Mất răng lâu năm có thể ảnh hưởng nghiêm trọng đến sức khỏe răng miệng và thẩm mỹ. Tuy nhiên, hiện nay có nhiều phương pháp khắc phục như cấy ghép và trồng răng để phục hồi chức năng ăn nhai và tự tin. Tìm hiểu các phương pháp hiệu quả giúp bạn khắc phục tình trạng mất răng lâu năm an toàn và nhanh chóng.
I. Mất Răng Lâu Năm: Hậu Quả Và Những Lầm Tưởng Phổ Biến
Mất răng lâu năm không chỉ gây mất thẩm mỹ mà còn ảnh hưởng nghiêm trọng đến sức khỏe răng miệng và chất lượng cuộc sống. Việc mất răng lâu năm cần được điều trị kịp thời để tránh các vấn đề không mong muốn.
Hậu Quả Của Mất Răng Lâu Năm
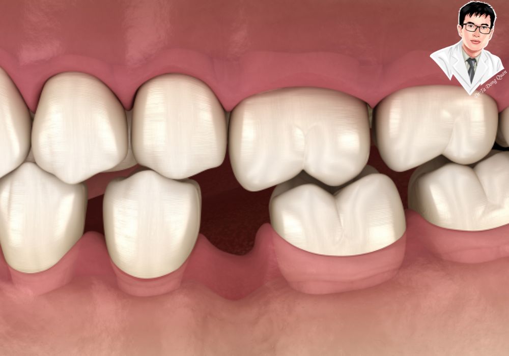
Mất răng lâu năm có thể dẫn đến tiêu xương hàm, làm thay đổi cấu trúc khuôn mặt và gây suy giảm chức năng ăn nhai. Việc mất răng lâu năm không chỉ ảnh hưởng đến việc ăn uống mà còn làm giảm khả năng phát âm, gây khó khăn trong giao tiếp. Ngoài ra, mất răng lâu năm còn khiến răng đối diện và răng kế cận bị lệch, dẫn đến các vấn đề răng miệng phức tạp. Tình trạng này cũng có thể gây giảm tự tin và ảnh hưởng đến tâm lý.
Những Lầm Tưởng Về Mất Răng Lâu Năm
Một số người vẫn tin rằng "mất răng lâu năm thì không thể trồng lại được" hoặc "mất răng cửa thì không quan trọng". Đây là những lầm tưởng phổ biến về mất răng lâu năm. Việc mất răng lâu năm hoàn toàn có thể khắc phục bằng các phương pháp hiện đại như cấy ghép implant. Mặc dù chi phí trồng răng có thể cao, nhưng việc cấy ghép răng lâu năm lại là lựa chọn bền vững và an toàn.
Xem thêm: Trồng Răng Giả Có Ảnh Hưởng Gì? Tất Tần Tật Những Điều Cần Biết
II. Phương Pháp Trồng Răng Hiện Đại Cho Người Mất Răng Lâu Năm
Trồng răng lâu năm giờ đây không còn là điều khó khăn nhờ sự phát triển vượt bậc của các phương pháp nha khoa hiện đại. Cấy ghép răng và các phương pháp phục hình khác đã giúp hàng nghìn người lấy lại nụ cười tự tin.
Cấy Ghép Implant: Giải Pháp Tối Ưu Cho Mất Răng Lâu Năm
Cấy ghép implant được coi là phương pháp "tiêu chuẩn vàng" trong việc khôi phục răng bị mất lâu năm. Với cấy ghép implant, bạn có thể phục hồi chức năng ăn nhai như răng thật, ngăn ngừa tiêu xương hàm và đạt được tính thẩm mỹ cao. Implant giúp duy trì cấu trúc xương hàm và không ảnh hưởng đến răng kế cận, tạo ra một giải pháp lâu dài cho tình trạng mất răng lâu năm.
Cầu Răng Sứ: Phương Pháp Truyền Thống Cho Mất Răng Lâu Năm
Cầu răng sứ là một lựa chọn truyền thống để thay thế răng mất. Tuy nhiên, phương pháp này yêu cầu mài răng thật kế cận và không thể ngăn ngừa tiêu xương hàm. Dù chi phí ban đầu thấp hơn cấy ghép implant, nhưng cầu răng sứ có tuổi thọ hạn chế và không mang lại sự ổn định lâu dài như implant. Nếu bạn đang đối mặt với tình trạng mất răng lâu năm, cầu răng sứ có thể là lựa chọn tạm thời, nhưng cấy ghép implant vẫn là giải pháp tối ưu.
III. Quy Trình Trồng Răng Lâu Năm: Từ Tư Vấn Đến Phục Hồi Hoàn Chỉnh
Quy trình trồng răng lâu năm cần phải được thực hiện bài bản và chính xác để đảm bảo kết quả tốt nhất. Dưới đây là các bước quan trọng trong quá trình trồng răng lâu năm.
Thăm Khám Và Chẩn Đoán Chuyên Sâu
Trước khi bắt đầu trồng răng lâu năm, bạn cần thực hiện thăm khám tổng quát và chẩn đoán chuyên sâu. Việc chụp X-quang và CT Cone Beam 3D giúp bác sĩ đánh giá tình trạng xương hàm và lựa chọn phương pháp điều trị phù hợp. Chẩn đoán kỹ lưỡng sẽ giúp đưa ra kế hoạch điều trị cá nhân hóa, đảm bảo phục hình răng lâu năm hiệu quả.
Cấy Ghép Implant: Quá Trình Thực Hiện
Sau khi thăm khám, bác sĩ sẽ tiến hành phẫu thuật cấy trụ implant vào xương hàm. Quá trình này được thực hiện với sự hỗ trợ của công nghệ hiện đại, giúp giảm đau và đảm bảo an toàn tuyệt đối. Sau khi trụ implant được cấy, bạn sẽ cần thời gian để trụ tích hợp với xương (thường mất 3-6 tháng). Sau đó, mão răng sứ sẽ được gắn lên để hoàn tất quá trình trồng răng lâu năm.
IV. Chăm Sóc Răng Miệng Sau Khi Trồng Răng Lâu Năm
Chăm sóc răng miệng sau khi trồng răng lâu năm là một yếu tố quan trọng để duy trì sự thành công và kết quả lâu dài của việc trồng răng.
Đánh Răng Đúng Cách: Dùng bàn chải lông mềm và kem đánh răng chứa Fluor để làm sạch răng ít nhất hai lần mỗi ngày. Hãy nhớ chải răng nhẹ nhàng để tránh làm tổn thương các răng mới.

Chải răng nhẹ nhàng với bàn chải mềm – bước đầu tiên để chăm sóc sau cắt lợi đúng cách!
Sử Dụng Chỉ Nha Khoa Và Tăm Nước: Nhớ làm sạch kẽ răng và vùng xung quanh Implant hoặc cầu răng để loại bỏ mảng bám và ngăn ngừa vi khuẩn gây hại.
Vệ Sinh Lưỡi Và Sử Dụng Nước Súc Miệng: Vệ sinh lưỡi giúp loại bỏ vi khuẩn gây hôi miệng. Sử dụng nước súc miệng kháng khuẩn để duy trì hơi thở thơm tho và bảo vệ sức khỏe răng miệng.
V. Chi Phí Trồng Răng Lâu Năm: Đầu Tư Cho Sức Khỏe Và Nụ Cười
Khi lựa chọn phương pháp trồng răng lâu năm, bạn cần hiểu rõ các yếu tố ảnh hưởng đến chi phí để đưa ra quyết định hợp lý.
Các Yếu Tố Ảnh Hưởng Đến Chi Phí: Phương pháp điều trị (implant, cầu răng hay hàm giả tháo lắp) và số lượng răng mất sẽ ảnh hưởng trực tiếp đến giá trị chi phí. Loại vật liệu sử dụng cũng quyết định phần lớn giá thành.
So Sánh Chi Phí Các Phương Pháp Trồng Răng:
| Phương Pháp | Chi Phí (Ước Tính) | Ưu Điểm | Nhược Điểm |
|---|---|---|---|
| Cấy Ghép Implant | Cao (10-30 triệu/răng) | Phục hồi chức năng ăn nhai, ngăn ngừa tiêu xương hàm, thẩm mỹ cao | Chi phí cao, cần thời gian hồi phục lâu (3-6 tháng) |
| Cầu Răng Sứ | Trung bình (5-15 triệu/răng) | Chi phí thấp, thực hiện nhanh chóng | Phải mài răng kế cận, không ngăn ngừa tiêu xương |
| Hàm Giả Tháo Lắp | Thấp (2-6 triệu/răng) | Chi phí thấp, dễ tháo lắp vệ sinh | Khả năng ăn nhai kém, dễ bị lỏng, không ngăn ngừa tiêu xương |
Chính Sách Trả Góp Và Bảo Hiểm Nha Khoa: Một số phòng khám cung cấp chương trình trả góp, giúp bạn chi trả dần cho việc trồng răng lâu năm. Ngoài ra, hãy kiểm tra xem bảo hiểm nha khoa có chi trả cho phương pháp điều trị này không.
VI. Lựa Chọn Nha Khoa Uy Tín: Yếu Tố Quyết Định Thành Công
Lựa chọn phòng khám nha khoa uy tín là yếu tố quyết định đến thành công của quá trình trồng răng lâu năm.
Đội Ngũ Bác Sĩ Chuyên Môn Cao: Chọn bác sĩ có kinh nghiệm, chứng chỉ chuyên môn và các khóa đào tạo nâng cao. Bác sĩ có chuyên khoa sâu sẽ đảm bảo quá trình cấy ghép răng diễn ra thuận lợi và hiệu quả.

Chăm sóc sau cắt lợi không căng thẳng – hãy bắt đầu ngày mới bằng nụ cười rạng rỡ.
Cơ Sở Vật Chất Và Trang Thiết Bị Hiện Đại: Phòng khám cần có các thiết bị hiện đại như máy chụp X-quang, CT Cone Beam, và hệ thống phẫu thuật tiên tiến để đảm bảo quy trình trồng răng lâu năm diễn ra chính xác và an toàn.
Chính Sách Bảo Hành Và Chăm Sóc Khách Hàng: Phòng khám uy tín sẽ có chính sách bảo hành rõ ràng và dịch vụ chăm sóc khách hàng sau điều trị, giúp bạn yên tâm trong suốt quá trình phục hồi.
VII. Lựa Chọn Nha Khoa Uy Tín: Yếu Tố Quyết Định Thành Công
Lựa chọn phòng khám nha khoa uy tín có thể ảnh hưởng trực tiếp đến sự thành công của việc trồng răng lâu năm. Hãy chú ý đến các yếu tố sau để tìm được phòng khám phù hợp.
Đội Ngũ Bác Sĩ Có Kinh Nghiệm: Một bác sĩ có kinh nghiệm và trình độ chuyên môn cao sẽ giúp quá trình cấy ghép răng diễn ra thuận lợi và hiệu quả. Bạn nên tìm hiểu các chứng chỉ và đánh giá từ bệnh nhân trước để đảm bảo chất lượng dịch vụ.
Cơ Sở Vật Chất Hiện Đại: Phòng khám nha khoa uy tín cần có các thiết bị hiện đại phục vụ cho quá trình chẩn đoán và điều trị, như máy X-quang, CT Cone Beam 3D, cùng với các máy móc hỗ trợ phẫu thuật tiên tiến.
Vật Liệu Chính Hãng: Các vật liệu nha khoa như Implant và mão răng sứ phải có nguồn gốc rõ ràng và chất lượng đảm bảo. Điều này không chỉ ảnh hưởng đến kết quả thẩm mỹ mà còn quyết định độ bền và an toàn của răng giả.
Quy Trình Thăm Khám Và Điều Trị Minh Bạch: Phòng khám cần có quy trình thăm khám, điều trị rõ ràng và minh bạch, với thông tin chi tiết về chi phí và các bước điều trị. Chính sách bảo hành và hỗ trợ sau điều trị cũng là yếu tố quan trọng giúp bạn yên tâm.

Hình ảnh một phòng khám nha khoa hiện đại, sạch sẽ, đầy đủ trang thiết bị tiên tiến để trồng răng
Kết Luận: Hãy Để Nụ Cười Rạng Rỡ Trở Lại Trên Khuôn Mặt Bạn
Mất răng lâu năm không còn là vấn đề lớn nếu bạn biết cách chăm sóc và lựa chọn phương pháp điều trị phù hợp. Cấy ghép Implant và các phương pháp trồng răng hiện đại sẽ giúp bạn khôi phục khả năng ăn nhai và thẩm mỹ, đồng thời ngăn chặn các vấn đề răng miệng nghiêm trọng. Hãy nhớ rằng, việc lựa chọn nha khoa uy tín và bác sĩ chuyên môn cao là yếu tố quyết định thành công trong việc trồng răng lâu năm.
Nếu bạn đang gặp phải tình trạng mất răng lâu năm, đừng ngần ngại liên hệ với chuyên gia nha khoa để được tư vấn chi tiết và lên kế hoạch điều trị phù hợp. Sức khỏe răng miệng và nụ cười tự tin của bạn đang chờ đợi!
Thông tin liên hệ bác sĩ Quân:
Địa chỉ: 35-37 Nguyễn Thị Thập, Q. 7, Tp HCM, Việt Nam
Điện thoại: 078 751 5858
Email:
Website: https://drtadongquan.com
Facebook: Bác Sĩ Quân
Bạn có thể đặt lịch tư vấn trực tiếp để được bác sĩ thăm khám, đánh giá tình trạng răng miệng cụ thể và đưa ra phương án điều trị phù hợp nhất.
Tụt nướu: Nguy cơ lớn từ một vấn đề nhỏ – Xem ngay!