Tụt nướu là một tình trạng phổ biến trong nha khoa, có thể gặp ở nhiều độ tuổi khác nhau và ảnh hưởng nghiêm trọng đến sức khỏe răng miệng cũng như thẩm mỹ.

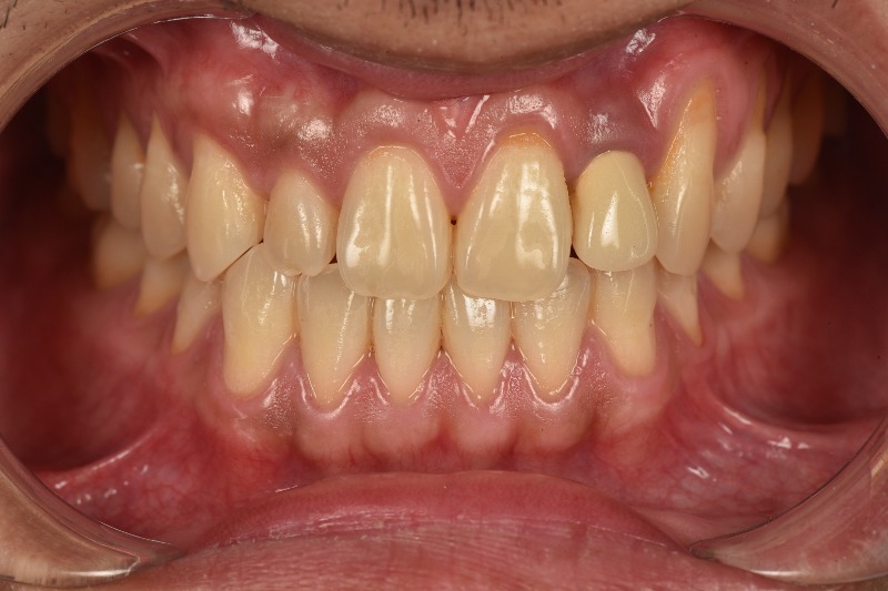
Tụt nướu răng ảnh hưởng thẩm mỹ trong trường hợp bệnh nhân cười lộ nướu (đường cười cao)
ẢNH HƯỞNG ĐẾN THẨM MỸ RĂNG
Một trong những yếu tố đáng quan tâm khi gặp tình trạng tụt nướu là sự ảnh hưởng đến thẩm mỹ của răng. Khi nướu bị tụt, chân răng lộ ra nhiều hơn, làm cho răng trở nên dài hơn. Điều này khiến cho nụ cười kém hài hòa và có thể tạo cảm giác không tự nhiên, thiếu sức sống.
Không chỉ vậy, màu sắc của chân răng cũng thường tối hơn và không có lớp men sáng bóng như phần thân răng. Đối với những người có răng cửa bị tụt nướu, tác động đến thẩm mỹ sẽ thấy rõ nhất, gây mất tự tin khi giao tiếp, cười nói.
Ngoài ra, tụt nướu còn khiến cho cấu trúc hàm mặt không cân đối, làm giảm đi sự cân đối và làm gương mặt có xu hướng lão hóa sớm. Đặc biệt, đối với những người chú trọng đến thẩm mỹ hàm răng, việc tụt nướu có thể trở thành một vấn đề gây ám ảnh.
ẢNH HƯỞNG ĐẾN SỨC KHỎE RĂNG MIỆNG
Răng trở nên nhạy cảm hơn: Khi phần chân răng bị lộ ra, răng sẽ trở nên nhạy cảm hơn với thức ăn nóng, lạnh, chua hoặc ngọt, tạo cảm giác khó chịu, cản trở sinh hoạt ăn uống hàng ngày.
Gây sâu răng và bệnh nha chu: Chân răng không có lớp men bảo vệ như thân răng, dễ bị vi khuẩn tấn công hơn, do đó sẽ tăng nguy cơ sâu răng và các bệnh viêm nhiễm xung quanh chân răng.
Tiêu xương: Nếu tụt nướu diễn ra kéo dài và không được điều trị, phần xương nâng đỡ răng sẽ bắt đầu bị tiêu biến. Đây là giai đoạn nghiêm trọng, có thể dẫn đến lung lay hoặc mất răng vĩnh viễn.
Các vấn đề khác về khớp cắn: Khi răng và nướu bị tổn thương, khớp cắn cũng có thể bị ảnh hưởng. Điều này gây khó khăn trong việc ăn nhai và có thể làm tổn thương hàm nếu không được điều chỉnh.
PHÒNG NGỪA VÀ ĐIỀU TRỊ TỤT NƯỚU
Tụt nướu là tình trạng hoàn toàn có thể phòng ngừa nếu biết cách chăm sóc răng miệng đúng cách. Dưới đây là một số gợi ý để giúp bạn bảo vệ nướu khỏe mạnh:
-
Chải răng nhẹ nhàng với bàn chải mềm, dùng kem đánh răng chứa fluoride và chỉ nha khoa.
-
Kiểm tra và làm sạch răng mỗi 6 tháng để phát hiện sớm các vấn đề về nướu.
-
Bỏ hút thuốc, tránh cắn móng tay, nghiến răng và ăn thực phẩm quá cứng.
-
Nếu có dấu hiệu viêm nướu hoặc viêm nha chu, nên điều trị sớm.
-
Với các trường hợp nặng, ghép nướu giúp phục hồi và bảo vệ chân răng.

Tụt nướu răng là một trong những nguyên nhân gây mất thẩm mỹ răng miệng
KẾT LUẬN
Tụt nướu không chỉ ảnh hưởng đến vẻ đẹp nụ cười mà còn gây hại cho sức khỏe răng miệng. Hãy nhớ chăm sóc đúng cách và thăm khám nha khoa định kỳ để giúp ngăn ngừa và kiểm soát tình trạng này. Liên hệ Dr. Tạ Đông Quân nếu bạn đang gặp tình trạng như trên nhé