Bọc răng sứ răng cửa có đau không là băn khoăn của nhiều người khi muốn cải thiện thẩm mỹ nụ cười. Thực tế, với quy trình bọc răng sứ chuẩn y khoa, gây tê đúng cách và kỹ thuật chính xác, cảm giác đau hay ê buốt được kiểm soát tốt và nhanh chóng hồi phục.
I. Vì sao bọc răng sứ răng cửa thường khiến nhiều người lo lắng
Việc bọc răng sứ răng cửa tác động trực tiếp đến vùng răng nằm ở vị trí trung tâm cung hàm, nơi có mật độ dây thần kinh cảm giác cao. Chính đặc điểm này khiến nhiều người hình thành tâm lý e ngại về cảm giác đau hoặc ê buốt khi can thiệp nha khoa. Tuy nhiên, cảm nhận thực tế thường khác xa những lo lắng ban đầu nếu hiểu đúng bản chất kỹ thuật.
1. Răng cửa nhạy cảm hơn các răng khác
Răng cửa có lớp men mỏng hơn răng hàm và thường xuyên tiếp xúc với nhiệt độ, lực cắn xé và tác động ngoại lực. Khi mài răng để bọc răng sứ răng cửa, sự can thiệp dù rất nhỏ cũng dễ khiến người bệnh lo lắng. Thực tế, bác sĩ chỉ tác động trong giới hạn an toàn và không xâm phạm cấu trúc sinh học quan trọng nếu thực hiện đúng kỹ thuật.

2. Ảnh hưởng từ tâm lý sợ đau khi làm răng
Nỗi sợ đau trong nha khoa phần lớn đến từ trải nghiệm cũ hoặc thông tin truyền miệng thiếu chính xác. Tâm lý căng thẳng khiến cảm giác rung hoặc áp lực trong quá trình mài răng bị phóng đại hơn mức thực tế. Khi được giải thích rõ quy trình và kiểm soát tốt tâm lý, đa số người thực hiện đều cảm thấy nhẹ nhàng hơn nhiều so với tưởng tượng.
3. Nhầm lẫn giữa đau thật và cảm giác ê buốt sinh lý
Nhiều người thường đánh đồng cảm giác ê nhẹ với đau nhức nghiêm trọng. Thực chất, ê buốt sau khi can thiệp nha khoa là phản ứng sinh lý bình thường của mô răng và nướu. Cảm giác này khác hoàn toàn với đau do viêm tủy hay tổn thương sâu, và thường tự biến mất sau thời gian ngắn.
Xem thêm: Làm răng sứ giá rẻ khác gì so với răng sứ cao cấp?
II. Giải đáp thắc mắc bọc răng sứ răng cửa có đau không
Vấn đề bọc răng sứ răng cửa có đau không phụ thuộc vào nhiều yếu tố khác nhau, từ kỹ thuật chuyên môn đến tình trạng răng ban đầu. Khi được thực hiện đúng quy trình chuẩn y khoa, cảm giác đau hầu như không xuất hiện trong quá trình làm răng.
1. Cảm giác trong lúc thực hiện có đáng lo không
Trong suốt quá trình mài răng, bác sĩ sử dụng thuốc tê cục bộ nên người bệnh gần như không cảm nhận đau. Cảm giác thường gặp nhất là rung nhẹ hoặc áp lực tại vị trí răng cửa khi máy hoạt động. Thời gian thao tác ngắn giúp hạn chế tối đa sự khó chịu và không gây mệt mỏi kéo dài.

2. Các yếu tố quyết định mức độ ê buốt
Mức độ ê buốt sau khi bọc răng sứ răng cửa chịu ảnh hưởng bởi nhiều yếu tố khác nhau. Trong đó, tình trạng răng ban đầu và tay nghề bác sĩ đóng vai trò quan trọng nhất.
Bảng dưới đây giúp bạn hình dung rõ hơn:
| Yếu tố ảnh hưởng | Mức tác động đến ê buốt |
|---|---|
| Tình trạng men răng ban đầu | Men yếu dễ ê hơn |
| Tay nghề bác sĩ | Kỹ thuật tốt giảm ê buốt |
| Độ chính xác khi mài răng | Mài chuẩn hạn chế kích thích |
| Ngưỡng chịu đau cá nhân | Mỗi người khác nhau |
3. Cảm giác sau khi hết thuốc tê
Sau khi thuốc tê tan, vùng răng và nướu có thể xuất hiện cảm giác ê nhẹ trong khoảng 24 đến 48 giờ. Đây là phản ứng sinh lý bình thường khi mô răng thích nghi với mão sứ mới. Nếu không có bệnh lý nền, cảm giác này sẽ giảm dần và biến mất hoàn toàn mà không cần can thiệp y tế.
III. Quy trình bọc răng sứ răng cửa chuẩn y khoa hiện nay
Một quy trình bọc răng sứ răng cửa đúng chuẩn y khoa không chỉ quyết định tính thẩm mỹ mà còn ảnh hưởng trực tiếp đến cảm giác đau và độ bền lâu dài của răng sứ. Việc tuân thủ đầy đủ các bước giúp giảm thiểu rủi ro và đảm bảo an toàn cho răng thật.
1. Thăm khám tổng quát và lập kế hoạch điều trị
Bác sĩ tiến hành kiểm tra toàn diện khoang miệng và chụp phim X quang để đánh giá chân răng, xương hàm và tình trạng tủy. Bước này giúp xác định răng cửa có đủ điều kiện bọc sứ hay cần điều trị trước. Việc lập kế hoạch chi tiết ngay từ đầu giúp hạn chế tối đa các biến chứng về sau.
2. Vệ sinh khoang miệng và gây tê cục bộ
Trước khi mài răng, mảng bám và cao răng được làm sạch nhằm đảm bảo môi trường vô trùng. Gây tê cục bộ tại vùng răng cửa giúp người bệnh hoàn toàn thoải mái trong suốt quá trình thao tác. Đây là yếu tố quan trọng giúp quá trình mài răng diễn ra chính xác và nhẹ nhàng.

3. Mài cùi răng và lấy dấu hàm
Bác sĩ mài răng với tỷ lệ được kiểm soát chặt chẽ để tạo khoảng trống vừa đủ cho mão sứ, đồng thời bảo tồn tối đa răng thật. Sau đó, dấu hàm được lấy bằng vật liệu chuyên dụng hoặc công nghệ quét kỹ thuật số. Dữ liệu này được chuyển đến phòng labo để chế tác răng sứ có hình dáng và màu sắc hài hòa với răng cửa tự nhiên.
IV. Những trường hợp cần thực hiện bọc răng sứ răng cửa
Không phải mọi tình trạng răng cửa đều cần can thiệp, nhưng trong nhiều trường hợp, bọc răng sứ răng cửa là giải pháp hiệu quả giúp phục hồi cả thẩm mỹ lẫn chức năng. Việc lựa chọn đúng chỉ định giúp bảo tồn răng thật và mang lại kết quả lâu dài.
1. Răng cửa bị mẻ hoặc vỡ diện tích lớn
Răng cửa thường chịu lực cắn xé trực tiếp nên dễ sứt mẻ khi va chạm mạnh. Khi tổn thương vượt quá khả năng hàn trám thông thường, mão sứ giúp tái tạo hình dáng răng và tăng khả năng chịu lực. Giải pháp này giúp răng ổn định hơn trong sinh hoạt hằng ngày.

2. Răng cửa nhiễm màu nặng khó phục hồi
Một số trường hợp răng cửa nhiễm màu do thuốc hoặc mòn men khiến bề mặt sậm màu vĩnh viễn. Khi tẩy trắng không còn hiệu quả, bọc răng sứ răng cửa giúp che phủ hoàn toàn màu răng cũ và mang lại sắc trắng đồng đều. Đồng thời, lớp sứ còn bảo vệ răng thật khỏi các tác nhân gây hại.
3. Răng cửa thưa hoặc lệch nhẹ ảnh hưởng thẩm mỹ
Với các khoảng thưa nhỏ hoặc lệch nhẹ, bọc sứ có thể điều chỉnh hình dáng và hướng răng nhanh chóng. Phương pháp này phù hợp khi mức độ sai lệch nằm trong giới hạn cho phép và không ảnh hưởng đến khớp cắn tổng thể. Việc đánh giá kỹ lưỡng trước điều trị giúp tránh rủi ro về lâu dài.
V. Ưu điểm vượt trội của phương pháp phục hình răng sứ
Phục hình răng sứ không chỉ cải thiện diện mạo mà còn mang lại nhiều lợi ích về sức khỏe răng miệng. Với bọc răng sứ răng cửa, những ưu điểm này càng thể hiện rõ nhờ vị trí răng dễ quan sát và sử dụng thường xuyên.
1. Tính thẩm mỹ tự nhiên và hài hòa
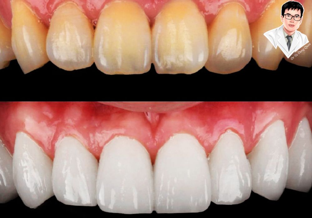
Răng sứ hiện đại có độ trong mờ và khả năng phản xạ ánh sáng gần giống men răng tự nhiên. Khi được chế tác đúng tỷ lệ, răng cửa bọc sứ khó phân biệt bằng mắt thường so với răng thật. Điều này giúp nụ cười trở nên tự nhiên và cân đối hơn.

2. Độ bền và khả năng chịu lực ổn định
Mão sứ có khả năng chịu lực tốt, đáp ứng nhu cầu ăn nhai hằng ngày nếu được lắp đúng kỹ thuật. Tuổi thọ răng sứ có thể kéo dài nhiều năm khi chăm sóc đúng cách và kiểm tra định kỳ. Đây là yếu tố khiến nhiều người lựa chọn bọc răng sứ răng cửa như một giải pháp lâu dài.
3. Khả năng bảo vệ răng thật bên trong
Lớp sứ bao bọc giúp hạn chế vi khuẩn và tác nhân nhiệt độ tác động trực tiếp lên cùi răng. Điều này đặc biệt có lợi với những răng từng tổn thương hoặc đã điều trị tủy. Răng thật nhờ đó được bảo vệ tốt hơn và giảm nguy cơ biến chứng về sau.
Bảng so sánh dưới đây giúp bạn hình dung rõ lợi ích của răng sứ so với răng tổn thương chưa phục hình:
| Tiêu chí | Răng chưa phục hình | Răng đã bọc sứ |
|---|---|---|
| Thẩm mỹ | Dễ lộ khuyết điểm | Màu sắc đồng đều |
| Chịu lực | Giảm dần theo thời gian | Ổn định lâu dài |
| Bảo vệ răng thật | Dễ viêm nhiễm | Hạn chế tác nhân hại |
VI. Cách chăm sóc sau khi bọc răng sứ răng cửa để giảm ê buốt
Chăm sóc đúng cách đóng vai trò quan trọng trong việc giảm ê buốt và kéo dài tuổi thọ răng. Sau khi bọc răng sứ răng cửa, thói quen sinh hoạt và vệ sinh cần được điều chỉnh phù hợp trong giai đoạn đầu.
1. Chế độ ăn uống trong những ngày đầu
Bạn nên ưu tiên thức ăn mềm, dễ nhai và tránh thực phẩm quá nóng hoặc quá lạnh. Việc hạn chế dùng răng cửa cắn trực tiếp thức ăn cứng giúp răng sứ ổn định nhanh hơn. Thói quen này đặc biệt quan trọng trong vài ngày đầu sau khi lắp mão sứ.
2. Vệ sinh răng miệng đúng cách hằng ngày
Chải răng nhẹ nhàng bằng bàn chải lông mềm giúp bảo vệ nướu quanh răng sứ. Kết hợp chỉ nha khoa và nước súc miệng hỗ trợ làm sạch kẽ răng, hạn chế mảng bám tích tụ. Vệ sinh đều đặn giúp duy trì cảm giác dễ chịu và ngăn ngừa viêm lợi.

3. Tái khám định kỳ để kiểm soát độ ổn định
Dù răng sứ không bị sâu, mô nướu và khớp cắn vẫn cần được kiểm tra định kỳ. Việc tái khám giúp bác sĩ phát hiện sớm các dấu hiệu bất thường và điều chỉnh kịp thời. Điều này góp phần duy trì độ bền và cảm giác thoải mái lâu dài cho răng sứ.