Viêm nha chu nhẹ là giai đoạn đầu của bệnh nha chu khi nướu bị sưng đỏ, chảy máu và hơi thở có mùi khó chịu. Nếu được phát hiện sớm, việc điều trị rất đơn giản — chỉ cần cạo vôi răng, làm sạch mảng bám và chăm sóc răng miệng đúng cách, bạn có thể ngăn bệnh tiến triển nặng hơn.
I. Phân biệt viêm nha chu nhẹ và viêm lợi thông thường
Viêm nha chu nhẹ là giai đoạn sớm của bệnh lý nha chu, thường bị nhầm với viêm lợi do các triệu chứng tương tự nhau. Tuy nhiên, nếu không phân biệt đúng, người bệnh có thể bỏ lỡ thời điểm điều trị lý tưởng, khiến viêm nha chu nhẹ tiến triển nặng hơn và phá hủy cấu trúc nâng đỡ răng.
1. Viêm lợi là gì và các dấu hiệu nhận biết ban đầu
Viêm lợi xảy ra khi mảng bám và vi khuẩn tích tụ ở đường viền nướu, khiến nướu sưng đỏ, dễ chảy máu khi chải răng. Đây là giai đoạn viêm nướu bề mặt, chưa ảnh hưởng đến xương và dây chằng quanh răng, nên nếu được vệ sinh đúng cách có thể phục hồi hoàn toàn.

2. Viêm nha chu nhẹ là gì và vì sao nó là bước tiến triển từ viêm lợi
Khi viêm lợi không được điều trị sớm, vi khuẩn tiếp tục lan sâu xuống vùng mô quanh răng, gây viêm ở dây chằng nha chu và xương ổ răng. Giai đoạn này được gọi là viêm nha chu nhẹ, đặc trưng bởi sự hình thành túi nha chu nông và hiện tượng tụt nướu nhẹ.
3. Điểm khác biệt mấu chốt giữa hai tình trạng này
| Tiêu chí so sánh | Viêm lợi | Viêm nha chu nhẹ |
|---|---|---|
| Phạm vi tổn thương | Nướu răng | Nướu, dây chằng và xương ổ răng |
| Mức độ sưng đỏ | Nhẹ | Rõ rệt hơn, có thể tụt nướu |
| Chảy máu khi chải răng | Có | Thường xuyên, kéo dài |
| Hơi thở hôi | Hiếm gặp | Thường xuất hiện |
| Nguy cơ mất răng | Không | Có nếu không điều trị kịp thời |
Xem thêm: Sưng lợi do viêm nướu: Nguyên nhân thường gặp nhất
II. Những dấu hiệu sớm của viêm nha chu nhẹ bạn dễ bỏ qua
Ở giai đoạn viêm nha chu nhẹ, triệu chứng thường không rõ ràng, khiến nhiều người chủ quan hoặc nhầm lẫn với viêm lợi thông thường. Phát hiện sớm giúp ngăn chặn bệnh tiến triển và bảo vệ răng vững chắc lâu dài.
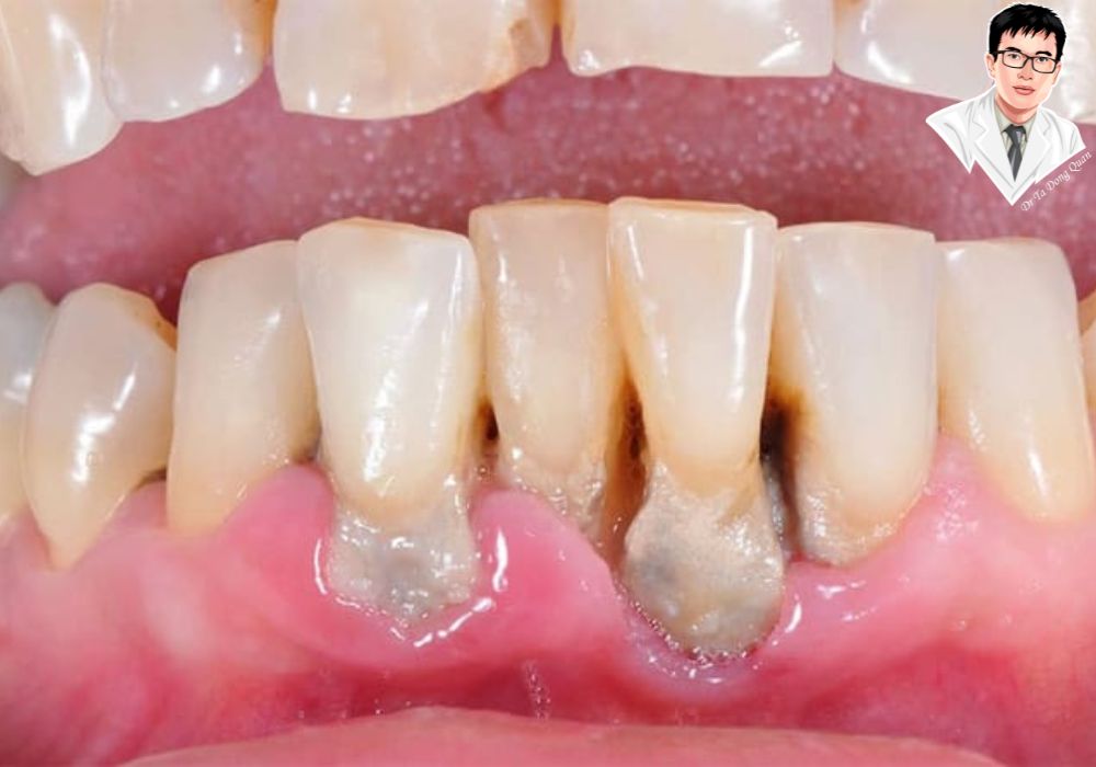
1. Nướu sưng đỏ và thay đổi màu sắc
Khi bị viêm nha chu nhẹ, nướu thường đổi màu từ hồng nhạt sang đỏ sẫm, kèm cảm giác đau khi chạm. Nướu sưng nhẹ quanh cổ răng, có thể kèm cảm giác nóng rát, là dấu hiệu phản ứng viêm đang diễn ra.

2. Chảy máu chân răng khi chải răng hoặc dùng chỉ nha khoa
Tình trạng chảy máu khi chải răng là biểu hiện đặc trưng nhất của viêm nha chu nhẹ. Nguyên nhân là do vi khuẩn tấn công làm tổn thương mao mạch ở vùng nướu, khiến chúng trở nên nhạy cảm và dễ rách.
3. Hơi thở có mùi và nướu tụt nhẹ khỏi chân răng
Vi khuẩn phân hủy protein trong túi nha chu sinh ra hợp chất sulfur gây hôi miệng. Nướu bắt đầu tụt nhẹ, khiến răng trông dài hơn bình thường hoặc tạo kẽ hở giữa răng và nướu — dấu hiệu rõ ràng cho thấy quá trình viêm đang lan sâu.
III. Nguyên nhân chính khiến bệnh nha chu giai đoạn đầu hình thành
Phần lớn các trường hợp viêm nha chu nhẹ bắt nguồn từ thói quen vệ sinh răng miệng không đúng cách, dẫn đến tích tụ mảng bám và cao răng. Nếu không xử lý kịp thời, viêm nha chu nhẹ có thể tiến triển thành viêm nha chu nặng, gây tổn thương xương ổ răng.
1. Vai trò của mảng bám và cao răng tích tụ
Mảng bám là hỗn hợp vi khuẩn, thức ăn và nước bọt bám chặt lên bề mặt răng. Sau 1–2 ngày, mảng bám sẽ cứng lại thành cao răng — nơi trú ngụ lý tưởng cho vi khuẩn gây viêm. Đây là yếu tố khởi phát phổ biến nhất của bệnh lý nha chu.
2. Thói quen vệ sinh răng miệng chưa đúng cách
Chải răng quá nhanh, bỏ qua kẽ răng hoặc không sử dụng chỉ nha khoa đều khiến vi khuẩn phát triển. Những người ít cạo vôi răng định kỳ hoặc hút thuốc lá có nguy cơ mắc bệnh cao hơn gấp 3 lần.

3. Các yếu tố rủi ro và ảnh hưởng của vi khuẩn
Ngoài vệ sinh kém, các yếu tố như di truyền, tiểu đường, stress hay thay đổi nội tiết tố cũng làm tăng khả năng mắc bệnh. Vi khuẩn Porphyromonas gingivalis và Tannerella forsythia là hai chủng chính gây phá hủy mô nha chu ở giai đoạn sớm.
IV. Viêm nha chu nhẹ có nguy hiểm không nếu không điều trị?
Nhiều người cho rằng viêm nha chu nhẹ chỉ là vấn đề nhỏ, nhưng trên thực tế, đây là giai đoạn đầu của bệnh lý có thể dẫn đến mất răng nếu không được can thiệp kịp thời. Khi viêm nha chu nhẹ tiến triển, quá trình viêm không chỉ dừng lại ở nướu mà còn lan sâu vào xương và mô liên kết quanh răng.
1. Quá trình hình thành túi nha chu và sự phá hủy xương ổ răng
Vi khuẩn tích tụ dưới nướu tạo ra độc tố làm phá hủy sợi liên kết giữa răng và nướu. Hậu quả là xuất hiện “túi nha chu” – khoảng trống giữa răng và nướu, nơi mảng bám tiếp tục phát triển. Theo thời gian, xương ổ răng bị tiêu dần, làm răng lung lay.
2. Từ viêm nha chu nhẹ đến nguy cơ mất răng sớm
Nếu không điều trị, túi nha chu sâu hơn, mô nâng đỡ bị tiêu hủy và răng không còn bám chắc trong xương hàm. Thống kê nha khoa cho thấy hơn 70% trường hợp mất răng ở người trưởng thành xuất phát từ viêm nha chu không được chữa sớm.
3. Viêm nha chu mãn tính và ảnh hưởng toàn thân
Bên cạnh tác hại tại chỗ, viêm nha chu nhẹ còn có thể trở thành viêm nha chu mạn tính, làm tăng nguy cơ viêm nội tâm mạc, tiểu đường khó kiểm soát và sinh non ở phụ nữ mang thai. Các vi khuẩn từ túi nha chu có thể xâm nhập vào máu, ảnh hưởng đến tim mạch và hệ miễn dịch.
V. Các phương pháp điều trị viêm nha chu nhẹ hiệu quả tại nha khoa
Điều trị viêm nha chu nhẹ cần bắt đầu càng sớm càng tốt để khôi phục mô nướu và ngăn bệnh tiến triển. Tại nha khoa, bác sĩ sẽ xác định tình trạng viêm, làm sạch vùng quanh răng và hướng dẫn chăm sóc đúng cách để duy trì kết quả.
1. Cạo vôi răng định kỳ là bước điều trị bắt buộc
Cạo vôi răng giúp loại bỏ mảng bám và cao răng – nguyên nhân chính gây viêm nha chu nhẹ. Thông thường, bác sĩ khuyến nghị nên thực hiện mỗi 6 tháng/lần để duy trì môi trường miệng sạch khuẩn và ngăn tái phát.
2. Kỹ thuật làm sạch sâu và xử lý mặt gốc răng
Sau khi cạo vôi, bác sĩ sẽ tiến hành làm sạch túi nha chu và xử lý bề mặt chân răng để vi khuẩn không bám lại. Phương pháp này giúp nướu bám chắc trở lại vào thân răng, giảm tụt lợi và hơi thở hôi.

3. Chi phí điều trị viêm nha chu nhẹ tại nha khoa
Chi phí điều trị phụ thuộc vào mức độ viêm và phương pháp thực hiện. Bảng dưới đây cho thấy mức giá tham khảo:
| Hạng mục điều trị | Mức giá trung bình (VNĐ) | Tác dụng chính |
|---|---|---|
| Cạo vôi răng toàn hàm | 200.000 – 400.000 | Loại bỏ cao răng, mảng bám |
| Làm sạch sâu (Scaling & Root Planing) | 500.000 – 1.000.000 | Làm sạch túi nha chu, khử khuẩn |
| Điều trị kháng sinh hỗ trợ | 150.000 – 300.000 | Giảm viêm, kiểm soát nhiễm khuẩn |
VI. Có thể tự điều trị viêm nha chu nhẹ tại nhà không?
Việc tự chăm sóc đúng cách có thể hỗ trợ kiểm soát viêm nha chu nhẹ, nhưng không thể thay thế hoàn toàn điều trị nha khoa. Nếu chỉ vệ sinh tại nhà mà không loại bỏ được cao răng, viêm nha chu nhẹ vẫn có thể tiến triển nặng hơn theo thời gian.
1. Những lầm tưởng phổ biến về cách điều trị tại nhà
Nhiều người tin rằng dùng nước muối hoặc chanh có thể chữa viêm nướu, nhưng thực tế các biện pháp này chỉ giảm tạm thời triệu chứng, không loại bỏ được vi khuẩn gốc. Việc chà răng mạnh còn khiến nướu tổn thương thêm.
2. Vai trò thực sự của nước súc miệng và thuốc trị viêm nha chu nhẹ
Các dung dịch súc miệng chứa chlorhexidine hoặc cetylpyridinium có tác dụng kiểm soát vi khuẩn, giảm viêm và mùi hôi miệng. Tuy nhiên, người bệnh nên sử dụng theo hướng dẫn bác sĩ vì dùng lâu có thể gây ố men răng.

3. Chăm sóc răng miệng đúng cách để hỗ trợ điều trị
-
Đánh răng 2 lần/ngày bằng bàn chải lông mềm
-
Dùng chỉ nha khoa hoặc tăm nước để làm sạch kẽ răng
-
Súc miệng sau mỗi bữa ăn
-
Hạn chế thuốc lá, đồ ngọt và rượu bia
Việc duy trì thói quen này giúp rút ngắn thời gian điều trị và ngăn bệnh tái phát.
Câu hỏi thường gặp (FAQ)
1. Viêm nha chu nhẹ là gì và có tự khỏi không?
Viêm nha chu nhẹ là giai đoạn đầu của bệnh nha chu, xảy ra khi viêm lợi không được điều trị và bắt đầu ảnh hưởng đến mô nâng đỡ răng. Bệnh không thể tự khỏi nếu không có sự can thiệp của nha sĩ.
2. Viêm nha chu nhẹ có gây mất răng không?
Nếu không điều trị, viêm nha chu nhẹ có thể tiến triển thành thể nặng, làm tiêu xương ổ răng và gây mất răng sớm.
3. Chi phí điều trị viêm nha chu nhẹ có đắt không?
Chi phí phụ thuộc vào mức độ viêm và phương pháp điều trị, trung bình dao động từ 200.000 đến 1.000.000 đồng/lần.
4. Viêm nha chu nhẹ có cần uống thuốc không?
Trong một số trường hợp, bác sĩ sẽ kê thêm kháng sinh hoặc thuốc chống viêm để kiểm soát vi khuẩn và giảm sưng. Người bệnh không nên tự ý dùng thuốc.
5. Phân biệt viêm lợi và viêm nha chu nhẹ như thế nào?
Viêm lợi chỉ ảnh hưởng đến nướu, còn viêm nha chu nhẹ bắt đầu phá hủy dây chằng và xương ổ răng, tạo túi nha chu nông.

Kết luận
Viêm nha chu nhẹ là giai đoạn sớm nhưng có ý nghĩa quan trọng trong việc bảo vệ răng và nướu. Ở thời điểm này, mô nướu mới chỉ viêm nhẹ, chưa gây đau nhiều nên rất dễ bị bỏ qua. Tuy nhiên, nếu không được điều trị kịp thời, quá trình viêm sẽ lan xuống sâu hơn, phá hủy dây chằng và xương ổ răng, dẫn đến nguy cơ mất răng sớm. Việc phát hiện và can thiệp ngay từ giai đoạn này giúp tiết kiệm chi phí, giảm đau đớn và phục hồi mô nướu hiệu quả hơn.
Thông tin liên hệ bác sĩ Quân:
Địa chỉ: 35-37 Nguyễn Thị Thập, Q. 7, Tp HCM, Việt Nam
Điện thoại: 078 751 5858
Email:
Website: https://drtadongquan.com
Facebook: Bác Sĩ Quân
Bạn có thể đặt lịch tư vấn trực tiếp để được bác sĩ thăm khám, đánh giá tình trạng răng miệng cụ thể và đưa ra phương án điều trị phù hợp nhất.
Tụt nướu: Nguy cơ lớn từ một vấn đề nhỏ – Xem ngay!