Dr. TẠ ĐÔNG QUÂN Dr. TẠ ĐÔNG QUÂN Dr. TẠ ĐÔNG QUÂN
  • Trang chủ
  • Giới thiệu
  • Chuyên môn
    • TRỒNG RĂNG IMPLANT
    • ĐIỀU TRỊ TỤT NƯỚU - VIÊM NHA CHU
    • CƯỜI HỞ NƯỚU
    • NHỔ RĂNG KHÔN
  • Khách hàng
  • Liên hệ

Sidebar

  • Trang chủ
  • Giới thiệu
  • Chuyên môn
    • TRỒNG RĂNG IMPLANT
    • ĐIỀU TRỊ TỤT NƯỚU - VIÊM NHA CHU
    • CƯỜI HỞ NƯỚU
    • NHỔ RĂNG KHÔN
  • Khách hàng
  • Liên hệ
Hình minh họa quá trình cắm trụ implant vào xương hàm thay thế răng đã mất, thể hiện rõ ba phần cơ bản của một răng implant.
Banner được lưu thành công.
Dr. Tạ Đông Quân logo
Trồng răng Implant

5 bước cắm răng Implant chuẩn y khoa, an toàn tuyệt đối 2025

Cắm răng implant có thực sự đau như bạn nghĩ? Với 5 bước chuẩn y khoa, quy trình cấy ghép răng implant sẽ an toàn và nhẹ nhàng hơn rất nhiều. Bạn cũng sẽ biết được thời gian hồi phục, chi phí và bí quyết để răng implant bền vững. Đọc ngay để hiểu rõ hơn!

Hình ảnh mô phỏng cấu trúc đầy đủ của một răng Implant gồm trụ, khớp nối và mão sứ gắn cố định.
Banner được lưu thành công.
Dr. Tạ Đông Quân logo
Trồng răng Implant

Làm răng Implant có tốt không? Chuyên gia giải đáp 2025

Làm răng Implant có tốt không là câu hỏi của nhiều người mất răng. Không chỉ mang lại tính thẩm mỹ, phương pháp này còn giúp ăn nhai như răng thật. Vậy có nên thực hiện không? Những phân tích từ chuyên gia sẽ giúp bạn có lựa chọn chính xác. Đọc ngay!

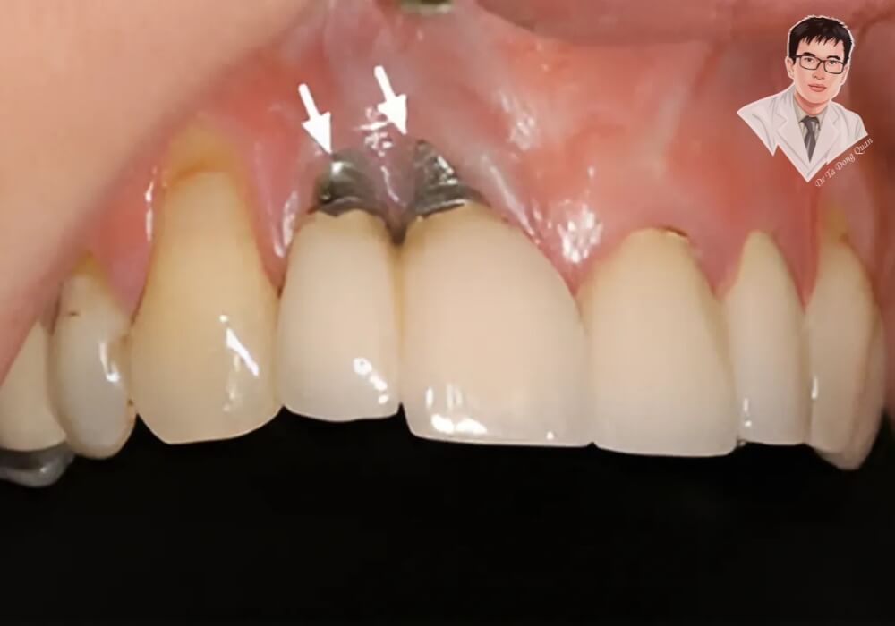
Hình ảnh thực tế trụ implant bị lộ kim loại do tụt nướu sau khi cấy ghép, dấu hiệu cảnh báo tình trạng trồng răng implant bị đào thải.
Banner được lưu thành công.
Dr. Tạ Đông Quân logo
Trồng răng Implant

Trồng răng Implant bị đào thải: Dấu hiệu & cách xử lý tốt nhất 2025

Trồng răng implant bị đào thải là biến chứng nghiêm trọng khiến nhiều người lo lắng. Không chỉ do cơ địa, còn nhiều yếu tố khác bạn cần lưu ý. Vậy làm sao nhận biết sớm và xử lý hiệu quả? Khám phá giải pháp mới nhất 2025 ngay trong bài viết!

Hình minh họa quy trình cấy ghép Implant và mão sứ trên xương hàm với chú thích hỏi “Trồng răng Implant mất bao lâu?”
Banner được lưu thành công.
Dr. Tạ Đông Quân logo
Trồng răng Implant

Trồng răng Implant bao lâu? Lộ trình chi tiết từng giai đoạn 2025

Trồng răng Implant bao lâu là thắc mắc của nhiều người mất răng. Không chỉ phụ thuộc vào kỹ thuật, thời gian còn liên quan đến cơ địa và loại trụ dùng. Vậy làm sao để rút ngắn thời gian điều trị mà vẫn đảm bảo an toàn? Khám phá ngay lộ trình chi tiết 2025!

Hình ảnh minh họa tổng quan hai phương pháp All-on-4 và All-on-6 trong điều trị trồng răng Implant toàn hàm.
Banner được lưu thành công.
Dr. Tạ Đông Quân logo
Trồng răng Implant

Trồng răng Implant toàn hàm: Lựa chọn loại nào là tốt nhất 2025

Trồng răng Implant toàn hàm nên chọn loại nào để ăn nhai tốt, bền lâu và tiết kiệm chi phí? Giữa All on 4 và All on 6 có gì khác biệt? Bài viết sẽ giúp bạn hiểu rõ ưu nhược điểm, bảng giá mới nhất và cách chọn đúng phương pháp phù hợp nhất!

Trang 9 / 15
  • Đầu tiên
  • Trước
  • 4
  • 5
  • 6
  • 7
  • 8
  • 9
  • 10
  • 11
  • 12
  • 13
  • Tiếp tục
  • Cuối cùng

Xem nhiều

  • 27 Mar Bảng giá trồng răng Implant chuẩn Y khoa – Mới nhất năm 2025
  • 24 Mar Chi tiết quy trình trồng răng implant từ A-Z, dễ hiểu 2025
  • 03 Sep TRỒNG RĂNG IMPLANT - NHỮNG ĐIỀU BẠN CẦN BIẾT (Part 1)
  • 29 Sep CƯỜI LỘ NƯỚU LÀ GÌ? NGUYÊN NHÂN VÀ PHƯƠNG PHÁP ĐIỀU TRỊ!
  • 27 Sep TRỒNG RĂNG IMPLANT - NHỮNG ĐIỀU BẠN CẦN BIẾT (Part 2)
  • 04 Oct CÁC PHƯƠNG PHÁP CẮT NƯỚU RĂNG

COPYRIGHT © 2024 DR. TẠ ĐÔNG QUÂN. ALL RIGHTS RESERVED.
DESIGNED BY LE CONG

Zalo