Quy trình lên kế hoạch điều trị cắt nướu răng kỹ thuật số hiện đại mang lại sự chính xác cao và tối ưu hóa hiệu quả điều trị. Quy trình này kết hợp công nghệ kỹ thuật số tiên tiến như quét 3D và phần mềm mô phỏng để lập kế hoạch chi tiết. Dưới đây là các bước cụ thể trong quá trình này:
Khám và đánh giá ban đầu bằng kỹ thuật số
- Quét răng 3D: Thay vì lấy dấu răng truyền thống, bác sĩ sẽ sử dụng máy quét 3D (intraoral scanner) để quét toàn bộ cấu trúc răng và nướu. Quá trình này nhanh chóng, không đau và cho hình ảnh chi tiết về vùng cần điều trị.
- Chụp X-quang kỹ thuật số hoặc CT scan: Công nghệ chụp ảnh 3D giúp bác sĩ thấy rõ vị trí của xương, mối quan hệ giữa răng và nướu, từ đó đánh giá được chiều cao, độ dày của xương hàm dưới nướu.
- Phân tích nụ cười kỹ thuật số: Sử dụng phần mềm phân tích nụ cười (smile design software), bác sĩ sẽ mô phỏng nụ cười của bạn khi cắt nướu, giúp đánh giá kết quả thẩm mỹ trước khi tiến hành điều trị.

Thiết kế nụ cười kỹ thuật số nhằm xác định số răng cần điều chỉnh nướu
Lập kế hoạch điều trị với công nghệ mô phỏng 3D
- Mô phỏng kết quả: Dựa trên dữ liệu từ quét răng 3D và phân tích X-quang, phần mềm sẽ mô phỏng vị trí của nướu sau khi cắt. Điều này giúp bác sĩ và bệnh nhân dễ dàng hình dung kết quả cuối cùng trước khi thực hiện phẫu thuật.
- Lên kế hoạch chi tiết: Bác sĩ sẽ dựa vào kết quả mô phỏng để quyết định chính xác độ dài của nướu cần cắt, điều chỉnh xương (nếu cần), và các chi tiết khác để đạt được kết quả thẩm mỹ tối ưu.
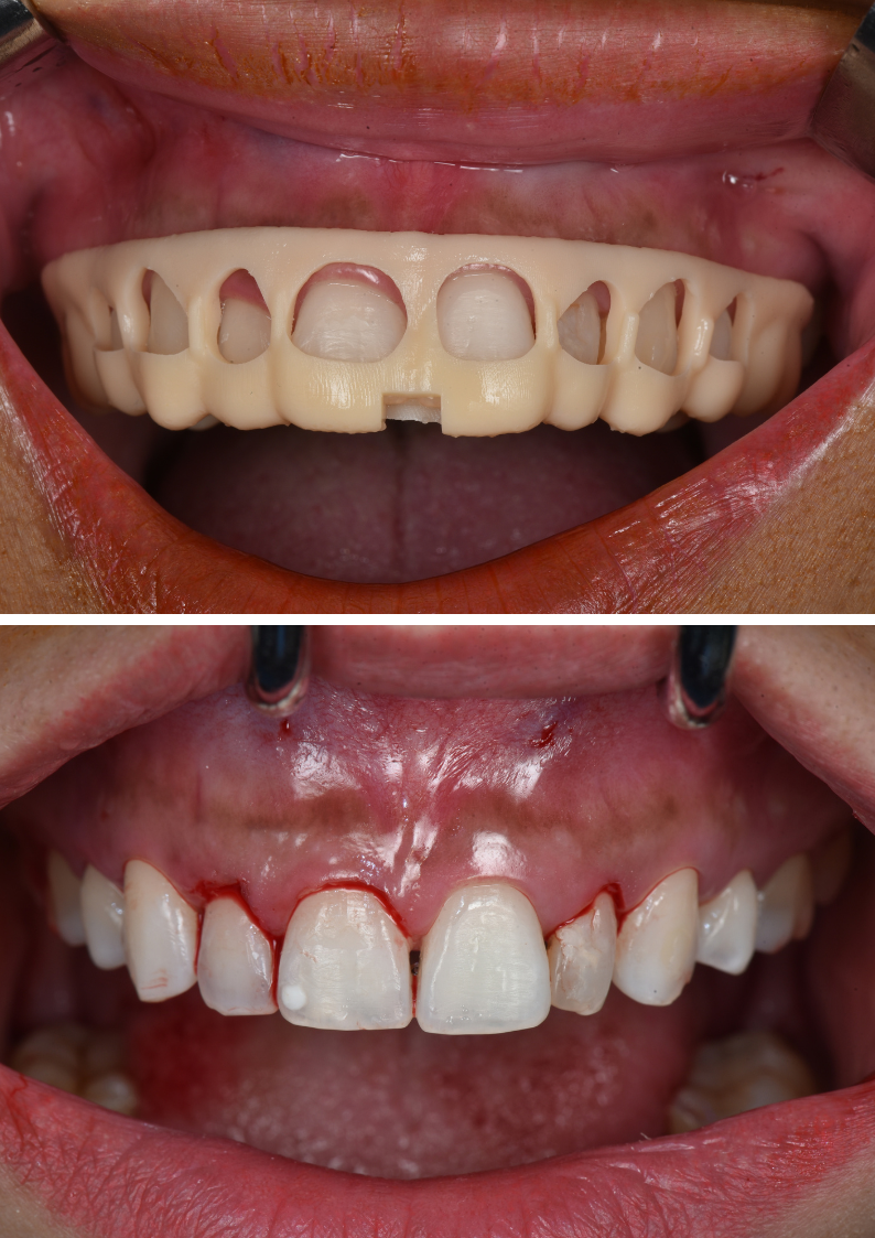
Thiết kế máng hướng dẫn phẫu thuật
- Sau khi lập kế hoạch, máng hướng dẫn phẫu thuật (surgical guide) sẽ được thiết kế bằng phần mềm dựa trên hình ảnh 3D của bệnh nhân. Máng này đảm bảo rằng bác sĩ thực hiện đúng chính xác từng đường cắt theo kế hoạch đã mô phỏng, giúp giảm thiểu sai lệch và tối ưu kết quả.

Máng hướng dẫn phẫu thuật được thiết kế dựa trên dữ liệu scan trong miệng và công nghệ in 3D
- Thực hiện điều trị
- Chuẩn bị và gây tê: Bác sĩ sẽ tiến hành gây tê cục bộ vùng nướu cần điều trị.
- Cắt nướu với sự hỗ trợ của máng hướng dẫn: Máng hướng dẫn phẫu thuật được đặt lên vùng răng cần điều trị để định vị đường cắt. Bác sĩ sẽ sử dụng dao phẫu thuật hoặc laser để thực hiện cắt nướu một cách chính xác, hạn chế chảy máu và tối ưu thẩm mỹ.
- Điều chỉnh xương nếu cần: Nếu xương hàm cần được điều chỉnh, kỹ thuật phẫu thuật xương cũng được thực hiện với sự hướng dẫn của máng.

Quy trình làm việc kỹ thuật số kết hợp Laser giúp phẫu thuật nướu trở nên đơn giản
Quy trình điều trị cắt nướu yêu cầu sự chính xác và kỹ thuật cao, giúp cải thiện nụ cười và tăng cường sự tự tin cho bệnh nhân.