Không có điều trị y khoa nào có tỷ lệ thành công 100%. Phẫu thuật ghép mô liên kết để điều trị tụt nướu cũng có một số biến chứng nhất định, bao gồm:

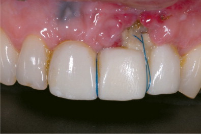
Một trường hợp ghép nướu không thành công hoàn toàn do bị lộ mảnh ghép
-
Đau và sưng: Đau và sưng là phản ứng thường gặp sau phẫu thuật ghép mô liên kết. Phần mô được lấy từ vòm miệng (palate) có thể gây đau và khó chịu trong vài ngày đầu. Hoặc bệnh nhân có thể cảm thấy rát ở vị trí lấy nướu nếu vị trí này bị lộ ra môi trường miệng trong giai đoạn sớm. Tuy nhiên đây là biến chứng không nguy hiểm.
-
Chảy máu: Khu vực ghép và khu vực lấy mô có thể bị chảy máu, đặc biệt là vùng vòm miệng, do nơi này có nhiều mạch máu (động mạch khẩu cái lớn). Nếu chảy máu không ngừng, có thể cần can thiệp.
-
Nhiễm trùng: Khu vực ghép mô có nguy cơ nhiễm trùng nếu không được giữ vệ sinh tốt hoặc không được chăm sóc đúng cách. Biến chứng này rất hiếm khi xảy ra
-
Mất mô ghép: Nếu mô ghép không được cấp máu đủ hoặc không kết hợp tốt với mô tại vị trí ghép, có nguy cơ mô ghép bị tiêu đi hoặc không lành hẳn. Điều này có thể gây tái phát tụt nướu. Nếu BS tay nghề không cao và không đủ kinh nghiệm, hoặc trong một số trường hợp quá phức tạp hay chẩn đoạn sai nguyên nhân, tình trạng tụt nướu có thể diễn ra nghiêm trọng hơn, Khi đó, việc ghép lại là cần thiết
-
Cảm giác bất thường: Việc lấy mô từ vòm miệng có thể gây mất cảm giác hoặc thay đổi cảm giác ở vùng này, mặc dù thường sẽ phục hồi sau vài tuần đến vài tháng.
-
Sẹo và vấn đề thẩm mỹ: Ở một số trường hợp, mô ghép có thể để lại sẹo hoặc tạo ra kết quả thẩm mỹ không như mong muốn.
-
Tái phát tụt nướu: Nếu không chăm sóc đúng cách sau phẫu thuật hoặc có các yếu tố nguy cơ như lực cắn quá mức hay vệ sinh không tốt, có thể xảy ra tụt nướu trở lại.
Để giảm thiểu các biến chứng, bệnh nhân cần tuân thủ chỉ dẫn chăm sóc sau phẫu thuật của bác sĩ và duy trì vệ sinh răng miệng tốt.