Implant cố định toàn hàm là giải pháp phục hồi răng nguyên hàm hiện đại, giúp khôi phục chức năng ăn nhai và thẩm mỹ hiệu quả. Với kỹ thuật implant tiên tiến như All On 4, All On 6, bạn sẽ sở hữu hàm răng cố định, bền chắc, tránh các phiền toái của hàm tháo lắp truyền thống. Tìm hiểu ngay để lựa chọn phương pháp phù hợp nhất cho sức khỏe răng miệng của bạn.
I. Implant cố định toàn hàm – Giải pháp phục hồi răng toàn diện và bền vững
Mất răng toàn hàm gây khó khăn trong ăn nhai, ảnh hưởng thẩm mỹ và làm giảm sự tự tin. Hàm giả tháo lắp thường không mang lại cảm giác thoải mái và dễ gây tiêu xương hàm. Implant cố định toàn hàm là giải pháp hiện đại, sử dụng trụ implant cấy trực tiếp vào xương hàm, giúp bạn phục hồi chức năng ăn nhai như răng thật, đồng thời duy trì cấu trúc khuôn mặt và thẩm mỹ tự nhiên.
Bài viết sẽ cung cấp đầy đủ thông tin về quy trình, lợi ích và cách chăm sóc implant cố định toàn hàm, giúp bạn lựa chọn giải pháp phù hợp để lấy lại nụ cười khỏe đẹp và nâng cao chất lượng cuộc sống.
II. Implant cố định toàn hàm là gì? Tìm hiểu công nghệ phục hình răng thế kỷ 21
Định nghĩa implant cố định toàn hàm
Implant cố định toàn hàm là phương pháp phục hồi răng nguyên hàm bằng cách cấy ghép các trụ implant titanium vào xương hàm để làm chân răng nhân tạo. Trên các trụ implant này, bác sĩ gắn cố định cầu răng hoặc hàm răng giả toàn hàm, giúp tái tạo chức năng ăn nhai và thẩm mỹ toàn diện. Implant cố định toàn hàm tạo cảm giác chắc chắn, bền vững, gần như răng thật và khắc phục triệt để hạn chế của hàm tháo lắp.
Cấu tạo và cơ chế hoạt động
Hệ thống implant cố định toàn hàm gồm các trụ implant titanium có khả năng tích hợp sinh học với xương hàm, giúp tạo nền móng vững chắc. Quá trình tích hợp xương diễn ra từ 3-6 tháng, tạo sự liên kết bền vững giữa implant và xương hàm. Phần răng sứ được thiết kế theo dấu hàm cá nhân, tái tạo thẩm mỹ tự nhiên và chức năng ăn nhai tối ưu.
Ưu điểm vượt trội so với hàm tháo lắp truyền thống
Implant cố định toàn hàm khác biệt rõ rệt so với hàm tháo lắp về tính ổn định, khả năng ăn nhai và thẩm mỹ. Người dùng implant cố định toàn hàm không lo hàm bị lỏng lẻo, không gây đau hay khó chịu khi giao tiếp và ăn uống. Hơn nữa, implant giúp bảo tồn xương hàm, ngăn ngừa tiêu xương – nguyên nhân gây biến dạng khuôn mặt do mất răng lâu ngày.
Xem thêm: Trồng răng toàn hàm All On 4 và All On 6 khác nhau thế nào?
III. Các kỹ thuật implant cố định toàn hàm phổ biến hiện nay: All On 4 và All On 6
Hai kỹ thuật phổ biến nhất trong implant cố định toàn hàm là All On 4 và All On 6. Mỗi kỹ thuật có ưu nhược điểm và phù hợp với từng tình trạng xương hàm khác nhau.
| Tiêu chí | Implant All On 4 | Implant All On 6 |
| Số lượng trụ implant | 4 trụ | 6 trụ |
| Vị trí đặt trụ | 2 trụ trước thẳng, 2 trụ sau nghiêng 45° | 6 trụ đặt thẳng đều trên xương hàm |
| Ổn định | Ổn định tốt, phù hợp xương hàm mật độ trung bình hoặc thấp | Ổn định cao, phù hợp xương hàm khỏe |
| Khả năng chịu lực | Tốt, nhưng lực tập trung trên ít điểm | Tốt hơn, lực phân bố đều trên nhiều điểm |
| Thời gian phục hồi | Thường nhanh, phục hình tạm trong ngày | Có thể lâu hơn, phục hình tạm sau vài tháng |
| Chi phí | Thấp hơn | Cao hơn |
| Ưu điểm | Tiết kiệm chi phí, phù hợp xương ít | Độ bền vững cao, ăn nhai thoải mái hơn |
| Hạn chế | Lực chịu tải hạn chế, không phù hợp xương khỏe | Chi phí cao, yêu cầu xương khỏe để đặt nhiều trụ |
Kỹ thuật implant cố định toàn hàm All On 4 phù hợp cho người có mật độ xương vừa hoặc muốn tiết kiệm chi phí. Trong khi đó, All On 6 dành cho người có xương khỏe, mong muốn độ bền chắc và khả năng ăn nhai tối ưu.

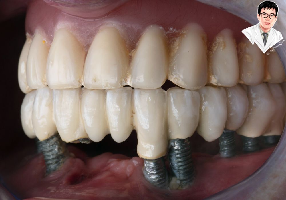
Mô hình mô phỏng kết cấu giữa trụ implant và cầu răng sứ phía trên.
IV. Quy trình trồng implant cố định toàn hàm chuẩn y khoa: Từ A đến Z
Thăm khám, tư vấn và lập kế hoạch điều trị chi tiết
Trước khi tiến hành implant cố định toàn hàm, bước đầu tiên là thăm khám tổng quát và chụp phim X-quang hoặc CT Cone Beam 3D để đánh giá chính xác tình trạng xương hàm, mật độ xương và vị trí các dây thần kinh quan trọng. Bác sĩ sẽ dựa trên kết quả này để lập kế hoạch điều trị cá nhân hóa, lựa chọn số lượng trụ implant phù hợp và phương pháp cấy ghép hiệu quả nhất cho từng bệnh nhân. Giai đoạn này cũng bao gồm tư vấn về chi phí, thời gian điều trị và những lưu ý cần thiết.
Phẫu thuật cấy ghép trụ implant
Implant cố định toàn hàm được thực hiện bằng cách đặt các trụ implant titanium trực tiếp vào xương hàm. Quá trình phẫu thuật thường được gây tê cục bộ hoặc tiền mê nhẹ để đảm bảo bạn không đau đớn trong suốt quá trình. Thời gian phẫu thuật tùy thuộc vào số lượng trụ và tình trạng sức khỏe, thường kéo dài từ 1 đến 3 giờ. Sau phẫu thuật, bạn sẽ được hướng dẫn kỹ cách chăm sóc vết thương và những điều cần tránh để hỗ trợ quá trình lành thương.

Phục hình toàn hàm chắc chắn chỉ với 4 trụ implant.
Phục hình răng và hoàn thiện nụ cười
Sau khi các trụ implant đã tích hợp vững chắc với xương (thường mất từ 3 đến 6 tháng), bác sĩ sẽ lấy dấu hàm để chế tác răng sứ phù hợp với cấu trúc và màu sắc hàm răng của bạn. Phần răng sứ này được gắn cố định lên các trụ implant, giúp hoàn thiện hàm răng với chức năng ăn nhai và thẩm mỹ như răng thật. Implant cố định toàn hàm không chỉ khôi phục nụ cười mà còn mang lại sự tự tin và thoải mái lâu dài.
V. Implant cố định toàn hàm giá bao nhiêu? Phân tích các yếu tố ảnh hưởng
Các yếu tố quyết định chi phí implant cố định toàn hàm
Chi phí trồng implant cố định toàn hàm chịu ảnh hưởng bởi nhiều yếu tố như số lượng trụ implant được sử dụng (ví dụ All On 4 hay All On 6), thương hiệu implant (Như Nobel Biocare, Straumann, Osstem…), loại răng sứ phục hình (Zirconia, Titan, sứ thường…), cũng như các dịch vụ bổ trợ đi kèm như ghép xương hoặc nâng xoang nếu cần thiết. Ngoài ra, sức khỏe tổng thể và mật độ xương hàm của bệnh nhân cũng ảnh hưởng đến chi phí tổng thể.
Bảng giá tham khảo implant cố định toàn hàm tại Việt Nam
| Dịch vụ | Giá tham khảo (triệu đồng) |
| Implant All On 4 trụ | 70 – 120 |
| Implant All On 6 trụ | 120 – 180 |
| Răng sứ Zirconia | 10 – 20 mỗi răng |
| Ghép xương (nếu cần) | 15 – 30 |
| Thăm khám, chụp phim, thuốc | 5 – 10 |
Giá trên chỉ mang tính tham khảo và có thể thay đổi tùy thuộc vào phòng khám cũng như tình trạng cụ thể của từng bệnh nhân.

Chi phí trồng răng toàn hàm là một trong những vấn đề nhiều người quan tâm.
Lợi ích dài hạn vượt trội khi đầu tư implant cố định toàn hàm
Mặc dù chi phí ban đầu có vẻ cao, implant cố định toàn hàm là khoản đầu tư xứng đáng cho sức khỏe răng miệng và chất lượng cuộc sống. Bạn sẽ có hàm răng chắc khỏe, chức năng ăn nhai ổn định, ngăn ngừa tiêu xương và giảm thiểu chi phí sửa chữa hoặc thay thế trong tương lai so với các giải pháp tạm thời khác.
VI. Ưu điểm vượt trội của implant cố định toàn hàm so với phương pháp truyền thống
Phục hồi chức năng ăn nhai gần như răng thật
Implant cố định toàn hàm mang lại khả năng ăn nhai chắc chắn, gần tương đương với răng thật. Nhờ trụ implant titanium được cấy sâu vào xương hàm, lực nhai truyền trực tiếp xuống xương, giúp bạn ăn đa dạng thực phẩm, từ mềm đến cứng, mà không lo ê buốt hay lỏng lẻo như hàm giả tháo lắp.
Khả năng ăn nhai phục hồi lên đến 90-95% giúp cải thiện tiêu hóa vì thức ăn được nghiền nát kỹ hơn, tăng hiệu quả hấp thu dinh dưỡng. Đây là lợi ích quan trọng giúp nâng cao sức khỏe toàn diện cho bạn.
Thẩm mỹ tự nhiên, nâng cao sự tự tin
Răng sứ trên implant được thiết kế theo dấu hàm cá nhân, đảm bảo màu sắc, kích thước hài hòa với khuôn mặt. Điều này tạo nên nụ cười tự nhiên, mềm mại và rạng rỡ hơn so với hàm giả tháo lắp.
Implant cố định toàn hàm giúp bạn tự tin giao tiếp, không còn e ngại khoảng trống mất răng hay hình ảnh hàm răng giả tạo. Bạn sẽ cảm nhận sự thoải mái và vẻ đẹp bền vững theo thời gian.
Bảo tồn và kích thích phát triển xương hàm
Trụ implant thay thế chân răng thật, truyền lực nhai xuống xương hàm, kích thích tế bào xương phát triển và duy trì mật độ xương ổn định. Đây là điểm khác biệt lớn so với hàm giả tháo lắp, vốn không thể ngăn chặn tình trạng tiêu xương.
Nhờ vậy, implant cố định toàn hàm giúp bảo vệ cấu trúc khuôn mặt, ngăn ngừa hóp má, lão hóa sớm, và hỗ trợ ổn định các răng còn lại lâu dài.
Độ bền vượt trội và tuổi thọ lâu dài
Implant cố định toàn hàm sử dụng titanium sinh học tương thích cao với cơ thể, giúp tích hợp chắc chắn vào xương hàm. Kỹ thuật cấy ghép hiện đại đảm bảo độ bền và khả năng chịu lực tối ưu.
Nếu chăm sóc đúng cách và tái khám định kỳ, implant có thể tồn tại vĩnh viễn, giúp bạn tiết kiệm chi phí và hạn chế các thủ thuật phức tạp sau này. Đây là giải pháp phục hồi răng bền vững, hiệu quả lâu dài.
VII. Chăm sóc sau khi trồng implant cố định toàn hàm để duy trì hiệu quả lâu dài
Việc chăm sóc sau khi trồng implant cố định toàn hàm đóng vai trò cực kỳ quan trọng giúp đảm bảo trụ implant tích hợp tốt với xương hàm, đồng thời phòng tránh các biến chứng như viêm nhiễm hay tiêu xương. Bạn cầnimplant cố định toàn hàm xây dựng thói quen vệ sinh răng miệng kỹ lưỡng, chú ý làm sạch kỹ vùng quanh implant và các kẽ răng, tránh để thức ăn thừa hay mảng bám tồn đọng gây hại. Bàn chải lông mềm, chỉ nha khoa chuyên dụng và máy tăm nước là những công cụ không thể thiếu giúp bạn duy trì sức khỏe răng miệng tối ưu.
Bảng chăm sóc sau trồng implant cố định toàn hàm
| Hạng mục chăm sóc | Hướng dẫn cụ thể | Lưu ý quan trọng |
| Vệ sinh răng miệng | Đánh răng 2 lần/ngày, dùng bàn chải mềm, chỉ nha khoa hoặc máy tăm nước | Tránh chải quá mạnh gây tổn thương mô |
| Chế độ ăn uống | Ưu tiên thức ăn mềm, tránh thực phẩm cứng, nóng hoặc lạnh | Hạn chế thuốc lá, rượu bia |
| Thuốc men | Dùng thuốc giảm đau và kháng viêm theo chỉ định bác sĩ | Tuân thủ đúng liều lượng |
| Tái khám định kỳ | Kiểm tra implant và vệ sinh chuyên sâu mỗi 3 – 6 tháng | Không bỏ lỡ lịch hẹn |
Việc tuân thủ nghiêm túc các hướng dẫn chăm sóc sau trồng implant cố định toàn hàm không chỉ giúp tăng tỷ lệ tích hợp implant mà còn kéo dài tuổi thọ cho hàm răng mới. Đây là yếu tố quyết định để bạn duy trì chức năng ăn nhai và thẩm mỹ lâu dài, giúp bạn tận hưởng cuộc sống tự tin với nụ cười khỏe đẹp.

VIII. Những lưu ý quan trọng khi lựa chọn implant cố định toàn hàm
Đánh giá kỹ tình trạng sức khỏe và xương hàm
Bạn cần kiểm tra sức khỏe tổng thể và mật độ xương hàm kỹ lưỡng trước khi thực hiện implant cố định toàn hàm. Các bệnh mãn tính như tiểu đường, tim mạch cần được kiểm soát tốt. Khi xương hàm không đủ, ghép xương hoặc nâng xoang là giải pháp cần thiết để đảm bảo sự thành công của implant.
Lựa chọn kỹ thuật phù hợp
Tùy theo tình trạng xương và mong muốn cá nhân, bạn có thể chọn All On 4 hoặc All On 6. Sự tư vấn chi tiết của bác sĩ giúp lựa chọn phương pháp tối ưu, tránh sai sót và tăng hiệu quả lâu dài.
Chọn nha khoa uy tín, bác sĩ chuyên môn cao
Nha khoa với đội ngũ bác sĩ chuyên sâu implant, máy móc hiện đại như CT Cone Beam 3D, phòng phẫu thuật vô trùng, và implant chính hãng sẽ đảm bảo quy trình an toàn, hiệu quả và tuổi thọ implant cố định toàn hàm lâu dài.
IX. Những câu hỏi thường gặp về implant cố định toàn hàm
Trồng implant cố định toàn hàm có đau không?
Quá trình cấy ghép implant cố định toàn hàm được gây tê hoặc tiền mê nên bạn sẽ không đau khi thực hiện. Sau phẫu thuật có thể xuất hiện cảm giác ê nhẹ, sưng tấy nhưng được kiểm soát tốt bằng thuốc giảm đau.
Thời gian hoàn thiện implant cố định toàn hàm là bao lâu?
Thời gian tích hợp implant và lành thương thường kéo dài từ 3 – 6 tháng, sau đó bác sĩ tiến hành gắn răng sứ cố định. Trong một số trường hợp, bạn có thể được gắn răng tạm ngay trong ngày cấy để duy trì thẩm mỹ.
Implant cố định toàn hàm có phù hợp với người cao tuổi không?
Người cao tuổi hoàn toàn có thể trồng implant cố định toàn hàm nếu sức khỏe tổng thể ổn định và mật độ xương đủ điều kiện. Việc khám và tư vấn kỹ giúp đảm bảo an toàn và hiệu quả cho nhóm đối tượng này.
X. Kết luận: Implant cố định toàn hàm – Giải pháp phục hồi răng toàn diện và bền vững
Implant cố định toàn hàm là phương pháp phục hồi răng toàn hàm hiện đại, giúp bạn lấy lại chức năng ăn nhai gần như răng thật và thẩm mỹ tự nhiên. Kỹ thuật này không chỉ khôi phục nụ cười tự tin mà còn bảo tồn cấu trúc xương hàm, ngăn ngừa tiêu xương lâu dài. Việc lựa chọn implant cố định toàn hàm phù hợp, kết hợp chăm sóc đúng cách sẽ giúp bạn duy trì kết quả bền vững theo thời gian.
Đừng để mất răng toàn hàm làm giảm chất lượng cuộc sống của bạn. Hãy tìm hiểu kỹ, lựa chọn nha khoa uy tín và trao đổi với bác sĩ chuyên môn để có phác đồ điều trị tối ưu nhất. Implant cố định toàn hàm là giải pháp bền vững giúp bạn có nụ cười khỏe mạnh và tự tin trọn đời.
Thông tin liên hệ bác sĩ Quân:
Địa chỉ: 35-37 Nguyễn Thị Thập, Q. 7, Tp HCM, Việt Nam
Điện thoại: 078 751 5858
Email:
Website: https://drtadongquan.com
Facebook: Bác Sĩ Quân
Bạn có thể đặt lịch tư vấn trực tiếp để được bác sĩ thăm khám, đánh giá tình trạng răng miệng cụ thể và đưa ra phương án điều trị phù hợp nhất.