Viêm nướu răng sưng đỏ là tình trạng phổ biến nhưng dễ bị bỏ qua, gây đau nhức, chảy máu và ảnh hưởng sức khỏe răng miệng. Bài viết giúp bạn hiểu rõ nguyên nhân viêm nướu, dấu hiệu nhận biết và cách điều trị, phòng ngừa hiệu quả ngay tại nhà.
I. Viêm nướu răng sưng đỏ và những kiến thức cơ bản bạn cần biết
Tình trạng viêm nướu răng sưng đỏ là phản ứng viêm của mô nướu khi bị vi khuẩn tấn công, chủ yếu do mảng bám tích tụ lâu ngày. Đây là giai đoạn sớm nhất của bệnh nha chu. Nếu xử lý đúng lúc, nướu có thể hồi phục hoàn toàn. Ngược lại, nếu bỏ qua, viêm nướu răng sưng đỏ sẽ tiến triển âm thầm và gây tổn thương sâu hơn.
1. Dấu hiệu nhận biết ban đầu bạn dễ bỏ qua
Ở giai đoạn đầu, biểu hiện thường rất nhẹ nên nhiều người không chú ý. Nướu bắt đầu đổi màu từ hồng sang đỏ nhạt, sau đó đậm dần nếu tình trạng kéo dài.
Khi đánh răng, bạn có thể thấy một chút máu dính trên bàn chải. Cảm giác đau chưa rõ ràng, chỉ là hơi ê hoặc khó chịu khi ăn đồ nóng, lạnh hoặc cay.
Một dấu hiệu khác ít được để ý là nướu trở nên mềm hơn và không còn ôm sát chân răng như trước. Đây là lúc vi khuẩn bắt đầu xâm nhập sâu hơn.
2. Vì sao nướu lại sưng và đổi màu
Nguyên nhân cốt lõi đến từ mảng bám chứa vi khuẩn. Khi không được làm sạch, chúng sản sinh độc tố gây kích ứng mô nướu. Cơ thể phản ứng bằng cách tăng lưu lượng máu đến vùng bị viêm. Điều này khiến nướu chuyển sang màu đỏ và sưng lên. Nếu tình trạng kéo dài, vi khuẩn sẽ đi sâu xuống dưới nướu, tạo thành túi nướu. Đây là bước chuyển nguy hiểm sang viêm nha chu.

3. Phân biệt rõ để không nhầm lẫn tình trạng nướu
| Tiêu chí | Nướu khỏe mạnh | Nướu bị viêm |
|---|---|---|
| Màu sắc | Hồng nhạt tự nhiên | Đỏ đậm hoặc tím |
| Hình dạng | Ôm sát chân răng | Sưng, phồng |
| Độ nhạy | Bình thường | Dễ đau, dễ chảy máu |
| Hơi thở | Không mùi | Có mùi khó chịu |
Việc phân biệt sớm giúp bạn xử lý kịp thời, tránh để tình trạng chuyển sang mức nghiêm trọng hơn.
II. Nguyên nhân viêm nướu răng sưng đỏ thường gặp trong đời sống
Để điều trị hiệu quả, bạn cần hiểu rõ nguyên nhân gây bệnh. viêm nướu răng sưng đỏ không xảy ra ngẫu nhiên mà thường xuất phát từ những thói quen rất quen thuộc hàng ngày. Nếu không thay đổi, viêm nướu răng sưng đỏ sẽ dễ tái phát và trở nên mãn tính.
1. Mảng bám và cao răng là nguyên nhân cốt lõi
Sau mỗi bữa ăn, vi khuẩn trong miệng sẽ kết hợp với thức ăn thừa tạo thành mảng bám. Nếu bạn không làm sạch kỹ, lớp mảng này sẽ cứng lại thành cao răng.
Cao răng không chỉ bám trên bề mặt răng mà còn nằm sâu dưới nướu. Đây là môi trường lý tưởng cho vi khuẩn phát triển và gây viêm kéo dài.
Điều quan trọng là bạn không thể tự loại bỏ cao răng tại nhà. Chỉ có lấy cao răng tại nha khoa mới xử lý triệt để được nguyên nhân này.
2. Thay đổi nội tiết khiến nướu nhạy cảm hơn
Ở phụ nữ, hormone thay đổi theo từng giai đoạn như dậy thì, mang thai hoặc mãn kinh. Điều này làm mạch máu ở nướu giãn ra và dễ bị kích ứng hơn.
Chỉ cần một lượng nhỏ vi khuẩn cũng có thể gây viêm. Đây là lý do nhiều người dù vệ sinh răng miệng đều đặn vẫn bị sưng nướu.
Ngoài ra, stress kéo dài cũng ảnh hưởng đến hệ miễn dịch, làm giảm khả năng chống viêm của cơ thể.

3. Thói quen sinh hoạt và bệnh lý làm tăng nguy cơ
| Yếu tố | Ảnh hưởng cụ thể |
|---|---|
| Hút thuốc lá | Giảm lưu thông máu, nướu khó hồi phục |
| Ăn nhiều đường | Tăng tốc độ hình thành mảng bám |
| Vệ sinh sai cách | Không làm sạch được kẽ răng |
| Bệnh tiểu đường | Làm viêm kéo dài, khó lành |
Những yếu tố này thường kết hợp với nhau, khiến tình trạng viêm trở nên phức tạp và khó điều trị hơn.
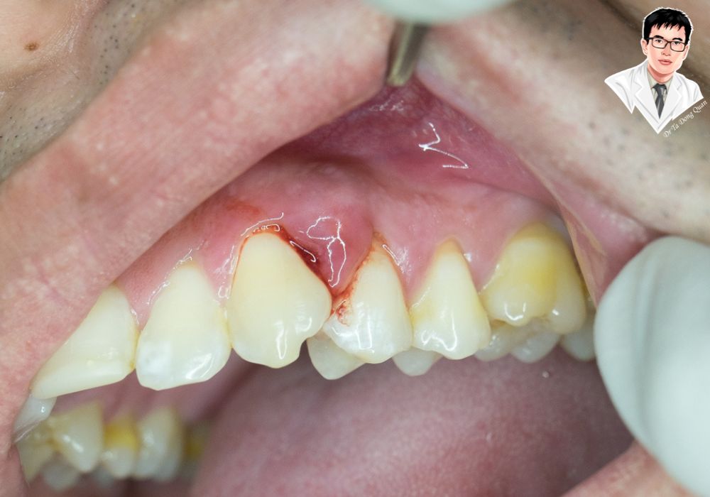
III. Dấu hiệu viêm nướu răng sưng đỏ cảnh báo mức độ nguy hiểm
Việc nhận biết đúng giai đoạn giúp bạn xử lý kịp thời. viêm nướu răng sưng đỏ thường tiến triển từ nhẹ đến nặng một cách âm thầm. Khi triệu chứng rõ ràng, viêm nướu răng sưng đỏ có thể đã gây ảnh hưởng sâu đến cấu trúc răng.
1. Giai đoạn nhẹ nhưng dễ bị xem nhẹ
Ở giai đoạn này, nướu chỉ hơi đỏ và sưng nhẹ quanh chân răng. Bạn có thể thấy chảy máu khi đánh răng nhưng không đau nhiều.
Vì không gây khó chịu rõ rệt nên nhiều người chủ quan. Tuy nhiên, đây lại là thời điểm điều trị dễ nhất và ít tốn kém nhất.
2. Giai đoạn tiến triển với triệu chứng rõ ràng hơn
Khi viêm nặng hơn, nướu sẽ sưng to và có thể che một phần thân răng. Cảm giác đau trở nên rõ ràng, đặc biệt khi ăn nhai. Chảy máu xảy ra thường xuyên hơn, kể cả khi không có tác động. Hơi thở bắt đầu có mùi do vi khuẩn phát triển trong túi nướu. Bạn cũng có thể nhận thấy nướu tách khỏi răng, tạo khoảng trống khiến thức ăn dễ mắc lại.

3. Biến chứng nguy hiểm nếu không điều trị kịp thời
| Biến chứng | Điều xảy ra |
|---|---|
| Tụt nướu | Lộ chân răng, gây ê buốt |
| Viêm nha chu | Phá hủy mô và xương |
| Lung lay răng | Giảm độ chắc của răng |
| Mất răng | Giai đoạn nặng, không hồi phục |
Một khi đã tiến triển đến viêm nha chu, việc điều trị sẽ phức tạp và tốn thời gian hơn rất nhiều.
IV. Cách chữa viêm nướu răng sưng đỏ tại nhà an toàn và hiệu quả
Khi tình trạng còn nhẹ, bạn hoàn toàn có thể kiểm soát viêm nướu răng sưng đỏ tại nhà bằng các phương pháp đơn giản. Tuy nhiên, cần hiểu rõ rằng những cách này chỉ mang tính hỗ trợ, không thay thế điều trị chuyên sâu. Nếu áp dụng đúng, viêm nướu răng sưng đỏ có thể giảm nhanh trong vài ngày đầu.
1. Súc miệng nước muối đúng cách để giảm viêm
Nước muối ấm có tính sát khuẩn nhẹ, giúp làm sạch khoang miệng và giảm sưng nướu. Bạn nên súc miệng 2 đến 3 lần mỗi ngày, đặc biệt sau khi ăn.
Không nên pha quá mặn vì có thể gây kích ứng ngược lại. Nồng độ phù hợp là khoảng 0,9 phần trăm, tương đương nước muối sinh lý.
Việc duy trì đều đặn giúp giảm vi khuẩn và hỗ trợ quá trình phục hồi mô nướu.

2. Sử dụng nguyên liệu tự nhiên hỗ trợ giảm đau
Một số nguyên liệu quen thuộc có thể giúp giảm viêm hiệu quả. Mật ong có tính kháng khuẩn, giúp làm dịu vùng nướu bị tổn thương.
Tinh dầu tràm trà cũng được nhiều người sử dụng nhờ khả năng kháng viêm mạnh. Bạn chỉ cần dùng một lượng nhỏ và thoa nhẹ lên vùng nướu sau khi vệ sinh sạch.
Ngoài ra, trà xanh chứa chất chống oxy hóa giúp bảo vệ mô nướu và hạn chế sự phát triển của vi khuẩn.
3. Những lưu ý quan trọng khi tự điều trị tại nhà
| Lưu ý | Giải thích |
|---|---|
| Không dùng lực mạnh khi chải răng | Tránh làm tổn thương nướu |
| Không dùng mẹo chưa kiểm chứng | Có thể gây kích ứng nặng hơn |
| Theo dõi trong 3 đến 5 ngày | Nếu không giảm cần đi khám |
| Không bỏ qua dấu hiệu chảy máu kéo dài | Có thể là viêm nặng |
Các phương pháp tại nhà chỉ phù hợp với giai đoạn đầu. Nếu triệu chứng không cải thiện, bạn nên chuyển sang điều trị chuyên khoa.
V. Giải pháp điều trị viêm nướu răng sưng đỏ chuyên sâu tại nha khoa
Khi tình trạng trở nên nghiêm trọng, việc điều trị tại nha khoa là bước cần thiết để xử lý tận gốc nguyên nhân. viêm nướu răng sưng đỏ lúc này không thể cải thiện chỉ bằng chăm sóc tại nhà vì vi khuẩn đã xâm nhập sâu dưới nướu. Nếu được điều trị đúng cách, viêm nướu răng sưng đỏ có thể phục hồi nhanh và hạn chế biến chứng lâu dài.
1. Lấy cao răng giúp loại bỏ nguyên nhân chính
Đây là bước quan trọng nhất trong điều trị viêm nướu. Nha sĩ sẽ sử dụng thiết bị siêu âm để làm sạch toàn bộ cao răng bám trên và dưới viền nướu.
Quá trình này giúp loại bỏ nơi trú ngụ của vi khuẩn, từ đó giảm viêm nhanh chóng. Sau khi lấy cao răng, bạn có thể thấy nướu bớt sưng và ít chảy máu hơn chỉ sau vài ngày.
Nếu thực hiện định kỳ, đây cũng là cách phòng ngừa hiệu quả giúp hạn chế tái phát.

2. Làm sạch sâu và xử lý túi nướu
Khi viêm đã tiến triển nặng, vi khuẩn thường nằm sâu dưới nướu và tạo thành các túi viêm. Lúc này, bác sĩ sẽ tiến hành làm sạch sâu để loại bỏ vi khuẩn và mô viêm.
Phương pháp này giúp làm sạch tận gốc vùng bị nhiễm trùng, đồng thời hỗ trợ nướu bám lại vào răng tốt hơn. Nếu không xử lý kịp thời, tình trạng này có thể dẫn đến tiêu xương và lung lay răng.
Sau điều trị, bạn có thể được hướng dẫn sử dụng thêm nước súc miệng chuyên dụng hoặc thuốc hỗ trợ.
3. Thời gian phục hồi và hiệu quả điều trị
Sau khi điều trị, nướu thường bắt đầu cải thiện rõ rệt trong vòng vài ngày. Với những trường hợp nhẹ, tình trạng sưng đỏ có thể giảm nhanh chỉ sau 3 đến 5 ngày.
Nếu viêm nặng hơn, thời gian phục hồi có thể kéo dài từ 1 đến 2 tuần tùy cơ địa và mức độ tổn thương. Việc tuân thủ hướng dẫn của nha sĩ đóng vai trò rất quan trọng trong quá trình hồi phục.
VI. Quy trình chăm sóc răng miệng đúng cách để ngăn ngừa tái phát
Sau khi điều trị, việc duy trì thói quen chăm sóc đúng là yếu tố quyết định giúp ngăn ngừa tái phát. viêm nướu răng sưng đỏ rất dễ quay lại nếu bạn chủ quan trong vệ sinh hàng ngày. Khi xây dựng được thói quen tốt, viêm nướu răng sưng đỏ sẽ được kiểm soát lâu dài.
1. Chải răng đúng kỹ thuật mỗi ngày
Bạn nên sử dụng bàn chải lông mềm để tránh làm tổn thương nướu. Việc chải răng cần thực hiện ít nhất hai lần mỗi ngày, mỗi lần khoảng hai phút.
Kỹ thuật chải rất quan trọng. Thay vì chải ngang mạnh, bạn nên chải theo vòng tròn hoặc theo chiều dọc để làm sạch hiệu quả mà không gây tụt nướu.
Ngoài ra, việc thay bàn chải định kỳ mỗi ba tháng giúp đảm bảo hiệu quả làm sạch.
2. Làm sạch kẽ răng và vùng khó tiếp cận
Bàn chải không thể làm sạch hoàn toàn các kẽ răng, nơi vi khuẩn thường tích tụ nhiều nhất. Vì vậy, bạn cần kết hợp thêm chỉ nha khoa hoặc máy tăm nước. Việc làm sạch kẽ răng giúp loại bỏ thức ăn thừa và giảm nguy cơ hình thành mảng bám. Đây là bước quan trọng nhưng thường bị bỏ qua. Sử dụng thêm nước súc miệng kháng khuẩn sẽ giúp làm sạch toàn diện khoang miệng.

3. Duy trì chế độ ăn uống và sinh hoạt hợp lý
Chế độ ăn có ảnh hưởng trực tiếp đến sức khỏe nướu. Bạn nên tăng cường thực phẩm giàu vitamin C để giúp nướu khỏe và chống viêm tốt hơn.
Canxi cũng rất quan trọng để duy trì độ chắc khỏe của răng. Bên cạnh đó, việc hạn chế đồ ngọt và nước uống có gas giúp giảm sự phát triển của vi khuẩn.
Kết luận
Tình trạng viêm nướu răng sưng đỏ không chỉ là vấn đề nhỏ trong khoang miệng mà còn là dấu hiệu cảnh báo sớm nhiều bệnh lý nghiêm trọng hơn. Khi bạn hiểu rõ nguyên nhân từ mảng bám, thói quen sinh hoạt đến yếu tố sức khỏe tổng thể, việc kiểm soát và điều trị sẽ trở nên dễ dàng hơn. Quan trọng nhất là nhận diện sớm dấu hiệu và duy trì thói quen chăm sóc răng miệng đúng cách mỗi ngày.
Nếu bạn đang gặp tình trạng viêm nướu răng sưng đỏ kéo dài, đừng chờ đến khi đau nhức nặng mới xử lý. Việc thăm khám sớm sẽ giúp bạn tiết kiệm thời gian, chi phí và bảo vệ răng miệng lâu dài. Hãy chủ động chăm sóc nướu ngay hôm nay để giữ nụ cười khỏe mạnh và tự tin trong cuộc sống hàng ngày.
Thông tin liên hệ bác sĩ Quân:
Địa chỉ: 35-37 Nguyễn Thị Thập, Q. 7, Tp HCM, Việt Nam
Điện thoại: 078 751 5858
Email:
Website: https://drtadongquan.com
Facebook: Bác Sĩ Quân
Bạn có thể đặt lịch tư vấn trực tiếp để được bác sĩ thăm khám, đánh giá tình trạng răng miệng cụ thể và đưa ra phương án điều trị phù hợp nhất.