Nướu thừa không chỉ gây vướng víu khi ăn nhai mà còn có thể gây viêm, hôi miệng và mất thẩm mỹ. Nhiều người băn khoăn nướu thừa có tự hết không và khi nào cần can thiệp. Bài viết này sẽ giải thích nguyên nhân, biểu hiện và thời điểm bạn nên điều trị để tránh biến chứng răng miệng kéo dài.
I. Nhận diện tình trạng nướu thừa và biểu hiện thường gặp
Khi nướu thừa phát triển dày bất thường, mô lợi có xu hướng che phủ thân răng, gây khó vệ sinh và dễ tạo mùi. Nếu không xử lý sớm, các túi giữ thức ăn dưới lợi sẽ làm tăng nguy cơ viêm và làm giảm thẩm mỹ khi cười.
1. Dấu hiệu nhận biết mô nướu tăng sinh
| Dấu hiệu | Biểu hiện |
|---|---|
| Mô lợi dày | Phủ che một phần thân răng |
| Màu đỏ sẫm | Dễ chảy máu khi chạm |
| Khó vệ sinh | Tăng tích tụ mảng bám |

2. Nướu che phủ răng gây mất thẩm mỹ
Phần lợi lộ ra nhiều làm răng trông ngắn hơn bình thường. Các hốc giữa lợi và răng dễ giữ lại thức ăn khiến hơi thở có mùi và tạo cảm giác miệng không sạch. Khi kéo dài, tình trạng này làm giảm sự tự tin trong giao tiếp.
3. Phân biệt với bệnh nha chu và áp xe
Áp xe lợi thường kèm túi mủ và đau nhói, khác với tăng sinh mô lợi. U lợi là khối tăng sinh khu trú và có thể cần xét nghiệm mô nếu có nghi ngờ. Việc phân biệt chính xác giúp bác sĩ chọn phương án điều trị đúng hướng.
Xem thêm: Điều trị sưng lợi đúng cách để tránh biến chứng nguy hiểm
II. Tại sao bạn bị nướu thừa? Các nguyên nhân phổ biến nhất
Khi nướu thừa xuất hiện kéo dài, nguyên nhân thường không chỉ do một yếu tố đơn lẻ mà là sự kết hợp giữa thói quen vệ sinh, nội tiết, thuốc đang dùng và cơ địa. Việc nhận ra nguyên nhân giúp bạn biết trường hợp nào có thể kiểm soát, trường hợp nào bắt buộc phải điều trị.
1. Viêm nướu mãn tính và vệ sinh răng miệng kém
Mảng bám tích tụ lâu ngày tạo điều kiện cho vi khuẩn hoạt động mạnh và gây kích thích mô lợi. Cơ thể đáp ứng bằng cách tăng sinh mô để bảo vệ, dẫn đến lợi dày lên bất thường. Nếu việc vệ sinh nhàm chán, qua loa, tình trạng sẽ tiến triển nặng dần.
| Yếu tố gây viêm | Tác động lên mô nướu |
|---|---|
| Mảng bám dày | Gây viêm kéo dài |
| Vôi răng không được lấy | Tăng kích thích mô lợi |
| Súc miệng không đều | Vi khuẩn dễ tích tụ |

2. Do cơ địa bẩm sinh hoặc yếu tố di truyền
Một số người có mô lợi phát triển mạnh từ nhỏ, dù vệ sinh khá tốt và không viêm. Đây là đặc điểm cơ địa nên rất dễ che thân răng và gây mất hài hòa tỷ lệ răng – lợi. Trong trường hợp này, đánh giá tỷ lệ răng/lợi và tạo hình lại nướu là giải pháp tối ưu.
3. Tác dụng phụ của một số loại thuốc điều trị
Một số nhóm thuốc như chống động kinh, thuốc ức chế miễn dịch hoặc điều trị tăng huyết áp có thể làm lợi dày rõ rệt. Khi nghi ngờ do thuốc, bác sĩ sẽ phối hợp chuyên khoa liên quan để cân nhắc giảm liều hoặc đổi sang nhóm phù hợp hơn, trước khi quyết định xử lý phần mô thừa.
III. Nướu thừa có tự hết không?
Khi nướu thừa đã hình thành rõ rệt, đa số trường hợp mô lợi sẽ không tự co lại. Nếu không loại bỏ nguyên nhân và xử lý phần mô đã dày, nướu thừa sẽ duy trì dai dẳng và tăng nguy cơ viêm nha chu về lâu dài.
1. Câu trả lời trực tiếp cho băn khoăn này
Mô lợi phì đại không tự biến mất nếu đã xơ hóa hoặc bị kích thích kéo dài. Việc kiểm soát viêm chỉ giúp bớt sưng, nhưng không làm thu nhỏ phần mô đã tăng sinh. Vì vậy, việc đánh giá và can thiệp đúng thời điểm sẽ giúp rút ngắn quá trình điều trị và hạn chế tái phát.

2. Các trường hợp hiếm khi mô nướu có thể tự co lại
Trường hợp nhẹ do viêm bề mặt có thể giảm sau khi cạo vôi và vệ sinh tốt. Khi mảng bám được kiểm soát, mô lợi bớt phù nề và săn chắc hơn. Tuy nhiên, mức cải thiện chỉ ở giới hạn nhất định và không thay thế được các thủ thuật xử lý chuyên sâu.
3. Nướu thừa kéo dài bao lâu nếu không điều trị
Nếu để tự nhiên, mô lợi sẽ tồn tại kéo dài và dần dần nặng hơn. Các túi giữ thức ăn sâu là môi trường cho vi khuẩn bám lại và gây mùi. Càng trì hoãn, khả năng viêm nha chu, tiêu xương ổ răng và lung lay răng càng cao.
IV. Những nguy cơ tiềm ẩn khi không điều trị nướu thừa kịp thời
Khi nướu thừa kéo dài, nguy cơ viêm nha chu và hôi miệng sẽ tăng theo thời gian. Các túi nướu sâu là nơi tích tụ thức ăn, tạo môi trường thuận lợi cho vi khuẩn phát triển và phá hủy mô nâng đỡ răng.
1. Gây khó khăn trong việc vệ sinh và dẫn đến hôi miệng
Phần mô lợi dư trùm lên thân răng làm bàn chải và chỉ nha khoa khó tiếp cận. Những mảnh thức ăn nhỏ bám lại lâu sẽ gây mùi khó chịu. Vi khuẩn mỗi ngày đều có cơ hội sinh sôi mạnh hơn, tạo viêm ngầm và làm hơi thở thiếu tự tin.
2. Tăng nguy cơ viêm lợi phì đại và mất răng
Viêm kéo dài là tiền đề cho tổn thương dây chằng nha chu và tiêu xương ổ răng. Khi xương yếu dần, răng trở nên lung lay. Nếu không xử lý, răng có thể phải nhổ bỏ vì không còn đủ mô nâng đỡ.

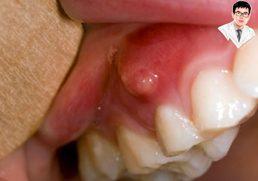
3. Hình thành cục thịt dư quanh răng gây đau nhức
Khi mô lợi tăng sinh quá mức, cục thịt dư có thể lộ rõ và va chạm trong lúc ăn nhai. Việc cắn lặp lại vào phần lợi này sẽ gây loét, đau và ảnh hưởng trực tiếp đến cảm giác ngon miệng. Điều này khiến chất lượng ăn uống và sinh hoạt bị giảm rõ rệt.
V. Khi nào cần cắt nướu thừa? Các dấu hiệu cảnh báo nên gặp nha sĩ
Khi nướu thừa bắt đầu ảnh hưởng tới ăn nhai, vệ sinh răng miệng và thẩm mỹ, bạn không nên chờ đợi vì mô lợi dày sẽ không tự co về mức bình thường. Việc đi kiểm tra sớm giúp xác định mức độ phì đại và lựa chọn hướng xử lý phù hợp.
| Tình huống | Có cần cắt hay chưa |
|---|---|
| Che phủ thân răng nhiều | Nên đánh giá cắt |
| Gây đau khi nhai | Cần cắt sớm |
| Chỉ sưng nhẹ do viêm bề mặt | Có thể theo dõi sau khi làm sạch |
| Do thuốc | Cần phối hợp đổi thuốc rồi mới cắt |
1. Khi mô nướu gây đau nhức và cản trở ăn nhai
Cảm giác vướng, đau khi cắn thức ăn là tín hiệu rõ ràng. Lực nhai tác động lên mô lợi phì đại có thể tạo các vết loét nhỏ. Nếu cố chịu đựng, tổn thương sẽ kéo dài và quá trình hồi phục sẽ chậm hơn nhiều.

2. Khi nướu sưng phồng và chảy máu thường xuyên
Nếu bạn đã chăm chỉ chải răng và dùng chỉ nha khoa nhưng nướu vẫn đỏ, sưng, chạm vào là chảy máu, tình trạng viêm có thể đã nằm sâu dưới mô lợi. Lúc này, việc làm sạch tại nhà không đủ, bạn cần làm sạch chuyên sâu dưới sự hỗ trợ của nha sĩ.
3. Khi muốn cải thiện thẩm mỹ cho nụ cười
Một số trường hợp lợi phì đại không đau nhưng che phủ thân răng nhiều làm răng trông ngắn và thiếu hài hòa. Cắt lợi là thủ thuật giúp tái lập tỷ lệ răng – lợi cân đối hơn. Đây là một trong những bước quan trọng giúp nụ cười trở nên cân xứng và tự tin hơn.
VI. Các phương pháp điều trị nướu thừa an toàn và hiệu quả hiện nay
Phương án xử lý nướu thừa sẽ được lựa chọn dựa trên mức độ phì đại, nguyên nhân và tình trạng mô lợi tại thời điểm thăm khám. Mỗi phương pháp có ưu điểm riêng và bác sĩ sẽ kết hợp điều trị tại phòng khám cùng chăm sóc tại nhà để tối ưu kết quả.
1. Điều trị bảo tồn và cạo vôi răng
Với trường hợp phì đại nhẹ do viêm, bác sĩ sẽ ưu tiên làm sạch chuyên sâu để loại bỏ vi khuẩn dưới nướu. Bạn cần duy trì thói quen vệ sinh đúng cách tại nhà để mô lợi giảm sưng. Đa số trường hợp nhẹ sẽ cải thiện rõ rệt sau các buổi làm sạch.
2. Phẫu thuật cắt lợi truyền thống
Bác sĩ sử dụng dao phẫu thuật cắt mô lợi dư tại vị trí cần điều trị. Phương pháp này xử lý triệt để, tuy nhiên có thể chảy máu nhiều hơn. Thời gian hồi phục thường lâu hơn so với laser nhưng vẫn là lựa chọn hiệu quả trong nhiều trường hợp lâm sàng.

3. Công nghệ cắt nướu bằng laser
Laser hỗ trợ cắt và tạo hình đường viền lợi một cách chính xác. Vết cắt được hàn miệng ngay lập tức nên ít chảy máu và giảm đau sau thủ thuật. Đây là phương pháp hiện đại, giúp thời gian lành thương nhanh hơn và trải nghiệm điều trị nhẹ nhàng hơn.
Kết luận
Nếu bạn hiểu rõ bản chất, nguyên nhân và giải pháp can thiệp đúng thời điểm, nướu thừa không còn là vấn đề gây ám ảnh kéo dài. Điều quan trọng là bạn đừng chủ quan, vì càng chậm xử lý, mô lợi càng dày hơn, vi khuẩn càng tích tụ nhiều và nguy cơ viêm nha chu, tiêu xương ổ răng càng tăng. Từ đó, sức khỏe răng miệng sẽ bị ảnh hưởng trực tiếp, đặc biệt là hơi thở và tính thẩm mỹ khi cười.
Việc bạn cần làm là chủ động sắp xếp thăm khám sớm, để bác sĩ đánh giá chính xác mức độ phì đại và đưa ra lựa chọn xử lý phù hợp nhất. Nếu tình trạng nhẹ, bạn có thể cải thiện bằng việc điều trị bảo tồn, làm sạch chuyên sâu và nâng cấp thói quen vệ sinh. Nếu tình trạng rõ rệt, việc cắt lợi sẽ giúp tái lập tỷ lệ răng – lợi hài hòa và phục hồi tự tin khi giao tiếp hằng ngày.
Thông tin liên hệ bác sĩ Quân:
Địa chỉ: 35-37 Nguyễn Thị Thập, Q. 7, Tp HCM, Việt Nam
Điện thoại: 078 751 5858
Email:
Website: https://drtadongquan.com
Facebook: Bác Sĩ Quân
Bạn có thể đặt lịch tư vấn trực tiếp để được bác sĩ thăm khám, đánh giá tình trạng răng miệng cụ thể và đưa ra phương án điều trị phù hợp nhất.
Tụt nướu: Nguy cơ lớn từ một vấn đề nhỏ – Xem ngay!