Tụt nướu răng không chỉ gây mất thẩm mỹ mà còn khiến răng nhạy cảm, tăng nguy cơ viêm nha chu và mất răng. Vậy đâu là nguyên nhân khiến nướu bị tụt? Có những phương pháp nào để điều trị và ngăn ngừa hiệu quả? Bài viết dưới đây sẽ giúp bạn hiểu rõ về tình trạng này cũng như cách bảo vệ nướu răng khỏe mạnh trong năm 2025!
I. Tụt Nướu Răng Là Gì? Dấu Hiệu Nhận Biết Sớm
1. Tụt nướu răng là gì?
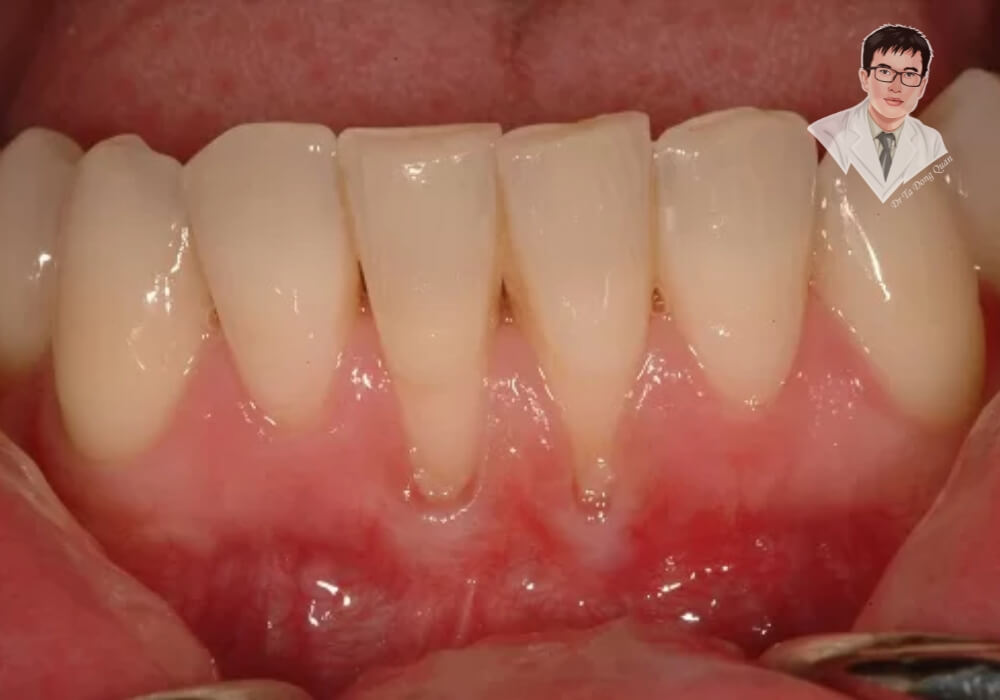
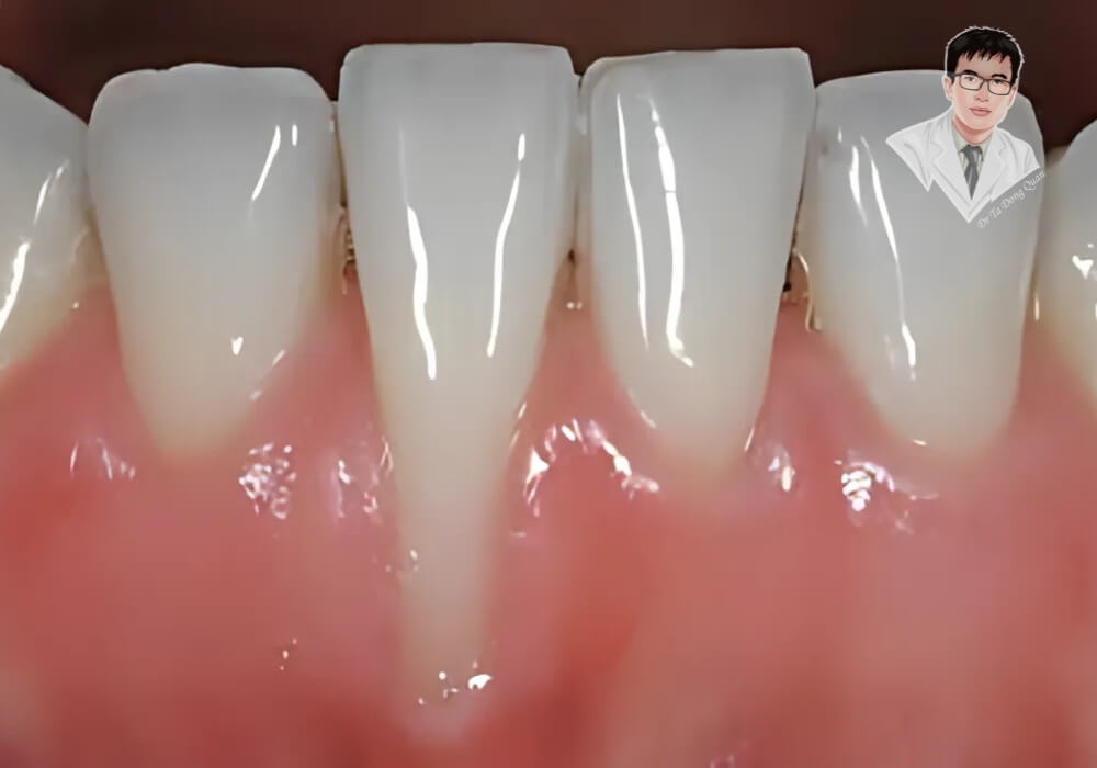
Tụt nướu răng là tình trạng mô nướu bị co rút, làm lộ chân răng và khiến răng trông dài hơn bình thường. Đây không chỉ là vấn đề thẩm mỹ mà còn ảnh hưởng nghiêm trọng đến sức khỏe răng miệng, làm tăng nguy cơ ê buốt, sâu răng và viêm nha chu.
Nướu có vai trò bảo vệ chân răng và ngăn ngừa vi khuẩn xâm nhập. Khi bị tụt, chân răng trở nên nhạy cảm, dễ bị kích thích bởi thực phẩm nóng, lạnh hoặc có tính axit. Nếu không điều trị kịp thời, tụt nướu có thể dẫn đến tiêu xương ổ răng và mất răng.
2. Các cấp độ tụt nướu răng
Tụt nướu diễn ra theo nhiều mức độ khác nhau, từ nhẹ đến nghiêm trọng:
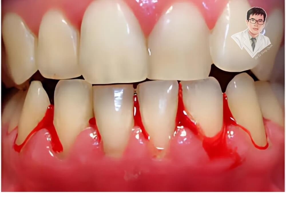
- Nhẹ: Nướu bị co rút nhẹ, có thể chảy máu khi chải răng hoặc dùng chỉ nha khoa.
- Trung bình: Chân răng lộ rõ hơn, răng bắt đầu nhạy cảm khi tiếp xúc với nhiệt độ hoặc thức ăn chua, ngọt.
- Nặng: Nướu co rút đáng kể, chân răng lộ ra nhiều, răng có thể lung lay và nguy cơ mất răng cao.
3. Dấu hiệu nhận biết sớm tụt nướu răng
Phát hiện sớm tụt nướu giúp ngăn ngừa biến chứng và bảo vệ sức khỏe răng miệng hiệu quả. Một số dấu hiệu điển hình gồm:
- Chảy máu khi chải răng hoặc dùng chỉ nha khoa
- Nướu sưng đỏ, dễ bị kích ứng
- Răng trông dài hơn bình thường
- Ê buốt răng khi ăn uống
- Hơi thở có mùi hôi do vi khuẩn tích tụ
- Cảm giác lỏng lẻo ở một số răng do tụt nướu nghiêm trọng
Nhận diện sớm và can thiệp kịp thời là chìa khóa để giữ gìn nướu khỏe mạnh và ngăn chặn tình trạng tụt nướu tiến triển nặng hơn.

II. Nguyên Nhân Gây Tụt Nướu Răng – Bất Ngờ Hơn Bạn Nghĩ!
1. Vệ sinh răng miệng kém
Chăm sóc răng miệng không đúng cách là nguyên nhân hàng đầu gây tụt nướu răng. Việc không chải răng thường xuyên hoặc chải răng quá mạnh có thể làm mòn mô nướu, khiến nướu dần co rút. Không sử dụng chỉ nha khoa khiến mảng bám và cao răng tích tụ, tạo điều kiện cho vi khuẩn phát triển, gây viêm nướu và làm nướu yếu dần theo thời gian.
2. Bệnh nha chu
Viêm nướu và viêm nha chu là những bệnh lý nguy hiểm có thể dẫn đến tụt nướu nghiêm trọng. Vi khuẩn tấn công mô nướu, làm suy yếu liên kết giữa nướu và chân răng. Nếu không điều trị kịp thời, bệnh sẽ tiến triển, gây tiêu xương hàm và làm răng lung lay, thậm chí dẫn đến mất răng.
3. Các yếu tố khác
Tụt nướu răng có thể xuất phát từ nhiều nguyên nhân khác như nghiến răng, hút thuốc lá, thay đổi nội tiết tố trong các giai đoạn như dậy thì, mang thai hoặc mãn kinh. Những thói quen như xỏ khuyên môi, lưỡi hoặc cắn móng tay cũng có thể gây tổn thương mô nướu. Ngoài ra, một số bệnh lý toàn thân như tiểu đường, thiếu vitamin C hoặc tác dụng phụ của một số loại thuốc cũng có thể làm tăng nguy cơ tụt nướu.
4. Lão hóa có phải nguyên nhân gây tụt nướu?
Tuổi tác là một trong những yếu tố góp phần làm nướu suy yếu, nhưng không phải là nguyên nhân chính gây tụt nướu. Nếu duy trì thói quen chăm sóc răng miệng đúng cách, bạn hoàn toàn có thể giữ cho nướu khỏe mạnh ngay cả khi lớn tuổi. Tuy nhiên, những người cao tuổi thường có nguy cơ mắc bệnh nha chu cao hơn, do đó cần đặc biệt chú ý đến việc chăm sóc răng miệng hằng ngày và kiểm tra răng định kỳ để phát hiện sớm các dấu hiệu bất thường.

III. Tụt Nướu Răng Có Nguy Hiểm Không? Biến Chứng Khôn Lường
1. Mất thẩm mỹ và ảnh hưởng tâm lý
Tụt nướu làm lộ chân răng, khiến răng trông dài hơn bình thường và mất đi vẻ cân đối của nụ cười. Điều này không chỉ ảnh hưởng đến thẩm mỹ mà còn khiến nhiều người tự ti khi giao tiếp. Với những trường hợp nặng, tình trạng này còn khiến răng có màu vàng do lớp ngà răng bị lộ, làm giảm sự tự tin khi cười hoặc nói chuyện.
2. Ê buốt và răng nhạy cảm
Khi nướu bị tụt, chân răng không còn được bảo vệ, dễ bị kích thích bởi thực phẩm nóng, lạnh, chua hoặc ngọt. Cảm giác ê buốt khiến việc ăn uống trở nên khó chịu, làm giảm chất lượng cuộc sống. Nếu không điều trị sớm, tình trạng nhạy cảm có thể ngày càng nghiêm trọng, gây ảnh hưởng đến khả năng nhai và hấp thụ dinh dưỡng.
3. Viêm nha chu và mất răng
Tụt nướu không chỉ là dấu hiệu cảnh báo viêm nha chu mà còn làm gia tăng nguy cơ mất răng. Khi nướu co rút, vi khuẩn dễ xâm nhập vào chân răng, gây viêm nhiễm và tiêu xương ổ răng. Nếu không được kiểm soát, răng có thể bị lung lay và dẫn đến mất răng vĩnh viễn.
4. Ảnh hưởng đến khớp cắn và sức khỏe toàn thân
Tình trạng tụt nướu nghiêm trọng có thể làm thay đổi vị trí của răng, gây lệch khớp cắn và ảnh hưởng đến chức năng nhai. Điều này có thể dẫn đến đau hàm, nhức đầu hoặc thậm chí là rối loạn khớp thái dương hàm. Ngoài ra, vi khuẩn từ các bệnh lý răng miệng có thể đi vào máu, làm tăng nguy cơ mắc các bệnh tim mạch, tiểu đường và viêm nhiễm toàn thân.
Việc phát hiện và điều trị tụt nướu sớm không chỉ giúp bảo vệ răng miệng mà còn ngăn ngừa nhiều biến chứng nguy hiểm. Trong phần tiếp theo, chúng ta sẽ tìm hiểu những phương pháp đơn giản nhưng hiệu quả để chữa tụt nướu ngay tại nhà.
Xem thêm: Điều trị tụt nướu

IV. Cách Chữa Tụt Nướu Răng Hiệu Quả Tại Nhà – Đơn Giản Mà Ít Ai Biết
1. Điều chỉnh thói quen vệ sinh răng miệng
Chải răng đúng cách là yếu tố quan trọng giúp bảo vệ nướu và hạn chế tình trạng tụt nướu tiến triển. Nên sử dụng bàn chải lông mềm, chải nhẹ nhàng theo chiều dọc hoặc chuyển động tròn để tránh làm tổn thương nướu. Dùng chỉ nha khoa mỗi ngày giúp loại bỏ mảng bám giữa các kẽ răng, ngăn ngừa vi khuẩn tích tụ. Súc miệng bằng nước muối hoặc nước súc miệng không chứa cồn giúp giảm viêm và giữ hơi thở thơm mát.
2. Áp dụng các biện pháp tự nhiên hỗ trợ điều trị
Một số nguyên liệu tự nhiên có khả năng giúp cải thiện tình trạng tụt nướu và giảm viêm nhiễm. Súc miệng bằng nước muối ấm giúp sát khuẩn nhẹ nhàng, làm dịu vùng nướu bị tổn thương. Massage nướu bằng dầu dừa hoặc gel lô hội giúp tăng cường tuần hoàn máu và giảm sưng viêm. Uống trà xanh hằng ngày có thể giúp chống oxy hóa, ngăn chặn sự phát triển của vi khuẩn gây bệnh nướu răng.
3. Duy trì chế độ ăn uống khoa học
Chế độ dinh dưỡng hợp lý giúp tăng cường sức khỏe nướu răng. Nên bổ sung thực phẩm giàu vitamin C như cam, chanh, bông cải xanh để hỗ trợ tái tạo mô nướu. Tránh đồ ăn có tính axit cao, quá cứng hoặc quá ngọt để hạn chế tổn thương đến chân răng. Uống đủ nước mỗi ngày giúp giữ ẩm khoang miệng, giảm nguy cơ khô miệng và hạn chế sự phát triển của vi khuẩn.
4. Loại bỏ thói quen gây hại cho nướu
Những thói quen như hút thuốc lá, nghiến răng hay cắn móng tay có thể khiến tình trạng tụt nướu trở nên nghiêm trọng hơn. Việc từ bỏ thuốc lá không chỉ giúp bảo vệ nướu mà còn tăng cường sức khỏe tổng thể. Nếu bạn có thói quen nghiến răng khi ngủ, sử dụng máng bảo vệ răng có thể giúp giảm áp lực lên nướu và chân răng.
Các phương pháp tại nhà có thể giúp cải thiện tình trạng tụt nướu nhẹ và hỗ trợ điều trị. Tuy nhiên, với những trường hợp nặng, việc thăm khám nha khoa là điều cần thiết để tìm ra giải pháp điều trị chuyên sâu và hiệu quả hơn.
Tìm hiểu thêm: Điều trị tụt nướu tại nhà

V. Điều Trị Tụt Nướu Răng Chuyên Sâu – Giải Pháp Tại Nha Khoa
1. Điều trị không phẫu thuật
Với những trường hợp tụt nướu nhẹ, bác sĩ nha khoa có thể áp dụng phương pháp làm sạch sâu để loại bỏ vi khuẩn và mảng bám dưới nướu. Cạo vôi răng giúp loại bỏ cao răng tích tụ, giảm nguy cơ viêm nhiễm. Kết hợp với đó, bác sĩ có thể sử dụng thuốc kháng sinh dạng gel bôi hoặc súc miệng để kiểm soát vi khuẩn, hỗ trợ quá trình phục hồi nướu.
2. Phẫu thuật cấy ghép nướu
Khi tụt nướu tiến triển đến mức độ nghiêm trọng, phẫu thuật là giải pháp hiệu quả giúp tái tạo mô nướu và bảo vệ chân răng. Phương pháp ghép mô liên kết lấy một phần mô từ vòm miệng để che phủ chân răng bị lộ, giúp khôi phục thẩm mỹ và chức năng của nướu. Ngoài ra, ghép nướu tự thân hoặc sử dụng vật liệu tái tạo mô cũng là lựa chọn phổ biến để tăng cường độ bám của nướu vào chân răng.
3. Các phương pháp hỗ trợ điều trị
Bên cạnh phẫu thuật, nha khoa hiện đại còn có nhiều phương pháp hỗ trợ điều trị hiệu quả. Điều trị bằng laser giúp loại bỏ vi khuẩn mà không gây tổn thương mô nướu, giúp nướu nhanh chóng lành lại. Trong trường hợp răng mọc lệch lạc gây áp lực lên nướu, bác sĩ có thể đề xuất chỉnh nha để điều chỉnh vị trí răng, giảm nguy cơ tụt nướu. Nếu nguyên nhân là do nghiến răng, việc sử dụng máng chống nghiến sẽ giúp hạn chế lực tác động lên nướu và răng, giảm nguy cơ tổn thương lâu dài.
Việc lựa chọn phương pháp điều trị phù hợp cần dựa trên mức độ tụt nướu và nguyên nhân gây ra. Thăm khám định kỳ tại nha khoa giúp bạn kiểm soát tình trạng răng miệng tốt hơn, ngăn ngừa tụt nướu và duy trì nụ cười khỏe mạnh lâu dài.
Bác sĩ điều trị uy tín: Dr. Quân

VI. Tụt Nướu Có Phục Hồi Được Không? – Sự Thật Cần Biết
1. Khả năng phục hồi tùy thuộc vào mức độ tổn thương
Tụt nướu răng có thể phục hồi một phần hoặc hoàn toàn tùy vào mức độ tổn thương và phương pháp điều trị được áp dụng. Nếu phát hiện sớm và chăm sóc đúng cách, nướu có thể tự cải thiện ở giai đoạn nhẹ. Tuy nhiên, khi nướu đã bị tụt nghiêm trọng, việc phục hồi hoàn toàn là rất khó và cần can thiệp nha khoa.
2. Trường hợp nướu tụt nhẹ
Với tình trạng nhẹ, thay đổi thói quen vệ sinh răng miệng có thể giúp nướu ổn định và ngăn ngừa tụt nướu tiến triển. Chải răng nhẹ nhàng bằng bàn chải lông mềm, dùng chỉ nha khoa đúng cách và bổ sung thực phẩm giàu vitamin C giúp hỗ trợ mô nướu tái tạo tự nhiên. Sử dụng gel nha khoa có thành phần kháng khuẩn cũng giúp kiểm soát viêm nhiễm, tạo điều kiện để nướu khỏe mạnh hơn.
3. Trường hợp nướu tụt nặng
Nếu chân răng đã bị lộ rõ và xuất hiện dấu hiệu răng lung lay, nướu sẽ không thể tự phục hồi hoàn toàn. Trong trường hợp này, phương pháp ghép nướu hoặc điều trị bằng laser có thể giúp cải thiện tình trạng, bảo vệ chân răng và duy trì chức năng nhai. Việc điều trị sớm không chỉ giúp phục hồi thẩm mỹ mà còn ngăn ngừa mất răng và các biến chứng nghiêm trọng khác.
Tụt nướu có thể kiểm soát được nếu bạn chủ động chăm sóc răng miệng đúng cách và điều trị kịp thời. Đừng chờ đến khi nướu tổn thương nghiêm trọng mới tìm cách khắc phục, hãy thực hiện các biện pháp phòng ngừa ngay từ bây giờ để bảo vệ sức khỏe răng miệng lâu dài.
VII. Ngăn Ngừa Tụt Nướu Răng – Bảo Vệ Nụ Cười Tương Lai
1. Chăm sóc răng miệng đúng cách
Duy trì thói quen vệ sinh răng miệng tốt là cách hiệu quả nhất để ngăn ngừa tụt nướu răng. Chải răng hai lần mỗi ngày bằng bàn chải lông mềm giúp loại bỏ mảng bám mà không làm tổn thương nướu. Sử dụng chỉ nha khoa giúp làm sạch kẽ răng, hạn chế sự tích tụ của vi khuẩn gây viêm nướu. Ngoài ra, nước súc miệng kháng khuẩn sẽ giúp kiểm soát vi khuẩn và giữ hơi thở thơm mát.
2. Khám răng định kỳ và lấy cao răng
Việc thăm khám nha khoa mỗi 6 tháng giúp phát hiện sớm các dấu hiệu tụt nướu và có hướng điều trị kịp thời. Lấy cao răng định kỳ giúp loại bỏ vi khuẩn tích tụ, giảm nguy cơ viêm nướu và viêm nha chu. Nếu có thói quen chải răng sai cách hoặc nghiến răng, bác sĩ sẽ tư vấn phương pháp khắc phục để bảo vệ nướu tốt hơn.
3. Chế độ ăn uống khoa học
Bổ sung thực phẩm giàu vitamin C như cam, dâu tây, bông cải xanh giúp tăng cường sức khỏe nướu. Hạn chế thức ăn quá cứng, quá ngọt hoặc có tính axit cao để tránh làm tổn thương men răng và mô nướu. Uống đủ nước cũng giúp khoang miệng duy trì độ ẩm, giảm nguy cơ vi khuẩn phát triển.
4. Loại bỏ thói quen gây hại cho nướu
Hút thuốc lá làm giảm khả năng phục hồi của nướu và tăng nguy cơ mắc bệnh nha chu. Nghiến răng khi ngủ tạo áp lực lên nướu và có thể làm tụt nướu nhanh chóng hơn. Nếu có những thói quen này, bạn nên tìm giải pháp cai thuốc lá và sử dụng máng chống nghiến để bảo vệ răng miệng.
Việc phòng ngừa tụt nướu không chỉ giúp duy trì hàm răng khỏe mạnh mà còn giảm nguy cơ mắc các bệnh lý răng miệng nghiêm trọng. Thực hiện ngay các biện pháp bảo vệ nướu để giữ vững nụ cười đẹp và tự tin trong tương lai.
VIII. Giải Đáp Thắc Mắc Thường Gặp Về Tụt Nướu Răng
1. Tụt nướu răng có lây không?
Tụt nướu không phải là bệnh truyền nhiễm, nhưng vi khuẩn gây viêm nướu và viêm nha chu có thể lây lan qua nước bọt khi dùng chung vật dụng cá nhân như bàn chải, cốc uống nước. Để bảo vệ sức khỏe răng miệng, hãy duy trì thói quen vệ sinh tốt và không dùng chung đồ cá nhân.
2. Tụt nướu răng có tự khỏi không?
Tụt nướu răng không thể tự phục hồi vì khi mô nướu đã bị mất đi, cơ thể không thể tái tạo lại như ban đầu. Tuy nhiên, bạn có thể ngăn chặn sự tiến triển bằng cách chăm sóc răng miệng đúng cách. Trong trường hợp nặng, các phương pháp nha khoa như ghép nướu hoặc điều trị bằng laser có thể giúp cải thiện tình trạng này.
3. Chi phí điều trị tụt nướu răng là bao nhiêu?
Chi phí điều trị tùy thuộc vào mức độ nghiêm trọng và phương pháp điều trị. Những trường hợp nhẹ có thể chỉ cần lấy cao răng và hướng dẫn chăm sóc đúng cách, trong khi những trường hợp nặng cần can thiệp phẫu thuật ghép nướu hoặc điều trị nha khoa chuyên sâu. Để biết chính xác chi phí, bạn nên thăm khám trực tiếp tại nha khoa.
4. Nên chọn nha khoa nào để điều trị tụt nướu răng?
Việc lựa chọn nha khoa uy tín rất quan trọng để đảm bảo kết quả điều trị hiệu quả và an toàn. Một nha khoa có đội ngũ bác sĩ chuyên môn cao, trang thiết bị hiện đại sẽ giúp bạn phục hồi nướu tốt hơn.
5. Làm thế nào để giảm ê buốt khi bị tụt nướu?
Để giảm ê buốt do tụt nướu, bạn có thể sử dụng kem đánh răng dành cho răng nhạy cảm, tránh thức ăn quá nóng hoặc quá lạnh. Súc miệng bằng nước muối ấm giúp giảm viêm, đồng thời hạn chế các thực phẩm có tính axit cao. Nếu tình trạng ê buốt kéo dài, hãy đến nha khoa để được tư vấn giải pháp điều trị phù hợp.
Giải đáp những thắc mắc này sẽ giúp bạn hiểu rõ hơn về tình trạng tụt nướu và có hướng chăm sóc răng miệng hiệu quả. Nếu bạn còn bất kỳ câu hỏi nào, đừng ngần ngại tìm đến chuyên gia nha khoa để được tư vấn chi tiết hơn.
Giải đáp thắc mắc: Tại đây

IX. Chuyên Gia Hàng Đầu Trong Lĩnh Vực Nha Khoa
Nếu bạn đang tìm kiếm một địa bác sĩ uy tín để điều trị răng bị tụt nướu, Bác sĩ Quân chính là lựa chọn hàng đầu. Với nhiều năm kinh nghiệm trong lĩnh vực nha khoa, Bác sĩ Quân đã giúp hàng ngàn khách hàng khắc phục các vấn đề răng miệng, mang lại nụ cười khỏe mạnh và tự tin.
1. Chuyên môn và kinh nghiệm
Bác sĩ Quân là chuyên gia trong lĩnh vực nha khoa tổng quát và chuyên sâu, đặc biệt là điều trị tụt nướu, viêm nha chu, phẫu thuật ghép nướu và phục hồi răng. Với phương châm luôn đặt sức khỏe và sự hài lòng của khách hàng lên hàng đầu, Bác sĩ Quân không ngừng cập nhật những công nghệ và phương pháp điều trị tiên tiến nhất.
2. Tại sao nên chọn Bác sĩ Quân?
- Hơn 10 năm kinh nghiệm trong điều trị các vấn đề nha khoa phức tạp, đặc biệt là tụt nướu và các bệnh lý liên quan.
- Ứng dụng công nghệ hiện đại, giúp quá trình điều trị nhẹ nhàng, ít đau và đạt hiệu quả tối ưu.
- Tư vấn tận tâm, lắng nghe khách hàng, giúp đưa ra giải pháp phù hợp nhất với từng trường hợp.
- Hệ thống trang thiết bị tiên tiến, đảm bảo tiêu chuẩn vệ sinh và an toàn trong quá trình điều trị.
Thông tin liên hệ bác sĩ Quân:
Địa chỉ: 35-37 Nguyễn Thị Thập, Q. 7, Tp HCM, Việt Nam
Điện thoại: 078 751 5858
Email:
Website: https://drtadongquan.com
Facebook: Bác Sĩ Quân
Bạn có thể đặt lịch tư vấn trực tiếp để được bác sĩ thăm khám, đánh giá tình trạng răng miệng cụ thể và đưa ra phương án điều trị phù hợp nhất.
Tụt nướu: Nguy cơ lớn từ một vấn đề nhỏ – Xem ngay!