Phẫu thuật lợi là thủ thuật nha khoa giúp loại bỏ phần nướu thừa, cải thiện tình trạng cười hở lợi và mang lại nụ cười tự nhiên, hài hòa. Nhiều người lo lắng phẫu thuật lợi có đau hay nguy hiểm không, bài viết này sẽ giúp bạn hiểu rõ quy trình, chi phí và thời gian hồi phục thực tế.
I. Phẫu thuật lợi là gì và khi nào nên thực hiện
Phẫu thuật lợi hay còn gọi là tiểu phẫu nướu hoặc cắt nướu thẩm mỹ, là một kỹ thuật nha khoa nhằm điều chỉnh mô nướu để tạo sự cân đối giữa răng, lợi và môi. Mục tiêu của phẫu thuật lợi là mang lại nụ cười hài hòa, khỏe mạnh và thẩm mỹ.
1. Khái quát về phẫu thuật nha chu và nướu răng
Tiểu phẫu nướu là một thủ thuật nhỏ trong nha khoa nha chu, tập trung vào việc tái tạo mô nướu và điều chỉnh đường viền nướu sao cho cân đối. Phẫu thuật giúp cải thiện tình trạng răng ngắn, nướu phát triển quá mức hoặc mất cân đối giữa răng và lợi, mang lại tỉ lệ thẩm mỹ chuẩn.

2. Phân biệt giữa cắt lợi thẩm mỹ và điều trị bệnh lý nướu
| Loại phẫu thuật | Mục đích chính | Phương pháp | Đối tượng phù hợp |
|---|---|---|---|
| Cắt lợi thẩm mỹ (Gingivectomy) | Tạo hình nướu, làm dài thân răng, khắc phục cười hở lợi | Dao mổ hoặc laser | Người có cười hở lợi, răng ngắn |
| Phẫu thuật điều trị bệnh lý nướu | Loại bỏ vi khuẩn, phục hồi mô lợi tổn thương | Lật vạt, ghép nướu | Người bị viêm nha chu, tụt nướu |
3. Các trường hợp cần thực hiện phẫu thuật lợi thẩm mỹ
Những người bị cười hở lợi (lộ nướu trên 3mm khi cười), răng ngắn, nướu phì đại hoặc nướu phát triển che phủ thân răng là đối tượng nên thực hiện thủ thuật này. Ngoài cải thiện thẩm mỹ, phẫu thuật còn giúp việc vệ sinh răng miệng dễ dàng hơn, giảm nguy cơ viêm nhiễm nha chu.
Xem thêm: Cắt nướu bằng laser khác gì so với phẫu thuật truyền thống
II. Phẫu thuật lợi có đau và nguy hiểm không? Đánh giá chuyên sâu
Một trong những thắc mắc phổ biến nhất là liệu phẫu thuật lợi có đau không và có tiềm ẩn nguy hiểm nào không. Nhờ tiến bộ công nghệ laser và gây tê nha khoa hiện đại, phẫu thuật lợi hiện nay được xem là thủ thuật an toàn, ít đau và thời gian hồi phục nhanh.
1. Mức độ đau thực tế trong và sau phẫu thuật
Trong quá trình thực hiện, bác sĩ sử dụng thuốc tê cục bộ giúp bạn hoàn toàn không cảm nhận được đau. Sau khi thuốc tê hết tác dụng, chỉ xuất hiện cảm giác ê nhẹ trong vài giờ đầu, có thể kiểm soát dễ dàng bằng thuốc giảm đau thông thường.
| Mức độ cảm giác đau (VAS) | Mức đánh giá | Thời gian kéo dài |
|---|---|---|
| 0 – 2 điểm | Không đau hoặc rất nhẹ | 1–2 giờ sau phẫu thuật |
| 3 – 4 điểm | Ê buốt nhẹ, có thể kiểm soát bằng thuốc | 4–6 giờ |
| 5 điểm trở lên | Hiếm gặp, cần theo dõi thêm | Trường hợp đặc biệt |

2. Các rủi ro và mức độ nguy hiểm có thể gặp
Phẫu thuật được đánh giá là an toàn nếu bác sĩ có chuyên môn cao. Các rủi ro nhỏ như sưng nhẹ, chảy máu rỉ hoặc nhiễm trùng cục bộ có thể kiểm soát dễ dàng. Trường hợp kỹ thuật kém có thể gây tụt nướu hoặc tổn thương dây thần kinh, vì vậy việc chọn cơ sở uy tín là yếu tố quyết định.
3. Vai trò của laser trong giảm đau và rút ngắn thời gian hồi phục
Công nghệ laser Diode giúp cắt lợi chính xác, ít xâm lấn và gần như không chảy máu. Laser còn có tác dụng khử khuẩn vùng phẫu thuật, giảm sưng viêm và kích thích tái tạo mô nhanh hơn. Nhờ đó, bệnh nhân có thể hồi phục chỉ sau 5–7 ngày, thay vì 10–14 ngày như phương pháp truyền thống.
III. Quy trình phẫu thuật lợi chi tiết tại nha khoa uy tín
Một quy trình tiêu chuẩn giúp đảm bảo phẫu thuật lợi diễn ra an toàn, chính xác và đạt kết quả thẩm mỹ cao. Nắm rõ từng bước giúp bạn chuẩn bị tốt hơn và phối hợp hiệu quả cùng bác sĩ trong suốt quá trình điều trị.
1. Các bước chuẩn bị trước khi phẫu thuật
-
Thăm khám, chụp X-quang để xác định nguyên nhân và mức độ nướu cần điều chỉnh.
-
Kiểm tra sức khỏe tổng quát, điều trị dứt điểm các bệnh lý nha chu hoặc sâu răng trước khi mổ.
-
Lập kế hoạch điều trị chi tiết với tỷ lệ cắt bỏ chính xác, đảm bảo tính an toàn và thẩm mỹ.

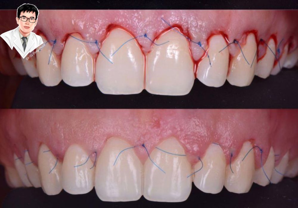
2. Trình tự 4 bước thực hiện tiểu phẫu lợi
| Bước | Mô tả | Thời gian trung bình |
|---|---|---|
| 1 | Gây tê cục bộ, đảm bảo không đau | 5 phút |
| 2 | Đánh dấu đường viền nướu cần điều chỉnh | 5–10 phút |
| 3 | Cắt nướu bằng laser hoặc dao mổ, có thể kèm chỉnh xương ổ răng | 20–40 phút |
| 4 | Khâu đóng vết thương (nếu cần), vệ sinh và hướng dẫn chăm sóc | 10 phút |
3. Thời gian phẫu thuật và hồi phục
Thời gian trung bình cho một ca phẫu thuật là từ 30–60 phút, tùy mức độ phức tạp. Với kỹ thuật laser, thời gian lành thương chỉ khoảng 5–7 ngày, trong khi phương pháp truyền thống cần đến 10–14 ngày. Việc tuân thủ chăm sóc hậu phẫu đúng cách sẽ giúp mô lợi phục hồi hoàn toàn sau 1–3 tháng.
IV. Các kỹ thuật phẫu thuật lợi phổ biến hiện nay
Sự phát triển của nha khoa hiện đại mang đến nhiều kỹ thuật phẫu thuật lợi phù hợp với từng tình trạng nướu, giúp đạt hiệu quả thẩm mỹ tối ưu và rút ngắn thời gian hồi phục. Lựa chọn kỹ thuật đúng là yếu tố quan trọng để đảm bảo kết quả bền vững, an toàn và tự nhiên.
1. Kỹ thuật cắt nướu đơn thuần (Gingivectomy)
Đây là phương pháp phổ biến nhất, thường áp dụng cho người bị nướu phì đại hoặc răng bị che phủ bởi mô lợi. Bác sĩ sẽ loại bỏ phần nướu dư, định hình lại đường viền lợi để răng trông dài và cân đối hơn. Gingivectomy có thời gian thực hiện nhanh, vết thương nhỏ và thường hồi phục chỉ sau 5–7 ngày.
2. Kỹ thuật cắt nướu kết hợp tạo hình xương ổ răng (Crown Lengthening)
Với các trường hợp nướu phát triển sâu hoặc xương ổ răng quá cao, phương pháp này giúp định hình lại cả mô mềm và mô cứng. Sau khi cắt nướu, bác sĩ điều chỉnh xương ổ răng để cố định đường viền lợi mới, giúp răng không bị ngắn trở lại. Kỹ thuật này thường được đánh giá cao nhờ độ bền vững và hạn chế tối đa nguy cơ tái phát.

3. Kỹ thuật tái tạo mô lợi (Grafting) trong phẫu thuật
Đây là giải pháp dành cho người bị tụt nướu hoặc lộ chân răng. Bác sĩ sẽ lấy một phần mô ở vòm miệng và ghép vào vùng cần tái tạo, giúp bảo vệ chân răng, giảm ê buốt và cải thiện tính thẩm mỹ. Dù thời gian hồi phục lâu hơn các phương pháp khác, nhưng kết quả mang lại thường rất ổn định và tự nhiên.
V. Chăm sóc sau khi phẫu thuật lợi để nhanh lành và không để lại sẹo
Chăm sóc hậu phẫu đúng cách là yếu tố quyết định để phẫu thuật lợi đạt kết quả tốt và vết thương lành nhanh. Ngoài ra, việc tuân thủ hướng dẫn của bác sĩ giúp giảm đau, tránh viêm nhiễm và hạn chế tối đa nguy cơ để lại sẹo.
1. Hướng dẫn chăm sóc sau khi phẫu thuật
Sau khi làm phẫu thuật lợi, bạn nên nghỉ ngơi từ 1–2 giờ và tránh ăn uống cho đến khi thuốc tê hết tác dụng. Trong 48 giờ đầu, hãy ưu tiên đồ mềm, nguội và hạn chế thức ăn cay, cứng hoặc quá nóng. Việc vệ sinh răng miệng cần thực hiện nhẹ nhàng bằng bàn chải lông mềm, tránh chạm trực tiếp vào vùng cắt nướu trong những ngày đầu.
Súc miệng bằng dung dịch sát khuẩn hoặc nước muối sinh lý giúp giảm viêm và ngăn ngừa nhiễm trùng. Thuốc giảm đau, kháng sinh hoặc gel nha khoa nên sử dụng đúng liều lượng theo chỉ định của bác sĩ để đạt hiệu quả tối đa.
2. Giải quyết mối lo lắng về sẹo và thời gian hồi phục
Nhiều người lo ngại phẫu thuật lợi có để lại sẹo hay không, nhưng thực tế, phần lớn trường hợp đều lành tự nhiên mà không để lại dấu vết. Do nướu nằm ở vùng niêm mạc miệng, khả năng tái tạo mô rất nhanh, đồng thời được răng che phủ nên hầu như không nhìn thấy sẹo.
Thời gian lành thương trung bình khoảng 7–10 ngày, và để nướu trở lại trạng thái ổn định, tự nhiên hoàn toàn thường mất khoảng 1–3 tháng.
3. Những điều nên và không nên làm trong tuần đầu
Trong tuần đầu tiên, bạn nên chườm lạnh vùng má để giảm sưng, nghỉ ngơi đầy đủ và tái khám đúng lịch hẹn. Không hút thuốc, uống rượu bia, tập thể dục nặng hoặc dùng ống hút vì các hoạt động này có thể ảnh hưởng đến quá trình lành thương. Nếu xuất hiện chảy máu nhẹ hoặc sưng tấy, bạn có thể chườm lạnh thêm và liên hệ bác sĩ để được hướng dẫn kịp thời.
VI. Phẫu thuật lợi bao nhiêu tiền? Các yếu tố ảnh hưởng đến chi phí
Chi phí là mối quan tâm hàng đầu của nhiều người khi tìm hiểu về phẫu thuật lợi. Mức giá có thể khác nhau tùy vào kỹ thuật, công nghệ sử dụng và tay nghề bác sĩ. Việc hiểu rõ các yếu tố này sẽ giúp bạn dự trù chi phí hợp lý và lựa chọn nơi điều trị phù hợp với nhu cầu.
1. Mức chi phí tham khảo tại Việt Nam
Giá phẫu thuật lợi thường dao động từ 1.500.000 đến 6.000.000 VNĐ cho mỗi răng, tùy theo mức độ phức tạp và công nghệ áp dụng.
Các kỹ thuật đơn thuần như cắt nướu thẩm mỹ bằng dao mổ truyền thống thường có chi phí thấp hơn. Trong khi đó, kỹ thuật laser hiện đại hay tái tạo mô lợi sẽ cao hơn do yêu cầu chuyên môn và thiết bị phức tạp.
Tại TP.HCM hoặc Hà Nội, giá trung bình thường cao hơn so với các tỉnh do chi phí vận hành và cơ sở vật chất hiện đại hơn.

2. Các yếu tố ảnh hưởng đến tổng chi phí
Có bốn yếu tố chính tác động đến giá:
-
Mức độ phức tạp của ca phẫu thuật (răng đơn lẻ hay toàn hàm).
-
Loại công nghệ áp dụng (dao mổ, laser, tái tạo mô lợi).
-
Trình độ và kinh nghiệm của bác sĩ phẫu thuật.
-
Uy tín, cơ sở vật chất và chính sách hậu mãi của phòng khám.
Một yếu tố khác thường bị bỏ qua là chi phí chăm sóc sau phẫu thuật. Một số cơ sở nha khoa uy tín đã bao gồm thuốc và tái khám miễn phí trong gói dịch vụ, giúp người bệnh tiết kiệm đáng kể chi phí tổng thể.
3. Cân nhắc giữa chi phí và hiệu quả thẩm mỹ
Khi lựa chọn nơi phẫu thuật lợi, đừng chỉ nhìn vào giá. Một ca cắt nướu thành công không chỉ giúp cải thiện nụ cười mà còn bảo đảm sức khỏe răng miệng lâu dài. Đầu tư vào chất lượng phẫu thuật và tay nghề bác sĩ là khoản đầu tư đáng giá cho sự tự tin và thẩm mỹ cá nhân. Hãy ưu tiên cơ sở có bác sĩ chuyên khoa nha chu, trang thiết bị hiện đại và quy trình vô trùng nghiêm ngặt để đạt kết quả tối ưu.
Kết luận
Phẫu thuật lợi là một thủ thuật nha khoa an toàn, mang lại hiệu quả cao trong việc cải thiện nụ cười và sức khỏe răng miệng tổng thể. Khi được thực hiện đúng kỹ thuật bởi bác sĩ chuyên môn, quá trình này không gây đau đớn, ít rủi ro và thời gian hồi phục nhanh. Từ việc khắc phục cười hở lợi, tái tạo nướu cân đối đến cải thiện tính thẩm mỹ khuôn miệng, đây là giải pháp giúp bạn tự tin hơn với nụ cười tự nhiên và hài hòa.
Quan trọng hơn cả, thành công của phẫu thuật lợi phụ thuộc vào việc lựa chọn cơ sở nha khoa uy tín, đội ngũ bác sĩ giàu kinh nghiệm và công nghệ hiện đại. Đừng để sự e ngại về chi phí hay sợ đau khiến bạn bỏ lỡ cơ hội nâng cấp nụ cười. Hãy chủ động thăm khám và nhận tư vấn từ chuyên gia để có giải pháp phù hợp, an toàn và bền vững nhất cho sức khỏe răng lợi của bạn.
Thông tin liên hệ bác sĩ Quân:
Địa chỉ: 35-37 Nguyễn Thị Thập, Q. 7, Tp HCM, Việt Nam
Điện thoại: 078 751 5858
Email:
Website: https://drtadongquan.com
Facebook: Bác Sĩ Quân
Bạn có thể đặt lịch tư vấn trực tiếp để được bác sĩ thăm khám, đánh giá tình trạng răng miệng cụ thể và đưa ra phương án điều trị phù hợp nhất.
Tụt nướu: Nguy cơ lớn từ một vấn đề nhỏ – Xem ngay!