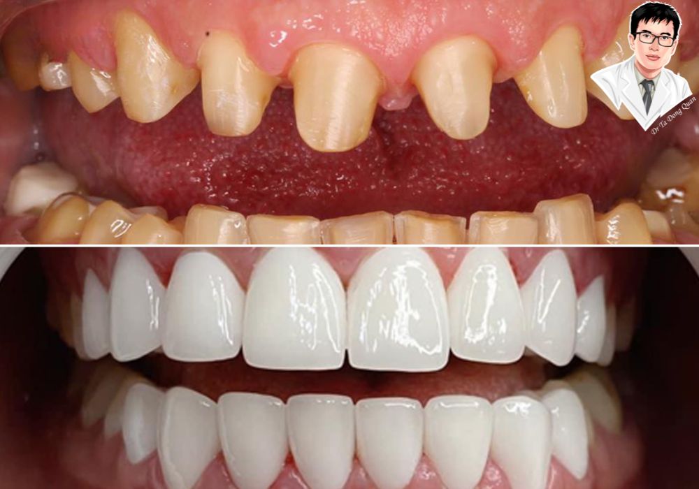
Lộ trình làm răng sứ thường khiến nhiều người băn khoăn vì không rõ cần trải qua những bước nào, mất bao lâu và có ảnh hưởng gì đến răng thật. Bài viết này sẽ giúp bạn hình dung rõ quy trình làm răng sứ, từ khâu tư vấn, mài răng, lấy dấu cho đến gắn mão sứ và chăm sóc sau khi hoàn tất.
I. Hiểu rõ lộ trình làm răng sứ tiêu chuẩn y khoa
1. Lộ trình làm răng sứ thực chất là gì trong điều trị nha khoa
Lộ trình điều trị không chỉ là thao tác bọc sứ. Đây là chuỗi bước được bác sĩ tính toán dựa trên cấu trúc răng và khớp cắn. Mỗi giai đoạn đều có mục tiêu riêng nhằm đảm bảo tính thẩm mỹ và chức năng ăn nhai. Khi hiểu rõ lộ trình làm răng sứ, bạn sẽ chủ động hơn về thời gian và tâm lý.
Trong thực tế lâm sàng, kế hoạch điều trị luôn ưu tiên bảo tồn răng thật. Việc can thiệp đúng mức giúp hạn chế ê buốt và biến chứng. Đây cũng là yếu tố quyết định tuổi thọ mão sứ. Một phục hình bền vững luôn bắt đầu từ nền tảng chính xác.

2. Vì sao quy trình chuẩn y khoa ảnh hưởng trực tiếp đến kết quả
Độ bền răng sứ phụ thuộc vào kỹ thuật nhiều hơn vật liệu. Sai lệch nhỏ ở bước mài hoặc lấy dấu có thể gây cấn khớp cắn. Tình trạng này kéo dài dễ dẫn đến đau cơ hàm hoặc khó chịu khi ăn nhai. Quy trình chuẩn giúp lực nhai được phân bổ đồng đều.
Viền nướu cũng cần sự tương thích sinh học ổn định. Mão sứ khít sát hạn chế dắt thức ăn và viêm nướu. Đây là yếu tố ảnh hưởng trực tiếp đến cảm giác sử dụng hằng ngày. Phục hình đẹp phải đi kèm sự thoải mái lâu dài.
3. Công nghệ nha khoa hiện đại đang thay đổi trải nghiệm điều trị
Thiết bị quét dấu hàm kỹ thuật số giúp giảm sai số so với phương pháp truyền thống. Dữ liệu được xử lý nhanh và chính xác hơn. Thời gian hoàn tất phục hình vì thế được rút ngắn đáng kể. Người điều trị cũng giảm số lần phải điều chỉnh.
Công nghệ còn hỗ trợ bác sĩ kiểm soát khớp cắn chi tiết hơn. Những điểm chạm bất thường được phát hiện sớm. Việc tinh chỉnh trở nên nhẹ nhàng và hiệu quả. Trải nghiệm trên ghế nha vì thế dễ chịu hơn nhiều.
Xem thêm: Bọc Sứ Thẩm Mỹ: Quy Trình, Chi Phí Và Lưu Ý Quan Trọng
II. Giai đoạn chuẩn bị trước khi làm răng sứ và tư vấn chuyên sâu
1. Thăm khám tổng quát giúp đánh giá điều kiện răng thật
Bác sĩ sẽ kiểm tra toàn diện răng, nướu và xương hàm. Phim chụp X quang giúp phát hiện tổn thương tiềm ẩn. Những vấn đề như viêm quanh cuống hay tiêu xương được xác định sớm. Đây là bước nền tảng trước khi bước vào lộ trình làm răng sứ.
Răng thật cần đủ khỏe để nâng đỡ mão sứ. Nếu nền tảng không ổn định, phục hình khó đạt độ bền mong muốn. Bác sĩ sẽ trao đổi rõ về chỉ định phù hợp. Bạn nhờ đó tránh được can thiệp không cần thiết.

2. Lựa chọn vật liệu sứ cần cân bằng nhiều yếu tố
Không phải loại sứ nào cũng phù hợp cho mọi vị trí răng. Răng cửa thường ưu tiên độ trong và màu sắc tự nhiên. Răng hàm chú trọng khả năng chịu lực. Quyết định vật liệu cần dựa trên chức năng và chi phí.
Bảng so sánh dưới đây giúp bạn hình dung rõ hơn:
| Tiêu chí | Răng sứ kim loại | Răng toàn sứ |
|---|---|---|
| Thẩm mỹ | Trung bình | Cao |
| Độ bền màu | Có thể đổi màu viền nướu | Ổn định lâu dài |
| Chi phí | Thấp hơn | Cao hơn |
| Tương thích sinh học | Khá tốt | Rất tốt |
3. Xử lý bệnh lý răng miệng trước khi phục hình
Các bệnh lý như sâu răng hay viêm nướu cần được điều trị dứt điểm. Điều này giúp mão sứ đạt độ khít sát tốt. Nguy cơ viêm nhiễm sau phục hình cũng giảm rõ rệt. Đây là bước thường bị xem nhẹ nhưng rất quan trọng.
Lấy cao răng định kỳ giúp ổn định môi trường nướu. Nướu khỏe giúp viền mão sứ thích nghi tốt hơn. Kết quả phục hình nhờ đó duy trì bền vững. Bạn cũng dễ vệ sinh hơn trong sinh hoạt hằng ngày.
III. Kỹ thuật mài răng và lấy dấu hàm trong nha khoa thẩm mỹ
1. Mài răng đúng tỷ lệ giúp bảo tồn cấu trúc tự nhiên
Mài răng là bước kỹ thuật yêu cầu độ chính xác cao. Bác sĩ cần tạo đủ không gian cho mão sứ mà không xâm lấn quá mức. Việc bảo tồn mô răng thật giúp giảm ê buốt sau điều trị. Đây là nguyên tắc cốt lõi trong nha khoa phục hình.
Tỷ lệ mài phụ thuộc vào loại mão sứ được lựa chọn. Kỹ thuật chuẩn giúp mão sứ ôm sát cùi răng. Độ ổn định và cảm giác tự nhiên được duy trì lâu dài. Sai lệch nhỏ có thể ảnh hưởng trực tiếp đến kết quả.

2. Lấy dấu hàm chính xác quyết định độ khít sát
Dữ liệu dấu hàm phản ánh toàn bộ hình thái răng và cung hàm. Sai số dễ dẫn đến kẽ hở viền nướu. Kẽ hở tạo điều kiện dắt thức ăn và viêm nướu. Độ chính xác ở bước này vì thế rất quan trọng.
Quét dấu kỹ thuật số giúp giảm biến dạng vật liệu. Dữ liệu được truyền trực tiếp đến labo chế tác. Tính đồng nhất được duy trì xuyên suốt quy trình. Bạn giảm nguy cơ phải chỉnh sửa nhiều lần.
3. Vai trò của răng tạm trong giai đoạn chờ mão sứ
Sau khi mài, cùi răng cần được bảo vệ khỏi nhiệt độ và lực nhai. Răng tạm giúp duy trì thẩm mỹ và giao tiếp. Đồng thời, cấu trúc kẽ răng được giữ ổn định. Đây là bước nhỏ nhưng mang ý nghĩa bảo vệ lớn.
Răng tạm còn hạn chế tình trạng ê buốt. Người điều trị sinh hoạt gần như bình thường. Khi mão sứ hoàn tất, quá trình lắp đặt thuận lợi hơn. Trải nghiệm tổng thể vì thế nhẹ nhàng hơn nhiều.
IV. Quá trình gắn răng sứ và điều chỉnh khớp cắn
1. Thử sứ giúp kiểm tra độ khít và thẩm mỹ tổng thể
Khi mão sứ hoàn tất, bác sĩ sẽ tiến hành thử trực tiếp trên răng. Mục tiêu là đánh giá độ sát viền nướu và hình thể răng. Nếu xuất hiện kẽ hở hoặc sai lệch màu, việc điều chỉnh sẽ được thực hiện ngay. Đây là bước quan trọng trong lộ trình làm răng sứ nhằm hạn chế sai sót về sau.
Việc thử sứ còn giúp kiểm tra cảm giác tiếp xúc khi cắn nhẹ. Người điều trị có thể phản hồi nếu thấy cấn hoặc vướng. Những tinh chỉnh nhỏ ở giai đoạn này giúp tránh khó chịu khi ăn nhai lâu dài. Độ chính xác quyết định trải nghiệm thực tế sau cùng.
2. Kiểm tra khớp cắn giúp duy trì chức năng ăn nhai ổn định
Khớp cắn ảnh hưởng trực tiếp đến cơ hàm và khớp thái dương hàm. Bác sĩ sẽ dùng giấy cắn chuyên dụng để xác định điểm chạm. Nếu lực nhai phân bổ không đều, mão sứ sẽ được chỉnh lại. Mục tiêu là đảm bảo sự cân bằng tự nhiên của toàn bộ cung hàm.
Sai lệch khớp cắn dù nhỏ cũng có thể gây mỏi hàm kéo dài. Việc điều chỉnh đúng giúp giảm nguy cơ đau cơ hoặc lệch hàm. Đây là lý do bước này không thể bị rút gọn. Một phục hình ổn định luôn cần kiểm soát lực nhai chính xác.

3. Gắn sứ cố định là bước hoàn thiện quan trọng
Sau khi mọi thông số đạt yêu cầu, mão sứ sẽ được gắn cố định. Keo dán nha khoa chuyên dụng tạo liên kết bền vững với cùi răng. Độ bám dính cao giúp mão sứ ổn định trong thời gian dài. Người điều trị có thể ăn nhai bình thường sau khi hoàn tất.
Chất kết dính hiện đại còn đảm bảo tính tương thích sinh học tốt. Viền nướu thích nghi nhanh và ít kích ứng. Đây là bước đánh dấu việc hoàn thành giai đoạn kỹ thuật chính. Phần còn lại phụ thuộc vào chăm sóc và tái khám định kỳ.
V. Thời gian thực hiện và số lần hẹn điều trị
1. Thời gian làm răng sứ phụ thuộc vào nhiều yếu tố
Không có một mốc thời gian cố định cho mọi trường hợp. Số lượng răng cần phục hình và tình trạng răng thật là yếu tố quyết định. Với nền tảng răng khỏe, quá trình thường kéo dài vài ngày. Những ca cần điều trị bệnh lý sẽ cần thêm thời gian.
Việc tuân thủ đúng lộ trình làm răng sứ giúp đảm bảo độ bền phục hình. Nóng vội rút ngắn quy trình dễ làm tăng rủi ro kỹ thuật. Điều trị nha khoa luôn cần sự chính xác và ổn định sinh học. Đây là yếu tố quan trọng hơn tốc độ hoàn thành.
2. Các mốc hẹn phổ biến trong thực tế điều trị
Thông thường, người điều trị cần từ hai đến ba lần hẹn. Lần đầu dành cho thăm khám và mài răng. Lần tiếp theo dùng để thử và gắn mão sứ. Một số trường hợp cần thêm buổi kiểm tra trung gian.
Việc phân bổ lịch hẹn giúp bác sĩ kiểm soát từng bước kỹ thuật. Đồng thời, răng và nướu có thời gian thích nghi sinh học. Sự ổn định này ảnh hưởng trực tiếp đến cảm giác sau phục hình. Quy trình vì thế cần được tôn trọng đầy đủ.

3. Khi nào thời gian điều trị có thể kéo dài hơn
Các bệnh lý như viêm tủy hoặc viêm nướu có thể làm chậm tiến độ. Điều trị nền tảng luôn được ưu tiên trước phục hình. Điều này giúp giảm nguy cơ biến chứng về sau. Răng sứ chỉ bền khi nền răng thật khỏe mạnh.
Bỏ qua giai đoạn xử lý bệnh lý dễ dẫn đến thất bại phục hình. Người điều trị có thể phải can thiệp lại sau thời gian ngắn. Đây là lý do bác sĩ luôn đánh giá kỹ trước khi tiến hành. Tính ổn định dài hạn luôn được đặt lên hàng đầu.
VI. Chăm sóc sau khi bọc sứ và duy trì độ bền phục hình
1. Vệ sinh răng miệng đúng cách giúp kéo dài tuổi thọ mão sứ
Răng sứ vẫn cần chế độ chăm sóc tương tự răng thật. Bàn chải lông mềm giúp hạn chế tổn thương viền nướu. Chỉ nha khoa giúp làm sạch vùng kẽ răng hiệu quả. Đây là thói quen cần duy trì hằng ngày.
Việc vệ sinh tốt giúp giảm nguy cơ viêm nướu và hôi miệng. Mão sứ nhờ đó duy trì độ khít sát ổn định. Mảng bám tích tụ lâu ngày có thể ảnh hưởng đến mô nướu. Sự chủ động chăm sóc đóng vai trò rất lớn.
2. Chế độ ăn uống ảnh hưởng trực tiếp đến độ bền răng sứ
Thực phẩm quá cứng hoặc quá dai tạo áp lực lớn lên mão sứ. Lực nhai quá mạnh kéo dài dễ gây mẻ sứ. Việc điều chỉnh thói quen ăn uống giúp giảm rủi ro không cần thiết. Đây là nguyên tắc đơn giản nhưng hiệu quả.
Nhiệt độ thực phẩm quá nóng hoặc quá lạnh cũng cần được lưu ý. Sự thay đổi đột ngột có thể gây khó chịu tạm thời. Răng và nướu cần thời gian thích nghi sau phục hình. Sự ổn định đến từ thói quen hợp lý.
3. Tái khám định kỳ giúp kiểm soát rủi ro lâu dài
Kiểm tra định kỳ giúp bác sĩ đánh giá độ ổn định mão sứ. Các vấn đề nhỏ được phát hiện sớm và xử lý kịp thời. Điều này giúp duy trì kết quả phục hình trong thời gian dài. Nguy cơ biến chứng được giảm đáng kể.
Tái khám còn hỗ trợ vệ sinh cao răng chuyên sâu. Môi trường nướu được duy trì khỏe mạnh. Đây là yếu tố quan trọng trong toàn bộ lộ trình làm răng sứ. Sự bền vững phụ thuộc nhiều vào giai đoạn sau điều trị.

Câu hỏi thường gặp về lộ trình làm răng sứ
1. Lộ trình làm răng sứ thường kéo dài bao lâu
Thời gian thực hiện phụ thuộc vào số lượng răng và tình trạng răng miệng. Với nền răng khỏe mạnh, quá trình có thể hoàn tất trong vài ngày. Trường hợp cần điều trị bệnh lý sẽ cần thêm thời gian để đảm bảo an toàn. Bác sĩ sẽ thông báo rõ mốc hẹn sau khi thăm khám.
2. Làm răng sứ có gây đau nhiều không
Quá trình mài răng được thực hiện dưới gây tê cục bộ nên cảm giác khó chịu thường rất nhẹ. Sau điều trị, bạn có thể ê buốt trong thời gian ngắn do răng đang thích nghi. Cảm giác này thường giảm dần sau vài ngày. Việc tuân thủ hướng dẫn chăm sóc giúp quá trình hồi phục dễ chịu hơn.
3. Bọc răng sứ có cần lấy tủy hay không
Không phải trường hợp nào cũng cần lấy tủy. Bác sĩ chỉ chỉ định khi răng có tổn thương sâu hoặc viêm tủy. Nguyên tắc điều trị luôn ưu tiên bảo tồn mô răng thật tối đa. Quyết định cuối cùng dựa trên đánh giá lâm sàng và phim chụp.
4. Răng sứ có thể sử dụng trong bao nhiêu năm
Tuổi thọ mão sứ phụ thuộc vào vật liệu, kỹ thuật và cách chăm sóc hằng ngày. Với phục hình đạt chuẩn và vệ sinh tốt, răng sứ có thể duy trì ổn định trong nhiều năm. Tái khám định kỳ giúp kiểm soát độ khít sát và khớp cắn. Đây là yếu tố quan trọng để kéo dài độ bền phục hình.
5. Sau khi bọc sứ cần lưu ý điều gì quan trọng nhất
Vệ sinh răng miệng đúng cách là yếu tố then chốt. Bạn nên dùng bàn chải mềm, chỉ nha khoa và tái khám định kỳ. Hạn chế thực phẩm quá cứng giúp giảm áp lực lên mão sứ. Thói quen chăm sóc ổn định quyết định trải nghiệm lâu dài.
Thông tin liên hệ bác sĩ Quân:
Địa chỉ: 35-37 Nguyễn Thị Thập, Q. 7, Tp HCM, Việt Nam
Điện thoại: 078 751 5858
Email:
Website: https://drtadongquan.com
Facebook: Bác Sĩ Quân
Bạn có thể đặt lịch tư vấn trực tiếp để được bác sĩ thăm khám, đánh giá tình trạng răng miệng cụ thể và đưa ra phương án điều trị phù hợp nhất.