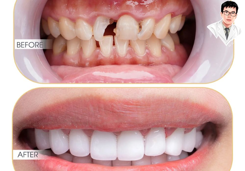
Bạn đang thắc mắc răng sứ thẩm mỹ là gì và có nên làm không? Đây là phương pháp phục hình răng bằng vật liệu sứ giúp cải thiện hình dáng, màu sắc và khôi phục chức năng ăn nhai. Bài viết dưới đây sẽ giúp bạn hiểu rõ ưu nhược điểm, chi phí và quy trình thực hiện chi tiết nhất.
I. Răng sứ thẩm mỹ là gì và tại sao ngày càng được ưa chuộng
1. Giải thích khái niệm và vai trò trong nha khoa hiện đại
Răng sứ thẩm mỹ là kỹ thuật phục hình răng bằng vật liệu sứ cao cấp, giúp tái tạo hình dáng, màu sắc và chức năng của răng. Phương pháp này bao gồm hai hình thức chính: bọc răng sứ và dán sứ veneer.
Không chỉ cải thiện thẩm mỹ, răng sứ còn giúp bảo vệ răng thật, hạn chế tổn thương men răng và tăng độ bền khi ăn nhai. Với công nghệ CAD/CAM 3D, mão sứ được thiết kế chính xác từng milimet, đảm bảo vừa khít và tự nhiên như răng thật.
2. Sự phát triển của xu hướng thẩm mỹ nụ cười
Nụ cười ngày nay không chỉ là biểu hiện cảm xúc mà còn là một phần của hình ảnh cá nhân. Xu hướng răng sứ thẩm mỹ bùng nổ nhờ ảnh hưởng của truyền thông, các ngôi sao điện ảnh và nhu cầu tự tin trong giao tiếp.
Theo thống kê của Hiệp hội Nha khoa Việt Nam năm 2024, số người làm răng sứ tăng hơn 40% so với năm 2022, trong đó độ tuổi 25–40 chiếm hơn 60%. Điều này chứng minh việc chăm chút cho nụ cười đã trở thành thói quen văn minh của xã hội hiện đại.

3. Ai nên làm răng sứ thẩm mỹ
Những trường hợp phù hợp gồm:
-
Răng bị nhiễm màu nặng, tẩy trắng không hiệu quả.
-
Răng sứt mẻ, thưa, hô nhẹ, không đều.
-
Người muốn thay đổi nụ cười, tăng sự tự tin khi giao tiếp.
-
Răng mòn men hoặc có hình dáng kém thẩm mỹ.
Tuy nhiên, người có bệnh lý răng miệng như sâu răng, viêm nướu cần được điều trị dứt điểm trước khi tiến hành phục hình sứ.
Xem thêm: Implant xương hàm trên giá bao nhiêu? Có nên làm sớm?
II. Phân loại các loại răng sứ thẩm mỹ phổ biến
Răng sứ thẩm mỹ được chia thành nhiều loại tùy theo chất liệu, kỹ thuật chế tác và mục đích sử dụng. Hiểu rõ từng loại sẽ giúp bạn chọn được phương pháp phù hợp nhất.
1. Răng sứ kim loại và răng sứ không kim loại
Dưới đây là bảng so sánh chi tiết giữa hai nhóm răng sứ phổ biến hiện nay:
| Tiêu chí | Răng sứ kim loại | Răng sứ không kim loại (toàn sứ) |
|---|---|---|
| Cấu tạo | Lõi hợp kim, phủ sứ bên ngoài | 100% sứ nguyên khối |
| Thẩm mỹ | Màu trắng đục, dễ đen viền nướu theo thời gian | Trong tự nhiên, giống răng thật |
| Độ bền | 5–7 năm | 10–20 năm |
| Tương thích sinh học | Có thể gây kích ứng nhẹ với người nhạy cảm | Hoàn toàn an toàn, thân thiện mô nướu |
| Giá thành | Thấp | Cao hơn, xứng đáng với độ bền và thẩm mỹ |
Kết luận: Răng toàn sứ là lựa chọn tối ưu cho người coi trọng tính tự nhiên và lâu dài, trong khi răng sứ kim loại phù hợp với người muốn tiết kiệm chi phí.

2. Răng sứ zirconia và veneer
Răng sứ zirconia nổi bật với độ cứng cao, chịu lực tốt gấp 3–4 lần răng thật, thích hợp cho răng hàm. Trong khi đó, dán sứ veneer chỉ cần mài một lớp mỏng (0,2–0,5 mm), phù hợp với vùng răng cửa cần thẩm mỹ cao.
Bảng so sánh nhanh:
| Tiêu chí | Răng sứ Zirconia | Dán sứ Veneer |
|---|---|---|
| Độ bền | Rất cao, chịu lực mạnh | Khá tốt, tập trung vào thẩm mỹ |
| Mức độ mài răng | Mài nhiều hơn veneer | Mài rất ít hoặc không cần |
| Mức độ tự nhiên | Màu sắc đẹp, trong mờ vừa phải | Siêu tự nhiên, ánh sáng phản chiếu như răng thật |
| Phù hợp | Răng hàm, phục hình nhiều răng | Răng cửa, cải thiện thẩm mỹ nụ cười |
3. Cách lựa chọn loại răng sứ phù hợp với nhu cầu
Khi chọn răng sứ thẩm mỹ, bạn nên dựa vào:
-
Tình trạng răng (nhiễm màu, sứt mẻ, hô, thưa…).
-
Ngân sách và thời gian mong muốn duy trì kết quả.
-
Mức độ thẩm mỹ và khả năng chịu lực cần thiết.
Tốt nhất, nên được bác sĩ chuyên khoa phục hình tư vấn và mô phỏng kết quả bằng phần mềm CAD/CAM trước khi thực hiện.
III. Ưu điểm và hạn chế của răng sứ thẩm mỹ
1. Ưu điểm nổi bật
Không thể phủ nhận rằng răng sứ thẩm mỹ là một bước tiến vượt bậc trong nha khoa hiện đại. Răng sứ giúp cải thiện hình dáng, màu sắc và sự cân đối giữa các răng, mang lại nụ cười tự nhiên và rạng rỡ.
Ngoài yếu tố thẩm mỹ, răng sứ còn có độ bền vượt trội, chịu lực gấp 2–3 lần răng thật. Bề mặt sứ trơn láng, không bám mảng bám hay đổi màu, giúp bạn luôn tự tin khi giao tiếp. Quan trọng hơn, răng sứ còn bảo vệ mô răng thật khỏi mòn men và giảm tình trạng ê buốt khi ăn uống.

2. Những hạn chế cần lưu ý
Bên cạnh ưu điểm, răng sứ thẩm mỹ vẫn có một số hạn chế nhất định. Trong quá trình thực hiện, bác sĩ cần mài một lớp mỏng trên bề mặt răng thật để tạo khoảng cho mão sứ, khiến răng có thể ê nhẹ trong vài ngày đầu.
Chi phí thực hiện tương đối cao, đặc biệt với các loại răng toàn sứ cao cấp. Ngoài ra, nếu thực hiện ở cơ sở nha khoa không đảm bảo, răng sứ có thể bị dày, lệch khớp cắn hoặc đen viền nướu, ảnh hưởng đến thẩm mỹ và sức khỏe nướu về sau.
3. Cách khắc phục và tối ưu hiệu quả
Để đạt kết quả tốt nhất, bạn nên chọn bác sĩ có chuyên môn cao và trang thiết bị hiện đại. Các công nghệ mới như mài răng tối thiểu và chế tác CAD/CAM giúp hạn chế xâm lấn, tăng độ chính xác và độ khít giữa mão sứ với răng thật.
Sau khi hoàn thiện, việc chăm sóc răng đúng cách và tái khám định kỳ sẽ giúp răng sứ duy trì được màu sắc và hình dáng ổn định trong nhiều năm. Một nụ cười đẹp không chỉ đến từ công nghệ mà còn nhờ cách bạn gìn giữ nó mỗi ngày.
IV. Quy trình làm răng sứ thẩm mỹ an toàn và hiệu quả
1. Thăm khám và lên kế hoạch điều trị
Trước khi bắt đầu, bác sĩ sẽ kiểm tra tổng thể tình trạng răng miệng, chụp X-quang và mô phỏng nụ cười bằng phần mềm 3D. Việc này giúp đánh giá chính xác và chọn loại răng sứ thẩm mỹ phù hợp với khuôn mặt, màu da và phong cách cá nhân.
Kế hoạch điều trị chi tiết giúp dự đoán trước kết quả, đảm bảo tính an toàn và mang lại hiệu quả lâu dài cho từng bệnh nhân.

2. Mài răng, lấy dấu và thiết kế mão sứ
Bước mài răng được thực hiện nhẹ nhàng, chỉ tác động lên lớp men ngoài, giúp bảo tồn răng thật tối đa. Sau đó, bác sĩ lấy dấu bằng công nghệ scan kỹ thuật số, dữ liệu sẽ được chuyển sang hệ thống CAD/CAM để chế tác mão sứ với độ chính xác cao.
Quy trình này giúp tạo ra răng sứ thẩm mỹ vừa khít, không cộm cấn và có màu sắc tự nhiên như răng thật.
3. Lắp răng sứ và kiểm tra khớp cắn
Khi mão sứ hoàn thiện, bác sĩ tiến hành thử, điều chỉnh màu sắc và kiểm tra khớp cắn. Nếu đạt yêu cầu, răng sứ được gắn cố định bằng keo nha khoa chuyên dụng. Toàn bộ quy trình thường chỉ mất từ 2 đến 3 buổi, nhẹ nhàng, an toàn và mang lại nụ cười tự nhiên.
V. Chi phí và tuổi thọ của răng sứ thẩm mỹ
Chi phí làm răng sứ thẩm mỹ phụ thuộc vào chất liệu, công nghệ và tay nghề bác sĩ. Dưới đây là bảng giá tham khảo tại các phòng khám nha khoa uy tín:
| Loại răng sứ | Đặc điểm nổi bật | Giá tham khảo (VNĐ/răng) |
|---|---|---|
| Răng sứ kim loại | Bền, giá rẻ, dễ đen viền nướu | 1.000.000 – 2.500.000 |
| Răng sứ Titan | Cứng, chịu lực tốt, màu trắng đục nhẹ | 2.500.000 – 3.500.000 |
| Răng sứ Zirconia | Đẹp, bền, màu tự nhiên | 4.000.000 – 6.000.000 |
| Răng toàn sứ cao cấp | Thẩm mỹ cao, tuổi thọ 15–20 năm | 6.000.000 – 10.000.000 |
| Dán sứ Veneer | Siêu mỏng, không cần mài răng | 7.000.000 – 12.000.000 |
Tuổi thọ trung bình của răng sứ dao động từ 10 đến 20 năm. Nếu được chăm sóc đúng cách, răng có thể sử dụng lâu hơn mà vẫn giữ được độ sáng bóng và chức năng ăn nhai như răng thật. Đây là khoản đầu tư xứng đáng cho sức khỏe và thẩm mỹ dài lâu.
VI. Cách chăm sóc răng sứ thẩm mỹ để giữ nụ cười bền đẹp
1. Thói quen vệ sinh răng miệng
Sau khi hoàn thiện răng sứ thẩm mỹ, bạn nên chải răng ít nhất hai lần mỗi ngày bằng bàn chải lông mềm và kem đánh răng dịu nhẹ. Kết hợp dùng chỉ nha khoa và nước súc miệng để loại bỏ mảng bám, ngăn ngừa viêm nướu. Việc vệ sinh đúng cách giúp răng sứ luôn sáng bóng và không bị ố màu.

2. Chế độ ăn uống và sinh hoạt
Tránh cắn vật cứng, hạn chế đồ quá nóng hoặc quá lạnh để tránh ảnh hưởng đến độ bền của răng. Nên giảm sử dụng cà phê, trà, rượu vang hoặc thuốc lá vì chúng dễ gây xỉn màu. Uống đủ nước và bổ sung canxi giúp duy trì sức khỏe cho răng thật và răng sứ.
3. Tái khám định kỳ và bảo hành
Bạn nên đến nha khoa kiểm tra định kỳ 6 tháng một lần để bác sĩ đánh giá tình trạng khớp cắn và độ khít của răng sứ. Nhiều dòng răng sứ thẩm mỹ hiện nay có chính sách bảo hành từ 5 đến 10 năm, đảm bảo sự an tâm cho người sử dụng.
Câu hỏi thường gặp (FAQ)
1. Răng sứ thẩm mỹ là gì và khác gì với bọc răng sứ truyền thống?
Đây là phương pháp phục hình răng vừa đảm bảo yếu tố thẩm mỹ, vừa bảo tồn răng thật tối đa. So với bọc sứ thông thường, răng sứ thẩm mỹ có độ tự nhiên và độ bền cao hơn.
2. Làm răng sứ thẩm mỹ có đau không?
Hoàn toàn không. Quy trình được gây tê nhẹ, sử dụng công nghệ mài răng tối thiểu nên bạn sẽ cảm thấy thoải mái và dễ chịu.
3. Răng sứ thẩm mỹ có bền không, bao lâu thì thay mới?
Tuổi thọ trung bình từ 10 đến 20 năm, tùy loại sứ và thói quen chăm sóc răng miệng.
4. Sau khi làm răng sứ có ăn uống bình thường được không?
Có thể ăn uống bình thường sau 2–3 ngày. Chỉ cần tránh đồ quá cứng hoặc quá nóng trong giai đoạn đầu để răng ổn định.
5. Răng sứ có bị ố vàng theo thời gian không?
Răng sứ không bị ố, nhưng cần vệ sinh đúng cách và hạn chế thực phẩm sậm màu để giữ độ sáng lâu dài.
6. Dán sứ veneer có cần mài răng không?
Không cần mài nhiều. Veneer chỉ mài một lớp rất mỏng, giúp bảo tồn răng thật tối đa và vẫn đạt hiệu quả thẩm mỹ cao.
7. Chi phí làm răng sứ thẩm mỹ khoảng bao nhiêu?
Giá dao động từ 3 đến 12 triệu đồng mỗi răng tùy theo loại sứ, công nghệ và uy tín của nha khoa.
8. Làm ở đâu uy tín và có bảo hành lâu dài?
Bạn nên chọn nha khoa có chứng chỉ hành nghề, vật liệu chính hãng và chính sách bảo hành rõ ràng để đảm bảo chất lượng.
9. Sau khi làm răng sứ có cần kiêng gì không?
Nên tránh thức ăn quá cứng, thuốc lá, cà phê trong vài ngày đầu. Sau đó, bạn có thể ăn uống và sinh hoạt bình thường.

Kết Luận
Làm răng sứ thẩm mỹ không chỉ là một bước thay đổi về ngoại hình mà còn là cách bạn chăm sóc sức khỏe và khẳng định phong cách sống hiện đại. Với công nghệ tiên tiến, vật liệu cao cấp và quy trình chính xác, phương pháp này mang lại cho bạn hàm răng đều đẹp, sáng tự nhiên và duy trì lâu dài theo thời gian.
Điều quan trọng nhất là lựa chọn đúng bác sĩ có chuyên môn và nha khoa uy tín, vì họ chính là người quyết định đến sự thành công của toàn bộ quá trình. Một nụ cười đẹp là món quà bạn trao cho thế giới, nhưng cũng là niềm tự tin bạn dành cho chính mình.
Thông tin liên hệ bác sĩ Quân:
Địa chỉ: 35-37 Nguyễn Thị Thập, Q. 7, Tp HCM, Việt Nam
Điện thoại: 078 751 5858
Email:
Website: https://drtadongquan.com
Facebook: Bác Sĩ Quân
Bạn có thể đặt lịch tư vấn trực tiếp để được bác sĩ thăm khám, đánh giá tình trạng răng miệng cụ thể và đưa ra phương án điều trị phù hợp nhất.