Dấu hiệu viêm nướu răng như nướu đỏ, sưng hay chảy máu khi đánh răng là những cảnh báo sớm bạn không nên bỏ qua. Việc nhận biết triệu chứng viêm nướu kịp thời giúp ngăn ngừa viêm nha chu và bảo vệ sức khỏe răng miệng hiệu quả hơn mỗi ngày.
I. Nhận diện các dấu hiệu viêm nướu răng phổ biến nhất
Việc phát hiện sớm dấu hiệu viêm nướu răng giúp bạn tránh được những tổn thương lâu dài cho răng và mô nâng đỡ. Trên thực tế, phần lớn mọi người chỉ chú ý khi có đau, trong khi dấu hiệu viêm nướu răng đã xuất hiện từ rất sớm và hoàn toàn có thể nhận biết bằng mắt thường.
1. Nướu thay đổi màu sắc và cấu trúc
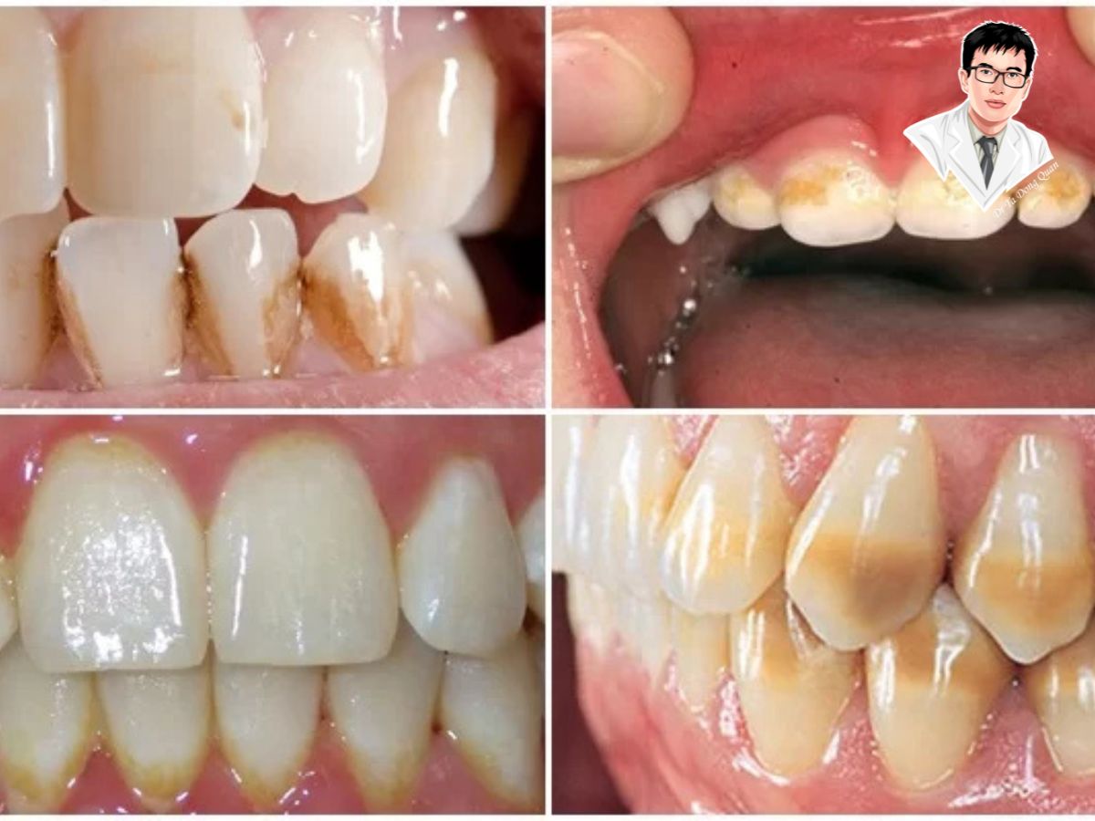
Một trong những biểu hiện dễ nhận thấy nhất là sự thay đổi màu sắc của nướu. Nướu khỏe mạnh thường có màu hồng nhạt, bề mặt hơi sần và ôm sát chân răng. Khi viêm, nướu chuyển sang đỏ đậm hoặc đỏ tím, bề mặt trở nên bóng và mềm hơn.
Sự thay đổi này xảy ra do phản ứng viêm khiến lượng máu dồn về vùng nướu tăng lên. Bạn có thể kiểm tra bằng cách soi gương dưới ánh sáng mạnh. Nếu thấy nướu mất độ săn chắc, đó là dấu hiệu cảnh báo sớm.

2. Nướu sưng và cảm giác căng tức
Nướu răng bị sưng là phản ứng miễn dịch khi cơ thể chống lại vi khuẩn tích tụ. Bạn có thể cảm thấy vùng lợi phồng lên nhẹ, kèm theo cảm giác căng hoặc hơi đau khi chạm vào.
Ở giai đoạn đầu, cơn đau thường không rõ ràng nên dễ bị bỏ qua. Tuy nhiên, nếu tình trạng kéo dài, vùng sưng sẽ lan rộng và gây khó chịu khi ăn nhai.
3. Chảy máu khi đánh răng hoặc dùng chỉ nha khoa
| Tình trạng chảy máu | Nguyên nhân phổ biến | Mức độ cần chú ý |
|---|---|---|
| Chảy máu nhẹ, không thường xuyên | Kích ứng nhẹ do mảng bám | Theo dõi |
| Chảy máu mỗi lần chải răng | Viêm nướu rõ rệt | Cần cải thiện vệ sinh |
| Chảy máu tự phát | Tổn thương mô nướu nặng | Nên đi nha khoa |
Hiện tượng chảy máu xảy ra do các mao mạch dưới nướu bị viêm và dễ tổn thương. Theo một số thống kê nha khoa, hơn 50 phần trăm người trưởng thành từng gặp tình trạng này ít nhất một lần.
II. Sự hình thành mảng bám và tiến trình gây viêm
Để hiểu rõ vì sao xuất hiện dấu hiệu viêm nướu răng, bạn cần nắm được cơ chế hình thành mảng bám. Chính quá trình này là nguyên nhân cốt lõi khiến dấu hiệu viêm nướu răng xuất hiện và ngày càng nghiêm trọng nếu không kiểm soát.
1. Mảng bám răng hình thành như thế nào
Mảng bám là lớp màng vi khuẩn không màu bám trên bề mặt răng. Sau khi ăn, vi khuẩn kết hợp với thức ăn thừa và nước bọt tạo thành lớp màng này chỉ sau vài giờ.
Nếu bạn không chải răng đúng cách, mảng bám sẽ tích tụ dày hơn. Vi khuẩn trong đó sản sinh độc tố gây kích ứng nướu.
2. Cao răng và vai trò trong viêm nướu
Khi mảng bám không được làm sạch, chúng sẽ khoáng hóa và cứng lại thành cao răng. Cao răng bám chặt vào chân răng và không thể loại bỏ bằng bàn chải thông thường.
| Đặc điểm | Mảng bám | Cao răng |
|---|---|---|
| Tính chất | Mềm, dễ làm sạch | Cứng, bám chắc |
| Thời gian hình thành | Vài giờ | Vài ngày đến tuần |
| Khả năng gây viêm | Trung bình | Cao |
Cao răng tạo môi trường lý tưởng cho vi khuẩn phát triển mạnh. Đây là nguyên nhân khiến viêm nướu kéo dài và dễ tái phát.

3. Nhận biết viêm nướu ở giai đoạn sớm
Bạn có thể phát hiện sớm bằng cách quan sát bề mặt nướu. Nướu khỏe có độ sần nhẹ giống vỏ cam, trong khi nướu viêm sẽ bóng và dễ chảy máu.
Ngoài ra, bạn có thể cảm nhận bằng lưỡi. Nếu thấy nướu mềm và không còn chắc, đó là dấu hiệu cần chú ý ngay.
III. Phân biệt giữa viêm lợi nhẹ và bệnh lý nha chu
Không phải ai cũng phân biệt được các giai đoạn của bệnh nướu. Việc hiểu rõ sự khác nhau giúp bạn đánh giá đúng mức độ của dấu hiệu viêm nướu răng và có hướng xử lý phù hợp. Khi dấu hiệu viêm nướu răng kéo dài, nguy cơ tiến triển thành nha chu là rất cao.
1. Viêm lợi nhẹ có thể phục hồi hoàn toàn
Ở giai đoạn đầu, viêm chỉ ảnh hưởng đến mô nướu. Xương và dây chằng quanh răng vẫn còn nguyên vẹn.
Nếu bạn vệ sinh đúng cách, loại bỏ mảng bám và cao răng, nướu có thể phục hồi hoàn toàn trong vòng 1 đến 2 tuần. Đây là thời điểm vàng để can thiệp.
2. Khi viêm tiến triển thành nha chu
Nếu không điều trị, vi khuẩn sẽ xâm nhập sâu hơn. Lúc này, các túi nha chu hình thành giữa răng và nướu.
Các túi này chứa vi khuẩn và mủ, khiến tình trạng viêm trở nên nghiêm trọng hơn. Điều này không chỉ gây đau mà còn làm suy yếu cấu trúc nâng đỡ răng.

3. Dấu hiệu nhận biết bệnh nha chu
| Dấu hiệu | Viêm nướu | Nha chu |
|---|---|---|
| Chảy máu nướu | Có | Có |
| Nướu tụt | Ít gặp | Phổ biến |
| Răng lung lay | Không | Có |
| Hôi miệng kéo dài | Có thể | Rất rõ |
Khi nướu tụt, chân răng lộ ra khiến bạn dễ bị ê buốt. Đây là dấu hiệu cho thấy bệnh đã tiến triển nặng và cần điều trị chuyên sâu.
IV. Những tác động của viêm nướu đối với hơi thở và giao tiếp
Khi dấu hiệu viêm nướu răng xuất hiện, nhiều người chỉ nghĩ đến chuyện đau hay chảy máu. Nhưng trên thực tế, dấu hiệu viêm nướu răng lại ảnh hưởng rõ nhất đến sự tự tin trong giao tiếp hằng ngày, đặc biệt là hơi thở và nụ cười.
1. Hơi thở có mùi dù đã vệ sinh kỹ
Một điều khá “khó chịu nhưng rất thật” là bạn vẫn có thể bị hôi miệng dù đánh răng đều đặn. Nguyên nhân nằm ở vi khuẩn trú trong túi nướu, nơi bàn chải không chạm tới.
Các vi khuẩn này phân hủy protein và tạo ra hợp chất lưu huỳnh có mùi đặc trưng. Đây là lý do vì sao nhiều người súc miệng liên tục nhưng mùi vẫn không hết.

2. Nụ cười mất tự nhiên mà bạn không nhận ra
Khi nướu bị viêm, nó không còn ôm sát chân răng như trước. Nướu sưng lên khiến răng trông ngắn lại, viền lợi không đều.
Ban đầu bạn có thể không để ý. Nhưng khi chụp ảnh hoặc nhìn kỹ, sự thay đổi này khá rõ. Nhiều người bắt đầu cười khép miệng hoặc né tránh giao tiếp gần.
3. Dịch mủ và cảm giác khó chịu kéo dài
Ở mức độ nặng hơn, giữa nướu và răng có thể xuất hiện dịch mủ. Đây là dấu hiệu cho thấy ổ vi khuẩn đã hình thành rõ rệt.
Điều đáng nói là tình trạng này thường không quá đau ở giai đoạn đầu. Chính vì vậy, nhiều người chủ quan cho đến khi bệnh tiến triển nặng.
V. Nguy cơ và biến chứng nếu không điều trị kịp thời
Có một thực tế là rất nhiều người sống chung với dấu hiệu viêm nướu răng trong thời gian dài mà không đi khám. Nhưng khi dấu hiệu viêm nướu răng kéo dài, hậu quả không chỉ nằm ở nướu.
1. Mất răng không xảy ra ngay nhưng diễn ra âm thầm
Viêm nướu ban đầu chỉ ảnh hưởng mô mềm. Nhưng nếu kéo dài, vi khuẩn sẽ phá hủy dần dây chằng và xương nâng đỡ răng.
Quá trình này không gây đau dữ dội nên rất dễ bị bỏ qua. Đến khi răng lung lay, nghĩa là tổn thương đã khá nghiêm trọng.
2. Liên quan đến bệnh lý toàn thân
Nhiều nghiên cứu nha khoa đã chỉ ra mối liên hệ giữa viêm nướu và bệnh tim mạch. Vi khuẩn từ nướu có thể đi vào máu qua các vi tổn thương.
Ngoài ra, người mắc tiểu đường thường có tình trạng viêm nướu nặng hơn. Hai yếu tố này tác động qua lại, khiến việc kiểm soát bệnh trở nên khó khăn hơn.
3. Ảnh hưởng đặc biệt ở phụ nữ mang thai
Trong thai kỳ, nội tiết tố thay đổi khiến nướu dễ viêm hơn. Bạn có thể thấy nướu sưng và chảy máu dù trước đó hoàn toàn bình thường.
Một số nghiên cứu ghi nhận mối liên hệ giữa viêm nướu và nguy cơ sinh non. Vì vậy, việc kiểm tra răng miệng trong thai kỳ là điều nên làm, không nên bỏ qua.

Câu hỏi thường gặp về dấu hiệu viêm nướu răng
Viêm nướu răng có thể tự khỏi không?
Ở giai đoạn nhẹ, nếu bạn vệ sinh răng miệng đúng cách, nướu có thể phục hồi. Tuy nhiên, nếu đã có cao răng thì cần can thiệp nha khoa.
Vì sao chải răng kỹ vẫn bị chảy máu nướu?
Nguyên nhân thường nằm ở việc chải sai kỹ thuật hoặc không làm sạch kẽ răng. Vi khuẩn vẫn tồn tại và gây viêm.
Dấu hiệu viêm nướu răng ở người lớn có nghiêm trọng hơn không?
Người lớn thường tích tụ cao răng lâu hơn nên nguy cơ tiến triển sang nha chu cao hơn. Ngoài ra, các yếu tố như hút thuốc cũng làm bệnh nặng hơn.
Hôi miệng có phải luôn do viêm nướu không?
Không phải lúc nào cũng vậy. Tuy nhiên, nếu hôi miệng đi kèm chảy máu nướu, khả năng cao nguyên nhân là do viêm nướu.
Nướu sưng nhưng không đau có nguy hiểm không?
Có. Đây thường là viêm mãn tính, tiến triển chậm nhưng âm thầm phá hủy mô nâng đỡ răng.
Kết luận
Việc nhận diện sớm dấu hiệu viêm nướu răng giúp bạn kiểm soát tình trạng ngay từ giai đoạn nhẹ, tránh tiến triển thành các bệnh lý nghiêm trọng hơn như viêm nha chu. Chỉ cần chú ý đến những thay đổi nhỏ như nướu đỏ, sưng hoặc chảy máu, bạn đã có thể can thiệp kịp thời và bảo vệ nền tảng sức khỏe răng miệng lâu dài.
Nếu bạn đang gặp bất kỳ dấu hiệu nào, đừng trì hoãn việc kiểm tra. Kết hợp chăm sóc đúng cách tại nhà và thăm khám định kỳ sẽ giúp bạn duy trì nướu khỏe, răng chắc và sự tự tin trong giao tiếp mỗi ngày.
Thông tin liên hệ bác sĩ Quân:
Địa chỉ: 35-37 Nguyễn Thị Thập, Q. 7, Tp HCM, Việt Nam
Điện thoại: 078 751 5858
Email:
Website: https://drtadongquan.com
Facebook: Bác Sĩ Quân
Bạn có thể đặt lịch tư vấn trực tiếp để được bác sĩ thăm khám, đánh giá tình trạng răng miệng cụ thể và đưa ra phương án điều trị phù hợp nhất.