn ngừa tình trạng trở nên nghiêm trọng hơn.
- Áp dụng phương pháp phòng ngừa như chải răng đúng cách, sử dụng nước súc miệng kháng khuẩn và bổ sung thực phẩm giàu vitamin C giúp nướu khỏe mạnh hơn.
5. Nên chọn phòng khám nào để điều trị tụt nướu răng?
- Khi lựa chọn nha khoa, bạn nên ưu tiên những cơ sở uy tín, có bác sĩ chuyên khoa về bệnh lý nướu.
- Một số tiêu chí quan trọng:
- Trang thiết bị hiện đại hỗ trợ điều trị hiệu quả.
- Đội ngũ bác sĩ có kinh nghiệm trong điều trị tụt nướu và bệnh nha chu.
- Đánh giá tích cực từ khách hàng đã từng điều trị.
Giải đáp những thắc mắc trên giúp bạn hiểu rõ hơn về tụt nướu răng và có biện pháp chăm sóc nướu hiệu quả. Nếu có dấu hiệu tụt nướu, hãy liên hệ nha sĩ để được tư vấn và điều trị kịp thời.
Bạn đang thắc mắc? Click ngay để biết đáp án!
VIII. Chuyên Gia Hàng Đầu Trong Lĩnh Vực Nha Khoa
Nếu bạn đang tìm kiếm một địa bác sĩ uy tín để điều trị răng bị tụt nướu, Bác sĩ Quân chính là lựa chọn hàng đầu. Với nhiều năm kinh nghiệm trong lĩnh vực nha khoa, Bác sĩ Quân đã giúp hàng ngàn khách hàng khắc phục các vấn đề răng miệng, mang lại nụ cười khỏe mạnh và tự tin.
1. Chuyên môn và kinh nghiệm
Bác sĩ Quân là chuyên gia trong lĩnh vực nha khoa tổng quát và chuyên sâu, đặc biệt là điều trị tụt nướu, viêm nha chu, phẫu thuật ghép nướu và phục hồi răng. Với phương châm luôn đặt sức khỏe và sự hài lòng của khách hàng lên hàng đầu, Bác sĩ Quân không ngừng cập nhật những công nghệ và phương pháp điều trị tiên tiến nhất.
2. Tại sao nên chọn Bác sĩ Quân?
- Hơn 10 năm kinh nghiệm trong điều trị các vấn đề nha khoa phức tạp, đặc biệt là tụt nướu và các bệnh lý liên quan.
- Ứng dụng công nghệ hiện đại, giúp quá trình điều trị nhẹ nhàng, ít đau và đạt hiệu quả tối ưu.
- Tư vấn tận tâm, lắng nghe khách hàng, giúp đưa ra giải pháp phù hợp nhất với từng trường hợp.
- Hệ thống trang thiết bị tiên tiến, đảm bảo tiêu chuẩn vệ sinh và an toàn trong quá trình điều trị.
Thông tin liên hệ bác sĩ Quân:
Địa chỉ: 35-37 Nguyễn Thị Thập, Q. 7, Tp HCM, Việt Nam
Điện thoại: 078 751 5858
Email:
Website: https://drtadongquan.com
Facebook: Bác Sĩ Quân
Bạn có thể đặt lịch tư vấn trực tiếp để được bác sĩ thăm khám, đánh giá tình trạng răng miệng cụ thể và đưa ra phương án điều trị phù hợp nhất.
Tụt nướu: Nguy cơ lớn từ một vấn đề nhỏ – Xem ngay!