Chảy máu răng miệng là tình trạng nhiều người gặp phải nhưng thường bị xem nhẹ. Thực tế, hiện tượng này có thể liên quan đến viêm nướu, bệnh nha chu hoặc các vấn đề sức khỏe toàn thân. Hiểu rõ nguyên nhân giúp bạn chủ động bảo vệ răng nướu và sức khỏe lâu dài.
I. Nguyên nhân phổ biến dẫn đến tình trạng chảy máu răng miệng
Tình trạng chảy máu răng miệng thường không xuất hiện ngẫu nhiên mà là hệ quả của nhiều yếu tố kết hợp. Việc nhận diện đúng nguyên nhân giúp bạn chủ động kiểm soát và ngăn tình trạng này tiến triển nghiêm trọng hơn.
1. Mảng bám và cao răng tích tụ lâu ngày
Mảng bám vi khuẩn hình thành sau mỗi bữa ăn nếu răng không được làm sạch kỹ. Khi tích tụ đủ lâu, mảng bám khoáng hóa thành cao răng bám chặt ở cổ răng và dưới nướu. Cao răng gây kích ứng mô nướu, làm nướu sưng đỏ và dễ chảy máu khi chải răng.

2. Viêm nướu và bệnh nha chu tiến triển
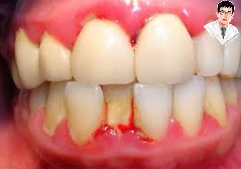
Viêm nướu là nguyên nhân phổ biến nhất gây chảy máu răng miệng khi đánh răng hoặc ăn nhai. Nếu không điều trị sớm, viêm nướu có thể tiến triển thành viêm nha chu, làm tổn thương xương ổ răng và dây chằng quanh răng. Khi đó, chảy máu xảy ra thường xuyên hơn và đi kèm nguy cơ lung lay răng.
3. Thói quen chăm sóc răng miệng chưa đúng
Sử dụng bàn chải quá cứng hoặc chải răng với lực mạnh dễ gây trầy xước nướu. Việc dùng tăm tre xỉa răng cũng làm tổn thương mô mềm quanh chân răng. Những thói quen này lặp lại hàng ngày khiến nướu yếu dần và dễ chảy máu.
Xem thêm: Viêm Lợi Chảy Máu: Nguyên Nhân và Cách Khắc Phục
II. Các vấn đề sức khỏe liên quan đến chảy máu răng miệng
Không chỉ là vấn đề tại khoang miệng, chảy máu răng miệng còn có thể phản ánh những rối loạn sức khỏe bên trong cơ thể. Việc theo dõi tần suất và mức độ chảy máu giúp phát hiện sớm các nguy cơ tiềm ẩn.
1. Thiếu hụt vitamin và khoáng chất
Thiếu vitamin C làm thành mạch yếu, dễ vỡ, trong khi thiếu vitamin K ảnh hưởng đến cơ chế đông máu. Những thiếu hụt này khiến nướu dễ chảy máu dù chỉ chịu tác động nhẹ. Chế độ ăn nghèo dinh dưỡng trong thời gian dài làm tình trạng này kéo dài hơn.

2. Thay đổi nội tiết và bệnh lý toàn thân
Phụ nữ mang thai hoặc người có rối loạn nội tiết thường nhạy cảm hơn với vi khuẩn răng miệng. Ngoài ra, các bệnh lý như tiểu đường có thể làm giảm khả năng lành thương của nướu. Khi đó, chảy máu răng miệng có xu hướng xảy ra thường xuyên và khó dứt điểm nếu không kiểm soát tốt bệnh nền.
3. Tác động của thuốc và yếu tố miễn dịch
Một số loại thuốc ảnh hưởng đến đông máu hoặc miễn dịch có thể làm nướu dễ tổn thương. Người có hệ miễn dịch suy giảm cũng dễ bị viêm nướu kéo dài. Đây là lý do tình trạng chảy máu cần được theo dõi nghiêm túc thay vì bỏ qua.
| Yếu tố sức khỏe | Mức độ ảnh hưởng đến nướu |
|---|---|
| Thiếu vitamin C, K | Làm mạch máu dễ vỡ |
| Rối loạn nội tiết | Tăng phản ứng viêm |
| Bệnh tiểu đường | Giảm khả năng lành thương |
| Suy giảm miễn dịch | Viêm nướu kéo dài |
III. Vai trò của phục hình răng sứ trong kiểm soát chảy máu răng miệng
Trong một số trường hợp, chảy máu răng miệng liên quan trực tiếp đến răng hư tổn, mão răng cũ hoặc khớp cắn sai lệch. Phục hình đúng kỹ thuật giúp loại bỏ các yếu tố gây kích ứng nướu và hỗ trợ duy trì môi trường khoang miệng ổn định.
1. Khắc phục răng vỡ, răng mòn gây đọng mảng bám
Răng sứ được thiết kế ôm sát cùi răng giúp loại bỏ các cạnh sắc và khe hở dễ giắt thức ăn. Khi bề mặt răng trơn láng, mảng bám khó tích tụ hơn. Điều này giúp giảm nguy cơ viêm nướu và hạn chế chảy máu tái phát.

2. Cải thiện độ khít sát và bảo vệ viền nướu
Phục hình chính xác giúp mão răng sát khít với đường viền nướu, không tạo khoảng trống cho vi khuẩn phát triển. Viền nướu được bảo vệ tốt sẽ duy trì màu hồng tự nhiên và ít bị kích ứng khi ăn nhai.
3. Hỗ trợ duy trì sức khỏe răng nướu lâu dài
Khi chức năng ăn nhai và khớp cắn được phục hồi ổn định, áp lực lên nướu được phân bố đều hơn. Đây là yếu tố quan trọng giúp kiểm soát chảy máu răng miệng trong quá trình sử dụng lâu dài, đặc biệt với người từng có tiền sử viêm nướu.
IV. Phân biệt chảy máu răng miệng sinh lý và bệnh lý
Không phải mọi trường hợp chảy máu răng miệng đều mang ý nghĩa bệnh lý nghiêm trọng. Việc phân biệt đúng giúp bạn tránh lo lắng không cần thiết và có hướng xử lý phù hợp.
1. Dấu hiệu chảy máu mang tính sinh lý
Chảy máu nhẹ có thể xảy ra khi bạn mới thay bàn chải cứng hơn hoặc chải răng quá mạnh. Máu thường xuất hiện ít, tự hết nhanh và không kèm đau hay sưng nướu. Trong trường hợp này, điều chỉnh thói quen chăm sóc răng miệng thường giúp cải thiện rõ rệt.

2. Dấu hiệu chảy máu liên quan bệnh lý
Khi chảy máu răng miệng xảy ra thường xuyên, kèm nướu sưng đỏ, hơi thở có mùi hoặc đau âm ỉ, đây là dấu hiệu cảnh báo viêm nướu hoặc nha chu. Máu có thể xuất hiện ngay cả khi không có tác động mạnh. Tình trạng này cần được thăm khám để xác định nguyên nhân chính xác.
3. Yếu tố giúp nhận biết sớm mức độ nguy cơ
Quan sát tần suất chảy máu, màu sắc nướu và cảm giác khi ăn nhai là cách đơn giản để tự theo dõi tại nhà. Nếu tình trạng kéo dài quá vài ngày, bạn không nên trì hoãn việc kiểm tra chuyên môn.
| Tiêu chí | Sinh lý | Bệnh lý |
|---|---|---|
| Tần suất | Thỉnh thoảng | Thường xuyên |
| Lượng máu | Ít | Nhiều hơn |
| Tình trạng nướu | Hồng, không sưng | Đỏ, sưng, dễ đau |
| Mùi miệng | Bình thường | Dễ xuất hiện |
V. Khi nào cần can thiệp y tế để kiểm soát chảy máu răng miệng
Không phải lúc nào chảy máu răng miệng cũng tự cải thiện bằng chăm sóc tại nhà. Việc xác định đúng thời điểm cần can thiệp y tế giúp ngăn biến chứng về sau.
1. Chảy máu kéo dài dù đã vệ sinh đúng cách
Nếu bạn đã điều chỉnh cách chải răng, dùng chỉ nha khoa nhưng nướu vẫn chảy máu, đây là dấu hiệu cần được đánh giá chuyên sâu. Nguyên nhân có thể nằm ở cao răng dưới nướu hoặc viêm nha chu tiềm ẩn.

2. Chảy máu kèm đau, sưng hoặc lung lay răng
Tình trạng chảy máu răng miệng kèm đau nhức hoặc răng có cảm giác lung lay cho thấy mô nâng đỡ răng đang bị ảnh hưởng. Can thiệp sớm giúp hạn chế nguy cơ mất răng và tổn thương xương ổ răng.
3. Chảy máu liên quan bệnh nền toàn thân
Người mắc bệnh tiểu đường, rối loạn đông máu hoặc đang dùng thuốc đặc trị cần đặc biệt lưu ý. Khi nướu chảy máu nhiều hơn bình thường, việc trao đổi với bác sĩ giúp loại trừ các yếu tố toàn thân ảnh hưởng đến sức khỏe răng miệng.
VI. Các biện pháp hỗ trợ giảm chảy máu răng miệng tại nhà
Bên cạnh điều trị chuyên môn, chảy máu răng miệng có thể được kiểm soát tốt hơn nếu bạn duy trì các biện pháp hỗ trợ phù hợp trong sinh hoạt hằng ngày.
1. Điều chỉnh thói quen vệ sinh răng miệng
Sử dụng bàn chải lông mềm và chải răng theo chuyển động tròn giúp giảm tổn thương nướu. Kết hợp chỉ nha khoa hoặc máy tăm nước giúp làm sạch kẽ răng hiệu quả hơn mà không gây trầy xước.
2. Dinh dưỡng hỗ trợ sức khỏe nướu
Chế độ ăn giàu vitamin C và K góp phần tăng độ bền thành mạch và hỗ trợ quá trình đông máu. Uống đủ nước cũng giúp duy trì môi trường khoang miệng ổn định, hạn chế vi khuẩn phát triển.

3. Theo dõi và duy trì thói quen kiểm tra định kỳ
Dù áp dụng nhiều biện pháp tại nhà, chảy máu răng miệng vẫn cần được theo dõi định kỳ để phát hiện sớm bất thường. Việc kiểm tra răng miệng giúp làm sạch cao răng và đánh giá tình trạng nướu một cách khách quan.
| Biện pháp | Tác dụng chính |
|---|---|
| Bàn chải lông mềm | Giảm tổn thương nướu |
| Chỉ nha khoa | Hạn chế mảng bám kẽ răng |
| Bổ sung vitamin | Tăng độ bền mạch máu |
| Khám định kỳ | Phát hiện sớm viêm nướu |
Kết luận
Tình trạng chảy máu răng miệng không nên bị xem là hiện tượng nhỏ lẻ trong sinh hoạt hằng ngày. Qua việc phân tích nguyên nhân, mối liên hệ với sức khỏe toàn thân và các biện pháp kiểm soát, có thể thấy đây là dấu hiệu phản ánh trực tiếp tình trạng răng nướu cũng như thói quen chăm sóc của bạn. Khi được nhận diện sớm và xử lý đúng cách, nguy cơ tiến triển thành viêm nha chu hay mất răng hoàn toàn có thể được hạn chế.
Việc duy trì vệ sinh răng miệng đúng cách, kết hợp theo dõi các biểu hiện bất thường và thăm khám định kỳ giúp bạn kiểm soát tốt chảy máu răng miệng trong dài hạn. Với những trường hợp liên quan đến răng hư tổn hoặc khớp cắn sai lệch, can thiệp phục hình đúng kỹ thuật sẽ góp phần bảo vệ mô nướu và ổn định chức năng ăn nhai.
Thông tin liên hệ bác sĩ Quân:
Địa chỉ: 35-37 Nguyễn Thị Thập, Q. 7, Tp HCM, Việt Nam
Điện thoại: 078 751 5858
Email:
Website: https://drtadongquan.com
Facebook: Bác Sĩ Quân
Bạn có thể đặt lịch tư vấn trực tiếp để được bác sĩ thăm khám, đánh giá tình trạng răng miệng cụ thể và đưa ra phương án điều trị phù hợp nhất.
Tụt nướu: Nguy cơ lớn từ một vấn đề nhỏ – Xem ngay!