Implant bị đỏ lợi là tình trạng khiến nhiều người lo lắng sau khi cấy ghép răng. Hiện tượng này có thể xuất phát từ kích ứng mô mềm, chăm sóc chưa đúng cách hoặc viêm quanh implant. Việc nhận biết sớm nguyên nhân và dấu hiệu đỏ lợi quanh implant giúp bạn xử lý kịp thời, hạn chế biến chứng và bảo vệ độ bền lâu dài của răng implant.
I. Tìm hiểu hiện tượng implant bị đỏ lợi là gì
Sau khi trồng răng, không ít người phát hiện implant bị đỏ lợi và bắt đầu lo lắng không biết đây là phản ứng bình thường hay dấu hiệu bất thường. Thực tế, nếu hiểu rõ bản chất của implant bị đỏ lợi, bạn sẽ dễ dàng phân biệt đâu là quá trình lành thương tự nhiên và đâu là vấn đề cần theo dõi kỹ.
1. Lợi quanh implant có gì khác so với răng thật
Khác với răng tự nhiên, implant không có dây chằng nha chu bao quanh. Mô lợi bám trực tiếp vào trụ implant nên khả năng tự bảo vệ kém hơn. Khi có tác động từ vi khuẩn, mảng bám hoặc lực nhai, vùng lợi này sẽ phản ứng nhanh hơn bằng cách đổi màu.

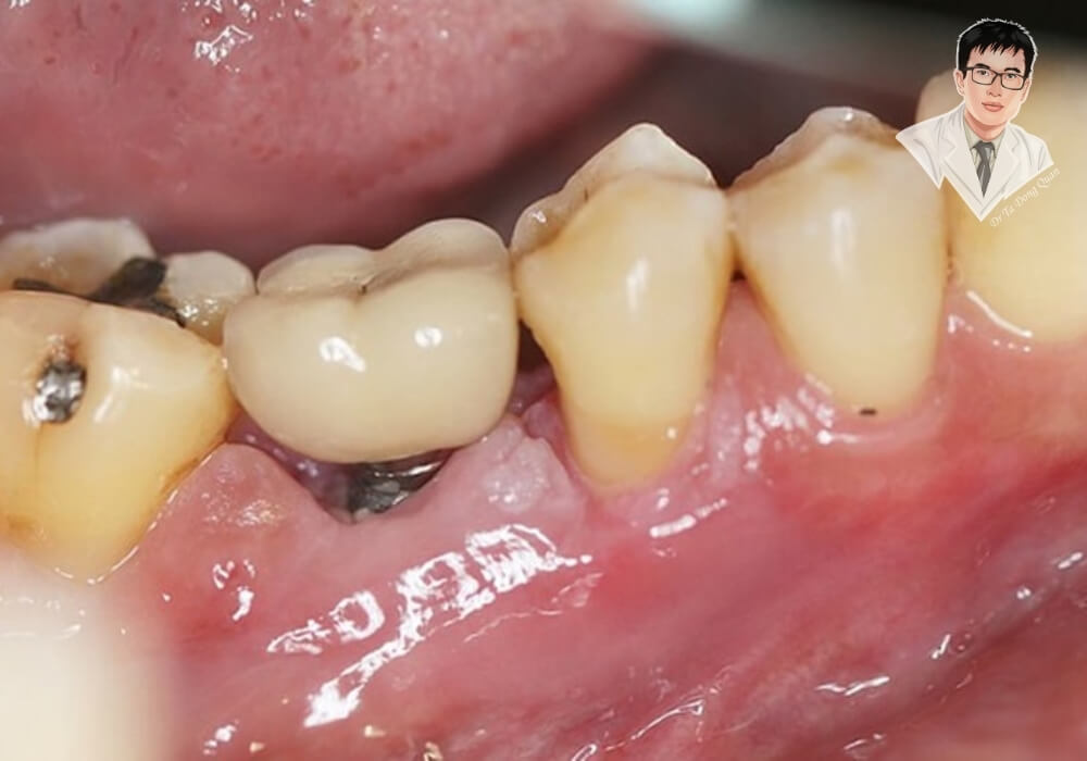
2. Biểu hiện đỏ lợi thường gặp quanh implant
Bạn có thể thấy lợi quanh cổ răng sứ chuyển sang màu đỏ tươi hoặc đỏ sậm. Một số trường hợp kèm cảm giác căng nhẹ nhưng chưa đau rõ. Trong điều kiện khỏe mạnh, lợi cần có màu hồng nhạt, săn chắc và ôm sát thân răng.
3. Phân biệt đỏ lợi sinh lý và đỏ lợi bệnh lý
Ở giai đoạn đầu sau cấy ghép, lợi có thể hơi đỏ do lành thương. Tuy nhiên nếu tình trạng này kéo dài, lan rộng hoặc ngày càng đậm màu hơn, đây là dấu hiệu lợi đang bị viêm. Việc quan sát sự khác biệt giữa vùng implant và các răng bên cạnh giúp bạn nhận biết sớm bất thường.
Bảng so sánh nhanh tình trạng lợi quanh implant
| Tiêu chí | Lợi khỏe mạnh | Lợi có vấn đề |
|---|---|---|
| Màu sắc | Hồng nhạt | Đỏ tươi hoặc đỏ sẫm |
| Độ ôm sát | Ôm khít cổ răng | Lỏng, dễ sưng |
| Cảm giác | Không khó chịu | Căng hoặc nhạy cảm |
| Thời gian | Ổn định | Kéo dài, không giảm |
Xem thêm: Trị sưng nướu đúng cách để giảm đau và khó chịu
II. Những nguyên nhân thường gặp khiến implant bị đỏ lợi
Để xử lý đúng cách, bạn cần hiểu vì sao implant bị đỏ lợi xảy ra. Trên thực tế, tình trạng implant bị đỏ lợi thường đến từ nhiều yếu tố kết hợp chứ không chỉ một nguyên nhân đơn lẻ.
1. Mảng bám và vi khuẩn tích tụ quanh implant
Vùng tiếp giáp giữa lợi và răng sứ rất dễ giữ lại mảng bám. Nếu vệ sinh không kỹ, vi khuẩn sẽ phát triển và gây kích ứng mô mềm. Vì không có cơ chế tự bảo vệ như răng thật, lợi quanh implant dễ bị viêm hơn.

2. Xi măng nha khoa còn sót sau khi gắn răng sứ
Trong quá trình phục hình, nếu xi măng không được làm sạch hoàn toàn, phần dư sẽ trở thành dị vật. Dị vật này âm thầm gây viêm lợi kéo dài mà người trồng răng khó tự phát hiện.
3. Lực nhai và khớp cắn chưa cân bằng
Khi implant chịu lực nhai quá lớn hoặc khớp cắn bị lệch, mô lợi quanh trụ sẽ bị quá tải. Áp lực kéo dài khiến lợi phản ứng bằng cách sưng và đổi màu, đặc biệt khi ăn nhai thường xuyên.
III. Dấu hiệu nhận biết viêm nhiễm quanh trụ implant
Viêm quanh implant thường tiến triển âm thầm. Nếu không để ý kỹ, implant bị đỏ lợi có thể bị bỏ qua cho đến khi xuất hiện biến chứng rõ ràng. Nhận diện sớm giúp bạn chủ động xử lý kịp thời.
1. Lợi dễ chảy máu khi chải răng
Nếu chỉ cần chải răng nhẹ mà lợi quanh implant đã chảy máu, đây là dấu hiệu viêm sớm. Lúc này, lợi thường mềm hơn và không còn săn chắc như trước.
2. Sưng lợi kèm dịch và mùi khó chịu
Khi viêm tiến triển, lợi có thể sưng và xuất hiện dịch ở kẽ nướu. Dịch thường đi kèm mùi hôi, cho thấy vi khuẩn đang hoạt động mạnh quanh trụ implant.

3. Đau khi ăn nhai hoặc cảm giác implant kém chắc
Cảm giác đau khi nhai hoặc thấy implant không còn vững là dấu hiệu nghiêm trọng. Khi đó, viêm có thể đã ảnh hưởng đến mô nâng đỡ bên dưới và cần được can thiệp sớm.
Bảng tổng hợp mức độ dấu hiệu viêm quanh implant
| Dấu hiệu | Giai đoạn sớm | Giai đoạn tiến triển |
|---|---|---|
| Đỏ lợi | Nhẹ, khu trú | Đậm màu, lan rộng |
| Chảy máu | Khi chải răng | Tự chảy |
| Dịch mủ | Không có | Có mùi |
| Cảm giác | Ít đau | Đau khi nhai |
IV. Biến chứng tiềm ẩn khi implant bị đỏ lợi kéo dài
Nhiều người có xu hướng chủ quan khi thấy implant bị đỏ lợi nhưng không đau nhiều. Tuy nhiên nếu implant bị đỏ lợi kéo dài mà không xử lý, nguy cơ biến chứng sẽ tăng dần theo thời gian.
1. Nguy cơ viêm quanh implant và tiêu xương
Khi vi khuẩn tồn tại lâu ngày quanh trụ, tình trạng viêm có thể lan xuống phần xương hàm. Xương nâng đỡ bị tiêu dần khiến trụ mất độ ổn định. Đây là nguyên nhân phổ biến dẫn đến thất bại implant.

2. Ảnh hưởng đến độ bền và chức năng ăn nhai
Implant cần nền xương và mô mềm khỏe để chịu lực nhai lâu dài. Khi lợi viêm kéo dài, lực nhai phân bố không đều làm tăng áp lực lên trụ. Điều này khiến việc ăn nhai trở nên khó chịu và kém tự nhiên.
3. Tác động gián tiếp đến sức khỏe toàn thân
Ổ viêm quanh implant có thể trở thành nguồn vi khuẩn lan vào máu. Với người có bệnh nền, tình trạng này làm tăng nguy cơ biến chứng toàn thân. Vì vậy kiểm soát viêm lợi không chỉ bảo vệ răng mà còn bảo vệ sức khỏe chung.
Bảng tổng hợp biến chứng theo mức độ
| Mức độ | Biểu hiện | Nguy cơ |
|---|---|---|
| Nhẹ | Đỏ lợi kéo dài | Viêm mô mềm |
| Trung bình | Sưng, chảy máu | Viêm quanh implant |
| Nặng | Đau, lung lay | Tiêu xương, mất implant |
V. Cách xử lý implant bị đỏ lợi sớm và hiệu quả
Khi phát hiện implant bị đỏ lợi, việc xử lý đúng ngay từ đầu giúp hạn chế vi khuẩn phát triển. Áp dụng sớm các biện pháp phù hợp giúp kiểm soát implant bị đỏ lợi trước khi tình trạng trở nên nghiêm trọng.
1. Tăng cường làm sạch vùng quanh implant
Bạn nên chú ý làm sạch kỹ khu vực cổ răng sứ bằng bàn chải lông siêu mềm. Chải nhẹ theo chuyển động tròn để tránh làm trầy mô lợi. Việc vệ sinh đều đặn giúp giảm mảng bám tích tụ.

2. Súc miệng dung dịch sát khuẩn phù hợp
Dung dịch súc miệng nồng độ nhẹ giúp giảm lượng vi khuẩn tạm thời. Bạn nên sử dụng theo hướng dẫn, tránh lạm dụng kéo dài. Mục tiêu là làm dịu mô lợi chứ không gây khô miệng.
3. Tránh các tác động làm lợi thêm kích ứng
Hạn chế dùng tăm cứng hoặc chải răng quá mạnh. Không tự ý bôi thuốc hoặc uống thuốc khi chưa có chỉ định. Những tác động sai cách có thể khiến lợi viêm nặng hơn.
VI. Chăm sóc implant sau cấy ghép để phòng ngừa đỏ lợi
Chăm sóc đúng cách là yếu tố then chốt giúp hạn chế implant bị đỏ lợi về lâu dài. Khi duy trì thói quen phù hợp, nguy cơ implant bị đỏ lợi sẽ giảm rõ rệt theo thời gian.
1. Duy trì thói quen vệ sinh răng miệng khoa học
Chải răng ít nhất hai lần mỗi ngày và làm sạch kẽ răng thường xuyên. Ưu tiên các dụng cụ phù hợp cho implant để tránh làm tổn thương mô mềm. Sự đều đặn mang lại hiệu quả bền vững.
2. Sử dụng dụng cụ hỗ trợ làm sạch chuyên biệt
Máy tăm nước giúp làm sạch sâu mà không gây áp lực lên lợi. Chỉ nha khoa dành cho implant giúp lấy mảng bám ở vùng cổ trụ. Đây là những công cụ hỗ trợ rất hiệu quả.

3. Điều chỉnh chế độ ăn uống hợp lý
Nên ưu tiên thực phẩm mềm trong giai đoạn đầu và hạn chế đồ quá cứng. Bổ sung thực phẩm giàu vitamin giúp mô lợi khỏe mạnh hơn. Chế độ ăn phù hợp giúp mô mềm hồi phục tốt.
Kết luận
Việc hiểu đúng và theo dõi sát những thay đổi quanh implant giúp bạn chủ động hơn trong việc bảo vệ kết quả phục hình. Khi lợi có dấu hiệu đỏ, sưng hoặc nhạy cảm, đó thường là tín hiệu cho thấy mô mềm đang chịu áp lực hoặc vi khuẩn bắt đầu hoạt động. Phát hiện sớm và điều chỉnh kịp thời thói quen vệ sinh, ăn uống sẽ giúp hạn chế rủi ro và duy trì sự ổn định lâu dài cho răng implant.
Bên cạnh chăm sóc tại nhà, sự đồng hành của nha sĩ vẫn đóng vai trò rất quan trọng trong suốt quá trình sử dụng implant. Thăm khám định kỳ giúp kiểm tra mô lợi, khớp cắn và phát hiện sớm những vấn đề tiềm ẩn mà mắt thường khó nhận ra. Khi bạn kết hợp tốt giữa chăm sóc cá nhân và theo dõi chuyên môn, implant không chỉ bền chắc mà còn mang lại cảm giác ăn nhai thoải mái và tự tin mỗi ngày.
Thông tin liên hệ bác sĩ Quân:
Địa chỉ: 35-37 Nguyễn Thị Thập, Q. 7, Tp HCM, Việt Nam
Điện thoại: 078 751 5858
Email:
Website: https://drtadongquan.com
Facebook: Bác Sĩ Quân
Bạn có thể đặt lịch tư vấn trực tiếp để được bác sĩ thăm khám, đánh giá tình trạng răng miệng cụ thể và đưa ra phương án điều trị phù hợp nhất.