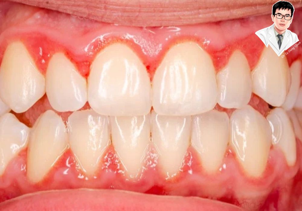
Nướu răng bị đỏ thường bị xem nhẹ nhưng có thể liên quan đến viêm nướu, viêm nha chu hoặc mảng bám răng. Tình trạng này có thể đi kèm chảy máu chân răng, đau nướu răng hay hôi miệng. Hiểu rõ nguyên nhân nướu răng bị đỏ và cách chăm sóc nướu răng đúng cách sẽ giúp bạn phòng ngừa bệnh lý răng miệng hiệu quả.
I. Nướu răng bị đỏ là dấu hiệu cảnh báo bệnh lý gì
1. Viêm nướu và phản ứng viêm ban đầu
Tình trạng nướu răng bị đỏ thường xuất hiện sớm nhất trong viêm nướu. Khi vi khuẩn tích tụ dọc viền lợi, mô nướu phản ứng bằng cách tăng lưu lượng máu. Màu sắc vì vậy chuyển từ hồng nhạt sang đỏ sẫm. Nếu chạm nhẹ đã chảy máu, đây là dấu hiệu viêm điển hình.
Viêm nướu giai đoạn đầu thường không gây đau rõ rệt. Chính vì thế, nhiều người dễ bỏ qua hoặc trì hoãn xử lý. Nếu mảng bám tiếp tục tồn tại, phản ứng viêm sẽ kéo dài. Can thiệp sớm giúp nướu phục hồi nhanh và hạn chế biến chứng.

2. Viêm nha chu và nguy cơ tổn thương mô nâng đỡ
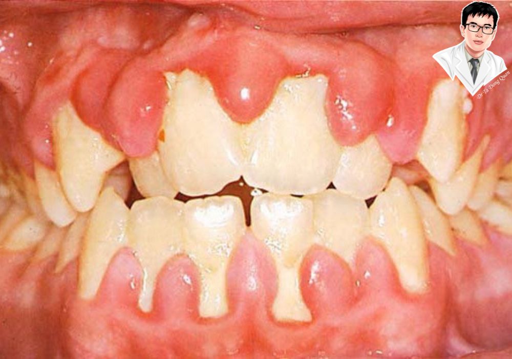
Khi nướu răng bị đỏ kéo dài mà không được điều trị, bệnh có thể tiến triển thành viêm nha chu. Lúc này, mô liên kết và xương ổ răng bắt đầu bị phá hủy. Người bệnh có thể nhận thấy tụt nướu hoặc răng lung lay nhẹ. Hơi thở có mùi cũng là dấu hiệu thường gặp.
Viêm nha chu nguy hiểm hơn viêm nướu thông thường. Tổn thương xương thường khó phục hồi hoàn toàn. Điều trị chuyên khoa giúp kiểm soát viêm và bảo tồn răng thật. Việc thăm khám định kỳ có ý nghĩa quyết định.
3. Nhiễm khuẩn nướu do tác nhân khác
Không phải mọi trường hợp đỏ lợi đều do vi khuẩn mảng bám. Nấm hoặc virus cũng có thể gây viêm mô nướu. Biểu hiện có thể gồm loét miệng, đau rát hoặc xuất hiện mảng trắng. Ăn uống thường trở nên khó chịu hơn.
Phân biệt nguyên nhân cần đánh giá lâm sàng cẩn thận. Điều trị sai hướng có thể làm viêm kéo dài. Kiểm tra sớm giúp xác định đúng tác nhân gây bệnh. Từ đó, kế hoạch xử lý trở nên chính xác hơn.
Xem thêm: Trị sưng nướu đúng cách để giảm đau và khó chịu
II. Nguyên nhân phổ biến khiến nướu răng bị đỏ và sưng tấy
1. Cao răng và mảng bám tích tụ
Nguyên nhân phổ biến nhất của nướu răng bị đỏ là mảng bám và cao răng. Mảng bám hình thành liên tục sau ăn uống. Nếu không được loại bỏ triệt để, chúng cứng lại thành cao răng. Đây là môi trường lý tưởng cho vi khuẩn phát triển.
Cao răng có bề mặt thô ráp, dễ giữ vi khuẩn và độc tố. Mô nướu phản ứng bằng tình trạng viêm và sưng đỏ. Chải răng thông thường không thể loại bỏ cao răng đã cứng. Lấy cao răng định kỳ là biện pháp cần thiết.

2. Tổn thương do thói quen vệ sinh sai cách
Nhiều người gặp nướu răng bị đỏ do chải răng quá mạnh hoặc dùng bàn chải lông cứng. Lực tác động lớn có thể làm trầy xước lợi. Mô nướu bị tổn thương trở nên nhạy cảm hơn với vi khuẩn. Cảm giác đau rát hoặc ê nhẹ thường xuất hiện.
Điều chỉnh kỹ thuật chải răng giúp hạn chế nguy cơ này. Bàn chải lông mềm và chuyển động tròn nhẹ là lựa chọn phù hợp. Chỉ nha khoa cần được sử dụng đúng cách. Tác động đúng giúp bảo vệ mô mềm hiệu quả.
3. Ảnh hưởng từ thay đổi nội tiết
Biến động nội tiết tố cũng góp phần gây viêm lợi. Trong thai kỳ hoặc dậy thì, nướu dễ bị kích ứng hơn. Lưu lượng máu tăng khiến lợi trông đỏ và dễ chảy máu. Đây là phản ứng sinh lý nhưng vẫn cần theo dõi.
Chăm sóc răng miệng trong giai đoạn này cần kỹ lưỡng hơn. Vệ sinh đúng cách giúp giảm nguy cơ viêm chồng lấp. Thăm khám nha khoa giúp phát hiện sớm bất thường. Chủ động kiểm soát giúp duy trì nướu khỏe mạnh.
Bảng tổng hợp nguyên nhân thường gặp
| Nguyên nhân | Cơ chế tác động | Hệ quả phổ biến |
|---|---|---|
| Mảng bám, cao răng | Vi khuẩn và độc tố kích thích viêm | Nướu sưng đỏ, chảy máu |
| Chải răng sai cách | Tổn thương cơ học mô nướu | Đau, kích ứng lợi |
| Thay đổi nội tiết | Tăng nhạy cảm mô mềm | Dễ viêm, dễ chảy máu |
III. Dấu hiệu đi kèm cần đặc biệt lưu tâm
1. Chảy máu chân răng khi vệ sinh
Một dấu hiệu dễ nhận thấy khi nướu răng bị đỏ là chảy máu chân răng. Nướu khỏe mạnh không chảy máu dưới lực chải thông thường. Nếu bọt kem đánh răng thường xuyên đổi màu, viêm có thể đang hiện diện. Mạch máu dưới lợi trở nên nhạy cảm hơn bình thường.
Chảy máu kéo dài cho thấy tình trạng viêm chưa được kiểm soát. Can thiệp sớm giúp hạn chế tổn thương sâu hơn. Điều chỉnh thói quen vệ sinh đóng vai trò quan trọng. Thăm khám giúp xác định nguyên nhân chính xác.
2. Hôi miệng dai dẳng
Vi khuẩn tích tụ trong túi nướu viêm có thể gây mùi khó chịu. Các hợp chất lưu huỳnh dễ bay hơi là nguyên nhân chính. Nước súc miệng chỉ mang tính hỗ trợ tạm thời. Xử lý tận gốc cần loại bỏ mảng bám và vi khuẩn.
Hôi miệng kéo dài thường liên quan đến vấn đề nha chu. Vệ sinh toàn diện giúp cân bằng hệ vi sinh khoang miệng. Làm sạch lưỡi và kẽ răng rất quan trọng. Kiểm tra nha khoa giúp đánh giá đầy đủ hơn.

3. Thay đổi hình dạng và độ bám của nướu
Không phải lúc nào viêm nướu cũng gây đau rõ rệt. Khi nướu răng bị đỏ nhưng không đau, người bệnh dễ chủ quan. Tuy vậy, tụt nướu hoặc răng trông dài hơn là dấu hiệu đáng chú ý. Đây có thể là biểu hiện sớm của viêm nha chu.
Quan sát những thay đổi nhỏ giúp phát hiện nguy cơ kịp thời. Điều trị sớm thường đơn giản và ít tốn kém hơn. Chủ động theo dõi mang lại lợi ích dài hạn. Nướu khỏe mạnh luôn là nền tảng cho hàm răng vững chắc.
IV. Nướu răng bị đỏ kéo dài có nguy hiểm không
1. Ảnh hưởng tại chỗ trong khoang miệng
Khi nướu răng bị đỏ tồn tại dai dẳng, mô nướu hiếm khi tự phục hồi hoàn toàn. Phản ứng viêm kéo dài làm suy yếu cấu trúc nâng đỡ răng. Nướu có thể trở nên mềm, dễ chảy máu và dễ nhiễm khuẩn hơn. Đây là tiền đề cho nhiều biến chứng nha chu phức tạp.
Tình trạng viêm mạn tính còn tạo điều kiện cho túi nha chu hình thành. Vi khuẩn kỵ khí phát triển mạnh trong môi trường thiếu oxy. Hệ quả thường gặp gồm hôi miệng và tụt nướu. Nếu bỏ qua, nguy cơ mất răng tăng dần theo thời gian.
2. Nguy cơ tiêu xương và mất răng sớm
Một hệ quả nghiêm trọng của nướu răng bị đỏ kéo dài là tiêu xương ổ răng. Xương nâng đỡ răng dần bị phá hủy dưới tác động viêm. Răng mất điểm tựa nên dễ lung lay và giảm chức năng nhai. Quá trình này thường diễn ra âm thầm, khó nhận biết sớm bằng mắt thường.
Khi tiêu xương đạt ngưỡng nhất định, việc bảo tồn răng trở nên khó khăn hơn. Điều trị lúc này phức tạp và tốn nhiều thời gian. Phục hình thay thế sau mất răng cũng đòi hỏi chi phí đáng kể. Phát hiện sớm giúp giảm thiểu rủi ro đáng tiếc.

3. Tác động tiềm ẩn đến sức khỏe toàn thân
Viêm nướu mạn tính không chỉ giới hạn trong khoang miệng. Vi khuẩn và chất trung gian viêm có thể xâm nhập vào tuần hoàn máu. Nhiều nghiên cứu ghi nhận mối liên hệ giữa bệnh nha chu và tim mạch. Kiểm soát viêm lợi vì vậy mang ý nghĩa rộng hơn chăm sóc răng miệng đơn thuần.
Ở người có bệnh nền, phản ứng viêm kéo dài có thể làm tình trạng khó ổn định hơn. Điều này đặc biệt đáng chú ý ở bệnh nhân tiểu đường. Duy trì nướu khỏe mạnh góp phần giảm gánh nặng viêm toàn thân. Chủ động điều trị luôn mang lại lợi ích dài hạn.
Bảng đánh giá mức độ rủi ro khi viêm nướu kéo dài
| Tình trạng quan sát | Nguy cơ tiềm ẩn | Định hướng xử lý |
|---|---|---|
| Nướu đỏ, dễ chảy máu | Viêm nướu mạn tính | Kiểm tra và làm sạch cao răng |
| Tụt nướu, hôi miệng | Viêm nha chu tiến triển | Đánh giá nha chu chuyên sâu |
| Răng lung lay | Tiêu xương ổ răng | Can thiệp nha khoa sớm |
V. Cách chữa nướu răng bị đỏ tại nhà và nha khoa
1. Lấy cao răng và làm sạch chuyên sâu
Biện pháp nền tảng khi nướu răng bị đỏ do mảng bám là lấy cao răng. Nha sĩ sử dụng thiết bị siêu âm để loại bỏ cặn bám cứng đầu. Quá trình này giúp giảm đáng kể lượng vi khuẩn gây viêm. Sau làm sạch, mô nướu thường cần vài ngày để ổn định trở lại.
Việc làm sạch chuyên sâu còn hỗ trợ thu nhỏ túi nha chu nông. Điều này giúp cải thiện môi trường quanh răng. Kết hợp chăm sóc tại nhà đúng cách giúp duy trì hiệu quả lâu dài. Kiểm tra định kỳ giúp kiểm soát nguy cơ tái phát.
2. Chăm sóc hỗ trợ tại nhà đúng cách
Trong nhiều trường hợp nhẹ, chăm sóc tại nhà giúp cải thiện đáng kể. Súc miệng bằng nước muối sinh lý ấm giúp làm dịu mô nướu. Chải răng đúng kỹ thuật hạn chế kích ứng thêm. Duy trì thói quen đều đặn giúp môi trường khoang miệng ổn định hơn.
Nếu nướu răng bị đỏ đi kèm sưng hoặc khó chịu kéo dài, việc tự xử lý có thể chưa đủ. Lúc này, thăm khám giúp đánh giá mức độ viêm chính xác. Nha sĩ có thể cân nhắc dung dịch sát khuẩn phù hợp. Phối hợp đúng hướng giúp rút ngắn thời gian phục hồi.
3. Vai trò của dinh dưỡng trong phục hồi nướu
Chế độ ăn uống ảnh hưởng trực tiếp đến sức khỏe mô mềm. Thiếu hụt vi chất có thể làm nướu dễ viêm và chậm lành. Vitamin C và nhóm B thường được nhắc đến trong phục hồi mô nướu. Rau xanh và trái cây tươi góp phần tăng sức đề kháng tại chỗ.
Bổ sung dinh dưỡng không thay thế điều trị nha khoa khi viêm đã rõ rệt. Tuy vậy, đây là yếu tố hỗ trợ quan trọng. Mô nướu khỏe cần môi trường sạch và nguồn dưỡng chất đầy đủ. Sự kết hợp này giúp giảm nguy cơ tái viêm.

VI. Hướng dẫn chăm sóc nướu răng đúng cách mỗi ngày
1. Kỹ thuật chải răng bảo vệ mô nướu
Chải răng đúng kỹ thuật giúp giảm nguy cơ tổn thương lợi. Bàn chải lông mềm là lựa chọn an toàn cho đa số người dùng. Đặt bàn chải nghiêng nhẹ về phía viền nướu và di chuyển tròn nhỏ. Lực tác động vừa đủ giúp làm sạch mà không gây kích ứng.
Khi nướu răng bị đỏ, việc điều chỉnh lực chải càng quan trọng. Tác động mạnh có thể làm viêm trầm trọng hơn. Duy trì thói quen chải đều đặn hai lần mỗi ngày giúp kiểm soát mảng bám. Đây là nền tảng trong chăm sóc nha chu lâu dài.
2. Làm sạch kẽ răng và vùng khó tiếp cận
Bàn chải khó tiếp cận hoàn toàn các kẽ răng hẹp. Chỉ nha khoa hoặc máy tăm nước giúp bổ sung hiệu quả. Phương pháp này hỗ trợ loại bỏ vụn thức ăn và vi khuẩn còn sót lại. Môi trường quanh nướu vì vậy ổn định hơn.
Thói quen này đặc biệt cần thiết khi nướu răng bị đỏ tái diễn nhiều lần. Làm sạch kẽ răng giúp hạn chế tích tụ mảng bám mới. Thực hiện đúng kỹ thuật giúp tránh gây tổn thương mô mềm. Kiên trì áp dụng mang lại lợi ích rõ rệt.

3. Duy trì môi trường khoang miệng cân bằng
Làm sạch lưỡi và súc miệng hỗ trợ kiểm soát vi khuẩn toàn diện. Lưỡi là nơi vi khuẩn dễ tích tụ nhưng thường bị bỏ qua. Dung dịch súc miệng phù hợp giúp giảm tải vi sinh vật gây hại. Hơi thở và sức khỏe nướu vì vậy được cải thiện.
Khám răng miệng định kỳ giúp phát hiện sớm bất thường. Việc theo dõi chuyên khoa mang tính phòng ngừa hiệu quả. Nướu khỏe mạnh cần chăm sóc nhất quán mỗi ngày. Sự đều đặn quyết định kết quả dài hạn.