Cách vệ sinh răng Implant đúng cách? Đây là thắc mắc của nhiều người sau cấy ghép Implant. Vệ sinh Implant không chỉ giúp phòng ngừa viêm nhiễm, biến chứng mà còn duy trì tuổi thọ răng. Tìm hiểu hướng dẫn chăm sóc răng Implant hàng ngày để răng luôn chắc khỏe, bền đẹp.
I. Tại sao vệ sinh răng Implant đúng cách là yếu tố sống còn quyết định tuổi thọ của Implant
Cách vệ sinh răng Implant đúng cách? không chỉ là thói quen đơn giản mà còn đóng vai trò sống còn với tuổi thọ của răng cấy ghép. Dù răng Implant không bị sâu như răng thật, nhưng vi khuẩn vẫn có thể tấn công nướu và xương hàm – nền móng quan trọng để giữ Implant ổn định. Khi nền tảng này suy yếu, nguy cơ mất Implant là điều hoàn toàn có thể xảy ra.
1. Tầm quan trọng của việc làm sạch Implant
Việc làm sạch Implant giúp loại bỏ mảng bám và vi khuẩn tích tụ ở viền nướu. Nếu bỏ qua bước này, vi khuẩn có thể gây viêm nướu, lan rộng xuống xương hàm và dẫn tới tình trạng tiêu xương. Theo thống kê, viêm quanh Implant chiếm tới 20% trường hợp thất bại trong vòng 5–10 năm sau cấy ghép.

2. Những biến chứng thường gặp nếu chăm sóc sai cách
Biến chứng thường khởi phát từ viêm nướu, biểu hiện bằng sưng đỏ và chảy máu khi chải răng. Nếu không điều trị kịp thời, tình trạng sẽ tiến triển thành viêm nha chu quanh Implant, khiến xương hàm bị phá hủy dần và cuối cùng trụ Implant bị loại bỏ. Ngoài ra, vệ sinh kém còn gây hôi miệng kéo dài, ảnh hưởng lớn đến giao tiếp.
| Biến chứng | Dấu hiệu ban đầu | Hậu quả |
|---|---|---|
| Viêm nướu quanh Implant | Nướu đỏ, chảy máu | Tiến triển thành viêm nha chu quanh Implant |
| Tiêu xương hàm | Cảm giác lung lay | Mất Implant |
| Hôi miệng | Mùi khó chịu | Giảm sự tự tin |
3. Lợi ích khi duy trì Implant bền vững
Khi Implant được chăm sóc đúng cách, bạn sẽ duy trì khả năng ăn nhai ổn định, bảo tồn cấu trúc xương hàm, hạn chế tình trạng hóp má và lão hóa sớm. Quan trọng hơn, nụ cười khỏe mạnh và hơi thở thơm tho mang lại sự thoải mái và tự tin trong giao tiếp hằng ngày.
Xem thêm: Nên chọn loại trụ implant nào? 5 tiêu chí quan trọng cần biết
II. Hướng dẫn vệ sinh răng Implant đúng cách mỗi ngày chỉ với 4 bước đơn giản
Để thực hiện Cách vệ sinh răng Implant đúng cách?, bạn chỉ cần duy trì một quy trình gồm bốn bước đơn giản. Thói quen này tuy không tốn nhiều thời gian nhưng lại mang đến hiệu quả bảo vệ trụ Implant lâu dài.
1. Chải răng đúng kỹ thuật
Việc chải răng cần tập trung vào vùng cổ Implant, nơi dễ tích tụ mảng bám. Hãy dùng bàn chải lông mềm, đặt góc 45 độ so với viền nướu, di chuyển nhẹ nhàng theo vòng tròn nhỏ. Mỗi lần chải kéo dài ít nhất hai phút và lặp lại hai lần mỗi ngày để đảm bảo răng luôn sạch sẽ.
2. Sử dụng chỉ nha khoa chuyên dụng
Kẽ răng là nơi bàn chải khó tiếp cận, vì vậy việc dùng chỉ nha khoa là bước không thể thiếu. Loại chỉ dành riêng cho Implant có đoạn cứng giúp dễ dàng luồn qua kẽ răng, phần xốp ôm sát trụ để lấy sạch mảng bám. Thực hiện một lần mỗi ngày, lý tưởng nhất là vào buổi tối trước khi ngủ.
3. Dùng tăm nước để hỗ trợ
Tăm nước tạo ra tia nước áp lực vừa phải, rửa trôi thức ăn và vi khuẩn ở những vị trí sâu bên dưới cầu răng hoặc kẽ nướu. Đây là công cụ hữu ích với những người có nhiều răng Implant hoặc cầu răng dài. Ngoài việc làm sạch, tăm nước còn giúp massage nướu, thúc đẩy tuần hoàn máu quanh Implant.

4. Súc miệng bằng dung dịch kháng khuẩn
Khi đã hoàn tất các bước trên, bạn nên súc miệng với dung dịch kháng khuẩn không chứa cồn để bảo vệ niêm mạc miệng và tránh tình trạng khô miệng. Bước này giúp loại bỏ vi khuẩn còn sót lại và duy trì hơi thở thơm mát lâu dài.
Xem thêm: Trồng răng implant mất bao lâu để ăn nhai bình thường?
III. Lựa chọn dụng cụ vệ sinh răng Implant nên dùng để đạt hiệu quả tối ưu
Để duy trì Cách vệ sinh răng Implant đúng cách?, không chỉ kỹ thuật mà cả việc chọn lựa dụng cụ phù hợp cũng đóng vai trò then chốt. Mỗi loại dụng cụ đều có công năng riêng và khi kết hợp hợp lý sẽ giúp làm sạch Implant toàn diện.
1. Bàn chải răng dành riêng cho Implant
Bàn chải lông mềm và đầu nhỏ sẽ dễ dàng tiếp cận từng kẽ răng mà không gây tổn thương nướu. Bàn chải kẽ với nhiều kích thước khác nhau cũng hỗ trợ làm sạch bề mặt bên của trụ, đặc biệt ở những vị trí sâu khó chạm tới.

2. So sánh chỉ nha khoa và tăm nước
Chỉ nha khoa hoạt động theo cơ chế cọ xát, loại bỏ mảng bám dính chặt trên Implant. Ngược lại, tăm nước rửa trôi mảnh vụn bằng tia nước mạnh, phù hợp với vùng dưới cầu răng hoặc những khoảng nướu sâu. Hai phương pháp này không thay thế nhau mà bổ sung cho nhau, mang lại hiệu quả tối ưu khi kết hợp.
| Dụng cụ | Công dụng chính | Điểm mạnh |
|---|---|---|
| Chỉ nha khoa | Loại bỏ mảng bám dính chắc | Vệ sinh sát bề mặt trụ |
| Tăm nước | Rửa trôi mảnh vụn thức ăn | Làm sạch vùng sâu, khó tiếp cận |
3. Các sản phẩm hỗ trợ khác
Ngoài những dụng cụ cơ bản, bạn có thể tham khảo thêm bàn chải điện có chế độ chăm sóc nướu nhạy cảm. Gel hoặc kem đánh răng ít mài mòn và chứa thành phần kháng khuẩn nhẹ cũng giúp giảm thiểu nguy cơ viêm quanh Implant. Việc lựa chọn nên dựa theo tư vấn từ nha sĩ để đảm bảo an toàn và hiệu quả lâu dài.
IV. Quy trình vệ sinh Implant để tránh biến chứng trong từng giai đoạn
Việc duy trì Cách vệ sinh răng Implant đúng cách? cần được điều chỉnh theo từng giai đoạn, từ ngay sau khi phẫu thuật cho đến khi phục hình răng sứ. Mỗi giai đoạn đều có yêu cầu riêng, nếu tuân thủ đầy đủ sẽ giúp Implant ổn định và tránh các biến chứng nguy hiểm.
1. Chăm sóc ngay sau phẫu thuật (24–48 giờ đầu)
Trong hai ngày đầu, vùng cấy ghép còn rất nhạy cảm. Bạn không nên chải răng trực tiếp lên vị trí vừa đặt Implant. Thay vào đó, hãy súc miệng nhẹ nhàng bằng nước muối sinh lý hoặc dung dịch sát khuẩn mà nha sĩ chỉ định. Tránh khạc nhổ mạnh hay dùng ống hút để không ảnh hưởng đến cục máu đông – yếu tố cần thiết cho quá trình lành thương.
2. Vệ sinh răng Implant trong tuần đầu tiên
Sau khoảng 48 giờ, bạn có thể bắt đầu chải răng nhẹ nhàng cho các răng lân cận bằng bàn chải siêu mềm. Vùng nướu quanh Implant vẫn còn non nên tuyệt đối không tác động trực tiếp. Việc duy trì súc miệng bằng dung dịch kháng khuẩn lúc này là cực kỳ quan trọng để ngăn ngừa viêm quanh Implant.

3. Chăm sóc khi đã gắn mão sứ
Khi Implant đã tích hợp vào xương và mão sứ được gắn cố định, quy trình vệ sinh sẽ trở lại như bình thường. Lúc này bạn cần tập trung nhiều hơn vào vùng tiếp giáp giữa mão sứ và nướu, vì đây là nơi dễ tích tụ mảng bám. Thói quen chải răng, dùng chỉ nha khoa và tăm nước nên được duy trì hàng ngày để bảo vệ Implant lâu dài.
V. Những sai lầm phổ biến cần tránh khi vệ sinh răng giả Implant
Một số thói quen tưởng chừng vô hại lại có thể làm giảm hiệu quả của Cách vệ sinh răng Implant đúng cách?. Nếu không loại bỏ, các sai lầm này sẽ khiến Implant dễ tổn thương, thậm chí thất bại sau vài năm.
1. Dùng bàn chải cứng và kem đánh răng có độ mài mòn cao
Nhiều người tin rằng bàn chải cứng sẽ làm sạch răng tốt hơn. Thực tế, lông bàn chải cứng và kem đánh răng có nhiều hạt mài mòn lại khiến bề mặt răng sứ và trụ Implant bị xước. Những vết xước nhỏ chính là điểm bám lý tưởng cho vi khuẩn và mảng bám, từ đó làm gia tăng nguy cơ viêm nướu và tụt lợi.
2. Bỏ qua việc làm sạch kẽ răng
Vi khuẩn gây viêm quanh Implant thường trú ngụ ở kẽ răng và dưới viền nướu. Nếu chỉ chải bề mặt răng mà không làm sạch kẽ răng, bạn đã bỏ sót nơi nguy hiểm nhất. Việc không dùng chỉ nha khoa hoặc tăm nước thường xuyên sẽ khiến mảng bám tích tụ lâu ngày, phát triển thành ổ viêm khó điều trị.

3. Thói quen dùng tăm tre hoặc vật nhọn
Xỉa răng bằng tăm tre hoặc kim loại có thể gây rách nướu và tạo ra các khe hở lớn quanh Implant. Khi nướu bị tổn thương, vi khuẩn dễ dàng xâm nhập và gây viêm nhiễm. Đây là thói quen cần loại bỏ ngay, thay thế bằng dụng cụ chuyên dụng như bàn chải kẽ hoặc chỉ nha khoa mềm.
VI. Dấu hiệu cảnh báo biến chứng Implant bạn cần gặp nha sĩ ngay lập tức
Ngay cả khi đã duy trì Cách vệ sinh răng Implant đúng cách?, vẫn có trường hợp xảy ra biến chứng ngoài ý muốn. Việc nhận biết sớm các dấu hiệu bất thường và đến nha sĩ kịp thời sẽ giúp bạn bảo vệ trụ Implant trước khi quá muộn.
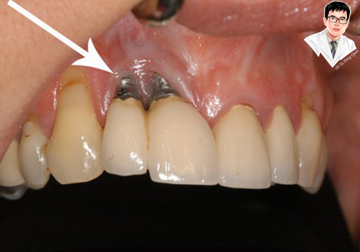
1. Nướu quanh Implant sưng đỏ và chảy máu
Một trong những biểu hiện đầu tiên là nướu bị sưng tấy, đỏ và dễ chảy máu khi chải răng hoặc ăn nhai. Đây là tín hiệu cảnh báo của tình trạng viêm nướu quanh Implant. Nếu bỏ qua, tình trạng có thể tiến triển thành viêm nha chu, gây tiêu xương và mất trụ.
2. Cảm giác đau hoặc Implant lung lay
Implant khi đã tích hợp hoàn toàn sẽ cho cảm giác chắc chắn như răng thật. Vì vậy, nếu bạn cảm thấy Implant lung lay hoặc đau khi nhai, rất có thể đã xuất hiện viêm quanh trụ hoặc tiêu xương hàm. Đây là dấu hiệu nghiêm trọng cần thăm khám ngay.

3. Hôi miệng kéo dài và vị lạ trong miệng
Hơi thở có mùi hôi dai dẳng dù đã vệ sinh kỹ lưỡng có thể do túi nướu viêm chứa mủ quanh Implant. Trong một số trường hợp, người bệnh còn cảm thấy vị kim loại hoặc vị chua lạ trong miệng. Đây đều là biểu hiện bất thường cần điều trị chuyên sâu tại nha khoa.
| Dấu hiệu | Nguy cơ tiềm ẩn | Mức độ nguy hiểm |
|---|---|---|
| Nướu sưng đỏ, chảy máu | Viêm nướu quanh Implant | Trung bình, dễ điều trị sớm |
| Implant lung lay | Tiêu xương hàm, viêm nha chu | Cao, nguy cơ mất Implant |
| Hôi miệng kéo dài | Nhiễm trùng túi nướu | Nặng, cần can thiệp ngay |
Kết luận
Duy trì Cách vệ sinh răng Implant đúng cách? chính là chìa khóa để bảo vệ sức khỏe răng miệng lâu dài. Bằng việc chải răng chuẩn kỹ thuật, làm sạch kẽ răng, sử dụng tăm nước và súc miệng đều đặn, bạn có thể ngăn ngừa viêm nhiễm, giữ Implant bền chắc và duy trì nụ cười khỏe mạnh. Sự kiên trì trong thói quen hàng ngày giúp bạn tiết kiệm chi phí điều trị biến chứng và tận hưởng sự thoải mái như răng thật.
Tuy nhiên, chăm sóc tại nhà thôi chưa đủ. Bạn cần kết hợp với tái khám định kỳ để nha sĩ kiểm tra, làm sạch chuyên sâu và phát hiện sớm các bất thường. Implant là khoản đầu tư lớn cho cả sức khỏe và thẩm mỹ, vì vậy hãy trân trọng và chăm sóc đúng cách. Nếu bạn còn băn khoăn trong việc vệ sinh hay gặp vấn đề với răng Implant, hãy liên hệ trực tiếp với bác sĩ Quân để được thăm khám và tư vấn chi tiết, từ đó tìm ra giải pháp tối ưu cho tình trạng của bạn.
Thông tin liên hệ bác sĩ Quân:
Địa chỉ: 35-37 Nguyễn Thị Thập, Q. 7, Tp HCM, Việt Nam
Điện thoại: 078 751 5858
Email:
Website: https://drtadongquan.com
Facebook: Bác Sĩ Quân
Bạn có thể đặt lịch tư vấn trực tiếp để được bác sĩ thăm khám, đánh giá tình trạng răng miệng cụ thể và đưa ra phương án điều trị phù hợp nhất.
Tụt nướu: Nguy cơ lớn từ một vấn đề nhỏ – Xem ngay!