Tụt nướu sau chỉnh nha là một vấn đề thường gặp, gây ra nhiều bất tiện cho bệnh nhân. Có một số nguyên nhân chính dẫn đến tụt nướu sau chỉnh nha:

Tụt nướu sau chỉnh nha là tình trạng phổ biến
-
Di chuyển răng không đúng kỹ thuật: Khi răng được di chuyển ra ngoài vị trí sinh lý bình thường, lực tác động không đồng đều có thể gây ra áp lực quá mức lên nướu, dẫn đến tụt nướu.
-
Tình trạng vệ sinh răng miệng: Khi đeo mắc cài, việc vệ sinh răng miệng trở nên khó khăn hơn. Nếu vệ sinh không tốt, viêm nướu có thể xuất hiện và khiến nướu dễ bị tụt hơn.
-
Các yếu tố giải phẫu: Nướu mỏng hoặc sự thiếu hụt mô mềm, đặc biệt ở răng cửa hàm dưới, có thể dễ bị tụt khi chịu tác động từ chỉnh nha.

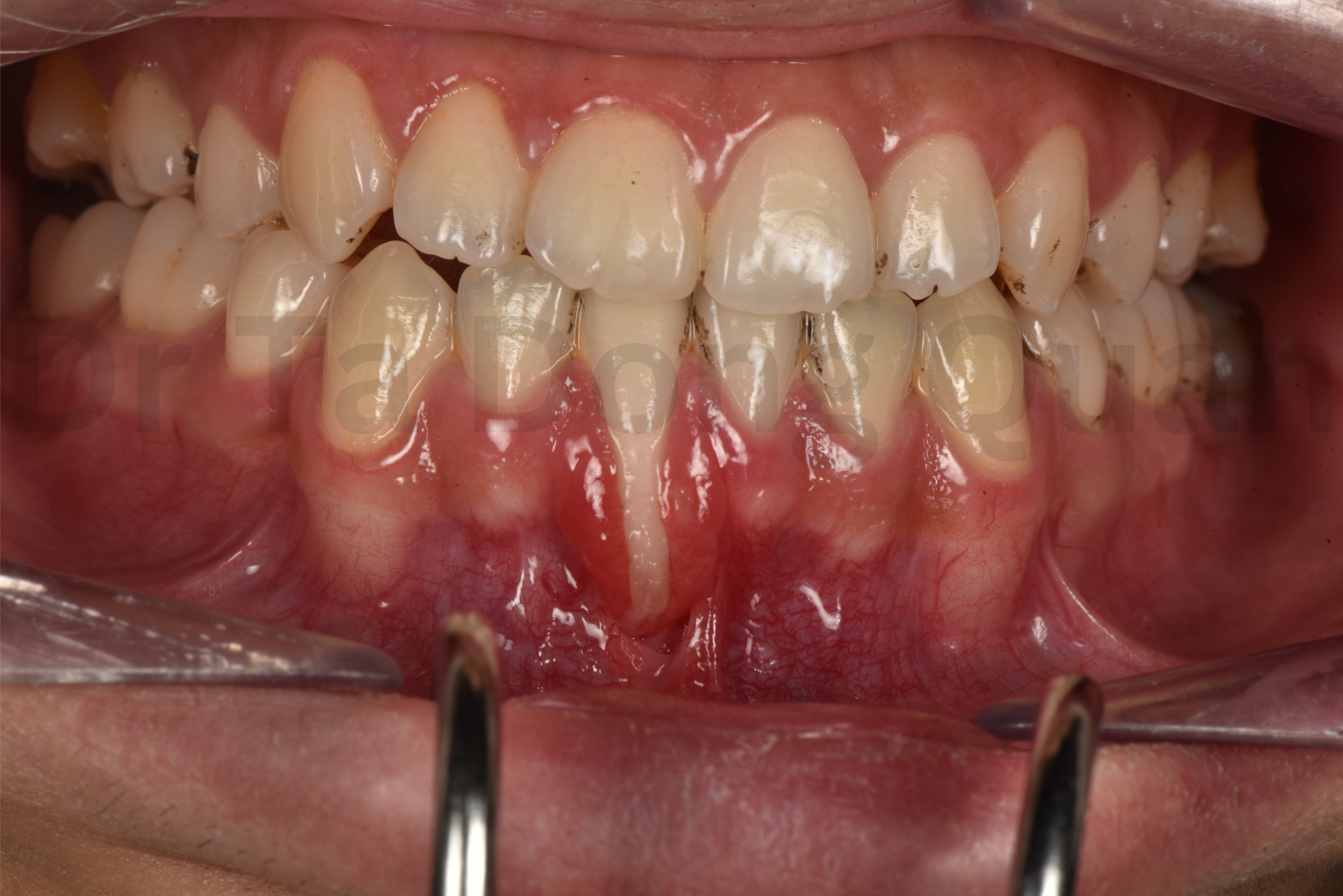
Trường hợp tụt nướu mức độ rất nặng do "hội chứng dây duy trì" sau chỉnh nha (wire syndrome)
Cách phòng ngừa tụt nướu sau chỉnh nha
- Thực hiện chỉnh nha đúng kỹ thuật: Chọn bác sĩ có kinh nghiệm và hiểu rõ tình trạng của từng bệnh nhân.
- Chăm sóc vệ sinh răng miệng kỹ lưỡng: Chú ý làm sạch cẩn thận vùng quanh mắc cài và dây cung.
- Theo dõi và đánh giá định kỳ: Kiểm tra định kỳ để phát hiện sớm và điều chỉnh lại nếu có dấu hiệu tụt nướu.
Các phương pháp điều trị tụt nướu sau chỉnh nha
- Ghép mô liên kết: Đây là kỹ thuật phổ biến giúp phục hồi mô nướu bị tụt, bảo vệ chân răng.
- Điều chỉnh lại vị trí răng: Đôi khi, bác sĩ sẽ điều chỉnh răng về vị trí ít gây áp lực lên nướu hơn.
Hình ảnh trước và sau điều trị với kết quả thành công ngoạn mục đã được đăng trên tạp chí Lâm sàng của đại học Oxford (2024)
Để điều trị hiệu quả, cần đánh giá kỹ lưỡng nguyên nhân tụt nướu sau chỉnh nha để lựa chọn phương pháp phù hợp.
