Rất nhiều người bị viêm chân răng nhưng lại vô tình mắc những sai lầm khiến tình trạng sưng đau, chảy máu và nhiễm khuẩn trở nên nặng hơn. Bài viết này giúp bạn hiểu rõ nguyên nhân, thói quen gây hại và cách khắc phục đúng để nướu khỏe mạnh, hạn chế tái phát.
I. Hiểu đúng bản chất của bệnh viêm quanh răng
Viêm quanh răng không chỉ là nướu bị rát hay đỏ nhẹ. Đây là bệnh lý có khả năng phá hủy dần phần mô nâng đỡ răng.
1. Định nghĩa chuẩn y khoa về tình trạng bệnh lý
Viêm quanh răng xảy ra khi vi khuẩn trong mảng bám phát triển mạnh và tấn công từ nướu vào sâu hơn, ảnh hưởng đến chân răng và phần xương bên dưới. Khi mảng bám được tích tụ trong thời gian dài, bề mặt răng và vùng cổ răng trở thành nơi thuận lợi để vi khuẩn hình thành từng lớp tổn thương nhỏ. Những tổn thương này tiến triển theo thời gian, khiến nướu rút dần khỏi chân răng và xương ổ răng bị tiêu hụt.

2. Sự nhầm lẫn tai hại về thuật ngữ nha khoa
Nhiều người vẫn nhầm lẫn giữa viêm lợi và viêm quanh răng. Viêm lợi chỉ ảnh hưởng đến phần nướu phía trên, còn viêm quanh răng là mức độ nặng hơn vì đã lan xuống mô nâng đỡ răng. Bệnh thường không gây đau dữ dội ở giai đoạn đầu nên người bệnh dễ chủ quan. Đến lúc phát hiện ra thì túi lợi đã sâu, nướu tụt nhiều hoặc răng bắt đầu lung lay. Chính sự hiểu lầm về các thuật ngữ nha khoa khiến nhiều người bỏ lỡ thời điểm điều trị tốt nhất.
Xem thêm: Viêm nha chu: 5 thói quen nhỏ giúp phòng ngừa hiệu quả
II. Phân biệt rõ ràng giữa viêm lợi và viêm quanh răng
Viêm lợi và viêm quanh răng là hai giai đoạn khác nhau. Việc phân biệt giúp bạn biết khi nào chỉ cần cải thiện vệ sinh, khi nào phải điều trị chuyên sâu.
1. Dấu hiệu nhận biết viêm lợi ở giai đoạn khởi phát
Viêm lợi gây đổi màu nướu từ hồng nhạt sang đỏ thẫm. Bạn sẽ thấy nướu dễ chảy máu khi đánh răng hoặc dùng chỉ nha khoa. Đây chỉ là viêm trên bề mặt nướu, chưa ảnh hưởng đến dây chằng hay xương ổ răng. Nếu vệ sinh kỹ hơn, đa phần trường hợp có thể phục hồi sau vài ngày đến một tuần vì mô nướu vẫn còn đủ khả năng tự lành.

2. Triệu chứng đặc trưng khi bệnh chuyển sang viêm quanh răng
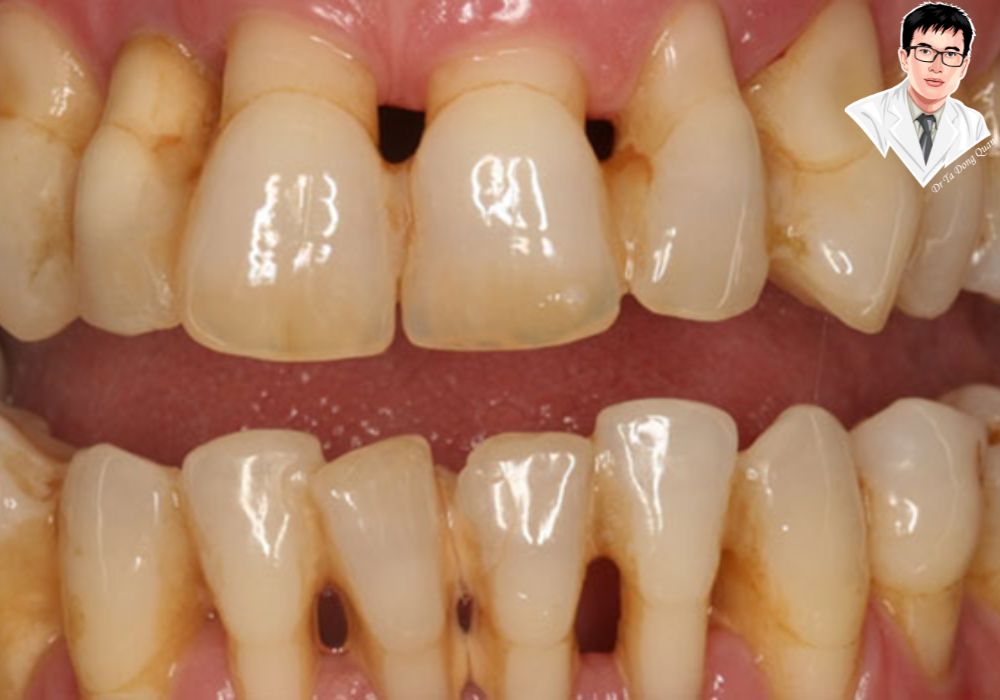
Viêm quanh răng thường biểu hiện rõ hơn sau một thời gian dài nướu bị viêm nhẹ mà không được chăm sóc đúng. Lúc này nướu bắt đầu tụt xuống, chân răng lộ rõ khiến răng trông dài hơn bình thường và rất dễ ê buốt khi ăn uống nóng lạnh. Một số vị trí dưới nướu có thể xuất hiện túi chứa dịch hoặc mủ do vi khuẩn tích tụ. Các túi này nằm sâu bên dưới nên bạn không thể làm sạch bằng đánh răng hay súc miệng thông thường.
3. So sánh mức độ tổn thương và khả năng hồi phục
| Tình trạng | Mức độ tổn thương | Khả năng phục hồi |
|---|---|---|
| Viêm lợi | Chỉ ảnh hưởng bề mặt nướu | Có thể hồi phục hoàn toàn |
| Viêm quanh răng | Ảnh hưởng đến mô nâng đỡ và xương ổ răng | Không thể phục hồi hoàn toàn |
III. Nguyên nhân cốt lõi khiến tình trạng viêm tiến triển
Đa số các trường hợp đều bắt nguồn từ vệ sinh răng miệng chưa đúng cách. Tuy nhiên còn nhiều yếu tố khác khiến bệnh dễ nặng hơn và dai dẳng hơn.
1. Vai trò của mảng bám và vôi răng tích tụ lâu ngày
Mảng bám hình thành liên tục sau mỗi bữa ăn. Nếu không được làm sạch đúng cách, chúng dần cứng lại thành vôi răng nằm sát cổ răng. Đây là nơi vi khuẩn sinh sống và phát triển mạnh. Khi vôi răng bám chặt, bề mặt nướu bị kích ứng, dẫn đến viêm kéo dài và tăng dần theo thời gian. Vôi răng càng dày thì mức độ tác động lên mô nâng đỡ càng mạnh.

2. Các yếu tố nguy cơ làm tăng nặng tình trạng bệnh
Hút thuốc lá là yếu tố khiến nướu khó lành và dễ viêm hơn vì làm giảm lượng máu nuôi dưỡng. Ngoài ra, sự thay đổi nội tiết ở nữ giới trong những giai đoạn như dậy thì, mang thai hoặc mãn kinh cũng làm nướu nhạy cảm hơn bình thường. Những yếu tố này đều khiến viêm tăng mạnh dù bạn vẫn vệ sinh răng mỗi ngày.
3. Ảnh hưởng từ các bệnh lý toàn thân và thuốc điều trị
Một số bệnh như tiểu đường làm giảm sức đề kháng. Khi cơ thể khó kiểm soát đường huyết, khả năng lành thương của mô nướu giảm đi đáng kể. Một số loại thuốc điều trị dài ngày có thể gây khô miệng hoặc làm lợi dày lên, khiến vi khuẩn dễ bám vào hơn. Từ đó, tình trạng viêm dễ tái phát và tiến triển nhanh hơn.
IV. Các giai đoạn phát triển âm thầm của bệnh lý
Bệnh tiến triển qua từng giai đoạn từ nhẹ đến nặng. Viêm quanh răng thường bắt đầu bằng những thay đổi nhỏ ở nướu mà nhiều người không để tâm.
1. Giai đoạn viêm nướu nhẹ dễ bị bỏ qua
Ở giai đoạn đầu, nướu chỉ hơi đỏ hoặc hơi sưng và dễ chảy máu khi bạn chải răng. Hơi thở đôi khi có mùi nhẹ. Vì triệu chứng mờ nhạt nên đa số người bệnh chờ thêm vài ngày với hy vọng tự khỏi, vô tình tạo điều kiện cho vi khuẩn phát triển sâu hơn.
2. Giai đoạn viêm quanh răng sớm và hình thành túi nha chu
Khi nướu bắt đầu tách khỏi thân răng, một khoảng rỗng hình thành bên dưới. Khoảng này dễ giữ lại thức ăn, tạo môi trường thuận lợi cho vi khuẩn phát triển thành túi nha chu. Xương giữa các răng bắt đầu tiêu nhưng chưa gây lung lay rõ ràng nên khó nhận ra sớm.

3. Giai đoạn nặng gây tiêu xương và lung lay răng
Khi vi khuẩn xâm nhập sâu hơn, phần xương ổ răng bị tiêu dần. Răng mất điểm tựa, trở nên lung lay khi nhai. Nếu không can thiệp, răng có thể rơi ra hoặc buộc phải nhổ để tránh tổn thương lan rộng.
Bảng tóm tắt tiến triển bệnh qua các giai đoạn
| Giai đoạn | Biểu hiện chính | Mức độ ảnh hưởng |
|---|---|---|
| Viêm nướu nhẹ | Nướu đỏ, chảy máu khi chải răng | Ảnh hưởng bề mặt |
| Viêm quanh răng sớm | Tụt nướu, hình thành túi nha chu | Tiêu xương nhẹ |
| Giai đoạn nặng | Răng lung lay, xương tiêu nhiều | Nguy cơ mất răng |
V. Biến chứng nguy hiểm nếu không can thiệp kịp thời
Nếu không điều trị đúng lúc, viêm quanh răng không chỉ ảnh hưởng đến răng mà còn tạo ra nhiều hệ lụy kéo dài. Bệnh dai dẳng có thể làm giảm chất lượng sống và gây ảnh hưởng toàn thân.
1. Nguy cơ mất răng vĩnh viễn và suy giảm chức năng nhai
Viêm quanh răng là một trong những nguyên nhân hàng đầu khiến người trưởng thành mất răng. Khi phần xương nâng đỡ bị tiêu, răng không thể đứng vững và dễ rơi vào tình trạng lung lay. Mất răng làm giảm khả năng nhai, thay đổi cấu trúc khuôn mặt và có thể khiến xương hàm tiêu nhanh hơn ở vị trí mất răng.

2. Mối liên hệ mật thiết với sức khỏe toàn thân
Vi khuẩn từ vùng nướu bị viêm có thể đi vào máu và gây ảnh hưởng đến các cơ quan khác. Một số nghiên cứu cho thấy bệnh nha chu có liên quan đến nguy cơ tim mạch, đột quỵ và tình trạng khó kiểm soát đường huyết ở người bị tiểu đường. Phụ nữ mang thai khi bị viêm nướu nặng dễ gặp nguy cơ sinh non hoặc trẻ nhẹ cân hơn so với người khỏe mạnh.
3. Tác động lâu dài đến chất lượng cuộc sống
Nướu viêm khiến hơi thở có mùi, ảnh hưởng đến giao tiếp hằng ngày và sự tự tin. Khi răng đau hoặc lung lay, bạn sẽ ngại ăn các món cứng hoặc dai, từ đó giảm chất lượng bữa ăn. Những ảnh hưởng kéo dài này tạo cảm giác khó chịu và giảm chất lượng sống nếu không được điều trị sớm.
VI. Phương pháp điều trị viêm quanh răng chuẩn y khoa
Nhiều trường hợp có thể kiểm soát được viêm quanh răng nếu điều trị đúng phương pháp và kết hợp thay đổi thói quen chăm sóc răng miệng. Tùy vào mức độ, bác sĩ sẽ lựa chọn hướng xử lý phù hợp.
1. Điều trị không phẫu thuật loại bỏ tác nhân gây bệnh
Ở giai đoạn chưa quá nặng, bác sĩ thường làm sạch mảng bám và vôi răng bằng kỹ thuật chuyên sâu để loại bỏ nguồn vi khuẩn gây viêm. Mặt gốc răng cũng được xử lý để giảm độ nhám giúp vi khuẩn khó bám trở lại. Trường hợp vi khuẩn hoạt động mạnh, bác sĩ có thể kê thêm thuốc kháng sinh dùng tại chỗ hoặc dạng uống để kiểm soát nhiễm trùng.
2. Can thiệp phẫu thuật tái tạo mô và xương
Khi túi nha chu quá sâu, việc làm sạch thông thường không còn hiệu quả. Phương pháp phẫu thuật sẽ giúp bác sĩ mở rộng vùng nướu, làm sạch sâu bên dưới và loại bỏ ổ vi khuẩn. Một số trường hợp mất nhiều mô nướu hoặc xương, bác sĩ có thể áp dụng kỹ thuật ghép mô hoặc ghép xương giúp phục hồi cấu trúc bị phá hủy.
3. Quy trình duy trì và chăm sóc sau điều trị tích cực
Sau điều trị, bạn cần duy trì lịch tái khám định kỳ để kiểm soát túi nha chu không tái phát. Việc vệ sinh răng miệng hằng ngày cũng phải được điều chỉnh theo hướng dẫn, bao gồm cách chải răng, dùng chỉ nha khoa và lựa chọn nước súc miệng phù hợp. Giai đoạn duy trì đóng vai trò quan trọng giúp giữ kết quả điều trị ổn định lâu dài.
Kết luận
Việc hiểu rõ sự khác biệt giữa các giai đoạn bệnh và nhận biết sớm những thay đổi nhỏ ở nướu sẽ giúp bạn chủ động hơn trong việc bảo vệ răng thật. Những dấu hiệu như nướu chảy máu, tụt xuống hoặc hơi thở có mùi không nên xem nhẹ vì có thể là dấu hiệu ban đầu của viêm quanh răng. Khi bạn xử lý kịp thời và chăm sóc đúng cách, nướu sẽ ổn định hơn và nguy cơ mất răng giảm đi đáng kể.
Duy trì thói quen vệ sinh răng miệng đều đặn, thăm khám định kỳ và theo dõi sức khỏe tổng thể là nền tảng để giữ răng chắc khỏe lâu dài. Nếu bạn đã gặp khó chịu ở nướu hoặc nghi ngờ bệnh tiến triển sâu, hãy trao đổi với bác sĩ chuyên môn để được đánh giá đúng tình trạng. Một bước can thiệp sớm sẽ giúp bạn giữ được nụ cười khỏe mạnh và tự tin mỗi ngày.
Thông tin liên hệ bác sĩ Quân:
Địa chỉ: 35-37 Nguyễn Thị Thập, Q. 7, Tp HCM, Việt Nam
Điện thoại: 078 751 5858
Email:
Website: https://drtadongquan.com
Facebook: Bác Sĩ Quân
Bạn có thể đặt lịch tư vấn trực tiếp để được bác sĩ thăm khám, đánh giá tình trạng răng miệng cụ thể và đưa ra phương án điều trị phù hợp nhất.
Tụt nướu: Nguy cơ lớn từ một vấn đề nhỏ – Xem ngay!