Điều trị ghép nướu che phủ thân răng, hay còn gọi là ghép mô liên kết, là một phương pháp được sử dụng để cải thiện tình trạng tụt nướu. Dưới đây là quy trình thực hiện:

Hình vẽ minh họa một phương pháp ghép nướu
Xác định nguyên nhân tụt nướu để phòng ngừa tái phát
Một điều trị y khoa sẽ không hiệu quả lâu dài nếu tỷ lệ tái phát cao, do đó, việc xác định nguyên nhân để dự phòng tái phát là điều tối quan trọng trong điều trị nói chung và điều trị tụt nướu nói riêng. Có nhiều nguyên nhân dẫn đến tụt nướu răng, như là sử dụng bàn chải quá cứng, động tác chải răng theo chiều ngang, hoặc do chỉnh nha...., do đó trong lần đầu tiên thăm khám, BS sẽ xác định nguyên nhân tụt nướu và đưa ra lời khuyên phù hợp.

Cần xác định chính xác nguyên nhân gây tụt nướu răng để dự phòng tái phát
Đánh giá mức độ tụt nướu để đưa ra phương pháp phẫu thuật phù hợp
Có nhiều kỹ thuật ghép nướu như kỹ thuật đường hầm, vạt dời về phía thân răng, hay vạt dời sang bên. Việc lựa chọn kỹ thuật phù hợp phù thuộc vào vị trí răng tụt nướu và mức độ tụt nướu. Vì vậy, trước khi phẫu thuật, BS sẽ đánh giá mức độ tụt nướu (1-9 mm) để lựa chọn kỹ thuật ghép phù hợp

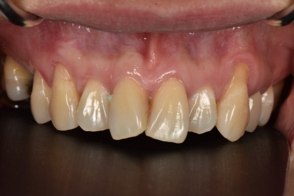
Một trường hợp lâm sàng sử dụng "Vạt dời về phía thân răng" để điều trị tụt nướu
Ca lâm sàng thực hiện bởi Dr. Tạ Đông Quân
Chọn lựa vật liệu ghép phù hợp
Hiện nay, có 2 loại vật liệu ghép chính:
Nướu tự thân (nướu của tự thân người bệnh): BS sẽ dùng dao phẫu thuật lấy phần nướu trong vòm khẩu để ghép vào vị trí răng tụt nướu, việc lấy nướu này có ưu điểm là sử dụng được loại vật liệu tốt nhất, tuy nhiên, sẽ gây ra vết thương thứ 2, và có thể gây khó chịu cho người bệnh trong giai đoạn đầu
Nướu nhân tạo: một số vật liệu lấy từ nhiều nguồn gốc khác nhau như động vật, hoặc biểu mô nhân tạo cũng được áp dụng trong điều trị tụt nướu, tuy nhiên chi phí vật liệu sẽ cao và hiệu quả cũng kém hơn so với nướu tự thân
Hướng dẫn vệ sinh răng miệng và cách chăm sóc hậu phẫu:
Sau phẫu thuật, BS sẽ hướng dẫn cách chải răng, sử dụng bàn chải lông mềm, và sử dụng toa kháng sinh để phòng tránh nhiễm trùng
BS Tạ Đông Quân trình bày về một trường hợp điều trị tụt nướu tại hội nghị Nha Chu Châu Á APSP (2024)
Kết luận:
Phẫu thuật ghép nướu điều trị tụt nướu là kỹ thuật phức tạp trong ngành Răng Hàm Mặt, do đó việc hiểu biết về kiến thức kết hợp kinh nghiệm lâm sàng sẽ giúp BS có được tỷ lệ thành công cao trong thủ thuật này. Liên hệ Dr. Tạ Đông Quân nếu bạn đang gặp phải vấn đề như trên nhé

