Viêm lợi quanh implant là tình trạng thường gặp sau khi cấy ghép răng, nếu không được phát hiện và xử lý kịp thời có thể gây mất trụ implant. Bài viết sẽ giúp bạn nhận diện sớm các dấu hiệu, nguyên nhân, cách điều trị và phòng tránh viêm lợi quanh implant hiệu quả nhất.
I. Đừng Bỏ Qua Tình Trạng Lợi Sưng Sau Khi Trồng Răng
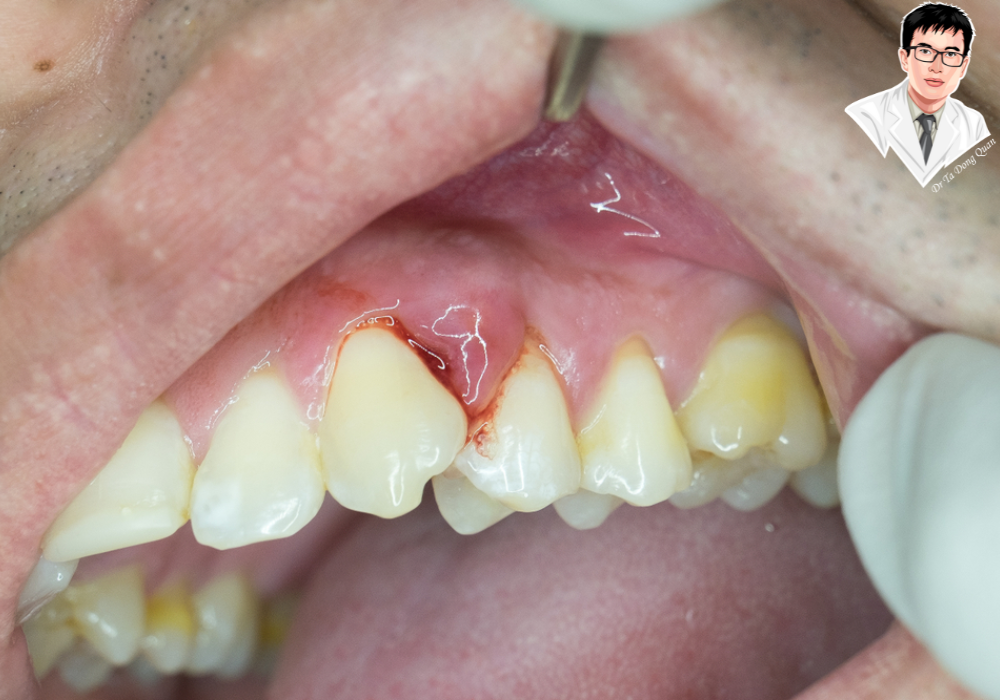
Hiện tượng lợi sưng: bình thường hay cảnh báo nguy hiểm?
Tình trạng lợi sưng sau khi trồng răng là điều khá phổ biến, nhưng cũng có thể là biểu hiện sớm của viêm lợi quanh implant. Đây là một dạng viêm nhiễm mô nướu xảy ra xung quanh trụ răng nhân tạo, nếu không được theo dõi kỹ lưỡng có thể dẫn đến tiêu xương và mất implant.
Tình trạng viêm lợi quanh implant xuất hiện khi nào?
Thường trong tuần đầu sau cấy ghép, nếu lợi sưng đi kèm đau, có mùi hôi hay chảy mủ, nguy cơ mắc viêm lợi quanh implant là rất cao. Việc nhầm lẫn giữa sưng sinh lý và viêm bệnh lý khiến nhiều người chủ quan, làm chậm quá trình điều trị.
Những rủi ro nếu bỏ qua viêm lợi quanh implant
Khi viêm lợi quanh implant phát triển nặng, bệnh nhân có thể gặp tiêu xương, trụ lung lay, thậm chí mất implant hoàn toàn. Đây là biến chứng nghiêm trọng, tốn kém thời gian và chi phí điều trị.
Cách phòng ngừa sớm viêm lợi quanh implant
Đừng bỏ qua những dấu hiệu bất thường như lợi sưng kéo dài, chảy máu khi chải răng hay hơi thở có mùi. Việc tái khám định kỳ, giữ vệ sinh tốt sẽ giúp giảm đáng kể nguy cơ viêm lợi quanh implant.
Xem thêm: Lợi sưng sau khi trồng răng: Khi nào cần gặp bác sĩ?
II. Hiểu Rõ Quá Trình Lành Thương Sau Khi Trồng Răng Implant
Cấu trúc implant và phản ứng lành thương
Sau khi đặt trụ, lợi sưng sau khi trồng răng là phản ứng viêm sinh lý bình thường. Trụ implant đóng vai trò như một chân răng thật, đòi hỏi mô xương và mô mềm xung quanh thích nghi và phục hồi trong vài tuần đầu.
Diễn tiến của viêm lợi quanh implant nếu không điều trị
Ban đầu, viêm lợi quanh implant chỉ ảnh hưởng đến mô mềm, nhưng nếu để lâu, viêm lan xuống mô xương quanh trụ. Lúc này, điều trị sẽ phức tạp hơn nhiều, có thể phải tháo bỏ implant.
Những yếu tố dễ dẫn đến viêm lợi quanh implant
Việc vệ sinh kém, hút thuốc, bệnh lý nướu hoặc không tuân thủ chỉ dẫn của bác sĩ là những nguyên nhân phổ biến gây viêm lợi quanh implant. Cần đặc biệt chú ý trong 1–3 tháng đầu sau cấy ghép.
Cách chăm sóc tại nhà để phòng viêm lợi quanh implant
Sử dụng bàn chải mềm, nước súc miệng chuyên dụng và tái khám đúng lịch là chìa khóa ngăn chặn viêm lợi quanh implant. Bên cạnh đó, cần tránh ăn đồ cứng hoặc quá nóng trong thời gian đầu.
Xem thêm: Lợi Bị Viêm Sưng: Triệu Chứng, Nguyên Nhân Và Cách Xử Lý
III. Khi Nào Lợi Sưng Là Cảnh Báo Nguy Hiểm Cần Gặp Bác Sĩ?
Phân biệt viêm nhẹ và viêm lợi quanh implant nguy hiểm
Không phải tình trạng sưng nào cũng đáng lo. Tuy nhiên, khi có dấu hiệu chảy mủ, lợi tím tái, trụ lung lay thì bạn cần thăm khám gấp – vì đó là biểu hiện của viêm lợi quanh implant nặng.
Hậu quả nghiêm trọng của viêm lợi quanh implant nếu không xử lý
Khi không được can thiệp, viêm lợi quanh implant sẽ phá hủy cấu trúc nâng đỡ trụ răng, gây mất ổn định và có thể dẫn đến thất bại toàn bộ ca cấy ghép. Việc điều trị lúc này sẽ phức tạp và tốn kém hơn nhiều.
Đừng tự điều trị viêm lợi quanh implant tại nhà
Tuyệt đối không dùng thuốc giảm đau hay mẹo dân gian để xử lý viêm lợi quanh implant. Điều này chỉ làm che giấu triệu chứng chứ không loại bỏ được vi khuẩn gây viêm.
Khi nào cần đến nha khoa để kiểm tra viêm lợi quanh implant?
Nếu bạn thấy lợi sưng không giảm sau 5–7 ngày, xuất hiện mùi hôi, đau âm ỉ, hãy đến nha khoa ngay để được bác sĩ kiểm tra. Càng phát hiện sớm viêm lợi quanh implant, khả năng giữ được implant càng cao.
IV. Những Nguyên Nhân Chính Gây Lợi Sưng Và Viêm Quanh Implant
Vệ sinh răng miệng không đúng cách
Vệ sinh răng miệng kém là nguyên nhân hàng đầu dẫn đến viêm lợi quanh implant. Khi trụ implant đã được cấy ghép, vùng lợi xung quanh cần được chăm sóc đặc biệt bằng bàn chải kẽ, chỉ nha khoa và nước súc miệng sát khuẩn. Nếu để mảng bám tích tụ lâu ngày, vi khuẩn sẽ xâm nhập gây ra sưng đỏ, đau nhức và dẫn đến viêm lợi quanh implant. Nhiều trường hợp người bệnh chủ quan, khiến tình trạng sưng ban đầu trở thành viêm nhiễm nghiêm trọng.
Sai sót trong kỹ thuật cấy ghép hoặc vật liệu không đạt chuẩn
Một nguyên nhân khác gây ra viêm lợi quanh implant là sai sót trong thao tác phẫu thuật hoặc sử dụng trụ implant không đảm bảo chất lượng. Trụ đặt sai vị trí, quá sát mô mềm hoặc lệch trục có thể tạo áp lực và khiến vùng lợi bị kích ứng kéo dài. Ngoài ra, vật liệu kém tương thích sinh học cũng làm tăng nguy cơ viêm kéo dài, trở thành viêm lợi quanh implant khó kiểm soát. Vì vậy, lựa chọn nha khoa uy tín và bác sĩ tay nghề cao là điều tiên quyết.

| X-quang implant Zygoma hai bên – phù hợp với bệnh nhân tiêu xương hàm nặng. |
Bệnh lý nền và các yếu tố nguy cơ từ lối sống
Các bệnh lý như tiểu đường, loãng xương, hoặc thói quen hút thuốc, ăn đồ cay nóng đều là yếu tố làm tăng tỷ lệ mắc viêm lợi quanh implant. Khi hệ miễn dịch suy yếu, cơ thể sẽ khó lành thương, tạo điều kiện cho vi khuẩn tấn công vùng quanh trụ. Việc điều chỉnh lối sống và chế độ ăn uống hợp lý là cách quan trọng để phòng ngừa viêm và bảo vệ kết quả cấy ghép implant lâu dài.
V. Viêm Quanh Implant: Các Giai Đoạn Và Biến Chứng Nguy Hiểm
Giai đoạn đầu: Viêm niêm mạc quanh implant (mucositis)
Ở giai đoạn này, dấu hiệu viêm lợi quanh implant thường chưa rõ rệt, chỉ xuất hiện lợi sưng nhẹ, đỏ và đôi khi chảy máu khi đánh răng. Đây là viêm mô mềm chưa ảnh hưởng đến xương hàm, nên hoàn toàn có thể phục hồi nếu được làm sạch chuyên sâu. Tuy nhiên, nếu không điều trị kịp thời, viêm lợi quanh implant sẽ chuyển biến xấu nhanh chóng.

Giai đoạn tiến triển: Viêm quanh implant (peri-implantitis)
Viêm niêm mạc nếu để kéo dài sẽ dẫn đến viêm lợi quanh implant giai đoạn nặng, tức viêm lan xuống xương. Lúc này, bệnh nhân có thể thấy lợi sưng to, chảy mủ, implant lung lay. Đây là biến chứng nghiêm trọng, cần can thiệp phẫu thuật để làm sạch và có thể ghép xương để tái tạo cấu trúc nâng đỡ.
Biến chứng cuối cùng: Mất implant và ảnh hưởng sức khỏe toàn thân
Khi viêm lợi quanh implant không được điều trị triệt để, trụ sẽ mất liên kết với xương và buộc phải tháo bỏ. Điều này ảnh hưởng nghiêm trọng đến thẩm mỹ, chức năng ăn nhai, và có thể gây lan nhiễm sang các vùng mô lân cận. Thậm chí, viêm nhiễm kéo dài còn làm suy giảm sức khỏe tổng thể và gia tăng chi phí phục hình sau này.
VI. Điều Trị Lợi Sưng Và Viêm Quanh Implant Hiệu Quả
Đ
Điều trị không phẫu thuật ở giai đoạn nhẹ
Ở giai đoạn nhẹ của viêm lợi quanh implant, bác sĩ sẽ chỉ định vệ sinh chuyên sâu quanh trụ implant, sử dụng thuốc kháng sinh hoặc nước súc miệng diệt khuẩn. Phương pháp này giúp kiểm soát vi khuẩn, giảm sưng và phục hồi mô nướu mà không cần can thiệp xâm lấn.
Can thiệp phẫu thuật khi có tiêu xương
Khi viêm lợi quanh implant kèm theo tiêu xương, cần phải tiến hành phẫu thuật làm sạch bề mặt trụ, loại bỏ mô viêm và ghép xương nếu cần thiết. Phẫu thuật nên được thực hiện tại nha khoa có chuyên môn implant để đảm bảo độ chính xác và phục hồi tốt.
Lựa chọn nha khoa uy tín để điều trị
Việc điều trị viêm lợi quanh implant hiệu quả phụ thuộc rất nhiều vào tay nghề bác sĩ và chất lượng thiết bị. Hãy chọn cơ sở có đội ngũ bác sĩ chuyên sâu về implant, trang thiết bị hiện đại và quy trình chăm sóc sau điều trị rõ ràng để tối ưu kết quả phục hồi.
VII. Chăm Sóc Và Phòng Ngừa Viêm Lợi Quanh Implant Đúng Cách
Vệ sinh răng miệng hàng ngày chuẩn y khoa
Để phòng tránh viêm lợi quanh implant, bạn cần duy trì vệ sinh răng miệng thật tốt: đánh răng nhẹ nhàng với bàn chải mềm, dùng chỉ nha khoa và bàn chải kẽ, kết hợp nước súc miệng sát khuẩn. Thói quen chăm sóc đúng cách sẽ giảm tối đa nguy cơ lợi sưng và viêm sau cấy ghép.

Chải răng nhẹ nhàng với bàn chải mềm – bước đầu tiên để chăm sóc đúng cách!
Chế độ ăn uống và thói quen sinh hoạt khoa học
Ăn thực phẩm mềm, giàu dinh dưỡng và tránh xa các món cay nóng, cứng là điều cần làm để hạn chế viêm lợi quanh implant. Đồng thời, tuyệt đối không hút thuốc lá – một yếu tố hàng đầu khiến implant thất bại và tăng nguy cơ viêm nặng.
Tái khám định kỳ để phát hiện sớm viêm quanh trụ
Dù không có dấu hiệu rõ ràng, bạn vẫn nên tái khám định kỳ 3–6 tháng/lần. Bác sĩ sẽ kiểm tra trụ và vùng lợi xung quanh để phát hiện sớm nguy cơ viêm lợi quanh implant, từ đó can thiệp kịp thời, bảo vệ sức khỏe răng miệng lâu dài.
VIII. Hỏi Đáp Nhanh Về Lợi Sưng Sau Khi Trồng Răng
Sưng bao lâu thì bình thường?
Thông thường, lợi sưng kéo dài từ 3 đến 7 ngày là bình thường. Tuy nhiên, nếu sưng không giảm, kèm đau nhức hoặc mủ thì có thể bạn đang bị viêm lợi quanh implant và cần thăm khám gấp.
Lợi sưng có tự khỏi không?
Lợi sưng nhẹ có thể tự khỏi, nhưng nếu nguyên nhân là viêm lợi quanh implant, việc chờ đợi sẽ khiến tình trạng chuyển nặng, ảnh hưởng đến trụ implant và cả sức khỏe tổng thể.
Tác hại của hút thuốc đối với implant?
Hút thuốc làm giảm lưu thông máu, gây chậm lành thương và tăng nguy cơ viêm lợi quanh implant. Bệnh nhân hút thuốc có tỷ lệ thất bại cấy ghép cao gấp 2–3 lần so với người không hút.

Hình ảnh một phòng khám nha khoa hiện đại, sạch sẽ, đầy đủ trang thiết bị tiên tiến để cắt lợi
Kết Luận: Chủ Động Bảo Vệ Nụ Cười Cùng Implant Khỏe Mạnh
Tình trạng lợi sưng sau khi trồng răng có thể là phản ứng lành tính hoặc dấu hiệu viêm nhiễm nguy hiểm. Việc nhận biết sớm, điều trị đúng và chăm sóc cẩn thận sẽ giúp bạn bảo vệ trụ implant, duy trì sức khỏe răng miệng và nụ cười tự tin lâu dài.
Hãy nhớ, implant không phải là “răng vĩnh viễn” nếu bạn chủ quan. Tái khám định kỳ, vệ sinh đúng cách và lắng nghe cơ thể là những yếu tố không thể bỏ qua. Nếu bạn đang gặp tình trạng lợi sưng sau khi trồng răng, đừng chần chừ – hãy đến nha sĩ để được tư vấn và điều trị kịp thời.
Thông tin liên hệ bác sĩ Quân:
Địa chỉ: 35-37 Nguyễn Thị Thập, Q. 7, Tp HCM, Việt Nam
Điện thoại: 078 751 5858
Email:
Website: https://drtadongquan.com
Facebook: Bác Sĩ Quân
Bạn có thể đặt lịch tư vấn trực tiếp để được bác sĩ thăm khám, đánh giá tình trạng răng miệng cụ thể và đưa ra phương án điều trị phù hợp nhất.
Tụt nướu: Nguy cơ lớn từ một vấn đề nhỏ – Xem ngay!